Schwannom
| Klassifikation nach ICD-10 | |
|---|---|
| D36.1 | Gutartige Neubildung periphere Nerven und autonomes Nervensystem |
| D33.3 | Gutartige Neubildung Hirnnerven (z. B. N. vestibulocochlearis [VIII. Hirnnerv]) |
| ICD-10 online (WHO-Version 2019) | |
| Klassifikation nach ICD-O-3 | |
|---|---|
| 9560/0 | Neurilemmom o.n.A. Neurinom Schwannom o.n.A. Akustikusneurinom (C72.4) ... |
| ICD-O-3, zweite Revision (2019) | |



Ein Schwannom (Synonym: Neurinom, Benigner Peripherer Nervenscheidentumor BPNST; Neurilemmom) ist ein gutartiger und meist langsam wachsender Tumor des peripheren Nervensystems, der von den Schwann-Zellen ausgeht, deren Aufgabe das Umhüllen von Nervenfasern ist.[1][2]
Vorkommen
Tritt ein Schwannom im Hör- oder Gleichgewichtsnerv auf, spricht man von einem Akustikusneurinom (eigentlich ein Vestibularisschwannom). Dieses tritt gehäuft und oft beidseitig bei der Neurofibromatose Typ 2 auf.[3]
Häufig ist das Schwannom an peripheren Nerven des Kopfes und Halses sowie an den Streckseiten der Extremitäten zu finden, es kommt aber auch an Rückenmarks- und Hirnnerven vor, besonders am Nervus vestibularis als Akustikusneurinom.[1] Die meisten Schwannome treten sporadisch auf, meist im 5. oder 6. Lebensjahrzehnt bei beiden Geschlechtern in gleicher Häufigkeit.[4]
Es besteht eine Assoziation mit der Neurofibromatose Typ 2 (NF2), bei der oft bereits im 3. Lebensjahrzehnt typischerweise multiple Schwannome auftreten. Etwa 18 % der einzelnen Schwannome finden sich bei Patienten mit NF2.[4] Bei der Schwannomatose (SWN) liegen zahlreiche Schwannome vor, aber ohne Mitbeteiligung des Nervus vestibulocochlearis.[4]
Klinische Erscheinungen
Mit zunehmendem Wachstum kann es zu Schmerzen und zur Lähmung der betroffenen Nerven kommen. Das Akustikusneurinom, ein so genannter Kleinhirnbrückenwinkeltumor, ist ein Beispiel für ein Schwannom. Ein Zusammenhang zur Neurofibromatose Typ 1 besteht nicht.[5] Der Tumor kann asymptomatisch sein oder Symptome durch Gewebeverdrängung oder -kompression verursachen. Er wächst nur langsam.[1]
Eine maligne Transformation in einen malignen peripheren Nervenscheidentumor (MPNST) kommt in weniger als 1 % vor. Bei 50 % der MPNST besteht eine NF1. Bei 5 % der Patienten mit NF1 entsteht ein MPNST.[6]
Das melanotische Schwannom ist selten und möglicherweise maligne. Es besteht aus Epithelzellen mit Melaninablagerung in den neugebildeten Zellen.[7][8]
Das zelluläre Schwannom ist ziemlich selten und besteht nahezu ausschließlich aus gut differenzierten, zytologisch gutartigen Schwann-Zellen. Lokalrezidive scheinen etwas häufiger vorzukommen.[9]
Ein pleurales Schwannom ist sehr selten, kommt in der Haut oder Unterhaut vor und wächst plexiform (Dermale Neurofibrome).[10]
Therapie
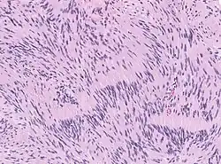
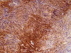
Die Therapie besteht in der chirurgischen Entfernung (Resektion) oder Bestrahlung. Anschließend erfolgt eine histopathologische Untersuchung des Operationspräparates unter dem Lichtmikroskop (Histologie).
Weblinks
- Histologisches Bild eines Schwannoms mit ausführlicher Erklärung
- Artikel zu peripheren Nerventumoren. In: Deutsches Ärzteblatt
- emedicine
Einzelnachweise
- ↑ a b c Eintrag zu Schwannom, benignes. In: Orphanet (Datenbank für seltene Krankheiten)
- ↑ Willibald Pschyrembel: Klinisches Wörterbuch, 266., aktualisierte Auflage, de Gruyter, Berlin 2014, ISBN 978-3-11-033997-0 Stichwort Neurinom
- ↑ Dag Moskopp: Neurochirurgie: Handbuch für die Weiterbildung und interdisziplinäres Nachschlagewerk; mit 206 Tabellen. Schattauer Verlag, 2005, ISBN 978-3-7945-1991-0, S. 662– (google.com).
- ↑ a b c Radiopaedia
- ↑ Marion Mühldorfer-Fodor, Thomas Pillukat, Jörg van Schoonhoven, Karl-Josef Prommersberger: Bilaterales, riesiges Schwannom des N. ulnaris im Rahmen einer Schwannomatose. In: Handchirurgie - Mikrochirurgie - Plastische Chirurgie. 49, 2017, S. 326, doi:10.1055/s-0043-119990.
- ↑ Eintrag zu Nervenscheidentumor, maligner peripherer. In: Orphanet (Datenbank für seltene Krankheiten)
- ↑ Eintrag zu Schwannom, isoliertes melanotisches. In: Orphanet (Datenbank für seltene Krankheiten)
- ↑ R. P. Mennemeyer, K. O. Hallman, S. P. Hammar, J. E. Raisis, J. S. Tytus, D. Bockus: Melanotic schwannoma. Clinical and ultrastructural studies of three cases with evidence of intracellular melanin synthesis. In: The American journal of surgical pathology. Band 3, Nummer 1, Februar 1979, S. 3–10, doi:10.1097/00000478-197902000-00001, PMID 534381.
- ↑ W. E. White, Man H. Shiu, Marc K. Rosenblum, Robert A. Erlandson, James M. Woodruff: Cellular schwannoma. A clinicopathologic study of 57 patients and 58 tumors. In: Cancer. 1990, Band 66, Nummer 6, S. 1266–1275 doi:10.1002/1097-0142(19900915)66:6<1266::aid-cncr2820660628>3.0.co;2-e.
- ↑ C. D. Fletcher, S. E. Davies: Benign plexiform (multinodular) schwannoma: a rare tumour unassociated with neurofibromatosis. In: Histopathology. Band 10, Nummer 9, September 1986, S. 971–980, doi:10.1111/j.1365-2559.1986.tb02595.x, PMID 3096870.