Kraniopharyngeom
| Klassifikation nach ICD-10 | |
|---|---|
| D44.- | Neubildung unsicheren oder unbekannten Verhaltens der endokrinen Drüsen |
| D44.3 | Hypophyse |
| D44.4 | Ductus craniopharyngealis |
| ICD-10 online (WHO-Version 2019) | |
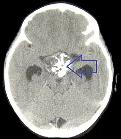
Das Kraniopharyngeom (zusammengesetzt aus lat. cranium = der Schädel, griech. pharynx = Schlund, „-om“ medizinisch Endung für Tumoren), nach dem erstbeschreibenden Pathologen Jakob Erdheim auch Erdheim-Tumor genannt, ist ein gutartiger Tumor, der durch eine Fehlbildung von Restgewebe im Bereich der Hirnanhangdrüse entsteht, der sogenannten Rachendachhypophyse. Diese Bildung des Restgewebes entsteht bereits embryonal, d. h. noch vor der Geburt. Die Gründe für diese Störung sind bislang nicht bekannt. Der auf kernspintomographischen Bildern sichtbare benigne (gutartige), evtl. zystische Tumor entsteht aus Resten der Rathke-Tasche, aus der der Vorderlappen der Hirnanhangdrüse während der Schwangerschaft entstanden ist. Der Tumor liegt deshalb im Bereich der Hirnanhangsdrüse.
Das Kraniopharyngeom liegt in direkter Nähe zu Gehirnteilen, die sehr wichtig für die körperliche und geistige Entwicklung sind. Die Nähe zum Sehnerv kann zu Sehbeeinträchtigungen bis hin zum Sehverlust führen, wenn das Kraniopharyngeom auf den Sehnerv drückt. Durch die Nähe zum Mittelhirn kann das Kraniopharyngeom bei Druck auf das Mittelhirn zu Schlaf-, Temperaturregulations- und Verhaltensstörungen führen.

Benachbarte Hirnteile wie Hypophyse (Hirnanhangsdrüse) und Hypothalamus sind für die Bildung vieler Hormone verantwortlich, die für Wachstum, Gewichtsregulation, Pubertätsentwicklung und Flüssigkeitshaushalt verantwortlich sind. Häufig bestehen die ersten Beschwerden der Patienten in Ausfallerscheinungen dieser Hormone, die dadurch hervorgerufen werden, dass das Kraniopharyngeom die Hirnanhangsdrüse und den Hypothalamus zerdrückt und funktionsunfähig macht. Darüber hinaus werden in direkter Nachbarschaft zum Kraniopharyngeom Eiweiße im Gehirn gebildet, die für den Tag-Nacht-Rhythmus, die Konzentrationsfähigkeit und das Essverhalten der Patienten eine wichtige Rolle spielen.
Symptome
- partielle oder totale Hypophyseninsuffizienz mit großen Wasserausscheidungen (ab 8 l), große Wassereinnahme (ab 10 l) (Diabetes insipidus) und Kleinwuchs
- Symptome eines gesteigerten intrakraniellen Drucks (Kopfschmerzen, morgendliches Nüchternerbrechen)
- Sehstörungen (Gesichtsfeldausfälle, bitemporale Hemianopsie)
- Entwicklungsverzögerungen
- Leistungsverschlechterung

Histologie
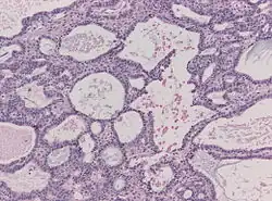
Histologisch unterscheidet man zwei Typen eines Kraniopharyngeoms: Das adamantinöse und das papilläre Kraniopharyngeom. Beide werden von der Weltgesundheitsorganisation als gutartige Tumoren (WHO Grad I) eingestuft. Während der zystisch aufgebaute adamantionöse Typ sowohl im Kindes- als auch im Erwachsenenalter auftreten kann, wird der papilläre Typ fast ausschließlich im Erwachsenenalter beobachtet und verkalkt in der Regel nicht. Bei dem adamantinösen Kraniopharyngeom ist das Plattenepithel des Tumors in Strängen und Trabekeln angeordnet und kann neben der palisadenartigen Aufreihung des Epithels am Rand abschnittsweise auch Wirbel ausbilden. Die zystischen Hohlräumen können Reste von Hornsubstanz (Keratin) enthalten. Nicht selten entleeren sich diese während der Operation als maschinenöl-ähnliche Flüssigkeit. Beim papillären Kraniopharyngeom zeigt das Plattenepithel keine Ausreifungen und Ablagerungen von Hornsubstanz.
Behandlung
Die Behandlung eines Kindes oder Jugendlichen mit neu diagnostiziertem Kraniopharyngeom wird meist durch Operation erfolgen. Die Entscheidung über das operative Vorgehen (wie und wie viel operiert/entlastet werden soll) wird der betreuende Neurochirurg treffen. Häufig kann das Kraniopharyngeom nicht ganz entfernt werden, weil sonst schwere Schäden an den benachbarten Gehirnteilen zu befürchten sind. Dann ist eine Bestrahlung teilweise notwendig, um das Kraniopharyngeom am weiteren Wachsen zu hindern.
Bis auf wenige Fälle, in denen die Hirnanhangsdrüse nicht entfernt werden muss, wird der Patient nach der Operation regelmäßig und lebenslang fehlende Hormone in Form von Tabletten, Nasensprays oder subkutanen Spritzen ersetzen müssen. Ungefähr die Hälfte aller Patienten mit Kraniopharyngeom entwickeln nach der Behandlung ein z. T. erhebliches Übergewicht. Beeinträchtigungen des Sehvermögens, die vor Operation bestanden, bilden sich häufig nicht zurück. Störungen der Gedächtnisleistung und der Aufmerksamkeit werden bei den Patienten beschrieben.
Die genauere Erforschung der DNA der veränderten Krebszellen, um eine wirksame Gentherapie entwickeln zu können, hat nun vielleicht die Möglichkeit der Behandlung mit einem bereits zugelassenen Medikament gebracht[1]. So wurde bei papillären Kraniopharyngeomen vor allem ein defektes BRAF-Gen gefunden, welches bei Defekt eine Serin-Threonin-Kinase aktiviert. Dieses Enzym kann durch Vemurafenib geblockt werden, welches seit März 2012 in Europa zur Behandlung des malignen Melanoms zugelassen ist. In der gleichen Studie fand man heraus, dass viele an einem adamantinösen Kraniopharyngeom erkrankte Patienten eine Mutation im Gen CTNNB1 tragen. Dadurch wird das Protein Beta-Catenin inaktiviert, welches für die Zelladhäsion zuständig ist. Ob diese Therapien auch praktisch wirken ist aber noch nicht untersucht. Hierbei könnte vor allem auch die geringen Fallzahlen zu Problemen führen.
Siehe auch
Literatur
- M. R. Garnett, S. Puget, J. Grill, C. Sainte-Rose: Craniopharyngioma. In: Orphanet Journal of Rare Diseases. Band 2, 2007, S. 18, ISSN 1750-1172. doi:10.1186/1750-1172-2-18. PMID 17425791. PMC 1855047 (freier Volltext).
- S1-Leitlinie Kraniopharyngiom im Kindes- und Jugendalter der Gesellschaft für Pädiatrische Onkologie und Hämatologie (GPOH). In: AWMF online (Stand 2013)
- Hermann L. Müller, Niels Sörensen: Kraniopharyngeom im Kindes- und Jugendalter: Perspektiven in Diagnostik, Therapie und Nachsorge durch interdisziplinäre und multizentrische Kooperation. Dtsch Arztebl 2006; 103(40): A 2634–2640.
- Sicking, Hedwig: Eine gute Zeit fällt nicht vom Himmel. Leben mit den Herausforderungen eines Kraniopharyngeoms. Sachbuch für Kinder mit Kraniopharyngeom zwischen 8–12 Jahren. Verlag der FH Münster, 2010, ISBN 978-3-938137-20-8.
Einzelnachweise
- ↑ Priscilla K Brastianos, Amaro Taylor-Weiner, Peter E Manley, Robert T Jones, Dora Dias-Santagata, Aaron R Thorner, Michael S Lawrence, Fausto J Rodriguez, Lindsay A Bernardo, Laura Schubert, Ashwini Sunkavalli, Nick Shillingford, Monica L Calicchio, Hart G W Lidov, Hala Taha, Maria Martinez-Lage, Mariarita Santi, Phillip B Storm, John Y K Lee, James N Palmer, Nithin D Adappa, R Michael Scott, Ian F Dunn, Edward R Laws, Chip Stewart, Keith L Ligon, Mai P Hoang, Paul Van Hummelen, William C Hahn, David N Louis, Adam C Resnick, Mark W Kieran, Gad Getz, Sandro Santagata: Exome sequencing identifies BRAF mutations in papillary craniopharyngiomas. In: Nature Genetics. 2014, S. , doi:10.1038/ng.2868.