Pilozytisches Astrozytom

Klassifikation nach ICD-10
D33.0 Gutartige Neubildung: Gehirn, supratentoriell
D33.1 Gutartige Neubildung: Gehirn, infratentoriell (IV. Ventrikel)
{{{03-BEZEICHNUNG}}}
{{{04-BEZEICHNUNG}}}
{{{05-BEZEICHNUNG}}}
{{{06-BEZEICHNUNG}}}
{{{07-BEZEICHNUNG}}}
{{{08-BEZEICHNUNG}}}
{{{09-BEZEICHNUNG}}}
{{{10-BEZEICHNUNG}}}
{{{11-BEZEICHNUNG}}}
{{{12-BEZEICHNUNG}}}
{{{13-BEZEICHNUNG}}}
{{{14-BEZEICHNUNG}}}
{{{15-BEZEICHNUNG}}}
{{{16-BEZEICHNUNG}}}
{{{17-BEZEICHNUNG}}}
{{{18-BEZEICHNUNG}}}
{{{19-BEZEICHNUNG}}}
{{{20-BEZEICHNUNG}}}
Vorlage:Infobox ICD/Wartung {{{21BEZEICHNUNG}}}
ICD-10 online (WHO-Version 2019)
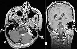
Kernspintomographie eines pilozytischen Astrozytoms der hinteren Schädelgrube mit zystischem Wachstum und Kontrastmittelaufnahme im Bereich des Hirnstamms.

Das pilozytische Astrozytom ist ein langsam wachsender astrozytärer Hirntumor, der vor allem bei Kindern und jungen Erwachsenen auftritt und den häufigsten gutartigen Tumor in dieser Altersgruppe darstellt. Als feingeweblich gutartiger Tumor wird er nach der WHO-Klassifikation der Tumoren des zentralen Nervensystems als Grad 1 eingeteilt und gehört zur Gruppe der sogenannten umschriebenen astrozytären Tumoren.

Pilozytische Astrozytome können im Bereich von Großhirn, Zwischenhirn, der hinteren Schädelgrube, des Rückenmarks und auch im Verlauf von Sehnerv (Nervus opticus) und Sehbahn (Tractus opticus) auftreten,[1] wobei in letzterer Lokalisation auch von Optikusgliomen gesprochen wird. Beidseitige Optikusgliome gelten als charakteristisch für die Neurofibromatose Typ 1.

Klinische Manifestation

Bei Lokalisation des Tumors im Bereich der hinteren Schädelgrube stehen häufig Störungen der Kleinhirnfunktion wie Gangunsicherheit (Ataxie) im Vordergrund, Tumoren im Bereich des Zwischenhirns machen sich unter anderem mit hypothalamischen Funktionsstörungen bemerkbar. Sind Sehnerv oder Sehbahn betroffen, können Sehstörungen bis hin zur Erblindung auftreten.

Morphologie

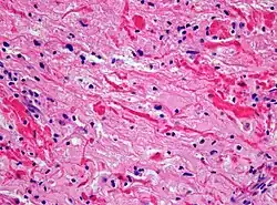
Histologie des pilozytischen Astrozytoms mit Bündeln bipolarer astrozytärer Tumorzellen, Rosenthal-Fasern und eosinophilen granulären Körpern. Hämatoxylin-Eosin-Färbung. Vergrößerung 200x
Rosenthal-Fasern in einem pilozytischen Astrozytom. Hämatoxylin-Eosin-Färbung. Vergrößerung 400x

Makroskopisch handelt es sich um knollige, derbe Tumoren mit grau-weißer Schnittfläche, oft mit zystischen Anteilen. Feingeweblich handelt es sich um astrozytäre Tumoren, deren Tumorzellen charakteristische feine bipolare fibrilläre Fortsätze ausbilden und (namensgebend für den Tumor) als Pilozyten (Haarzellen) bezeichnet werden. Die mitotische Aktivität ist niedrig. Charakteristisch ist die relativ scharfe Abgrenzung gegenüber dem umgebenden Hirngewebe sowie ein biphasisches Wachstumsmuster, wobei sich faserreiche Abschnitte mit zahlreichen Rosenthal-Fasern und faserarme mikrozystisch aufgelockerte Bereiche mit sogenannten eosinophilen granulären Körpern abwechseln.

Differentialdiagnostik

Davon abzugrenzen sind unter anderem Tumoren mit einem sogenannten pilomyxoiden Wachstumsmuster, die als pilomyxoides Astrozytom bezeichnet werden und häufiger zu Rezidiven neigen,[2] das seltene bösartige anaplastische pilozytische Astrozytom sowie diffuse astrozytäre Tumoren wie das fibrilläre Astrozytom, und ein Rosettenbildender glioneuronaler Tumor (RGNT).

Behandlung und Krankheitsverlauf

Nach vollständiger operativer Entfernung des Tumors, die insbesondere bei Lage im Bereich des Kleinhirns in der Regel gut möglich ist, ist die Prognose günstig. Kann der Tumor nicht vollständig entfernt werden, ist der weitere Krankheitsverlauf unter Umständen von erneutem Tumorwachstum geprägt. Insbesondere bei Patienten mit Neurofibromatose Typ 1 ist der Verlauf über viele Jahre hinweg jedoch nur langsam fortschreitend.

Literatur

  • Scheithauer et al.: Pilocytic astrocytoma. In: WHO classification of tumors of the central nervous system. IARC Press, Lyon, 2007

Einzelnachweise

  1. Burkhard et al.: A population-based study of the incidence and survival rates in patients with pilocytic astrocytoma. In: J Neurosurg., 2003 Jun;98(6):1170-4. PMID 12816259
  2. Tihan et al.: Pediatric astrocytomas with monomorphous pilomyxoid features and a less favorable outcome. In: J Neuropathol Exp Neurol., 1999;58(10):1061-8. PMID 10515229
Commons: Pilozytisches Astrozytom – Sammlung von Bildern, Videos und Audiodateien