Pilomyxoides Astrozytom
Als pilomyxoides Astrozytom wird ein seltener Hirntumor bezeichnet, der eine Variante des pilozytischen Astrozytoms darstellt und im Jahre 2007 neu in die WHO-Klassifikation der Tumoren des zentralen Nervensystems aufgenommen wurde. Da nicht selten Rezidive auftreten, wird der Tumor nach der WHO-Klassifikation als Grad II eingeordnet.[1]
Epidemiologie und Klinik
Pilomyxoide Astrozytome treten insbesondere bei Kleinkindern, seltener auch bei älteren Kindern und Erwachsenen auf. Die Tumoren sind typischerweise im Bereich von Hypothalamus oder Chiasma opticum lokalisiert und machen sich darum klinisch unter anderem durch Sehstörungen mit Gesichtsfeldausfällen bemerkbar. In der Kernspintomographie stellen sich pilomyxoide Astrozytome in der T1-Wichtung als hypointense Tumoren mit homogener Kontrastmittelaufnahme dar.
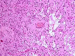
Neuropathologie

Histopathologisch bilden die astrozytär differenzierten Tumorzellen vor dem Hintergrund einer myxoiden Matrix ein feines Fasergeflecht mit Gefäßbezug aus. Ein typisches biphasisches Wachstumsmuster wie in pilozytischen Astrozytomen besteht nicht, auch Rosenthal-Fasern oder eosinophile granuläre Körper sind nicht charakteristisch. Mitosen sind selten. Die proliferative Aktivität kann zwischen 2 % und 20 % liegen.
Behandlung und Prognose
Im Vergleich zu pilozytischen Astrozytomen ist das biologische Verhalten von pilomyxoiden Astrozytomen aggressiver: auch nach neurochirurgischer Resektion des Tumors können Lokalrezidive oder eine Aussaat von Tumorzellen im Liquorraum auftreten.[2][3]
Literatur
- Scheithauer et al.: Pilocytic Astrocytoma. In: Louis, D.D., Ohgaki, H., Wiestler, O., Cavenee, eds. World Health Organization classification of tumors. Pathology and genetics of tumours of the nervous system. Lyon, IARC Press; 2007
Einzelnachweise
- ↑ Louis DN, Ohgaki H, Wiestler OD, et al.: The 2007 WHO classification of tumours of the central nervous system. In: Acta Neuropathol. 114. Jahrgang, Nr. 2, August 2007, S. 97–109, doi:10.1007/s00401-007-0243-4, PMID 17618441, PMC 1929165 (freier Volltext).
- ↑ Tihan T, Fisher PG, Kepner JL, et al.: Pediatric astrocytomas with monomorphous pilomyxoid features and a less favorable outcome. In: J. Neuropathol. Exp. Neurol. 58. Jahrgang, Nr. 10, Oktober 1999, S. 1061–8, PMID 10515229.
- ↑ Komotar RJ, Burger PC, Carson BS, et al.: Pilocytic and pilomyxoid hypothalamic/chiasmatic astrocytomas. In: Neurosurgery. 54. Jahrgang, Nr. 1, Januar 2004, S. 72–9; discussion 79–80, PMID 14683543.