Meningeosis neoplastica
| Klassifikation nach ICD-10 | |
|---|---|
| C79.3 | Sekundäre bösartige Neubildung des Gehirns und der Hirnhäute |
| ICD-10 online (WHO-Version 2019) | |
Als Meningeosis neoplastica (englisch: leptomeningeal cancer u. a.) wird die Ausbreitung von Tumorzellen in den weichen Hirnhäuten bezeichnet.
Sie tritt meistens erst im Spätstadium einer Krebserkrankung auf und geht mit einer schlechten Prognose einher. Ist die Herkunft des Tumors genauer bekannt, spricht man auch von einer Meningeosis carcinomatosa (Karzinom), sarcomatosa (Sarkom), gliomatosa (Gliom), leukaemica (Leukämie) oder lymphomatosa (Lymphom). Der Nachweis erfolgt in der Regel durch Untersuchung des Liquor cerebrospinalis, der durch Lumbalpunktion gewonnen wird.
Therapieansätze
Möglichkeiten der Behandlung sind die Strahlentherapie des Zentralnervensystems (ZNS) und die Chemotherapie. Die Möglichkeiten einer Chemotherapie sind durch den Umstand, dass nur wenige Zytostatika die Blut-Hirn-Schranke überwinden können und damit wirksame Konzentrationen im ZNS aufbauen können, allerdings deutlich eingeschränkt. Die Behandlung wird darum in der Regel intrathekal durchgeführt, (d. h. die Medikamente werden direkt in den Liquorraum appliziert).[1] In Deutschland sind für die intrathekale Chemotherapie Methotrexat, Cytarabin und Thiotepa zugelassen.
-
Bildgebung: Nachweis einer fokalen Meningeosis carcinomatosa bei Mammakarzinom in der Magnetresonanztomographie. Man erkennt die fokale Anreicherung (hell) in den Sulci als Zeichen einer arachnoidalen Ausbreitung rechts (links im Bild). -
Liquoruntersuchung: Nachweis von Tumorzellen im Liquor cerebrospinalis.
Pappenheim-Färbung eines Zytozentrifugates von einem Patienten mit Bronchialkarzinom. -
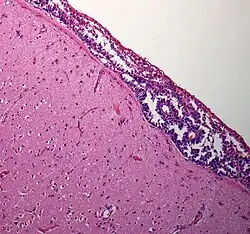
Hirnbiopsie: Nachweis einer Ausbreitung leptomeningealer Tumorzellverbände in einer Hirnbiopsie.
Hämatoxylin-Eosin-Färbung.
Literatur
- Peter Berlit: Klinische Neurologie. Springer, Heidelberg 2006, ISBN 3-540-01982-0.
- Eckhard Thiel, Beate Gleissner: Meningeosis neoplastica. Dtsch Arztebl 2006; 103(39): A-2559 / B-2216 / C-2137
- S2k-Leitlinie Hirnmetastasen und Meningeosis neoplastica der Deutschen Gesellschaft für Neurologie (DGN). In: AWMF online (Stand 2014)
Einzelnachweise
- ↑ S. Chowdhary, M. Chamberlain: Leptomeningeal metastases: current concepts and management guidelines. In: Journal of the National Comprehensive Cancer Network. Band 3, Nummer 5, September 2005, S. 693–703, ISSN 1540-1405. PMID 16194457. (Review).