Medulloepitheliom
| Klassifikation nach ICD-O-3 | |
|---|---|
| 9501/1 | Benignes Medulloepitheliom Benignes Diktyom |
| 9501/3 | Medulloepitheliom o.n.A. Malignes Diktyom |
| ICD-O-3, zweite Revision (2019) | |

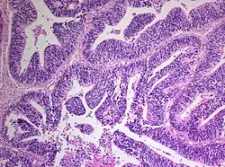
Hämatoxylin-Eosin-Färbung. Vergrößerung 100×.
Das Medulloepitheliom ist ein seltener Tumor aus dem primitiven Neuroektoderm, der meistens bei Kindern zwischen 6 Monaten und 5 Jahren auftritt. Es werden zwei verschiedene Formen unterschieden:
- das Medulloepitheliom des Zentralnervensystems (ZNS)[1]
- das Medulloepithelium im Auge, siehe Diktyom[2]
Meist wird mit „Medulloepitheliom“ ein sehr seltener bösartiger Hirntumor bezeichnet, der insbesondere bei Kleinkindern auftritt. Neuropathologisch ist die Ausbildung von Zellsträngen charakteristisch, deren Aussehen an das histologische Bild des Neuralrohres erinnert.[1]
Aufgrund der molekularen Ähnlichkeit werden Medulloepitheliome nunmehr als Teil des morphologischen Spektrums des Embryonalen Tumors mit mehrreihigen Rosetten (ETMR) gesehen und nach der aktuellen WHO-Klassifikation als ETMR eingeordnet mit einem WHO Grad IV.
Die Erstbeschreibung des Medulloepithelioms des ZNS stammt wohl aus dem Jahre 1926 von Percival Bailey und Harvey Cushing.[3]
Dieser Hirntumor kann unterschiedliche Malignität aufweisen und Knochen, Knorpel, Skelettmuskulatur enthalten. Es besteht eine Neigung zur Metastasierung außerhalb des Schädels.
Er findet sich meistens um die Seitenventrikel, kann aber auch im Hirnstamm und Kleinhirn vorkommen. Klinische Symptome sind Kopfschmerzen, Übelkeit, Erbrechen, Fazialislähmung und/oder Kleinhirnataxie.[1]
Die Behandlung besteht in der vollständigen operativen Entfernung und anschließender Strahlentherapie. Die Prognose gilt als schlecht.[1]
Literatur
- Y. Z. Wang, J. Chen, Y. L. Fang, C. Q. Cai: Intracranial Medulloepithelioma in a Child: A Case Report. In: Turkish neurosurgery. Band 29, Nummer 6, 2019, S. 957–960, doi:10.5137/1019-5149.JTN.22225-17.2, PMID 29757453.
- Q. Li, N. Chen, Y. Ju: Infantile medulloepithelioma in the lateral ventricle and cerebellopontine angle: Two case reports. In: Medicine. Band 97, Nummer 20, Mai 2018, S. e10751, doi:10.1097/MD.0000000000010751, PMID 29768355, PMC 5976342 (freier Volltext).
- Korshunov et al.: Embryonal tumour with multilayered rosettes, C19MC-altered. In: Louis et al. (Hrsg.): WHO Classification of Tumours of the Central Nervous System. IARC Press, Lyon 2016, ISBN 978-92-832-4492-9.
Einzelnachweise
- ↑ a b c d Eintrag zu Medulloepitheliom des Zentralnervensystems. In: Orphanet (Datenbank für seltene Krankheiten)
- ↑ Eintrag zu Medulloepitheliom, intraokuläres. In: Orphanet (Datenbank für seltene Krankheiten)
- ↑ P. Bailey, H. W. Cushing: A Classification of the Tumors of the Glioma Group on a Histogenetic Basis with a Correlated Study of Prognosis. J. B. Lippincott, Philadelphia 1926.