Ependymoblastom

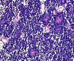
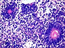
Charakteristisch sind zahlreiche sogenannte ependymoblastomatöse Rosetten. [Hämatoxylin-Eosin-Färbung]

Als Ependymoblastom wurde ein sehr seltener bösartiger Hirntumor aus der Gruppe der embryonalen Tumoren bezeichnet, der insbesondere bei Neugeborenen und Kleinkindern auftritt. Wie auch das Medulloepitheliom des zentralen Nervensystems wird das Ependymoblastom nunmehr als Teil des morphologischen Spektrums des Embryonalen Tumors mit mehrreihigen Rosetten (ETMR) gesehen und nach der aktuellen WHO-Klassifikation als ETMR (WHO Grad 4) eingeordnet. Verlässliche Aussagen zur Prognose sind angesichts der Seltenheit des Tumors jedoch nicht möglich.
Neuropathologie
Neuropathologisch ist für den Tumor die Ausbildung mehrreihiger Rosetten, die als ependymoblastomatöse Rosetten bezeichnet werden, charakteristisch. Angesichts der Beobachtung, dass ependymoblastomatöse Rosetten auch bei anderen embryonalen Tumoren vorkommen können, war die Bedeutung des Ependymoblastoms als eigenständige Entität bereits früh umstritten.[1]
Molekulargenetik
Der Nachweis einer Amplifikation auf dem langen Arm von Chromosom 19, Genlocus q13.42 (wie bei ETMR) unterstützt die Zugehörigkeit zur Gruppe der ETMR weiter.[2]
Einzelnachweise
- ↑ A. R. Judkins, D. W. Ellison: Ependymoblastoma: dear, damned, distracting diagnosis, farewell!*. In: Brain Pathology. 20, 2010, S. 133–139, PMID 19120373.
- ↑ A. Korshunov, M. Remke, M. Gessi, M. Ryzhova, T. Hielscher, H. Witt, V. Tobias, A. M. Buccoliero, I. Sardi, M. P. Gardiman, J. Bonnin, B. Scheithauer, A. E. Kulozik, O. Witt, S. Mork, A. von Deimling, O. D. Wiestler, F. Giangaspero, M. Rosenblum, T. Pietsch, P. Lichter, S. M. Pfister: Focal genomic amplification at 19q13.42 comprises a powerful diagnostic marker for embryonal tumors with ependymoblastic rosettes. In: Acta Neuropathologica. 120, 2010, S. 253–260, PMID 20407781.