Maligne Transformation
Unter einer malignen Transformation versteht man den Übergang von normalen, in ihrem Wachstum kontrollierten Zellen zu unkontrolliert wachsenden Tumorzellen. Diese Transformation kann beispielsweise unter dem Einfluss chemischer Substanzen oder durch sogenannte transformierende (onkogene) Viren wie dem Rous-Sarkom-Virus oder dem SV40 eingeleitet werden. Der Vorgang der malignen Transformation ist von großer Bedeutung für das Verständnis der Krebsentstehung.
Transformation in der Zellkultur
Der Begriff der malignen Transformation wird mittlerweile auch bei der Umwandlung normaler Zellen zu Krebszellen in einem Organismus gebraucht, obwohl er ursprünglich nur für die Veränderungen von Zellen in einer Zellkultur in vitro verwendet wurde. Transformierte Zellen in einer Zellkultur zeigen alle Merkmale von Tumorzellen wie unkontrolliertes Wachstum, Veränderung der Zellkontakte, Wachstum in sogenanntem Weichagar (Zellkulturmedium mit einem Anteil von 0,5 bis 1 % Agar) und Ausbildung von Tumoren nach einer Injektion der Zellen in Tiere.
Bei einer Kultur adhärenter, das heißt auf der Oberfläche anhaftender normaler Zellen wird das weitere Wachstum der Zellen durch Kontakt zu Nachbarzellen gehemmt, so dass es meistens nur zur Ausbildung einer einlagigen Schicht (Monolayer) von Zellen kommt. Bei einer Transformation unterbleibt diese Hemmung und die von einer transformierten Zelle abstammenden Klone teilen sich weiter und schichten sich in mehreren Lagen übereinander. Dies ist schon mit bloßem Auge an der Ausbildung von Zellverdichtungen, den sogenannten Foci (Plural von Fokus), zu erkennen. Die maligne transformierten Zellen verändern auch ihre Morphologie und verlieren typische Merkmale der ursprünglichen Zellarten (Entdifferenzierung).
-
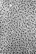
Normale NIH-3T3-Zellen in einer Zellkultur, Phasenkontrastmikroskop 100× Vergrößerung -
Gleiche Zellkultur nach Expression des ras-Protoonkogens: Maligne Transformation, beginnende Ausbildung eines Fokus -
Gleiche Zellkultur nach Expression des großen T-Antigens von SV40: Maligne Transformation mit Fokus
Transformierende Faktoren
Die maligne Transformation wurde zuerst als Effekt in Zellkulturen beschrieben, die mit bestimmten Virusspezies infiziert waren. Da einzelne Proteine dieser Viren bei Einschleusung in Zellen ebenfalls alleine eine Transformation hervorrufen konnten, wurden diese Proteine als Transformations-Proteine bezeichnet. Die Gene für diese Transformations-Proteine sind die viralen Onkogene. Das bekannteste Transformations-Protein ist das Große T-Antigen (T für Transformation) des SV40-Virus, bei dem die Transformation zuerst entdeckt wurde. Weitere Proteine sind das E1A-Protein des Humanen Adenovirus (Typ 12, 18) und das E7-Protein der Papillomaviridae.
Der intrazelluläre Parasit Theileria annulata sezerniert die Peptidyl-Prolyl-Isomerase PIN1, die Säugerzellen durch einen Abbau der Ubiquitin-Ligase FBW7 transformiert, da in Folge c-JUN verstärkt aktiv ist.[1]
Quellen
- Rolf Knippers: Molekulare Genetik, 7. Aufl. 1997
- Alfred Pühler et al. (Hg.): Lexikon Biochemie und Molekularbiologie, Stuttgart 2000
Einzelnachweise
- ↑ J. Marsolier, M. Perichon, J. D. DeBarry, B. O. Villoutreix, J. Chluba, T. Lopez, C. Garrido, X. Z. Zhou, K. P. Lu, L. Fritsch, S. Ait-Si-Ali, M. Mhadhbi, S. Medjkane, J. B. Weitzman: Theileria parasites secrete a prolyl isomerase to maintain host leukocyte transformation. In: Nature. 520, 2015, S. 378, doi:10.1038/nature14044.