Pneumothorax
| Klassifikation nach ICD-10 | |
|---|---|
| J93.0 | Spontaner Spannungspneumothorax |
| J93.1 | Sonstiger Spontanpneumothorax |
| J93.2 | Iatrogener Pneumothorax |
| J93.8 | Sonstiger Pneumothorax |
| S27.0 | Pneumothorax, traumatisch |
| ICD-10 online (WHO-Version 2019) | |
| Klassifikation nach ICD-11 | |
|---|---|
| CB21 | Pneumothorax |
| CB21.0 | Spontaner Spannungspneumothorax |
| CB21.1 | Sonstiger Spontanpneumothorax |
| KB27.1 | Pneumothorax mit Ursprung in der Perinatalperiode |
| CB21.Y | Sonstiger näher bezeichneter Pneumothorax |
| CB21.Z | Pneumothorax, nicht näher bezeichnet |
| KB27.1 | Pneumothorax mit Ursprung in der Perinatalperiode |
| NB32.0 | Traumatischer Pneumothorax |
| ICD-11: Englisch • Deutsch (Entwurf) | |
Der Pneumothorax (von altgriechisch πνεῦμα pneuma, deutsch ‚Luft‘, und θώραξ thōrax, deutsch ‚Brustkorb‘[1]), im Medizinerjargon auch Pneu genannt, ist ein meist akut auftretendes, je nach Ausprägung lebensbedrohliches Krankheitsbild, bei dem Luft in den Pleuraspalt (Pleuraraum) zwischen den beiden Pleurablättern gelangt und damit die Ausdehnung eines Lungenflügels oder beider Lungenflügel behindert, sodass diese für die Atmung nicht oder nur noch eingeschränkt zur Verfügung stehen.
Ein Pneumothorax kann nur bei Säugetieren (außer bei Rüsseltieren) entstehen, da nur sie einen Pleuraspalt besitzen.[2][3]
Die Ausprägung reicht von minimalen Luftmengen im Pleuraraum, die vom Patienten kaum bemerkt werden, über einen Lungenkollaps bis hin zum Spannungspneumothorax, bei dem die Funktion beider Lungenflügel und auch die Herz-Kreislauf-Funktion drastisch eingeschränkt sein können. Bei einem Spannungspneumothorax muss von einer akuten Lebensgefahr ausgegangen werden.
Ursachen

(im Bild rechts)

Aufgrund der Entstehung werden zwei Formen des Pneumothorax unterschieden:
Der Spontanpneumothorax tritt bei jedem dritten Patienten ohne erkennbare Ursache auf.[4] Er betrifft oft junge, schlanke Männer im Alter zwischen ca. 15 und 35 Jahren.[5] Betroffen sind häufig Raucher nach einem mehr oder weniger heftigen Hustenstoß und Träger eines bullösen Lungenemphysems, angeboren durch einen α1-Antitrypsin-Mangel oder erworben durch eine chronisch-obstruktive Lungenerkrankung. Ursachen für den gelegentlich auftretenden Spontanpneumothorax bei Neugeborenen sind nicht bekannt.
Ein Zusammenhang mit dem erstmaligen Auftreten mit folgenden Faktoren ist nicht nachgewiesen:
- körperliche Aktivität oder Sport[6]
- Fliegen oder Aufenthalt in großen Höhen (z. B. Bergsteigen)[7][8]
- Klima und Wetter[9][10][11]
- psychischer Stress[12][13]
Der traumatische Pneumothorax entsteht immer durch eine direkte oder indirekte Verletzung des Brustkorbs und seiner Organe. Folgende Mechanismen sind typisch:
- Verletzung der Lunge durch nach innen spießende Rippenbrüche
- Stich- und Schussverletzungen mit Eröffnung der Brusthöhle oder Verletzung der Lunge
- hochgradige Quetschung des Brustkorbs (Einklemmen, Überrollen) verursacht eine Schädigung und Schwächung des Lungengewebes
- starke Bässe können Körpergewebe zum Vibrieren bringen und zu Rissen im Lungengewebe führen[14]
- Barotrauma: extreme, plötzliche Druckveränderung der Lunge beim Fliegen und Tauchen oder iatrogen im Rahmen einer Überdruckbeatmung
- iatrogene (= durch ärztliche Maßnahme bedingte) Verletzung der Lunge oder der Brustwand, beispielsweise durch ohne endotracheale Intubation bzw. Überdruckbeatmung[15][16] durchgeführte Operationen mit Eröffnung des Brustkorbs, Fehlpunktion der Vena subclavia oder bei Regionalanästhesien wie der infraklavikulären Plexusblockade sowie in 0,6 bis 6 %[17] aller Punktionen eines Pleuraergusses.
Früher wurde, nach einer 1882 von Carlo Forlanini eingeführten Methode, ein intrapleuraler Pneumothorax auch als Therapieverfahren vor allem bei der Lungentuberkulose künstlich angelegt (therapeutischer Pneumothorax, künstlicher Pneumothorax, artifizieller Pneumothorax[18]). Dieses, durch John Benjamin Murphy sowie Ludolph Brauer international bekannt gemachte Verfahren der Pneumothoraxtherapie (Brauer gilt als wissenschaftlicher Begründer der „Lungenkollapstherapie“[19]) wurde zunächst oft ergänzt durch Thorakokaustik (so publiziert 1913 von Hans Christian Jacobaeus),[20] später durch die Thorakoplastik ersetzt und nach Entwicklung effektiver Antibiotika wieder ganz verlassen.
Wegen der, wohl schon Epaminondas[21] im 4. Jahrhundert v. Chr. bekannten, Gefahr eines Pneumothorax als lebensbedrohliche Komplikation wurden bis zum Ende des 19. Jahrhunderts im Allgemeinen keine Operationen am offenen Brustkorb durchgeführt. Sicherer wurde die chirurgische Versorgung von Brustkorbverletzungen erst mit Einführung der ursprünglich zur Entfernung von Eiteransammlungen innerhalb des Brustfells gedachten Heberdrainage durch den Internisten Gotthard Bülau.[22]
Pathogenese
Die bei einem Pneumothorax im Brustfellraum vorhandene Luftansammlung wurde 1767 durch William Hewson (1739–1774) nachgewiesen.[23] Bei jedem Pneumothorax gelangt Luft in den Pleuraspalt. Dies ist der Raum zwischen der inneren Auskleidung der Brustwand (Pleura parietalis) und der äußeren Haut der Lunge (Pleura visceralis). Der Pleuraspalt hält normalerweise durch den darin herrschenden Unterdruck die Lungenflügel verschieblich an der Brustkorbinnenwand (ähnlich wie zwei Glasscheiben, die durch einen Wassertropfen zusammengehalten werden, aber gegeneinander verschoben werden können). Dringt Luft in diesen Spalt ein, der normalerweise luftleer ist, dann folgt das elastische Lungengewebe seiner inneren Spannung und fällt in sich zusammen. Man unterscheidet zwei Fälle:
- Beim geschlossenen Pneumothorax liegt keine äußere Verletzung des Brustkorbs mit Eröffnung der Brusthöhle vor. Die Luft gelangt von den Bronchien und dem Lungengewebe aus in den Pleuraspalt.
- Beim offenen Pneumothorax kann die Luft über eine offene Brustwandverletzung eindringen.[24]
Wenn eine Verbindung zwischen dem Inneren des Brustkorbs und der Umgebungsluft besteht, entsteht in der Regel ein Komplettpneumothorax der betroffenen Seite, d. h. die komplette Lunge einer Seite ist nicht mehr in der Lage, an der Atmung teilzunehmen. Vorbestehende Verklebungen zwischen der Pleura parietalis (dem brustwandseitigen Rippenfell) und der Pleura visceralis (dem Rippenfellüberzug der Lunge) können allerdings den Totalkollaps der Lunge verhindern. Solche Verklebungen können beispielsweise durch vorangegangene Rippenfellentzündungen, operative Eingriffe an der Lunge oder auch erwünscht zu therapeutischen Zwecken (Pleurodese) entstehen.
Besonders schwerwiegend ist ein Spannungspneumothorax (s. u.), bei dem ein Ventilmechanismus den Pneumothorax immer weiter verstärkt.
Symptome
Die individuellen Beschwerden des Kranken sind sehr unterschiedlich: Sie reichen von geringem Hustenreiz bis zum existentiellen Erstickungsgefühl. Schnelle Atmung (Tachypnoe) trotz körperlicher Ruhe ist ein erstes Symptom, oft verbunden mit Ziehen in den Lungenspitzen beim tiefen Einatmen. Hinzu kommen oft Druckgefühl oder Schmerzen (zum Teil in Intervallen auftretend) im Brustkorbbereich, die auf Arme, Kopf oder Rücken ausstrahlen können. Bei ausgeprägter Luftnot zeigt sich eine bläulich graue Hautfarbe, die auf einen Sauerstoffmangel im Blut schließen lässt (Zyanose). Manchmal ist ein Hautemphysem zu tasten: Bei leichtem Druck auf die Haut fühlt man ein Knistern oder ein Knirschen, als wenn man Schnee zusammendrücken würde. Beim Hydropneumothorax findet sich zudem ein Exsudat im Pleuraraum. Beim traumatisch bedingten Pneumothorax kann zudem gelegentlich ein Hautemphysem ertastet werden.
Diagnose
Am wichtigsten ist es, bei unklarer Atemnot überhaupt an einen Pneumothorax zu denken.
- Bei der Inspektion kann ein „Nachschleppen“ (eingeschränkte Atemexkursionen) der erkrankten Seite erkennbar sein.
- Die Zwischenrippenräume sind verbreitert, verstrichen, eventuell auch vorgewölbt.
- Beim Abhören der Lunge mittels Stethoskop ist das Atemgeräusch abgeschwächt oder aufgehoben.
- Die Bronchophonie ist ebenfalls abgeschwächt. Auch der Stimmfremitus ist abgeschwächt oder aufgehoben.
- Bei der Perkussion (Abklopfen des Brustkorbes) fällt ein lauter, hohler (tympanitischer) Klopfschall, ein sogenannter Schachtelton, auf. Die Perkussion sollte allerdings immer im Seitenvergleich geschehen (in diesem Fall mit der anderen Thoraxhälfte).
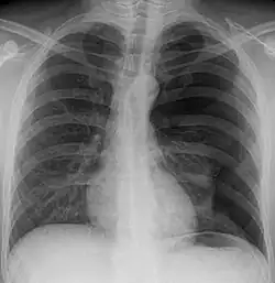
- Im Thorax-Röntgenbild (Röntgenaufnahme der Lunge) ist ein bedeutsamer Pneumothorax sicher erkennbar.
- Die Diagnose durch Ultraschall ist eine neuere Methode, schnell, zuverlässig und für einen kleinen Pneumothorax (Mantelpneumothorax) sensibler als die Röntgenaufnahme.[25] Beim Pneumothorax zeigt der M-Mode das Barcode-Zeichen, wohingegen beim Normalbefund das Seashore-Zeichen zu sehen ist.
- Sicher ist auch die aufwändigere Computertomographie (CT), die weitere Begleitverletzungen oder -erkrankungen erkennen lässt.
Spannungspneumothorax

Besonders schwerwiegend ist ein Spannungspneumothorax, bei dem durch Verletzung der Lunge oder Brustwand ein Lippenventil entsteht, das mit jedem Atemzug weitere Luft in den Pleuraspalt zieht, ohne diese bei der Ausatmung entweichen zu lassen. Dadurch steigt der Druck in der betroffenen Brusthöhle an, komprimiert den Lungenflügel, schränkt damit die Atmung weiter ein, verschiebt das Mittelfell zur Gegenseite und behindert durch Verziehung und Kompression der Hohlvene den Blutrückfluss zum Herzen, sodass ein kritischer Blutdruckabfall bis hin zum Herz-Kreislauf-Stillstand resultieren kann. Man findet
- alle Symptome des „einfachen“ Pneumothorax, weiter zunehmende Atemnot und weiteren Kreislaufabfall, wobei
- die Atembewegung des Brustkorbs asymmetrisch ist, der Brustkorb auf der betroffenen Seite hochsteht und sich bei Ausatmung kaum senkt,
- pralle Halsvenen und gesteigerter peripherer Venendruck (venöse Einflussstauung) auf einen gesteigerten Druck im Brustraum hinweisen.
- Erholt sich ein Patient mit schwerer Atemnot nach Intubation und Beatmung nicht, ist immer an einen Spannungspneumothorax zu denken.
- Der Spannungspneumothorax ist eine wichtige Differentialdiagnose des unklaren Kreislaufschocks.
- Im Röntgenbild ist von einem Spannungspneumothorax auszugehen, wenn das Mediastinum zur gesunden Seite hin verschoben ist.
Behandlung
Ein geringer Pneumothorax, beispielsweise ein Mantelpneumothorax, kann unerkannt bleiben und braucht oft keine Therapie, da der Körper mit der Zeit die eingedrungene Luft selbst beseitigt.[26] Ein mögliches Sauerstoffdefizit kann durch Sauerstoffinsufflation behoben werden. Therapie der Wahl, falls ein offener Pneumothorax nicht sofort zu einem geschlossenen[27] gemacht werden konnte, bei einem ausgedehnteren Pneumothorax ist ein Schlauch, über den die eingedrungene Luft wieder abgesaugt wird (Thoraxdrainage).[28] Diese Drainage wird meist unterhalb der Mitte des Schlüsselbeins (medioklavikulär) im zweiten oder dritten Zwischenrippenraum mit Stichrichtung nach oben-seitlich (kraniolateral) eingebracht (Monaldi-Drainage). Der Drain kann mit einem Ventil, dem sogenannten Heimlichventil, offengelassen werden oder an Unterdruck angeschlossen werden, um eine allmähliche Wiederentfaltung der Lunge zu erreichen.[29]
Ist der Pneumothorax traumatisch entstanden und liegen weitere Verletzungen vor, beispielsweise Rippenfrakturen, Hämatothorax (Blut im Pleuraspalt), dann muss eine Bülau-Drainage angelegt werden, das heißt in der mittleren bis hinteren Axillarlinie auf Höhe der unteren Schulterblattspitze (5. bis 6. Intercostalraum), um auch Flüssigkeiten (Blut, Erguss) ableiten zu können.
Flugreisefähigkeit
Flugreisen nach behandeltem Pneumothorax, thoraxchirurgischen Eingriffen oder Punktionen sollten frühestens nach drei Wochen unternommen werden. Danach sind Komplikationen während der Flugreise zwar möglich, aber sehr selten.[7]
Literatur
- J. Schnell, M. Beer, S. Eggeling u. a.: S3-Leitlinie: Diagnostik und Therapie von Spontanpneumothorax und postinterventionellem Pneumothorax. In: Zentralblatt für Chirurgie. Band 143, 2018, S. 12–43.
- J. M. Tschopp, R. Rami-Porta, M. Noppen, P. Astoul: Management of spontaneous pneumothorax: state of the art. In: Eur Respir J. 2006 Sep; 28(3), S. 637–650. Review. PMID 16946095
- A. R. O’Connor, W. E. Morgan: Radiological review of pneumothorax. In: BMJ. 25. Juni 2005; 330 (7506), S. 1493–1497. Review. PMID 15976424
- M. Noppen, M. H. Baumann: Pathogenesis and treatment of primary spontaneous pneumothorax: an overview. In: Respiration. 2003 Jul–Aug; 70(4), S. 431–438. Review. PMID 14512683
- H. Jantsch, G. Lechner: Radiologische Überwachung des beatmeten Patienten. In: J. Kilian, H. Benzer, F. W. Ahnefeld (Hrsg.): Grundzüge der Beatmung. Springer, Berlin u. a. 1991, ISBN 3-540-53078-9, 2., unveränderte Aufl. ebenda 1994, ISBN 3-540-57904-4, S. 134–168; hier: S. 149–158.
- Klaus Holldack, Klaus Gahl: Auskultation und Perkussion. Inspektion und Palpation. Thieme, Stuttgart 1955; 10., neubearbeitete Auflage ebenda 1986, ISBN 3-13-352410-0, S. 96–98.
Weblinks
- Pneumothorax – Informationen der Deutschen Lungenstiftung e. V.
- Pneumothorax – Informationen der Uniklinik Freiburg
- Najib M. Rahman: Pneumothorax. MSD Manuals, 1. August 2023, abgerufen am 2. Juni 2024.
- S3-Leitlinie: Diagnostik und Therapie von Spontanpneumothorax und postinterventionellem Pneumothorax der AWMF
- Pleurodese
Einzelnachweise
- ↑ das von Ferdinand Sauerbruch mit „Luftbrust“ übersetzte Wort „Pneumothorax“ wurde von dem britischen Chirurgen William Hewson im 18. Jahrhundert eingeführt, der 1767 diese Luftansammlung im Brustfellraum nachgewiesen hatte. Vgl. etwa Paul Diepgen, Heinz Goerke: Aschoff/Diepgen/Goerke: Kurze Übersichtstabelle zur Geschichte der Medizin. 7., neubearbeitete Auflage. Springer, Berlin/Göttingen/Heidelberg 1960, S. 28, sowie Ferdinand Sauerbruch, Hans Rudolf Berndorff: Das war mein Leben. Kindler & Schiermeyer, Bad Wörishofen 1951; Lizenzausgabe für Bertelsmann Lesering, Gütersloh 1956, S. 41–45.
- ↑ Andrew L. Banyai: Is "spontaneous pneumothorax" really spontaneous?. In: Dis. Chest. Band 56, Nr. 6, Dezember 1969, S. 487. doi:10.1378/chest.56.6.487
- ↑ John B. West: Why doesn’t the elephant have a pleural space? In: News in Physiological Sciences. Band 17, 2002, S. 47–50, doi:10.1152/nips.01374.2001.
- ↑ Rüdiger Meyer: Spontanpneumothorax. Thoraxdrainage bleibt bei jüngeren Patienten ohne klare Vorteile. In: Deutsches Ärzteblatt. Band 117, Heft 10, 6. März 2020, S. B 435.
- ↑ H. Matthys, W. Seeger: Klinische Pneumologie. Springer, Heidelberg 2008, ISBN 3-540-37682-8, S. 581.
- ↑ L. Bense, L.G. Wiman, G. Hedenstierna: Onset of symptoms in spontaneous pneumothorax: correlations to physical activity. In: Eur J Respir Dis. Band 71, 1987, Nr. 3: S. 181–186. PMID 3678419.
- ↑ a b Xiaowen Hu, Clayton T. Cowl, Misbah Baqir, Jay H. Ryu: Air Travel and Pneumothorax. In: Chest. Band 145, Nr. 4, 2014, S. 688–694. doi:10.1378/chest.13-2363, PMID 24687705
- ↑ Angelo M. Taveira-DaSilva, Dara Burstein, Olanda M. Hathaway, Joseph R. Fontana, Bernardette R. Gochuico, Nilo A. Avila, Joel Moss: Pneumothorax after air travel in lymphangioleiomyomatosis, idiopathic pulmonary fibrosis, and sarcoidosis. Chest, 2009. Band 136, Nr. 3: S. 665–670, doi:10.1378/chest.08-3034, PMID 19318672.
- ↑ Antonio Bobbio, Agnès Dechartres, Samir Bouam, Diane Damotte, Antoine Rabbat, Jean-François Régnard, Nicolas Roche, Marco Alifano: Epidemiology of spontaneous pneumothorax: gender-related differences. In: Thorax. Band 70, 2015, Nr. 7, S. 653–658. doi:10.1136/thoraxjnl-2014-206577, PMID 25918121.
- ↑ Berkant Ozpolat, Alper Gözübüyük, Bülent Koçer, Rasih Yazkan, Koray Dural, Onur Genç: Meteorological conditions related to the onset of spontaneous pneumothorax. In: Tohoku J Exp Med, 2009. Band 217, Nr. 4 S. 329–334, doi:10.1620/tjem.217.329, PMID 19346739.
- ↑ Takahiro Haga, Masatoshi Kurihara, Hideyuki Kataoka und Hiroki Ebana: Influence of weather conditions on the onset of primary spontaneous pneumothorax: positive association with decreased atmospheric pressure. In: Ann Thorac Cardiovasc Surg, 2013. Band 19, Nr.3 S. 212–215, doi:10.5761/atcs.oa.12.01884, PMID 22971720.
- ↑ Sang-Hyuk Lee, Ho Choi, Seoyoung Kim, Tae Kyou Choi, Sungsoo Lee, Borah Kim, Shin Young Suh, Ki-Hwan Yook und Yong Woo Kim: Association between anger and first-onset primary spontaneous pneumothorax. In: Gen Hosp Psychiatry. Band 3, 2008, Nr. 4, S. 331–336. doi:10.1016/j.genhosppsych.2008.02.008, PMID 18585536.
- ↑ Hatice Eryigit, Evrim Ozkorumak, Mehmet Unaldi, Attila Ozdemir, Murat Ersin Cardak, Kadir Burak Ozer: Are there any psychological factors in male patients with primary spontaneous pneumothorax? In: Int J Clin Exp Med. Band 7, 2014, Nr. 4, S. 1105–1109. PMID 24955190.
- ↑ Noppen, Marc: Pneumothorax durch Bässe. In: Marc Noppen (Hrsg.): Thorax. 1. Auflage. Band 59. Freie Universität, Brüssel 2004, S. 722.
- ↑ Vgl. auch Rudolph Matas: Intralaryngeal insufflation for the relief of acut surgical pneumothorax. In: Journal of the American Medical Association. Band 34, 1900, S. 1468 ff.
- ↑ H. Orth, I. Kis: Schmerzbekämpfung und Narkose. In: Franz Xaver Sailer, Friedrich Wilhelm Gierhake (Hrsg.): Chirurgie historisch gesehen. Anfang – Entwicklung – Differenzierung. Dustri-Verlag, Deisenhofen bei München 1973, ISBN 3-87185-021-7, S. 1–32, hier: S. 22.
- ↑ Berthold Jany, Tobias Welte: Pleuraerguss des Erwachsenen – Ursachen, Diagnostik und Therapie. In: Deutsches Ärzteblatt. Band 116, Nr. 21, (Mai) 2019, S. 377–385, hier: S. 381.
- ↑ Joachim Frey: Pneumothorax. In: Ludwig Heilmeyer (Hrsg.): Lehrbuch der Inneren Medizin. Springer-Verlag, Berlin/Göttingen/Heidelberg 1955; 2. Auflage ebenda 1961, S. 734–738, hier: S. 734.
- ↑ Paul Diepgen, Heinz Goerke: Aschoff/Diepgen/Goerke: Kurze Übersichtstabelle zur Geschichte der Medizin. 7., neubearbeitete Auflage. Springer, Berlin/Göttingen/Heidelberg 1960, S. 59.
- ↑ Friedrich Wilhelm Gierhake, Julius Muasya Kyambi: Lunge und Pleurahöhle. In: Franz Xaver Sailer, Friedrich Wilhelm Gierhake (Hrsg.): Chirurgie historisch gesehen. Anfang – Entwicklung – Differenzierung. Mit einem Geleitwort von Rudolf Nissen. Dustri-Verlag Dr. Karl Feistle, Deisenhofen bei München 1973, ISBN 3-87185-021-7, S. 153–163, S. 154.
- ↑ Friedrich Wilhelm Gierhake, Julius Muasya Kyambi: Lunge und Pleurahöhle. In: Franz Xaver Sailer, Friedrich Wilhelm Gierhake (Hrsg.): Chirurgie historisch gesehen. Anfang – Entwicklung – Differenzierung. Mit einem Geleitwort von Rudolf Nissen. Dustri-Verlag Dr. Karl Feistle, Deisenhofen bei München 1973, ISBN 3-87185-021-7, S. 153–163, hier: S. 153.
- ↑ Christoph Weißer: Pneumothorax. In: Werner E. Gerabek, Bernhard D. Haage, Gundolf Keil, Wolfgang Wegner (Hrsg.): Enzyklopädie Medizingeschichte. Walter de Gruyter, Berlin und New York 2005, ISBN 3-11-015714-4, S. 1171.
- ↑ Paul Diepgen, Heinz Goerke: Aschoff/Diepgen/Goerke: Kurze Übersichtstabelle zur Geschichte der Medizin. 7., neubearbeitete Auflage. Springer, Berlin/Göttingen/Heidelberg 1960, S. 28.
- ↑ Lungenärzte im Netz – Pneumothorax. Deutsche Gesellschaft für Pneumologie und Beatmungsmedizin (DGP), Bundesverband der Pneumologen e. V. (BdP), abgerufen am 25. Januar 2013.
- ↑ Journal of Trauma 2004, http://www.jtrauma.com/
- ↑ Behandlung des Pneumothorax. In: Der Chirurg. Juli 2007, 78, S. 655–668, abgerufen am 3. April 2010.
- ↑ Friedrich Wilhelm Gierhake, Julius Muasya Kyambi: Lunge und Pleurahöhle. 1973, S. 153.
- ↑ Pneumothorax: Klinik, Diagnostik und Behandlung. In: Der Pneumologe. Juli 2008, 5, S. 239–246, abgerufen am 3. April 2010.
- ↑ Treatment options of spontaneous pneumothorax. In: Indian J Chest Dis Allied Sci. Band 48, Nr. 3, Juli–September 2006, S. 191–200, PMID 18610677, abgerufen am 3. April 2010.