Hämatothorax

Klassifikation nach ICD-10
J94.2 Hämatothorax, Hämatopneumothorax
S27.1 Hämatothorax, traumatisch
{{{03-BEZEICHNUNG}}}
{{{04-BEZEICHNUNG}}}
{{{05-BEZEICHNUNG}}}
{{{06-BEZEICHNUNG}}}
{{{07-BEZEICHNUNG}}}
{{{08-BEZEICHNUNG}}}
{{{09-BEZEICHNUNG}}}
{{{10-BEZEICHNUNG}}}
{{{11-BEZEICHNUNG}}}
{{{12-BEZEICHNUNG}}}
{{{13-BEZEICHNUNG}}}
{{{14-BEZEICHNUNG}}}
{{{15-BEZEICHNUNG}}}
{{{16-BEZEICHNUNG}}}
{{{17-BEZEICHNUNG}}}
{{{18-BEZEICHNUNG}}}
{{{19-BEZEICHNUNG}}}
{{{20-BEZEICHNUNG}}}
Vorlage:Infobox ICD/Wartung {{{21BEZEICHNUNG}}}
ICD-10 online (WHO-Version 2019)
Klassifikation nach ICD-11
CB26 Hämatothorax
NB32.1 Traumatischer Hämatothorax
ICD-11: EnglischDeutsch (Entwurf)
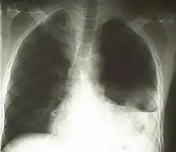
Linksseitiger Hämatothorax

Unter Hämatothorax, auch Hämothorax genannt, versteht man eine Ansammlung von Blut im Pleuraraum. Es handelt sich um eine exsudative[1] Form des Pleuraergusses.

Ätiologie

Ein Hämatothorax entsteht meist durch stumpfe Thoraxtraumata, bei denen neben Verletzungen der großen Gefäße des Mediastinums auch Rupturen der A. mammaria und Interkostalarterie oder -vene ursächlich sein können[2]. Liegt eine penetrierende Verletzung vor so ist eine Läsion eines Lungengefäßes wahrscheinlich. Andere Ursachen können postoperative Nachblutungen, z. B. nach Lungenbiopsie, Pleurapunktion oder ZVK-Anlage sein.[3]

Symptome

Symptomatisch zeigt sich Atemnot (Dyspnoe) sowie Zeichen einer zunehmenden Zentralisation des Blutkreislaufs[4] (Hypotonie, Tachykardie, Kaltschweißigkeit, blasse Haut).[5]

Diagnose

Diagnostisch zeigt sich eine Kombination von Dyspnoe sowie pathologischem Auskultations- (abgeschwächtes bzw. fehlendes Atemgeräusch) und Perkussionsbefund (hypersonorer Klopfschall). So kann mit hoher Wahrscheinlichkeit ein Hämato- bzw. Pneumothorax vermutet werden.[6] Ein Röntgen oder CT des Thorax dient der Bestätigung der Verdachtsdiagnose.[7] Im Röntgenbild kann jedoch nicht zwischen Hämatothorax, Pleuraerguss, Chylothorax und Pyothorax/Pleuraempyem unterschieden werden, deswegen erfolgt die sichere Diagnose meist mittels CT. Im Schnittbild kann eine eindeutige Identifizierung mittels der Dichtewerte (HE) erfolgen.[8] Wenn sich bei einer Pleuraprobepunktion ein blutiges Punktat zeigt, sollte der Hämatokrit des Punktats bestimmt werden. Übersteigt dieser 50 % des Hämatokritwertes des peripheren Blutes, besteht ein Hämatothorax.[9]

Therapie

Initial erfolgt die Einlage einer Thoraxdrainage. Sollten pro Stunde mehr als 300–400 ml oder insgesamt mehr als 1500 ml Blut drainiert werden bzw. röntgenologisch fehlender vollständiger Entfaltbarkeit der Lunge[10], kann eine operative Intervention erwogen werden.[2] Wenn die Anlage einer Thoraxdrainage nicht gelingt, kann sie unter CT-Kontrolle präzise eingebracht werden.[6]

Einzelnachweise

  1. Berthold Jany, Tobias Welte: Pleuraerguss des Erwachsenen – Ursachen, Diagnostik und Therapie. In: Deutsches Ärzteblatt. Band 116, Nr. 21, 2019, S. 377–385, hier: S. 379, doi:10.3238/arztebl.2019.0377.
  2. a b Duale Reihe Orthopädie und Unfallchirurgie. 9. Auflage. Georg Thieme Verlag KG, Stuttgart 2022, ISBN 978-3-13-244313-6, doi:10.1055/b000000573.
  3. Allgemein- und Viszeralchirurgie essentials: Intensivkurs zur Weiterbildung. 8. Auflage. Georg Thieme Verlag, Stuttgart 2017, ISBN 978-3-13-126348-3, doi:10.1055/b-004-132233.
  4. Fritz Uwe Niethard, Peter Biberthaler, Joachim Pfeil: Orthopädie und Unfallchirurgie. 8. Auflage. Georg Thieme Verlag, Stuttgart 2017, ISBN 978-3-13-241748-9, doi:10.1055/b-005-143648.
  5. Hanns-Wolf Baenkler, Robert Bals, Hartmut Goldschmidt, Johannes-Martin Hahn, Martin Hinterseer: Kurzlehrbuch Innere Medizin. 4. Auflage. Georg Thieme Verlag KG, Stuttgart 2021, ISBN 978-3-13-220000-5, doi:10.1055/b000000422.
  6. a b Chirurgie und Bildgebung. Georg Thieme Verlag, Stuttgart 2018, ISBN 978-3-13-173581-2, doi:10.1055/b-004-132229.
  7. Bildgebende Diagnostik beim Polytrauma. Georg Thieme Verlag, Stuttgart 2020, ISBN 978-3-13-200781-9, doi:10.1055/b-006-163223.
  8. Notfallradiologie: ... den Nachtdienst überleben ... 1. Auflage. Georg Thieme Verlag, Stuttgart 2011, ISBN 978-3-13-150021-2, doi:10.1055/b-004-134409.
  9. Harrisons Innere Medizin. Suttorp N, Möckel M, Siegmund B, Dietel M, Hrsg. 20. Auflage. Berlin: ABW Wissenschaftsverlag; 2020. ISBN 978-3-13-243524-7.
  10. Fehler in der Allgemein- und Viszeralchirurgie: Fallbeispiele und deren rechtliche Konsequenzen. Georg Thieme Verlag, Stuttgart 2017, ISBN 978-3-13-199481-3, doi:10.1055/b-004-140671.