Spannungspneumothorax

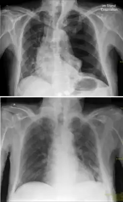
p. a.-Röntgenbild eines linksseitigen Spannungspneumothorax vor (oben) und nach (unten) Anlage einer Thoraxdrainage. Gut zu sehen ist die Verlagerung des Mediastinums hin zur gesunden Seite.
Klassifikation nach ICD-10
J93.0 Spontaner Spannungspneumothorax
S27.0 Traumatischer Pneumothorax
{{{03-BEZEICHNUNG}}}
{{{04-BEZEICHNUNG}}}
{{{05-BEZEICHNUNG}}}
{{{06-BEZEICHNUNG}}}
{{{07-BEZEICHNUNG}}}
{{{08-BEZEICHNUNG}}}
{{{09-BEZEICHNUNG}}}
{{{10-BEZEICHNUNG}}}
{{{11-BEZEICHNUNG}}}
{{{12-BEZEICHNUNG}}}
{{{13-BEZEICHNUNG}}}
{{{14-BEZEICHNUNG}}}
{{{15-BEZEICHNUNG}}}
{{{16-BEZEICHNUNG}}}
{{{17-BEZEICHNUNG}}}
{{{18-BEZEICHNUNG}}}
{{{19-BEZEICHNUNG}}}
{{{20-BEZEICHNUNG}}}
Vorlage:Infobox ICD/Wartung {{{21BEZEICHNUNG}}}
ICD-10 online (WHO-Version 2019)
Klassifikation nach ICD-11
CB21.0 Spontaner Spannungspneumothorax
NB32.0 Traumatischer Pneumothorax
ICD-11: EnglischDeutsch (Entwurf)

Der Spannungspneumothorax ist eine besondere und lebensgefährliche Form des Pneumothorax. Er entsteht, wenn Luft durch eine Verletzung in den Pleuraspalt eindringt, ohne wieder entweichen zu können. Bei der Einatmung (Inspiration) kann Luft entweder von außen (z. B. durch einen Einstich) oder von innen (z. B. durch einen eingerissenen Lungenlappen) in den Pleuraspalt gelangen. Bei der Ausatmung (Exspiration) wird die Verletzung von innen zugedrückt, wie bei einem Rückschlagventil, so dass die Luft nicht mehr entweichen kann und sich stattdessen im Pleuraspalt verteilt. Deshalb wird diese Verletzung auch als Ventilpneumothorax bezeichnet. Mit Zunahme des Luftvolumens steigt der intrathorakale Druck auf der verletzten Seite an und verdrängt das Mittelfell zur Gegenseite. Auf diese Weise werden die gesunde Lunge und die Hohlvenen komprimiert. Die Venenkompression drosselt den venösen Rückstrom zum Herzen, wodurch das Schlagvolumen bedrohlich abnimmt.

Ursachen

Entsteht durch ein Thoraxtrauma eine Verbindung zwischen Außenluft und Pleuraspalt, so kollabiert der betroffene Lungenflügel. Im Unterschied zu einem „normalen“ Pneumothorax entweicht die Atemluft bei der Exspiration jedoch nicht wieder aus dem betroffenen Gebiet, sondern verbleibt aufgrund eines Ventilmechanismus im sich nun immer mehr weitenden Pleuraspalt. Bei der Einatmung gelangt Luft zwischen Lungengewebe und Rippenfell (Pleura visceralis und Pleura parietalis). Bei der Exspiration wird nun nach und nach mehr Luft in den intrathorakalen Raum gepresst, was eine Erhöhung des intrathorakalen Drucks zur Folge hat. Dies führt zu einer Verdrängung des Mittelfells (Mediastinums) und auch des Herzens. Diese Verdrängung des Herzens wiederum führt zu einem behinderten venösen Rückfluss (Abknicken der Vena cava inferior und superior). Auch wird der ansonsten intakte Lungenflügel der gegenüberliegenden Seite komprimiert, was eine Minderversorgung mit Sauerstoff nach sich zieht. Man unterscheidet zwischen einem offenen (Verbindung durch ein Loch in der Brustwand) und geschlossenem (Verbindung durch Riss in der Lunge) Spannungspneumothorax.

Symptome

Der Patient leidet unter Atemnot (Dyspnoe) und entwickelt eine zunehmende Zyanose (violette bis bläuliche Verfärbung der Haut). Durch die Verdrängung des Herzens und der venösen Gefäße werden sich als sichtbares Zeichen die Halsvenen anstauen. Durch den verminderten Rückfluss des Blutes fällt darüber hinaus der systolische Blutdruck ab (arterielle Hypotonie) und es kommt kompensatorisch zu einer Tachykardie.

Im weiteren Verlauf kommt es durch Kompression der unteren und oberen Hohlvene (Vena cava inferior und Vena cava superior) zu einem verminderten venösen Rückfluss und damit zur Hypoxie, die sich durch den schlechten Gesamtzustand des Patienten, d. h. weiterer Blutdruckabfall, zunehmende Dyspnoe/Zyanose bemerkbar macht.

Außerdem können sich Hautpartien durch den hohen intrathorakalen Druck vorwölben.

Therapie

Eine sofortige Druckentlastung ist für den Patienten eine lebenswichtige Maßnahme. Diese wird durch Ärzte in der Regel per Thoraxdrainage (meist als Bülau-Drainage) und mit einem sogenannten Heimlichventil durchgeführt. Bei der Anlage der Thoraxdrainage wird ein Schnitt mit dem Skalpell an einer bestimmten Stelle im Zwischenrippenraum auf der verletzten Seite durchgeführt und anschließend die Thoraxdrainage in den Pleuraspalt eingeschoben. Mithilfe dieses Schlauches kann nun die im Brustkorb befindliche Luft entweichen. Das Heimlichventil funktioniert dabei wie ein Rückschlagventil. Anschließend wird der Defekt eventuell chirurgisch versorgt.

Eine andere einfache, aber professionelle Methode, die aufgrund einer geringeren Effizienz nur noch selten angewendet wird, ist die Drainage mittels einer einfachen Kanüle mit einem Tiegelventil, welches mithilfe eines eingeschnittenen Gummi-Fingerlings gebildet wird. Auch hier verschließt sich das Ventil bei Inspiration und öffnet sich während der Exspiration, sodass der Druck in der Pleurahöhle sinkt.

Als ärztliche Notfallmaßnahme (ein Spannungspneumothorax kann bei ungünstigen Umständen binnen weniger Minuten zum Tode führen, nicht immer ist besser geeignetes Instrumentar direkt zur Hand) geeignet ist auch die alleinige Öffnung der Pleurahöhle, beispielsweise durch Einstechen mehrerer großlumiger Kanülen oder aber durch Eröffnung der Brustwand mit einem einfachen Messer und anschließendem Offenhalten dieser Wunde, und damit die Schaffung eines Druckausgleichs zwischen der Pleurahöhle und dem Umgebungsluftdruck. So wird der Spannungspneumothorax zunächst in einen einfachen Pneumothorax umgewandelt, der in aller Regel nicht akut lebensbedrohlich ist.

Sollte als falsch verstandene Erste-Hilfe-Maßnahme eine penetrierende Verletzung von außen luftdicht verklebt worden sein (was zunächst durchaus plausibel klingt und vor einem halben Jahrhundert noch offiziell als Erste-Hilfe-Maßnahme gelehrt wurde), so ist diese Wundabdeckung zu entfernen und durch eine luftdurchlässige Abdeckung über eine locker sitzende Kompresse zu ersetzen. Auch hierdurch wird das Risiko eines Spannungspneumothorax stark reduziert und einen einfachen Pneumothorax kann ein ruhig sitzender Patient gut überleben.

Literatur