Lungenemphysem
| Klassifikation nach ICD-10 | |
|---|---|
| J43 | Emphysem |
| J44 | Sonstige chronische obstruktive Lungenkrankheit – mit Emphysem |
| ICD-10 online (WHO-Version 2019) | |
Als Lungenemphysem, Emphysem (der Lunge) oder (chronische) Lungenblähung wird eine irreversible Überblähung der kleinsten luftgefüllten Strukturen (Lungenbläschen, Alveolen) der Lunge bezeichnet. Es ist der gemeinsame Endpunkt einer Reihe von chronischen Lungenerkrankungen.
Pathogenese

Eine Theorie ist, dass es durch verschiedene Schadstoffe (Tabakrauch, Silikate, Fein- und Quarzstaub) oder durch körpereigene Proteasen (beim Alpha-1-Antitrypsin-Mangel) zu entzündlichen Veränderungen des Lungengewebes kommt. Die folgende Ansammlung von Leukozyten setzt Proteasen frei, eingeschlossen Elastasen. Diese zerstören die elastischen Fasern der Lunge. Weiterhin inaktivieren Sauerstoffradikale Alpha-1-Antitrypsin, das normalerweise Elastase und andere Proteasen inaktiviert. Zusätzlich erhöht sich der Druck von außen auf die Bronchiolen (kleine Bronchien), die dann beim Ausatmen kollabieren, so dass die in den Alveolen enthaltene Luft gefangen bleibt (trapped air). Die Folge ist eine Überblähung der Lungen mit erhöhtem Luftgehalt der Lunge. Es gibt aber auch andere Vermutungen.
Damit kann weniger verbrauchte Luft ausgeatmet werden, weniger frische Luft kann einströmen. Im Extremfall werden aus vorher funktionstüchtigen Lungenbläschen große funktionslose „Emphysemblasen“. Endogen kann auch ein persistierendes Asthma bronchiale zu einem Lungenemphysem führen.
Letztlich verliert die Lunge ihre Elastizität und die enthaltene Luft kann nicht mehr vollständig entweichen.
Symptome
Generell liegt beim Lungenemphysem, bedingt durch die verminderte Gasaustauschfläche, eine chronische Atemnot vor, anfangs nur bei Belastung, im späteren Verlauf auch in Ruhe (Ruhedyspnoe). Der verminderte Sauerstoffgehalt des Blutes zeigt sich eventuell durch bläulich-rote Verfärbung (Zyanose) der Lippen, Fingerspitzen und Zehenspitzen. Der Hustenmechanismus kann gestört[1] sein.
Der Umfang des Brustkorbes nimmt zu (Fassthorax mit waagerechtem Verlauf der Rippen[2]). Im Spätstadium kommt es zu einer (Rechts-)Herzbelastung.
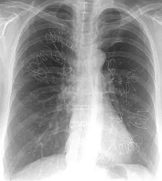
Im Röntgenbild (Röntgen-Thorax) zeigt sich das Lungenemphysem in einer verminderten Dichte des Lungengewebes. Zudem kann ein Tropfenherz ausgebildet sein.
Einteilung


Anatomisch gesehen verästeln sich die Luftwege immer weiter, bis sie schließlich in den sogenannten Lungenbläschen (Alveolen) enden, in denen dann letztlich der Gasaustausch stattfindet (bildlich weitgehend wie eine Traube vorzustellen). Die Lungenbläschen hängen an einem kleinen Bronchus (mehrere Bronchioli respiratorii laufen zu einem Bronchiolus terminalis zusammen). Das Lungenemphysem spielt sich weitgehend in diesem Bereich, also den Endungen der Luftwege, ab.
Man kann das Lungenemphysem (früher auch Lungenblähsucht genannt) folgendermaßen einteilen:[3]
- Kongenitales lobäres Emphysem, seltene angeborene Fehlanlage mit massiver Überblähung von Lungenlappen durch einen Ventilmechanismus aufgrund von Fehlanlagen der Bronchien oder der Knorpelspangen, von lumenverlegenden Raumforderungen oder aus ungeklärter Ursache.[4]
- Primär atrophisches Emphysem (normales Altersemphysem oder Seniles Emphysem).
- Sekundäres Emphysem, d. h. als Folge einer zugrunde liegenden Störung:
- Zentrilobuläres (zentroazinäres) Emphysem: Es entsteht typischerweise aus einer chronisch obstruktiven Lungenerkrankung (COPD). Dieser Typ ist hauptsächlich in den Oberlappen der Lunge zu finden. Dabei sind zunächst die Bronchioli respiratorii (die feinen Verästelungen der Bronchien, die von den Bronchioli terminales praktisch direkt zu den Alveolen führen), später auch die Bronchioli terminales (Alveolargang) und die Azini (bestehend aus Alveolen und Ductus alveolares) selbst betroffen.[5]
- Panlobuläres (panazinäres) Emphysem: Diese Form betrifft typischerweise die Azini (bestehend aus Alveolen und Ductus alveolares) und erst später die Bronchioli respiratorii und die Bronchioli terminales. Hauptgrund für die Entstehung ist der erbliche Alpha-1-Antitrypsin-Mangel. Das Enzym schützt die Lunge üblicherweise vor Proteasen, die das Gewebe bei einem Mangel angreifen können. Wenn die Alveolarsepten einreißen, können die Emphysemblasen konfluieren. Es bildet sich bei weiterem Wachstum ein bullöses (lateinisch "Bulla" = "Blase") Emphysem aus.
- Narbenemphysem oder kompensatorisches Emphysem: Dabei kommt es zu einer Ausweitung von Lungengewebe in der Umgebung schrumpfender (retrahierter) Lungenbezirke.
- Überdehnungsemphysem oder Dehnungsemphysem: Dazu kann es z. B. nach einer Teil-Resektion der Lunge durch Ausdehnung der Restlunge kommen.
- Interstitielles Emphysem:[6] Anreicherung von Luft im Zwischen-Gewebe der Lunge.

Etymologie
Emphysem ist abgeleitet von griechisch ἐμφύσημα (emphýsema) „Blähung, Schwellung“.[7]
Weblinks
- Lungeninformationsdienst.de – Lungenemphysem
- Informationsseite des COPD-Deutschland eV COPD – Lungenemphysem: Symptome, Ursachen, Diagnostik und Therapieoptionen
- Informationsseite der Patientenorganisation Lungenemphysem-COPD Deutschland Symptome, Ursachen, Behandlung, Therapie
Ältere Literatur
- Joachim Frey: Krankheiten der Atmungsorgane. In: Ludwig Heilmeyer (Hrsg.): Lehrbuch der Inneren Medizin. Springer-Verlag, Berlin/Göttingen/Heidelberg 1955; 2. Auflage ebenda 1961, S. 599–746, hier: S. 713–717 (Lungenempyhsem).
Einzelnachweise
- ↑ D. Berger, D. Nolte: Die atemmechanischen Grundlagen des gestörten Hustenmechanismus beim Emphysempatienten. In: Atemwegs- und Lungenkrankheiten. Band 4, 1978, S. 178 ff.
- ↑ Klaus Holldack, Klaus Gahl: Auskultation und Perkussion. Inspektion und Palpation. Thieme, Stuttgart 1955; 10., neubearbeitete Auflage ebenda 1986, ISBN 3-13-352410-0, S. 89 f.
- ↑ G. Herold: Innere Medizin, Eigenverlag, 2007, S. 314 ff.
- ↑ Eintrag zu Emphysem, kongenitales lobäres. In: Orphanet (Datenbank für seltene Krankheiten)
- ↑ Renate Lüllmann-Rauch: Histologie: entenda, aprenda, consulte; 10 quadros. 2. Auflage. Guanabara Koogan, Rio de Janeiro 2006, ISBN 85-277-1183-4.
- ↑ H. Jantsch, G. Lechner: Radiologische Überwachung des beatmeten Patienten. In: J. Kilian, H. Benzer, F. W. Ahnefeld (Hrsg.): Grundzüge der Beatmung. Springer, Berlin u. a. 1991, ISBN 3-540-53078-9, 2., unveränderte Aufl. ebenda 1994, ISBN 3-540-57904-4, S. 134–168; hier: S. 150.
- ↑ Wiktionary: ἐμφύσημα