Neuronale Heterotopie
| Klassifikation nach ICD-10 | |
|---|---|
| Q04.8 | Sonstige näher bezeichnete angeborene Fehlbildungen des Gehirns |
| ICD-10 online (WHO-Version 2019) | |
Eine Neuronale Heterotopie, auch Zerebrale Heterotopie, ist eine Form einer Heterotopie im Zentralen Nervensystem. Eine oder mehrere Gruppen von Nervenzellen befinden sich nicht an der anatomisch üblichen Lokalisation, der Großhirnrinde.[1]

Pathologie
In der germinalen Matrixzone werden bestimmte neurologische Zellen durch Mitose gebildet. Die dort gebildeten Neuronen wandern nach ihrer Entstehung in die Großhirnrinde. Sollten diese dort nicht „ankommen“ und außerhalb der Großhirnrinde sowie der germinalen Matrixzone sein, spricht man von Heterotopien. Somit entsteht ein „Bündel“ aus grauer Substanz in der weißen Substanz.[2]
Einteilung
Je nach Lokalisation können unterschiedliche Formen von Heterotopien unterschieden werden:[2]
- Subependymale oder Periventrikuläre Heterotopien (PVNH, PNH), jeweils angrenzend an das ventrikuläre Ependym, einschließlich der periventrikulären nodulären Heterotopie (PHN) (bis 2017 Ehlers-Danlos-Syndrom mit periventrikulärer Heterotopie genannt – zählt aber nicht länger zu den Ehlers-Danlos-Syndromen)[3][4]
- Subkortikale Heterotopien, Fokale subkortikale Heterotopien
- Bandförmige Heterotopien, auch als subkortikale Bandheterotopie, Subkortikale laminare Heterotopie (SCLH) bezeichnet[5]
Nach der Form kann unterschieden werden zwischen nodulärer Heterotopie und diffuser Heterotopie.[6] Die häufigste Form, die Subependymale Heterotypie gehört zu den nodulären Formen ebenso wie die Subkortikale Heterotopie.[7]
Ursachen
Als mögliche Ursachen bzw. Auslöser kommen neben genetischen Veränderungen intrauterine Infektionen oder Durchblutungsstörungen infrage.[6][8]
Vorkommen
Heterotopien treten gehäuft im Zusammenhang mit anderen Fehlbildungen des Zentralnervensystems auf wie:[9][10]
Klinische Erscheinungen
Die meisten Betroffenen fallen durch fokale Krampfanfälle im 2. Lebensjahrzehnt auf. Bei Kindern und Jugendlichen kann eine Entwicklungsverzögerung oder Geistige Behinderung auftreten.[6][9]
Diagnostik
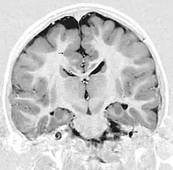
Das Bildgebendes Verfahren der Wahl ist die Kernspintomographie.[6][10][9] Das heterotope Gewebe entspricht in seiner Signalgebung in allen Sequenzen der von grauer Substanz. In der fMRT kann mit BOLD-Kontrast eine Aktivierung der Heterotopien gezeigt werden.[11]
Literatur
- I. Pogledic: Migrations- und Gyrierungsstörungen. In: Der Radiologe. 58, 2018, S. 653, doi:10.1007/s00117-018-0400-x.
- A. M. Coady: Cranial Abnormalities: In: A. M. Coady, S. Bowler (Hrsg.): Twining's Textbook of Fetal Abnormalities, 3. Aufl., S. 223–263, 2015
- W. Hirsch: Heterotopie und andere Migrationsstörungen des kindlichen Hirns. In: RÖFo – Fortschritte auf dem Gebiet der Röntgenstrahlen und der bildgebenden Verfahren. 181, 2009, doi:10.1055/s-0029-1221190.
Weblinks
Einzelnachweise
- ↑ F. Ebinger: Fehlbildungen und frühkindliche Schädigungen des ZNS. Thieme, Stuttgart 2007, ISBN 978-3-13-137591-9. S. 28f.
- ↑ a b B. Ertl-Wagner: Pädiatrische Neuroradiologie. Springer, Berlin/Heidelberg 2007, ISBN 978-3-642-51767-9.
- ↑ Eintrag zu Heterotopie, noduläre periventrikuläre. In: Orphanet (Datenbank für seltene Krankheiten), abgerufen am 27. Juli 2024.
- ↑ https://www.ehlers-danlos.com/wp-content/uploads/2021/07/types_of_eds_d.pdf
- ↑ Eintrag zu Bandheterotopie, subkortikale. In: Orphanet (Datenbank für seltene Krankheiten)
- ↑ a b c d Radiopaedia
- ↑ Radiopaedia Subcortial
- ↑ N. Di Donato: Genetik der kortikalen Fehlbildungen. In: medizinische genetik. 30, 2018, S. 21, doi:10.1007/s11825-017-0165-z.
- ↑ a b c A. A. Abdel Razek, A. Y. Kandell, L. G. Elsorogy, A. Elmongy, A. A. Basett: Disorders of cortical formation: MR imaging features. In: AJNR. American journal of neuroradiology. Band 30, Nummer 1, Januar 2009, S. 4–11, doi:10.3174/ajnr.A1223, PMID 18687750 (Review).
- ↑ a b A. J. Barkovich: Morphologic characteristics of subcortical heterotopia: MR imaging study. In: AJNR. American journal of neuroradiology. Band 21, Nummer 2, Februar 2000, S. 290–295, PMID 10696010.
- ↑ E. Kobayashi, A. P. Bagshaw, C. Grova, J. Gotman, F. Dubeau: Grey matter heterotopia: what EEG-fMRI can tell us about epileptogenicity of neuronal migration disorders. In: Brain : a journal of neurology. Band 129, Pt 2Februar 2006, S. 366–374, doi:10.1093/brain/awh710, PMID 16339793.