Polymikrogyrie

Klassifikation nach ICD-10
Q04.3 Sonstige Reduktionsdeformitäten des Gehirns
{{{02-BEZEICHNUNG}}}
{{{03-BEZEICHNUNG}}}
{{{04-BEZEICHNUNG}}}
{{{05-BEZEICHNUNG}}}
{{{06-BEZEICHNUNG}}}
{{{07-BEZEICHNUNG}}}
{{{08-BEZEICHNUNG}}}
{{{09-BEZEICHNUNG}}}
{{{10-BEZEICHNUNG}}}
{{{11-BEZEICHNUNG}}}
{{{12-BEZEICHNUNG}}}
{{{13-BEZEICHNUNG}}}
{{{14-BEZEICHNUNG}}}
{{{15-BEZEICHNUNG}}}
{{{16-BEZEICHNUNG}}}
{{{17-BEZEICHNUNG}}}
{{{18-BEZEICHNUNG}}}
{{{19-BEZEICHNUNG}}}
{{{20-BEZEICHNUNG}}}
Vorlage:Infobox ICD/Wartung {{{21BEZEICHNUNG}}}
ICD-10 online (WHO-Version 2019)
Klassifikation nach ICD-11
LA05.50 Polymikrogyrie
ICD-11: EnglischDeutsch (Entwurf)
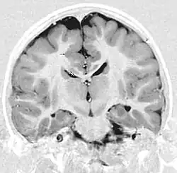
MRT eines Kindes mit Krampfanfällen. Coronare Darstellung mit verdickter und ungeordneter Großhirnrinde bds im Gyrus cinguli und Gyrus frontalis superior (Pfeile). Heterotopien (Doppelpfeile)

Die Polymikrogyrie (von altgriechisch πολύς polys, poly, deutsch ‚viel‘, altgriechisch μικρός mikros, mikro, deutsch ‚klein‘ und altgriechisch γύρος gyros, latinisiert gyrus, deutsch ‚Drehung, Biegung, hier: Windung‘) ist eine sehr seltene angeborene oder pränatal erworbene Fehlbildung mit abnormaler Form und Struktur der Großhirnrinde und deren Oberfläche aufgrund einer Migrationsstörung von kortikalen Neuronen mit pathologisch vielen und zu kleinen Gyri.[1][2]

Einteilung

Eine Klassifikation ist nach der Lokalisation möglich:

  • Bilateral
  • Bilateral-frontal
  • Bilateral-frontoparietal
  • Bilateral generalisiert (ausgeprägteste Form)
  • Bilateral parasagittal parieto-okzipital
  • Bilateral perisylvisch (häufigste Lokalisation)[2]
  • Fokal unilateral (mildeste Form)[3]
  • Hemispherisch unilateral
  • Unilateral

Verbreitung

Die Häufigkeit ist nicht bekannt, meist tritt die Erkrankung sporadisch auf.[1] Es besteht eine Assoziation mit dem Zellweger-Syndrom und dem Smith-Lemli-Opitz-Syndrom.[4]

Im Rahmen von Syndromen

Bei folgenden Syndromen ist die Polymikrogyrie mit ein Hauptmerkmal:

  • Kongenitales intrauterines infektionsähnliches Syndrom, Synonyme: BLC-PMG; Baraitser-Brett-Piesowicz-Syndrom; Baraitser-Reardon-Syndrom; Bilaterale band-ähnliche Kalzifizierung mit Polymikrogyrie; Mikrozephalie - intrakraniale Verkalkungen – Intelligenzminderung; Pseudo-TORCH-Syndrom; Bilaterale band-ähnliche Kalzifizierung mit Polymikrogyrie[5]
  • Megalenzephalie-Kapillarfehlbildungen-Polymikrogyrie-Syndrom
  • MPPH-Syndrom
  • Microzephalie - Polymikrogyrie - Corpus callosum-Agenesie[6]
  • Okzipitale Pachygyrie und Polymikrogyrie, Synonyme: MCD, okzipitale; Okzipitale Fehlbildungen der kortikalen Entwicklung[7]
  • Polymikrogyrie mit Sehnerv-Hypoplasie

Ursache

Mögliche Ursache sind intrauterine Infektionen wie Zytomegalie, Toxoplasmose, Syphilis, Varizellen sowie intrauterine Ischämie z. B. bei Plazenta-Perfusionsstörungen oder Fetofetales Transfusionssyndrom.[3]

Bislang wurden einzelne genetische Formen bekannt.[1][8]

Klinische Erscheinungen

Klinische Kriterien sind:[1]

Der Schweregrad hängt von der Lokalisation und der Größe der Veränderungen ab.

Diagnose

Die Diagnose erfolgt bildgebend mittels Magnetresonanztomographie, bei der Unregelmäßigkeiten der Hirnrindenoberfläche, am Übergang zur grauen Substanz sowie eine Verdickung der Hirnrinde nachgewiesen werden können.[2][3][9]

Differentialdiagnose

Abzugrenzen sind andere Gyrierungs- und Migrationsstörungen, die Fokale kortikale Dysplasie sowie die Ulegyrie.

Therapie

Die Behandlung beschränkt sich auf antikonvulsive Medikamente.[1]

Literatur

  • L. P. Schilling, R. R. Kieling, T. A. Pascoal, H. I. Kim, M. C. Lee, Y. H. Kim, E. Paglioli, P. R. Neto, J. C. Costa, A. Palmini: Bilateral perisylvian ulegyria: an under-recognized, surgically remediable epileptic syndrome. In: Epilepsia. Band 54, Nummer 8, August 2013, S. 1360–1367, doi:10.1111/epi.12160, PMID 23586600
  • L. D. Ladino, A. Arteaga, S. P. Isaza, J. A. Delgado, J. M. Vélez, G. Castrillón, V. Calvo, R. A. Solarte, P. Balaguera, C. S. Uribe: Correlación de la morfometría por resonancia magnética con los hallazgos clínicos y electroencefalográficos de pacientes con diagnóstico de ulegiria y epilepsia. In: Revista de neurologia. Band 54, Nummer 10, Mai 2012, S. 601–608, PMID 22573507.
  • N. Usui, T. Mihara, K. Baba, K. Matsuda, T. Tottori, S. Umeoka, F. Nakamura, K. Terada, K. Usui, Y. Inoue: Posterior cortex epilepsy secondary to ulegyria: is it a surgically remediable syndrome? In: Epilepsia. Band 49, Nummer 12, Dezember 2008, S. 1998–2007, doi:10.1111/j.1528-1167.2008.01697.x, PMID 18557774.

Einzelnachweise

  1. a b c d e Eintrag zu Polymikrogyrie. In: Orphanet (Datenbank für seltene Krankheiten)
  2. a b c A. J. Barkovich: Pediatric Neuroimaging. 2. Auflage, Raven 1995, S. 217ff, ISBN 0-7817-0179-1
  3. a b c GeneReviews
  4. Bernfried Leiber (Begründer): Die klinischen Syndrome. Syndrome, Sequenzen und Symptomenkomplexe. Hrsg.: G. Burg, J. Kunze, D. Pongratz, P. G. Scheurlen, A. Schinzel, J. Spranger. 7., völlig neu bearb. Auflage. Band 2: Symptome. Urban & Schwarzenberg, München u. a. 1990, ISBN 3-541-01727-9.
  5. Eintrag zu Intrauterines infektionsähnliches Syndrom, kongenitales. In: Orphanet (Datenbank für seltene Krankheiten)
  6. Eintrag zu Microzephalie - Polymikrogyrie - Corpus callosum-Agenesie. In: Orphanet (Datenbank für seltene Krankheiten)
  7. Eintrag zu Okzipitale Pachygyrie und Polymikrogyrie. In: Orphanet (Datenbank für seltene Krankheiten)
  8. Eintrag zu Polymikrogyrie durch TUBB2B-Genmutation. In: Orphanet (Datenbank für seltene Krankheiten)
  9. P. Reimer, P. M. Parizel, F.-A. Stichnoth (Herausgeber): Clinical MR Imaging. A Practical Approach. Springer, 2. Auflage 2006, S. 493, ISBN 3-540-31530-6