Heterotopie (Medizin)

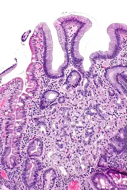
Mikrofoto einer Magenschleimhautheterotopie im Duodenum. HE-Färbung.

Heterotopie bedeutet in der Medizin funktionelles, also korrekt gebildetes und funktionierendes Gewebe, das sich nicht an der anatomisch üblichen Lokalisation befindet.[1]

Beispiele sind:

Mit dem Begriff der Dystopie wird die gestörte Lokalisation bedeutungsmäßig in den Vordergrund gestellt – ansonsten werden die Begriffe auch synonym verwendet.

Einzelnachweise

  1. Willibald Pschyrembel: Klinisches Wörterbuch, 266., aktualisierte Auflage, de Gruyter, Berlin 2014, ISBN 978-3-11-033997-0, Stichwort: Heterotopie
  2. Michael Reiß (Hrsg.): Facharztwissen HNO-Heilkunde: Differenzierte Diagnostik und Therapie. Springer, ISBN 978-3-540-89440-7. S. 480
  3. Nicolaas Philip Tendeloo: Allgemeine Pathologie. Julius Springer, 1925. S. 232
  4. Wolfgang Fischbach, Peter R. Galle, Joachim Mössner: Gastroenterologie in Klinik und Praxis: Das komplette Referenzwerk für Klinik und Praxis. Thieme, Stuttgart 2007. ISBN 978-3-13-158361-1. S. 369
  5. F. Ebinger: Fehlbildungen und frühkindliche Schädigungen des ZNS. Thieme, Stuttgart 2007. ISBN 978-3-13-137591-9. S. 28f.
  6. Gudrun Bornhöft: Pathologie Kompakt. Springer, 2013. ISBN 978-3-540-62082-2. S. 656
  7. Astrid Kruse Gujer, Christine Jacobsen, Klaus W. Grätz: Facharztwissen Mund-, Kiefer- und Gesichtschirurgie. Springer, 2013. ISBN 978-3-642-30003-5. S. 263
  8. Eintrag zu Gliom, nasales. In: Orphanet (Datenbank für seltene Krankheiten)
  9. Herbert Reindell, Helmut Klepzig: Krankheiten des Herzens und der Gefäße. In: Ludwig Heilmeyer (Hrsg.): Lehrbuch der Inneren Medizin. Springer-Verlag, Berlin/Göttingen/Heidelberg 1955; 2. Auflage ebenda 1961, S. 450–598, hier: S. 561–571 (Heterotope Reizbildungsstörungen).