Chiari-Malformation
| Klassifikation nach ICD-10 | |
|---|---|
| Q07.0 | Arnold-Chiari-Syndrom |
| ICD-10 online (WHO-Version 2019) | |
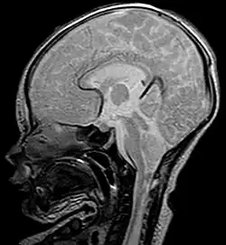
Als Chiari-Malformation wird eine Gruppe von Entwicklungsstörungen mit Verschiebung von Kleinhirnanteilen durch das Hinterhauptloch (Foramen magnum) in den Spinalkanal bei gleichzeitig bestehender verkleinerter hinterer Schädelgrube bezeichnet. Namensgeber ist der Pathologe Hans Chiari (1851–1916), der diese Störung erstmals beschrieb.[1] Die Bezeichnungen Arnold-Chiari-Malformation und Arnold-Chiari-Syndrom wurden von den Schülern des Pathologen Julius Arnold (1835–1915) propagiert, scheinen aber nicht gerechtfertigt, weil diese Gruppe der Entwicklungsstörungen von Arnold nur oberflächlich beschrieben wurde.[2]
Einteilung


Aufgrund von Ausprägung und Lokalisation werden vier verschiedene Typen unterteilt:
- Typ I: Hier liegt eine Verlagerung der Kleinhirntonsillen vor. Als Komplikation kann es zu einer Syringomyelie kommen. Seltener werden knöcherne Fehlbildungen des Schädelbodens und der Wirbelkörper beobachtet. Patienten können durchaus beschwerdefrei sein.[3] Beschwerden treten nicht selten erst im jungen Erwachsenenalter auf. Neben Kopf- und Nackenschmerzen können dies z. B. Zeichen einer Schädigung des Kleinhirns, (z. B. eine als Ataxie bezeichnete Gangunsicherheit) oder des Hirnstamms (z. B. Schluckstörungen) sein. Chiari Typ I Malformationen können bei Patienten mit Ehlers-Danlos Syndrom vorkommen.[4]
- Typ II: Hier kommt es zu einer ausgeprägteren Verlagerung des Kleinhirnwurmes kombiniert mit Kompression und Verlagerung des Hirnstammes sowie Verlagerung des vierten Ventrikels mit Entwicklung eines Hydrozephalus. Normalerweise treten knöcherne Fehlbildungen mit Ausbildung einer Myelomeningeozele hinzu. Der Begriff Arnold-Chiari-Malformation bezieht sich nur auf diese Unterform der Chiari-Malformation.[5]
- Typ III: Bei dieser selteneren Unterform kommt es zu einer massiven Verlagerung des Kleinhirns, bei Ausbildung eines knöchernen Defektes auch mit Bildung einer sogenannten Encephalozele.
- Typ IV: Diese Unterform ist sehr selten. Das Hauptmerkmal dieser Fehlbildung ist, in Übereinstimmung mit der ursprünglichen Beschreibung von Chiari, eine okzipitale Enzephalozele mit supratentoriellem Inhalt.[6]
Die Diagnosestellung erfolgt kernspintomographisch. Bei Feten können das so genannte Lemon sign oder Banana sign als sonografische Softmarker in der pränataldiagnostischen Sonografie ein möglicher Hinweis auf eine Chiari-Malformation sein.
Therapie

Im Falle eines hydrozephalen Aufstaus bei herniierter Kleinhirntonsille wird eine Dekompression über einen subokzipitalen Zugang vorgenommen.
Weblinks
- NINDS Chiari Malformation Information Page Ressource des National Institutes of Health mit Links zu derzeit laufenden klinischen Studien (englisch)
- Chiari Malformation (Tonsillenektopie) im Rahmen von Bindegewebserkrankungen – Referenztabellen
Einzelnachweise
- ↑ H. Chiari: Über Veränderungen des Kleinhirns infolge von Hydrocephalie des Grosshirns. In: Dtsch. Med. Wochenschr. 1891;17, S. 1172–1175 (Erstbeschreibung) Textarchiv – Internet Archive
- ↑ P. J. Koehler, S. H. Greenblatt: The Chiari Malformation. In: Koehler/Bruyn/Pearce (Hrsg.): Neurological Eponyms. Oxford University Press, 2000 (medizinhistorische Arbeit).
- ↑ E. Schijman: History, anatomic forms, and pathogenesis of Chiari I malformations. In: Childs Nerv Syst., 2004, 20, S. 323–328. PMID 14762679.
- ↑ Thomas H. Milhorat, Paolo A. Bolognese, Misao Nishikawa, Nazli B. McDonnell, Clair A. Francomano: Syndrome of occipitoatlantoaxial hypermobility, cranial settling, and chiari malformation type I in patients with hereditary disorders of connective tissue. In: Journal of Neurosurgery. Spine. Band 7, Nr. 6, Dezember 2007, ISSN 1547-5654, S. 601–609, doi:10.3171/SPI-07/12/601, PMID 18074684.
- ↑ Chiari Malformation Fact Sheet: National Institute of Neurological Disorders and Stroke (NINDS). Abgerufen am 3. Februar 2014.
- ↑ R. Shane Tubbs, Amin Demerdash, Payman Vahedi, Christoph J. Griessenauer, W. Jerry Oakes: Chiari IV malformation: correcting an over one century long historical error. In: Child's Nervous System. Band 32, Nr. 7, 1. Juli 2016, ISSN 1433-0350, S. 1175–1179, doi:10.1007/s00381-015-2765-8.