Morbus Bowen
| Klassifikation nach ICD-10 | |
|---|---|
| D00 | Carcinoma in situ der Mundhöhle, des Ösophagus und des Magens |
| D00.0 | Lippe, Mundhöhle und Pharynx |
| D01 | Carcinoma in situ sonstiger und nicht näher bezeichneter Verdauungsorgane |
| D01.3 | Analkanal und Anus |
| D04 | Carcinoma in situ der Haut |
| D07 | Carcinoma in situ sonstiger und nicht näher bezeichneter Genitalorgane |
| D07.1 | Vulva |
| D07.4 | Penis Erythroplasie Queyrat o.n.A. |
| ICD-10 online (WHO-Version 2019) | |

.jpg)
.jpg)
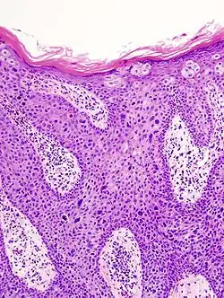
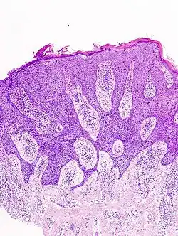
Der Morbus Bowen, auch: Dermatosis praecancerosa Bowen, Erythroplasie de Queyrat (s. u.), Dyskeratosis maligna, ist ein intraepidermales Carcinoma in situ. Dies bedeutet, dass sich die Hautzellen zwar bereits bösartig verändert haben, aber die wichtige Trennschicht Basalmembran noch nicht durchbrochen haben. Erst unterhalb der Basalmembran gibt es in der Haut Blut- und Lymphgefäße. Die bösartig (=maligne) veränderten Zellen des Morbus Bowen können daher nicht metastasieren, da sie keinen Gefäßanschluss haben. Es handelt sich daher beim Morbus Bowen um eine Hautkrebsvorstufe, noch nicht um einen echten Hautkrebs. Nach Monaten bis Jahren kann aus einem Morbus Bowen ein bösartiger Tumor, in diesem Fall ein kutanes Plattenepithelkarzinom (früher Spinaliom, Stachelzellkrebs) entstehen. Ein Plattenepithelkarzinom, das aus einem Morbus Bowen entstanden ist, bezeichnet man als Bowen-Karzinom. Die Veränderungen der DNA der Hautzellen, die zur Entstehung eines Morbus Bowen führen, können durch Sonnenlicht, chemische Stoffe (Arsen) und bestimmte Viren (HPV) ausgelöst werden. Die Erkrankung ist nach John T. Bowen benannt, der sie zuerst beschrieb. Der Morbus Bowen ist eine Erkrankung der zweiten Lebenshälfte und tritt etwas häufiger bei Männern als bei Frauen auf. Neben der Aktinischen Keratose ist er eine weitere wichtige Präkanzerose der Haut.
Symptomatik
An der Haut zeigen sich einzelne scharf begrenzte aber unregelmäßig geformte, breite rot-schuppige Hautveränderungen (erythrosquamöse bzw. psoriasiforme Plaques). Die Größe variiert von Millimeter bis Dezimeter. Die Hautveränderungen sind der Psoriasis (Schuppenflechte) ähnlich, jedoch tritt in der Regel nur ein fixer Herd auf.
Diagnostik
Die Diagnose wird in der Regel aufgrund feingeweblicher Untersuchung gestellt. In der verbreiterten Epidermis finden sich atypische, zu Einzelverhornung neigende Zellen. Die Basalmembran ist intakt (ansonsten muss man bereits von einem Karzinom ausgehen).
Behandlung
Wenn möglich sollte im gesunden Gewebe chirurgisch exzidiert werden. Anschließend wird eine histologische Schnittranduntersuchung vorgenommen und ggf. nach-exzidiert.
Alternativ kommen Kryotherapie (Vereisung mit Flüssigstickstoff) oder verschiedene zytotoxische Cremes (Inhaltsstoffe z. B. 5-Fluorouracil oder Imiquimod) in Frage.
Ebenfalls erfolgversprechend ist die Photodynamische Therapie. Zur Behandlung kann auch die Rhenium-SCT (Skin Cancer Therapy) angewendet werde. Diese macht sich die Beta-Strahler Wirkung des Isotopes 188Re (Rhenium) zunutze und wird als Brachytherapie in unmittelbarer Nähe zur betroffenen Stelle angewendet.[1]
Erythroplasie Queyrat
Die Erythroplasie Queyrat ist ein Carcinoma in situ im Bereich der Schleimhäute und Übergangsschleimhäute, z. B. Mundschleimhaut, Analregion, Eichel und Vorhaut des Penis, Vulva.
Es handelt sich in der Regel um eine einzelne, erosive, leicht verletzliche Läsion. Der Übergang in ein metastasierendes Karzinom erfolgt schnell. Histologische Diagnostik und Therapie entsprechen weitgehend dem Morbus Bowen. Aufgrund der oft ungünstigen Lokalisation ist eine chirurgische Entfernung häufig leider nicht (vollständig) möglich, dann wird meist auf die Strahlentherapie zurückgegriffen. Da die Erythroplasie Queyrat bevorzugt lymphogen metastasiert, müssen die nächsten Lymphknotenstationen regelmäßig – besonders bei nicht vollständiger Entfernung der Läsion – auf Tochtergeschwülste untersucht werden.
Literatur
- Ingrid Moll: Duale Reihe Dermatologie. Georg Thieme Verlag, 2005
- Dr. med. Dirk Hasselmann: Heller Hautkrebs: Erkennen. Behandeln. Sich schützen. 1. Auflage. ISBN 978-3-7450-4315-0
Weblinks
- Makroskopische Bilder von Morbus Bowen bei DermIS
Einzelnachweise
- ↑ Cesidio Cipriani, Maria Desantis, Gerhard Dahlhoff, Shannon D. Brown, Thomas Wendler: Personalized irradiation therapy for NMSC by rhenium-188 skin cancer therapy: a long-term retrospective study. In: Journal of Dermatological Treatment. 22. Juli 2020, ISSN 0954-6634, S. 1–7, doi:10.1080/09546634.2020.1793890.