Riesenzelltumor

| Klassifikation nach ICD-10 | |
|---|---|
| D16.-[1] | Gutartige Neubildung des Knochens und des Gelenkknorpels |
| D48.0[1] | Neubildung unsicheren oder unbekannten Verhaltens an Knochen und Gelenkknorpel |
| D48.1[1] | Neubildung unsicheren oder unbekannten Verhaltens an Bindegewebe und andere Weichteilgewebe |
| ICD-10 online (WHO-Version 2019) | |
Der Riesenzelltumor ist ein sehr seltener und prinzipiell gutartiger Tumor des Weichteilgewebes oder des Knochens, der aber lokal aggressiv wächst. Im Knochen wird er auch oft synonym als Osteoklastom bezeichnet.
Pathologie
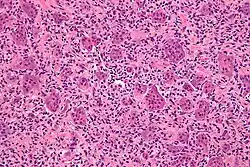
Seinen Namen hat der Tumor wegen seiner charakteristischen, im Mikroskop sichtbaren großen, mehrkernigen Osteoklasten-artigen Riesenzellen. Die eigentlichen Tumorzellen sind jedoch die dazwischen liegenden mesenchymalen mononukleären fibroblastenähnlichen Zellen. Allerdings ist die Morphologie der Zellkerne der mononukleären Zellen und die der Riesenzell-Zellkerne sehr ähnlich, was histologisch wegweisend ist. Die mononukleären Zellen weisen typischerweise Mutationen in der Histon H3-Proteinfamilie auf (H3F3A) und produzieren große Mengen des RANK-Ligand, der die Riesenzellen aktiviert.[2]
Neben dem Riesenzelltumor gibt es weitere Tumoren mit einem Riesenzell-artigen histologischen Bild, bei denen die Differenzierung manchmal schwierig ist, bei denen sich jedoch die Zellkerne der proliferierenden mononukleären Zellen deutlich vom Erscheinungsbild der Zellkerne von Osteoklasten-artigen Riesenzellen unterscheiden:
- Brauner Tumor im Rahmen eines Hyperparathyreoidismus mit unregelmäßig verteilten vorwiegend um Einblutungen lokalisierten Riesenzell-Clustern
- reparatives Riesenzell-Granulom, ebenfalls mit Riesenzell-Clustern in unregelmäßiger Verteilung um Einblutungen
- Chondroblastom vorwiegend in den Epiphysen vor Wachstumsabschluss
- Osteosarkom als maligner Knochentumor, bei dem aber maligne Zellen mit Osteoid- oder Knochenformation vorliegen müssen
Riesenzelltumor des Knochens
-
MRT-Bild (koronare PDfs-Sequenz) eines histologisch gesicherten Riesenzelltumors des Oberschenkelknochens -
Korrespondierendes Bild der koronaren T1-Sequenz -
Gradientenechosequenz, transversale Schichtung. Hier lassen sich die signalarmen (dunklen) Blutabbauprodukte gut nachweisen -
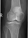
Korrespondierendes Röntgenbild, hier ist der Tumor fast nicht abgrenzbar
Riesenzelltumoren finden sich in etwa 3/4 der Fälle an den Extremitäten und in einem Viertel der Fälle am Rumpf. An den Extremitäten sind Riesenzelltumoren weitgehend auf die Epiphyse der langen Röhrenknochen beschränkt und dort neben dem Chondroblastom der häufigste gutartige Knochentumor. Durch die Lage in der Epiphyse sind sie somit fast immer gelenknah. Die häufigste Lokalisation ist in der Hälfte aller Extremitäten-Riesenzelltumoren das Kniegelenk mit der distalen Femurepiphyse in 34 % und der proximalen Tibiaepiphyse in 29 %.[3] Riesenzelltumore können, auch wenn deutlich seltener, im Bereich der Wirbelsäule auftreten.[4]
Der Tumor ist jedoch mit etwa neun Neuerkrankungen pro 1 Million Einwohnern selten.
Betroffen sind vor allem junge Erwachsene zwischen 20 und 45 Jahren, Frauen häufiger. Riesenzelltumoren des Knochens machen etwa 5 % aller gutartigen Knochentumore aus.
Die Erkrankung bleibt oft lange Zeit unentdeckt, da selbst aggressive Riesenzelltumoren nur langsam wachsen und oft keine Schmerzen verursachen. Die Ursachen der Entstehung dieser Erkrankung sind noch nicht geklärt.
Riesenzelltumoren des Knochens bilden nur selten Tochtergeschwülste an anderen Stellen des Körpers (1–2 %). Die meisten Metastasen finden sich in den Lungen, wo sie histologisch oft als gutartig erscheinen. Metastasen finden sich häufiger bei jüngeren Patienten und bei radiologisch deutlich aggressiver wachsenden Primärtumoren sowie nach einem Rezidiv und bei Tumoren, die in den Extremitäten ("axial") lokalisiert sind. Sehr selten sind Metastasen an anderen Stellen. Aufgrund des gutartigen Verhaltens besonders der Lungenmetastasen zählen die Riesenzelltumoren des Knochens zu den wenigen gutartigen metastasierenden Tumoren.
In der Regel wachsen die Tumoren jedoch lokal aggressiv verdrängend in die umliegenden Gewebe hinein. Nach der Tumorentfernung besteht ein hohes Risiko von etwa 25 % für ein Rezidiv. Weniger als 1 % der Tumoren entarten und bilden ein malignes Sarkom, das dann meist hochgradig maligne ist, oft eine p53-Suppression und eine HRAS-Mutation aufweist und eine schlechte Prognose hat.[2]
Behandlung
Im Juni 2013 erhielt Amgen in den USA von der Food and Drug Administration (FDA) für Denosumab (XGEVA®) die Zulassung zur Behandlung von Riesenzelltumoren des Knochens. Denosumab ist das erste von der FDA zugelassene Medikament für diese seltene Erkrankung.[5] Es ist ein humaner monoklonaler Antikörper, der an den von den Tumorzellen produzierten RANK-Ligand bindet und ihn damit neutralisiert. Dadurch fällt die Stimulation der Osteoklasten weg. In zwei Zulassungsstudien zeigte sich bei 136 von 190 Patienten eine partielle oder komplette Remission und bei 179 von 190 Patienten keine weitere Progression des Knochentumors. Unter der monatlichen Gabe von 120 mg ist jedoch das Risiko besonders für Osteonekrosen der Kieferknochen deutlich erhöht und liegt bei 1 % pro Behandlungsjahr.[2]
Weblinks
Einzelnachweise
- ↑ a b c Alphabetisches Verzeichnis zur ICD-10-WHO Version 2019, Band 3. Deutsches Institut für Medizinische Dokumentation und Information (DIMDI), Köln, 2019, S. 757.
- ↑ a b c Edwin Choy, Francis J. Hornicek, Yen-Lin Chen, Daniel I. Rosenthal, Darcy A. Kerr: Case 26-2016: A 28-year-old woman with back pain and a lesion in the lumbar spine New England Journal of Medicine 2016, Band 375, Ausgabe 8 vom 25. August 2016, Seiten 779–788, doi:10.1056/NEJMcpc1505482
- ↑ X. Niu, Q. Zhang, L. Hao, Y. Ding, Y. Li, H. Xu, W. Liu: Giant cell tumor of the extremity: retrospective analysis of 621 chinese patients from one institution. In: The Journal of Bone and Joint Surgery. American volume. Band 94, Nummer 5, März 2012, S. 461–467, ISSN 1535-1386. doi:10.2106/JBJS.J.01922. PMID 22398741.
- ↑ Rhomberg Thomas, Veronika Sperl, David Soldo, Gert Santler, Thomas Kretschmer. Transoral Resection of a Giant Cell Tumor in the Odontoid With Cementoplasty: A Technical Case Report. Neurosurgery Practice. June 2025. 6(2):e00142, doi:10.1227/neuprac.0000000000000142
- ↑ FDA Approves Amgen's XGEVA® (denosumab) For The Treatment Of Giant Cell Tumor Of Bone, Pressemitteilung vom 13. Juni 2013