Histiozytose

Klassifikation nach ICD-10
C96.0 Multifokale und multisystemische (disseminierte) Langerhans-Zell-Histiozytose [Abt-Letterer-Siwe-Krankheit] – Histiozytose X, multisystemisch
C96.5 Multifokale und unisystemische Langerhans-Zell-Histiozytose – Hand-Schüller-Christian-Krankheit – Histiozytose X, multifokal
C96.6 Unifokale Langerhans-Zell-Histiozytose – Eosinophiles Granulom – Histiozytose X, unifokal – Histiozytose X o.n.A. – Langerhans-Zell-Histiozytose o.n.A.
D76.3 Sonstige Histiozytose-Syndrome
{{{05-BEZEICHNUNG}}}
{{{06-BEZEICHNUNG}}}
{{{07-BEZEICHNUNG}}}
{{{08-BEZEICHNUNG}}}
{{{09-BEZEICHNUNG}}}
{{{10-BEZEICHNUNG}}}
{{{11-BEZEICHNUNG}}}
{{{12-BEZEICHNUNG}}}
{{{13-BEZEICHNUNG}}}
{{{14-BEZEICHNUNG}}}
{{{15-BEZEICHNUNG}}}
{{{16-BEZEICHNUNG}}}
{{{17-BEZEICHNUNG}}}
{{{18-BEZEICHNUNG}}}
{{{19-BEZEICHNUNG}}}
{{{20-BEZEICHNUNG}}}
Vorlage:Infobox ICD/Wartung {{{21BEZEICHNUNG}}}
ICD-10 online (WHO-Version 2019)
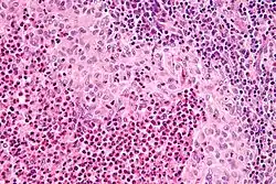
Mikrofoto von Langerhans-Zell-Histiozytose, eine Histiozytose. HE-Färbung.
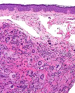
Mikrofoto eines juvenilen Xanthogranuloms, einer Nicht-Langerhans-Zell-Histiozytose. HE-Färbung.

Die Histiozytosen sind eine heterogene Gruppe seltener Erkrankungen mit tumorähnlichen Läsionen, die durch eine abnorm hohe Zahl (Proliferation) an histiozytären Zellen charakterisiert sind.[1]

Vorkommen und Häufigkeit

Die Häufigkeit wird mit 1 zu 200.000 Neugeborenen angegeben. Während die Erkrankung auch erst beim Erwachsenen auftreten kann, werden die meisten bereits im Kindesalter diagnostiziert.[2] Gemäß dem Deutschen Kinderkrebsregister beträgt die Häufigkeit 1–2 auf 1 Mio. Neugeborene. Das männliche Geschlecht ist etwas häufiger betroffen.[1]

Einteilung

Die Weltgesundheitsorganisation unterscheidet drei Formen:[3]

Weitere Formen sind:

  • Rosai-Dorfman-Erkrankung, Synonym: Sinushistiozytose mit massiver Lymphadenopathie[9]
  • Hashimoto-Pritzker-Syndrom, Synonym: kongenitale Langerhans-Zell-Histiozytose[10]
  • Pulmonale Langerhans-Zell-Histiozytose des Erwachsenen, Synonym: Pulmonale Histiozytose X[11]
  • Gruppe der Nicht-Langerhans-Zell-Histiozytosen
    • Histiozytose der indeterminierten Zelle[12]
    • Benigne zephale Histiozytose[13]
    • Generalisierte eruptive Histiozytose[14]
    • Hereditäre muzinöse progressive Histiozytose[15]
    • Noduläre progressive Histiozytose[16]
    • Primäres kutanes anaplastisches großzelliges Lymphom, Synonym: Regressive atypische Histiozytose[17]
    • Multizentrische Retikulohistiozytose[18]

Tiermedizin

Beim Hund spielt die Maligne Histiozytose eine Rolle.

Einzelnachweise

  1. a b Emedicine.Medscape
  2. Histiocytosis Association of America (Memento des Originals vom 9. November 2019 im Internet Archive)  Info: Der Archivlink wurde automatisch eingesetzt und noch nicht geprüft. Bitte prüfe Original- und Archivlink gemäß Anleitung und entferne dann diesen Hinweis.@1@2Vorlage:Webachiv/IABot/www.histio.org
  3. N. L. Harris, E. S. Jaffe, J. Diebold, G. Flandrin, H. K. Muller-Hermelink, J. Vardiman, T. A. Lister, C. D. Bloomfield: The World Health Organization classification of neoplastic diseases of the hematopoietic and lymphoid tissues. Report of the Clinical Advisory Committee meeting, Airlie House, Virginia, November, 1997. In: Annals of Oncology. Band 10, Nummer 12, Dezember 1999, S. 1419–1432, PMID 10643532.
  4. Eintrag zu Langerhans-Zell-Histiozytose. In: Orphanet (Datenbank für seltene Krankheiten)
  5. Eintrag zu OBSOLET: Granulom, eosinophiles. In: Orphanet (Datenbank für seltene Krankheiten)
  6. Eintrag zu OBSOLET: Letterer-Siwe-Krankheit. In: Orphanet (Datenbank für seltene Krankheiten)
  7. Eintrag zu Lymphohistiozytose, hämophagozytische, familiäre Form. In: Orphanet (Datenbank für seltene Krankheiten)
  8. Eintrag zu Histiozytose, seeblaue. In: Orphanet (Datenbank für seltene Krankheiten)
  9. Eintrag zu Rosaï-Dorfman-Krankheit. In: Orphanet (Datenbank für seltene Krankheiten)
  10. Eintrag zu OBSOLET: Hashimoto-Pritzker-Syndrom. In: Orphanet (Datenbank für seltene Krankheiten)
  11. Eintrag zu OBSOLET: Langerhans-Zell-Histiozytose, pulmonale, des Erwachsenen. In: Orphanet (Datenbank für seltene Krankheiten)
  12. Eintrag zu Histiozytose der indeterminierten Zelle. In: Orphanet (Datenbank für seltene Krankheiten)
  13. Eintrag zu Histiozytose, benigne zephale. In: Orphanet (Datenbank für seltene Krankheiten)
  14. Eintrag zu Histiozytose, eruptive generalisierte. In: Orphanet (Datenbank für seltene Krankheiten)
  15. Eintrag zu Histiozytose, progressive, muzinöse, hereditäre. In: Orphanet (Datenbank für seltene Krankheiten)
  16. Eintrag zu Histiozytose, progressive, noduläre. In: Orphanet (Datenbank für seltene Krankheiten)
  17. Eintrag zu Primäres kutanes anaplastisches großzelliges Lymphom. In: Orphanet (Datenbank für seltene Krankheiten)
  18. Eintrag zu Retikulohistiozytose, multizentrische. In: Orphanet (Datenbank für seltene Krankheiten)