Carcinoma in situ
| Klassifikation nach ICD-10 | |
|---|---|
| D00-D09 | In-situ-Neubildungen |
| ICD-10 online (WHO-Version 2019) | |
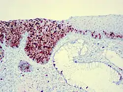
Als Carcinoma in situ (CIS) (wörtlich: „Krebs am Ursprungsort“) wird ein Frühstadium eines epithelialen Tumors ohne invasives Tumorwachstum bezeichnet, welcher ausschließlich intraepithelial wächst, zum Beispiel in der obersten Haut- oder Schleimhautschicht oder in den Milchgängen der Brustdrüse. Die einzelnen Zellen sind dabei mikroskopisch (histologisch, immunhistologisch) in ihren zellulären Strukturen und ihrer Beziehung zueinander von denen eines invasiv wachsenden Karzinoms nicht zu unterscheiden, die Basallamina ist jedoch noch nicht durchbrochen, es liegt keine Tumorinvasion vor. Das Carcinoma in situ metastasiert nicht, d. h., es kann keine Absiedelungen in Lymphknoten oder in anderen Organen bilden.
Die Bedeutung des CIS liegt darin, dass es sich zu einem lokal invasiven (bösartigen) Tumor entwickeln kann, doch lässt sich wegen der unterschiedlich langen Latenzzeit im Einzelfall nicht voraussagen, wann ein CIS die Basalmembran durchbricht. Auch nach unvollständiger Exzision kann das CIS als invasives Karzinom wiederkommen und dann metastasieren.
Beispiele

- Aktinische Cheilose: CIS des Lippenrotes
- Aktinische Keratose: CIS der Haut, durch langjährige intensive Einwirkung von Sonnenlicht (Ultraviolettstrahlung) verursachte chronische Schädigung der verhornten Oberhaut
- Anale intraepitheliale Neoplasie Stadium III (AIN III) eines CIS des Anus
- Bowenoide Papulose meist bei Männern (Penile intraepitheliale Neoplasie Stadium III – PIN III): CIS des Penis
- Duktales Karzinom in situ: (DCIS), häufigster CIS der Brust
- Erythroplasie: CIS an Geschlechtsorganen (Penis, Penisvorhaut, Schamlippen), durch humane Papillomviren (HPV) ausgelöste Hauterkrankung, die zu Hautkrebs führen kann (Präkanzerose)
- Lobuläres Karzinom in situ: (LCIS), zweit häufigster CIS der Brust
- Morbus Bowen: CIS der Haut, HPV-Infektion im Genitalbereich, die zu charakteristischen knotigen (papulösen) Hautveränderungen führt
- Verruköse Leukoplakie: CIS der Mund-(Maul-)schleimhaut oder anderer innerer Schleimhäute (Kehlkopf, Speiseröhre, Bindehaut)
- Vaginale intraepitheliale Neoplasie Stadium III (VAIN III): CIS der Scheide
- Vulväre intraepitheliale Neoplasie Stadium III (VIN III): CIS der Vulva
- Zervikale intraepitheliale Neoplasie Stadium III (CIN III): CIS des Gebärmutterhalses, genauer eigentlich der Portio vaginalis
Therapie
- CIS des Gebärmutterhalses
- Bei der gynäkologischen Vorsorgeuntersuchung kann durch die Früherkennung eines CIS am Gebärmutterhals (Portio vaginalis uteri) eine Weiterentwicklung zu einem Zervixkarzinom, einer echten Krebserkrankung, vermieden werden. Dazu wird ein Kegel (Konus) aus dem Gebärmutterhals operiert (Konisation), die Gebärmutter bleibt also erhalten.
- Ähnliche heilende kleine Eingriffe gibt es auch bei anderen Körpergeweben, beispielsweise bei Dickdarmpolypen oder in der Brust.
- CIS der Haut bzw. der Schleimhäute
- CIS der Haut sollten idealerweise immer entfernt werden, und zwar mit einem ausreichenden Sicherheitsrand. Sollte das aus kosmetischen oder funktionellen Gründen (Großflächige CIS im Gesicht; Genitalien) nicht möglich sein, kommen noch immunmodulierende Salbenbehandlung mit Imiquimod, Kryotherapie (Vereisen), Lokale Chemotherapie mit 5-Fluoruracil oder Strahlentherapie in Frage.[1]
Histologie und chromosomale Veränderungen
Das histologische Bild korreliert mit chromosomalen und genetischen Veränderungen. Beim oralen Plattenepithelkarzinom entwickelt sich beispielsweise zuerst ein normales Epithel zum hyperplastischen Epithel durch die Inaktivierung des p16-Gens; die Weiterentwicklung zum dysplastischen Epithel geschieht durch die Mutation des Tumorsuppressorgens p53; das Carcinoma in situ ist gekennzeichnet durch die Amplifikation des Cyclin-D1-Gens; beim invasiven Karzinom lässt sich zudem die Inaktivierung des PTEN-Gens nachweisen. Für eine Vielzahl von Tumoren ist der Verlust von solchen Tumorsuppressorgenen beschrieben worden.
Einzelnachweise
- ↑ Peter Fritsch: Dermatologie und Venerologie. 2. Auflage. Springer Verlag, 2004, ISBN 3-540-00332-0.