Warthin-Tumor
| Klassifikation nach ICD-10 | |
|---|---|
| D11 | Gutartige Neubildung der Parotis |
| ICD-10 online (WHO-Version 2019) | |
| Klassifikation nach ICD-O-3 | |
|---|---|
| 8561/0 | Warthin-Tumor |
| ICD-O-3, zweite Revision (2019) | |
Der Warthin-Tumor (benannt nach Aldred Scott Warthin, US-amerikanischer Pathologe, Ann Arbor, 1866–1931) ist eine gutartige Neoplasie oder tumorartige Läsion, die sich nahezu ausschließlich im Bereich der Ohrspeicheldrüse, selten in benachbarten Halslymphknoten oder anderen Lokalisationen manifestiert.[1][2] Nach dem pleomorphen Adenom ist der Warthin-Tumor der zweithäufigste benigne Speicheldrüsentumor.[3]
Klinisch zeichnet sich der Tumor durch ein langsames Wachstum aus; eine maligne Entartung wird in wenigen Einzelfällen beobachtet. Ein Rezidiv nach chirurgischer Entfernung ist selten.[1]
Synonyme
Gleichbedeutend gebraucht werden bisweilen Bezeichnungen wie Adenolymphom, Zystadenolymphom, papilläres Cystadenoma lymphomatosum, Cystadenoma lymphomatosum papilliferum oder Cystadenolymphoma papilliferum. Um eine Verwechslung mit malignen Lymphomen oder dem Lymphadenom zu vermeiden, wird jedoch empfohlen, die Bezeichnung Warthin-Tumor zu verwenden.[1] Nur noch historische Bedeutung haben die Begriffe Albrecht-Arzt-Tumor oder Albrecht-Arzt-Warthin-Tumor.
Geschichte
Die Ersterwähnung des Warthin-Tumors erfolgte bereits 1895 durch den deutschen Chirurgen Otto Hildebrand (1858–1927) unter der Bezeichnung Adenolymphom.[4] Nach der genaueren Beschreibung der Entität durch Heinrich Albrecht und Leopold Arzt um 1910[5] führte Warthin den Begriff 1929 als papilläres Cystadenoma lymphomatosum. in das amerikanische Schrifttum ein.[6]
Epidemiologie
Der Altersgipfel des Warthin-Tumors liegt in der 6.–7. Lebensdekade, wobei das mittlere Erkrankungsalter mit 62 Jahren angegeben wird. Eine Manifestation bereits im Kindesalter ist zwar möglich, jedoch tritt der Tumor nur selten vor dem 40. Lebensjahr auf.[1][3] Die historische deutliche Präferenz des Tumors für das männliche Geschlecht, die noch 1953 mit 10 : 1 angegeben wurde, hat sich mutmaßlich aufgrund geänderter Lebensgewohnheiten (Tabakabusus) deutlich zuungunsten des weiblichen Geschlechts verschoben. Neuere Zahlen zeigen nur noch eine gering erhöhte Krankheitshäufigkeit bei Männern oder gar ein ausgeglichenes Geschlechtsverhältnis.[1] Die Inzidenz der Erkrankung bei Afroamerikanern und Schwarzafrikanern ist niedriger als bei Weißen, wobei jedoch bei Afroamerikanern in den vergangenen Dekaden eine Häufigkeitszunahme beobachtet werden konnte.[1][7][8]
Ätiologie
Die eigentlichen, der Tumorentstehung zugrundeliegenden Ursachen sind weitgehend unbekannt. Die Läsion wird überwiegend als echte Neoplasie eingestuft, könnte nach einer Hypothese zufolge aber auch zu einer Gruppe erworbener multizystischer reaktiver Erkrankungen im Bereich von Kopf und Hals zählen; letzterer Ansatz wird durch die in einigen Studien beobachtete Polyklonalität der epithelialen Tumorkomponente gestützt.[9][10] Auch das lymphoide Stroma des Warthin-Tumors ist neueren Erkenntnissen zufolge polyklonalen Ursprungs und damit vermutlich lediglich reaktiv und nicht neoplastisch.[11] Andere Arbeiten wiederum konnten zumindest bei einem Teil der Warthin-Tumoren eine Translokation zwischen Chromosom 11 und 19 mit Ausbildung eines Fusionsgens (CRTC1-MAML2) demonstrieren. Diese Veränderung wird interessanterweise auch beim mukoepidermoiden Karzinom gefunden.[12] Es wird vermutet, dass sich der Tumor von heterotopen, in Lymphknoten gelegenen Speicheldrüsenausführungsgängen herleitet.[13] Hierfür spricht auch die Tatsache, dass Warthin-Tumoren am häufigsten oberflächlich am unteren Pol der Ohrspeicheldrüse gefunden werden, wo üblicherweise die meisten intraparotidealen Lymphknoten vorhanden sind.[14] Eine andere Hypothese fasst den Warthin-Tumor als adenomatöse Proliferation auf, die sekundär eine lymphozytäre Infiltration nach sich zieht.[15] Ein signifikanter Risikofaktor ist das Zigarettenrauchen, das die Erkrankungshäufigkeit Studien zufolge durchschnittlich um den Faktor 8-15 erhöht. Hierbei besteht offenbar eine Dosis-Wirkungs-Beziehung, wobei das Risiko linear mit der Dauer und nichtlinear mit der Intensität des Tabakabusus ansteigt.[1][16][17] Der positive Effekt der Intensität des Tabakabusus nimmt dabei bei hohen Intensitäten ab.[17] In einer Studie waren 89 % der an einem Warthin-Tumor erkrankten Patienten Raucher und 66 % starke Raucher. Auch das Risiko eines beidseitig auftretenden Warthin-Tumors ist bei Rauchern signifikant erhöht.[18] Eine mögliche Erklärung liegt in der Schädigung mitochondrialer DNS durch reaktive Sauerstoffspezies bei Rauchern. Tatsächlich zeigen die epithelialen Zellen des Warthin-Tumors häufig einen Verlust mitochondrialer DNS und strukturell abnorme Mitochondrien mit verminderter metabolischer Funktion.[2] Ein Einzelfallbericht beschreibt ein familiäres Auftreten von Warthin-Tumoren bei eineiigen Zwillingen.[19]
Eine erhöhte Krankheitshäufigkeit wurde auch nach Exposition gegenüber ionisierender Strahlung, etwa bei Atombomben-Überlebenden, beobachtet.[20]
Diskutiert wird auch die Möglichkeit einer Beteiligung von Viren an der Krankheitsentstehung. So wird etwa das Humane Herpes Virus Typ 8 (HHV-8) häufig in Warthin-Tumoren gefunden.[21] Eine ätiologische Rolle des Epstein-Barr-Virus (EBV) oder des Cytomegalievirus (CMV) gilt hingegen mittlerweile als unwahrscheinlich.[22] Die Inzidenz von Warthin-Tumoren soll bei HIV-infizierten Patienten höher sein.[23]
Schließlich wird auch eine Assoziation des Warthin-Tumors mit verschiedenen Autoimmunerkrankungen berichtet.[24]
Pathologie

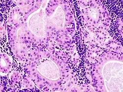
.jpg)
Der Tumor manifestiert sich fast immer innerhalb der Ohrspeicheldrüse (> 90 %), bevorzugt in deren unterem Organpol.[2] 3-8 % der Patienten zeigen extraglandulär gelegene Tumoren, üblicherweise in hoch gelegenen Halslymphknoten. Dies darf nicht mit einer Lymphknotenmetastasierung verwechselt werden, die beim reinen Warthin-Tumor nicht beobachtet wird.[2][25] Einzelfallberichte beschreiben Warthin-Tumoren im Bereich der Unterkieferspeicheldrüse, der Tränendrüse,[26] des Kehlkopfes, der Wangenschleimhaut,[27] des harten Gaumens[28] oder der Lippe.[2][29] In 7-12 % der Fälle liegen beidseitige, in 2-6 % multifokale Tumoren vor.[2][30] Warthin-Tumoren machen 14-30 % aller Speicheldrüsentumoren insgesamt und 70 % aller beidseitig auftretenden Speicheldrüsenneoplasien aus.[7][31] Makroskopisch erscheinen Warthin-Tumoren meist als gut umschriebene, runde bis ovoide Gewebsmassen von hellbräunlicher bis graubräunlicher Farbe, die auf den hohen Zytochrom-Gehalt des Gewebes zurückgeht. Neben soliden Anteilen zeigt der Tumor häufig schlitzförmige bis mehrere Zentimeter große zystische Strukturen, die mit klarer, schleimiger oder weißlicher bis bräunlicher Flüssigkeit angefüllt sind.
Histologisch zeigt sich ein durch eine dünne bindegewebige Kapsel scharf abgegrenzter Tumor aus einer epithelialen, solide Areale und Zysten bildenden Komponente, die in ein lymphoides Stroma eingebettet ist. Das die Zystenstrukturen auskleidende Epithel zeigt dabei einen zweischichtigen Aufbau aus onkozytären hochzylindrischen Zellen und basalen, flachen bis kubischen Zellen. Es werden auch Papillen mit fibrovaskulärem Stroma ausgebildet. In den Zystenlumina finden sich häufig Zelldetritus und eosinophile Sekretionsprodukte. Nennenswerte Zell- oder Kernatypien oder eine wesentliche Mitoseaktivität liegen nicht vor. Infarkte, Nekrosen, Plattenepithelmetaplasien oder Blutungen können das typische histologische Bild verfälschen. Diese Veränderungen können spontan oder als Folge einer vorausgegangenen Feinnadelbiopsie auftreten.[1][32] Das Stroma beinhaltet häufig Lymphfollikel mit Keimzentren und ist reich an B-Lymphozyten.[33]
Nach Seifert unterscheidet man, überwiegend abhängig von dem quantitativen Verhältnis der epithelialen und Stromakomponente, vier histologische Subtypen des Warthin-Tumors. Diese Einteilung besitzt keine klinische Bedeutung, weist den Pathologen jedoch auf die morphologische Bandbreite des Tumors hin.[34]
| Histologischer Subtyp | Definition | Relative Häufigkeit |
|---|---|---|
| Typ 1 (klassischer Typ) | 50 % Epithel, 50 % Stroma | 77 % |
| Typ 2 (stromaarmer Typ) | 70-80 % Epithel, 20-30 % Stroma | 13,5 % |
| Typ 3 (stromareicher Typ) | 20-30 % Epithel, 70-80 % Stroma | 2 % |
| Typ 4 (metaplastischer Typ) | ausgedehnte Plattenepithelmetaplasien | 7,5 % |
Immunhistochemie
Immunhistochemisch zeigen die onkozytären Zellen des Warthin-Tumors eine für hochzylindrische Epithelien typische Expression der Zytokeratine 7, 8, 18 und 19. Wie das normale Speicheldrüsenparenchym und die meisten benignen Speicheldrüsentumoren, exprimieren Warthin-Tumoren das Glykoprotein CD 9.[35] Zumindest eine fokale Positivität ist darstellbar für Ribonuklease, Laktoferrin, Carcinoembryonales Antigen (CEA) und Lysozym, während der Nachweis der Marker Amylase, Vimentin und Desmin negativ ausfällt.[31] In den luminalen und basalen Epithelien lässt sich in der überwiegend Zahl der Fälle eine bcl-2-Expression lokalisieren.[36] Im Gegensatz zu einigen anderen benignen und malignen Speicheldrüsentumoren bilden die epithelialen Tumorzellen des Warthin-Tumors in einem Teil der Fälle Somatostatin.[37] Daneben zeigt die epitheliale Tumorkomponente eine Expression von Progesteron-, nicht jedoch von Östrogen-Rezeptoren.[38]
Zytologie
Das auf dem Wege der Feinnadelpunktion gewonnene Zellmaterial aus einem Warthin-Tumor zeigt zytomorphologisch – vorausgesetzt es wurde eine ausreichende und repräsentative Gewebsmenge gewonnen – ein charakteristisches Erscheinungsbild. Es zeigen sich flache Zellplatten aus onkozytären (d. h. in der HE-Färbung intensiv rot gefärbten) Zellelementen vor einem Hintergrund bestehend aus Lymphozyten und/oder amorphem Zelldetritus.[39]
Ultrastruktur
Elektronenmikroskopisch wird das Zytoplasma der luminalen Zellelemente des Warthin-Tumors nahezu vollständig von vergrößerten und abnorm formunterschiedlichen Mitochondrien eingenommen. Der Mitochondrienreichtum erklärt die Affinität dieser Zellen für saure Farbstoffe und damit ihre lichtmikroskopisch onkozytäre Morphologie.[40] Oberflächlich zeigen die Zellen Mikrovilli und apokrine Protrusionen.[41] Einzelne luminale Zellen sind offenbar auch mit Zilien ausgestattet.[42] Die basalen Zellelemente zeigen außer Mitochondrien reichlich Tonofilamente.[43] Innerhalb des Lumens der von den epithelialen Zellelementen ausgebildeten zystischen Strukturen finden sich in unterschiedlichem Maße Zelltrümmer, die möglicherweise teilweise von degenerierten Lymphozyten abstammen.[41] Das Stroma wird gebildet von dicht gepackten Lymphozyten, die innerhalb eines Maschenwerkes von Retikulumzellen gelagert sind.[41]
Klinik
Die betroffenen Patienten werden üblicherweise durch eine schmerzlose Schwellung im Bereich der Ohrspeicheldrüse auffällig. Zum Diagnosezeitpunkt beträgt die durchschnittliche Tumorgröße 2–4 cm, im Extrem bis 12 cm. Bei weniger als 10 % der Patienten besteht eine Schmerzsymptomatik variablen Ausmaßes.
Mögliche Komplikationen sind eine Infektion des Tumorgewebes oder eine Kompression des zwischen oberflächlichem und tiefem Anteil der Ohrspeicheldrüse verlaufenden Nervus facialis. Eine Fazialisparese wird aber nur sehr selten beobachtet.[1][44]
Diagnose
Zur präoperativen Diagnose eignet sich die Sonographie, die Computertomographie oder die Magnetresonanztomographie. Eher historische Bedeutung hat inzwischen die Szintigraphie, die die Eigenschaft von Warthin-Tumoren nutzt, Technetium99m-Pertechnetat stärker anzureichern als das umgebende normale Speicheldrüsengewebe.[45] Eine definitive Diagnose lässt sich unter Umständen bereits anhand einer präoperativen Feinnadelbiopsie stellen, wobei die diagnostische Genauigkeit dieses Verfahrens beim Warthin-Tumor mit über 95 Prozent korrekten Diagnosen hoch ist.[46] Spätestens am Operationspräparat lässt sich die Diagnose nach histologischer Untersuchung durch den Pathologen sichern.[3]
Differentialdiagnose
Das histologische Bild des Warthin-Tumors ist meist charakteristisch, die Diagnose damit in der Regel unproblematisch. Vom Pathologen auszuschließende Differentialdiagnosen sind das lymphoepitheliomartige Karzinom oder das mukoepidermoide Karzinom.[31] Warthin-Tumoren mit ausgedehnten Plattenepithelmetaplasien können gelegentlich, insbesondere wenn gleichzeitig Infarkte vorliegen, diagnostische Schwierigkeiten bereiten. Insbesondere besteht hier die Gefahr einer Verwechslung mit einem Plattenepithelkarzinom, zumal auch die metaplastische Variante des Warthin-Tumors Zellatypien aufweisen kann.[47][48]
Therapie
Die Standardtherapie ist die vollständige chirurgische Tumorentfernung, meist in Form einer lateralen Parotidektomie, bei der der meist tumortragende Außenlappen der Ohrspeicheldrüse entfernt wird, oder einer extrakapsulären Dissektion (Ausschälung).[3][18][49] Vorteile der extrakapsulären Dissektion liegen in kürzeren Operationszeiten, einer geringeren Häufigkeit von Komplikationen (Verletzung des Gesichtsnerven mit postoperativer Fazialisparese, Frey-Syndrom) und einem besseren Erhalt der Funktion der Ohrspeicheldrüse. Das kosmetische Ergebnis ist außerdem meist günstiger.[50] Da es sich beim Warthin-Tumor um eine wenig aggressive, gutartige Neoplasie handelt, kann nach Diagnosesicherung beim multimorbiden Patienten mit hohem Narkoserisiko auch auf einen Eingriff verzichtet werden.[51] Hierbei muss jedoch sorgfältig bedacht werden, dass bei einer allein durch Feinnadelbiopsie gestellten Diagnose grundsätzlich die Gefahr besteht, dass auch maligne Tumoren übersehen werden.[52]
Prognose
Warthin-Tumoren zeichnen sich durch ein langsames Wachstum aus.[53] Eine maligne Transformation wurde bisher nur in wenigen Einzelfällen beschrieben; bei den abgeleiteten Malignomen handelt es sich unter anderem um Non-Hodgkin-[54] und Hodgkin-Lymphome,[55] epidermoide Karzinome,[56] mukoepidermoide Karzinome,[57] Plattenepithelkarzinome,[58] onkozytäre Adenokarzinome[59] und Merkel-Zell-Karzinome.[60] Aufgrund der geringen Fallzahlen ist es jedoch keineswegs klar, ob Warthin-Tumoren tatsächlich mit einem statistisch erhöhten Entartungsrisiko behaftet sind, oder ob es sich lediglich um ein zufälliges zeitliches und örtliches Zusammentreffen eines malignen Tumors mit dem Warthin-Tumor handelt.
Als Komplikation der diagnostischen Feinnadelpunktion kommt es in einem Teil der Fälle zu entzündlichen Veränderungen (Schwellung, Schmerz, Abzessbildung), wobei nicht notwendigerweise eine bakterielle Infektion vorliegen muss.[61] Hierbei kann ein spontaner Infarkt des Tumorgewebes vorliegen, der einer Studie zufolge nach einer Punktion in etwa 9 Prozent der Fälle beobachtet wird.[62]
Nach chirurgischer Therapie des Warthin-Tumors werden niedrige Rekurrenzraten von 2,5-5 % beobachtet.[1] Begünstigt wird ein Wiederauftreten des Tumors durch eine Multizentrizität des Tumorgewebes sowie eine inkomplette chirurgische Entfernung. Eine intraoperative Tumorruptur scheint diesbezüglich hingegen keine negativen Auswirkungen zu haben.[63]
Einzelnachweise
- ↑ a b c d e f g h i j R. H. W. Simpson, J. W. Eveson: Warthin tumour. In: Pathology and Genetics of Head and Neck Tumours. IARCPress, Lyon 2000.
- ↑ a b c d e f A. Teymoortash: Head and neck: Salivary gland: Warthin's Tumors. In: Atlas Genet Cytogenet Oncol Haematol. April 2008. http://atlasgeneticsoncology.org//Tumors/WarthinsTumID5424.html
- ↑ a b c d S. Dubner: Parotid Tumors, Benign (20. November 2008); http://emedicine.medscape.com/article/1289560-overview
- ↑ O. Hildebrand: Über angeborene epitheliale Cysten und Fisteln des Halses. In: Arch Klin Chir. 49, 1895, S. 167–206.
- ↑ H. Albrecht, L. Arzt: Beiträge zur Frage der Gewebsverirrung. Papilläre Cystadenome in Lymphdrüsen. In: Frankfurt Ztschr f Path. 4, 1910, S. 47.
- ↑ A. S. Warthin: Papillary cystadenoma lymphomatosum. A rare teratoid of the parotid region. In: J Cancer Res. 13, 1929, S. 116.
- ↑ a b G. H. Yoo, D. W. Eisele, F. B. Askin, J. S. Driben, M. E. Johns: Warthin's tumor: a 40-year experience at The Johns Hopkins Hospital. In: Laryngoscope. 104(7), Jul 1994, S. 799–803.
- ↑ M. A. Yaor: The pattern of presentation of salivary gland tumors in Africa: A review of published reports. In: Ear Nose Throat J. 89(2), Feb 2010, S. E17–E21. PMID 20155665
- ↑ S. Suster, J. Rosai: Multilocular thymic cyst. An acquired reactive process. Study of 18 cases. In: Am J Surg Pathol. 15, 1991, S. 388–398. PMID 2006719
- ↑ K. Honda, K. Kashima, T. Daa, S. Yokoyama, I. Nakayama: Clonal analysis of the epithelial component of Warthin's tumor. In: Hum Pathol. 31, 2000, S. 1377–1380.
- ↑ K. Song, J. D. Cotelingam, M. Lowery-Nordberg, W. Sun: Characterization of the lymphoid stroma in Warthin's tumor of salivary gland by immunohistochemistry, heavy chain gene and Bcl-2 gene rearrangement. In: Am J Transl Res. 1(4), 5. Apr 2009, S. 352–357. PMID 19956447
- ↑ I. D. O'Neill: New insights into the nature of Warthin's tumour. In: J Oral Pathol Med, 38(1), Jan 2009, S. 145–149. PMID 18647217
- ↑ A. S. Thompson, H. C. Bryant: Histogenesis of papillary cystadenoma lymphomatosum (Warthin's tumor) of the parotid salivary gland. In: Am J Pathol. 26, 1950, S. 807–849. PMID 15432614
- ↑ G. Colella, P. Biondi, A. Itro, D. Compilato, G. Campisi: Warthin's tumor distribution within the parotid gland. A feasible etiologic source from lymph nodal tissue. In: Minerva Stomatol. 59(5), May 2010, S. 245–249, 250–252.
- ↑ J. M. Aguirre, M. A. Echebarría, R. Martínez-Conde, C. Rodriguez, J. J. Burgos, J. M. Rivera: Warthin tumor. A new hypothesis concerning its development. In: Oral Surg Oral Med Oral Pathol Oral Radiol Endod. 85(1), Jan 1998, S. 60–63. PMID 9474616
- ↑ S. Sadetzki, B. Oberman, L. Mandelzweig, A. Chetrit, T. Ben-Tal, A. Jarus-Hakak, S. Duvdevani, E. Cardis, M. Wolf: Smoking and risk of parotid gland tumors: a nationwide case-control study. In: Cancer. 112(9), 1. Mai 2008, S. 1974–1982. PMID 18361448
- ↑ a b L. S. Freedman, B. Oberman, S. Sadetzki: Using time-dependent covariate analysis to elucidate the relation of smoking history to Warthin's tumor risk. In: Am J Epidemiol. 170(9), 1. Nov 2009, S. 1178–1185. PMID 19755633
- ↑ a b Peter Klussmann J, Wittekindt C, S. Florian Preuss, A. Al Attab, U. Schroeder, O. Guntinas-Lichius: High risk for bilateral Warthin tumor in heavy smokers--review of 185 cases. In: Acta Otolaryngol. 126(11), Dez 2006, S. 1213–1217. PMID 17050316
- ↑ L. Gallego, L. Junquera, P. Villarreal, L. Villalaín: Familial Warthin Tumor: Occurrence in Monozygotic Twins. In: J Oral Maxillofac Surg. 68(6), Jun 2010, S. 1400–1401. PMID 19944513
- ↑ J. Sandros, G. Stenman, J. Mark: Cytogenetic and molecular observations in human and experimental salivary gland tumors. In: Cancer Genet Cytogenet. 44, 1990, S. 153–167. PMID 2153439
- ↑ E. Dalpa, V. Gourvas, S. Baritaki, S. Miyakis, V. Samaras, C. Barbatis, G. Sourvinos, D. A. Spandidos: High prevalence of Human Herpes Virus 8 (HHV-8) in patients with Warthin's tumors of the salivary gland. In: J Clin Virol. 42(2), Jun 2008, S. 182–185. PMID 18339579
- ↑ C. J. Laane, A. H. Murr, A. N. Mhatre, K. D. Jones, A. K. Lalwani: Role of Epstein-Barr virus and cytomegalovirus in the etiology of benign parotid tumors. In: Head & Neck. 24(5), Mai 2002, S. 443–50. PMID 12001074
- ↑ E. Francavilla, P. Boccato, M. Carretta, G. Gava, F. Breda, P. Cadrobbi: Warthin's tumor during HIV infection. In: Int Conf AIDS. 8, 19-24. Jul 1992, S. 80.
- ↑ O. Gallo, C. Bocciolini: Warthin's tumour associated with autoimmune diseases and tobacco use. In: Acta Otolaryngol. 117(4), Jul 1997, S. 623–627. PMID 9288224
- ↑ M. Ellies, R. Laskawi, C. Arglebe: Extraglandular Warthin's tumours: clinical evaluation and long-term follow-up. In: Br J Oral Maxillofac Surg. 36(1), Feb 1998, S. 52–53.
- ↑ G. Bonavolontà, F. Tranfa, S. Staibano, G. Di Matteo, P. Orabona, G. De Rosa: Warthin tumor of the lacrimal gland. In: Am J Ophthalmol. 124(6), Dez 1997, S. 857–858. PMID 9402842
- ↑ S. Saunders, U. Igbokwe, D. Harmse: Warthin tumour of the buccal mucosa. In: Br J Oral Maxillofac Surg. 46(4), Jun 2008, S. 332–333. PMID 17933444
- ↑ R. Becelli, R. Morello, G. Renzi, C. Dominici: Warthin's tumor of the hard palate. In: J Craniofac Surg. 18(5), Sep 2007, S. 1182–1184. PMID 17912110
- ↑ A. D. Almeida, J. A. Hanemann, D. T. Oliveira: Warthin Tumor of the Upper Lip: An Unusual Location. In: Int J Surg Pathol. 2009 Feb 3. [Epub ahead of print] PMID 19189998
- ↑ J. M. Hilton, J. S. Phillips, H. B. Hellquist, D. J. Premachandra: Multifocal multi-site Warthin tumour. In: Eur Arch Otorhinolaryngol. 265(12), Dez 2008, S. 1573–1575.
- ↑ a b c PathConsult: Warthin's Tumor (9. Januar 2006), Elsevier; Warthin's Tumor. ( vom 3. Juli 2011 im Webarchiv archive.today)
- ↑ S. Li, Z. W. Baloch, J. E. Tomaszewski, V. A. LiVolsi: Worrisome histologic alterations following fine-needle aspiration of benign parotid lesions. In: Arch Pathol Lab Med. 124(1), Jan 2000, S. 87–91. PMID 10629137
- ↑ J. Cossman, M. J. Deegan, J. G. Batsakis: Warthin tumor. B-lymphocytes within the lymphoid infiltrate. In: Arch Pathol Lab Med. 101, 1977, S. 354–356. PMID 326225
- ↑ G. Seifert, H. G. Bull, K. Donath: Histologic subclassification of the cystadenolymphoma of the parotid gland. Analysis of 275 cases. In: Virchows Arch A Pathol Anat Histol. 388(1), 1980, S. 13–38. PMID 7467121
- ↑ K. Sakamoto, T. Ono, Y. Nakamura, H. Harada, T. Nakashima: Expression of cluster of differentiation 9 glycoprotein in benign and malignant parotid gland tumours. In: J Laryngol Otol. 123 Suppl 31, Mai 2009, S. 58–63. PMID 19460206
- ↑ E. S. Abd Elhamid, M. H. Elshafei: Immunohistochemical localization of mdm-2, p27 Kip1 and bcl-2 in Warthin's tumor of the parotid gland. In: Diagn Pathol. 4(1), 16. Mai 2009, S. 14. PMID 19445705
- ↑ Y. Hayashi, H. Saito, S. Saito, T. Yanagawa, H. Yoshida, Y. Yura, M. Sato: Immunoreactive somatostatin in Warthin's tumor. In: Am J Pathol. 123(2), Mai 1986, S. 250–255. PMID 2871759.
- ↑ A. Teymoortash, B. M. Lippert, J. A. Werner: Steroid hormone receptors in parotid gland cystadenolymphoma (Warthin's tumour). In: Clin Otolaryngol Allied Sci. 26(5), Okt 2001, S. 411–416. PMID 11678950
- ↑ A. V. Parwani, S. Z. Ali: Diagnostic accuracy and pitfalls in fine-needle aspiration interpretation of Warthin tumor. In: Cancer. 99(3), 25. Jun 2003, S. 166–171. PMID 12811857.
- ↑ Y. Yu: Ultrastructural study of adenolymphoma. In: Zhonghua Kou Qiang Yi Xue Za Zhi. 26(3), Mai 1991, S. 155–157, 191.
- ↑ a b c B. T. Hwang, K. Sugihara, K. Kawashima, S. Yamashita: Scanning electron microscopic study of Warthin's tumor. In: J Oral Pathol. 16(3), Mar 1987, S. 118–123.
- ↑ N. M. el-Hossary, L. M. Fathy: Luminal epithelium of Warthin's tumours: a scanning electron microscopic study. In: Egypt Dent J. 40(3), Jul 1994, S. 791–794. PMID 9588158
- ↑ I. Dardick, A. Claude, W. R. Parks, D. Hoppe, J. Stinson, B. F. Burns, J. Little, D. L. Brown, S. H. Dairkee: Warthin's tumor: an ultrastructural and immunohistochemical study of basilar epithelium. In: Ultrastruct Pathol. 12(4), 1988, S. 419–432. PMID 2458648
- ↑ A. Franzen: Hals-Nasen-Ohren-Heilkunde. Elsevier, Urban & Fischer Verlag, 2007, ISBN 978-3-437-42961-3.
- ↑ A. E. Canbay, S. Knorz, K. D. Heimann, H. Hildmann, K. U. Tiedjen: Wertigkeit der Szintigraphie und der Sonographie in der Diagnostik der Zystadenolymphome der Glandula parotis. In: Laryngorhinootologie. 81(11), Nov 2002, S. 815–819. PMID 12458467
- ↑ L. L. Veder, J. D. Kerrebijn, F. M. Smedts, M. A. den Bakker: Diagnostic accuracy of fine-needle aspiration cytology in Warthin tumors. In: Head Neck. 2010 Mar 26. PMID 20848407
- ↑ C. D. M. Fletcher: Diagnostic Histopathology of Tumors. 3. Auflage. Churchill Livingstone, 2007.
- ↑ H. Yerli, S. Avci, E. Aydin, U. Arikan: The metaplastic variant of Warthin tumor of the parotid gland: dynamic multislice computerized tomography and magnetic resonance imaging findings with histopathologic correlation in a case. In: Oral Surg Oral Med Oral Pathol Oral Radiol Endod. 109(3), Mar 2010, S. e95–e98. Epub 2009 Dec 6. PMID 19969491
- ↑ Georgios Psychogios, Christopher Bohr, Jannis Constantinidis, Martin Canis, Vincent Vander Poorten: Review of surgical techniques and guide for decision making in the treatment of benign parotid tumors. In: European Archives of Oto-Rhino-Laryngology. 4. August 2020, ISSN 0937-4477, doi:10.1007/s00405-020-06250-x (springer.com [abgerufen am 8. Januar 2021]).
- ↑ G. Y. Yu, D. Q. Ma, X. B. Liu, M. Y. Zhang, Q. Zhang: Local excision of the parotid gland in the treatment of Warthin's tumour. In: Br J Oral Maxillofac Surg. 36(3), Jun 1998, S. 186–189. PMID 9678883
- ↑ V. M. Reddy, T. Thangarajah, F. Castellanos-Arango, A. Panarese: Conservative management of warthin tumour. In: J Otolaryngol Head Neck Surg. 37(5), Oct 2008, S. 744–749. PMID 19128687
- ↑ M. R. Raymond, J. H. Yoo, J. G. Heathcote, C. M. McLachlin, H. B. Lampe: Accuracy of fine-needle aspiration biopsy for Warthin's tumours. In: J Otolaryngol. 31(5), Oct 2002, S. 263–270. PMID 12512889
- ↑ T. Thangarajah, V. M. Reddy, F. Castellanos-Arango, A. Panarese: Current controversies in the management of Warthin tumour. In: Postgrad Med J. 85(999), Jan 2009, S. 3–8. PMID 19240281
- ↑ S. Gorai, T. Numata, S. Kawada, M. Nakano, J. Tamaru, T. Kobayashi: Malignant lymphoma arising from heterotopic Warthin's tumor in the neck: case report and review of the literature. In: Tohoku J Exp Med. 212(2), Jun 2007, S. 199–205. PMID 17548964
- ↑ M. Melato, G. Falconieri, R. Fanin, M. Baccarani: Hodgkin's disease occurring in a Warthin's tumor: first case report. In: Pathol Res Pract. 181(5), Oct 1986, S. 615–620. PMID 3786253
- ↑ F. Bolat, F. Kayaselcuk, A. N. Erkan, C. A. Cagici, N. Bal, I. Tuncer: Epidermoid carcinoma arising in Warthin's tumor. In: Pathol Oncol Res. 10(4), 2004, S. 240–242. PMID 15619648
- ↑ S. Yamada, T. Matsuo, S. Fujita, K. Suyama, A. Yamaguchi, A. Mizuno: Mucoepidermoid carcinoma arising in Warthin's tumor of the parotid gland. In: Pathol Int. 52(10), Oct 2002, S. 653–656. PMID 12445138
- ↑ G. A. Morrison, H. J. Shaw: Squamous carcinoma arising within a Warthin's tumour of the parotid gland. In: J Laryngol Otol. 102(12), Dec 1988, S. 1189–1191. PMID 3066838
- ↑ O. Bengoechea, F. Sanchez, B. Larrinaga, J. M. Martinez-Penuela: Oncocytic adenocarcinoma arising in Warthin's tumor. In: Pathol Res Pract. 185, 1989, S. 907–911. PMID 2482485
- ↑ A. Fornelli, V. Eusebi, G. Pasquinelli, P. Quattrone, J. Rosai: Merkel cell carcinoma of the parotid gland associated with Warthin tumour: report of two cases. In: Histopathology. 39(4), Oct 2001, S. 342–346. PMID 1168393
- ↑ K. Suzuki, H. Iwai, T. Kaneko, M. Sakaguchi, S. Hoshino, M. Inaba: Induction of parotitis by fine-needle aspiration in parotid Warthin's tumor. In: Otolaryngol Head Neck Surg. 141(2), Aug 2009, S. 282–284. PMID 19643266
- ↑ T. R. Taylor, N. J. Cozens, I. Robinson: Warthin's tumour: a retrospective case series. In: Br J Radiol. 82(983), Nov 2009, S. 916–919. Epub 2009 May 11. PMID 19433486
- ↑ M. Ethunandan, C. A. Pratt, B. Higgins, A. Morrison, T. Umar, D. W. Macpherson, A. W. Wilson: Factors influencing the occurrence of multicentric and 'recurrent' Warthin's tumour: a cross sectional study. In: Int J Oral Maxillofac Surg. 37(9), Sep 2008, S. 831–834. PMID 18550337