Abszess
| Klassifikation nach ICD-10 | |
|---|---|
| L02.- | Hautabszess, Furunkel und Karbunkel |
| L02.0 | Hautabszess, Furunkel und Karbunkel im Gesicht |
| L02.1 | Hautabszess, Furunkel und Karbunkel am Hals |
| L02.2 | Hautabszess, Furunkel und Karbunkel am Rumpf |
| L02.3 | Hautabszess, Furunkel und Karbunkel am Gesäß |
| L02.4 | Hautabszess, Furunkel und Karbunkel an Extremitäten |
| L02.8 | Hautabszess, Furunkel und Karbunkel an sonstigen Lokalisationen |
| L02.9 | Hautabszess, Furunkel und Karbunkel, nicht näher bezeichnet |
| L73.2 | Hidradenitis suppurativa |
| ICD-10 online (WHO-Version 2019) | |
| Klassifikation nach ICD-11 | |
|---|---|
| 1B75.3 | Eitriger Hautabszess |
| ICD-11: Englisch • Deutsch (Entwurf) | |

Ein Abszess (veraltet Abszeß) ist eine (umschriebene) Eiteransammlung (früher auch Apostem[1] genannt) in einer nicht präformierten Körperhöhle, die durch entzündliche Gewebseinschmelzung entsteht. Die Einschmelzung des Gewebes wird als Abszedierung bezeichnet (im Falle einer Lungentuberkulose auch als „Kavernisierung“).
Als hämorrhagischer Abszess wird ein bluthaltiger Eiterherd bezeichnet.
Der subphrenische Abszess (unter dem Zwerchfell gelegen), der perityphlitische Abszess (neben dem Wurmfortsatz gelegen) und der Douglasabszess sind pathologisch gesehen (im Gegensatz zu intraabdominellen Abszessen) keine Abszesse, sondern abgekapselte Empyeme in der Bauchhöhle.
Diagnostik
- klinische Zeichen:
- nur bei oberflächlichen Abszessen: Rötung und Schwellung
- Schmerzen und Spannungsgefühl durch Schwellung
- Fieber, Schüttelfrost
- Labor: ansteigende Entzündungswerte (CRP, Leukozyten)
- bildgebende Diagnostik: umschriebene Flüssigkeitsansammlung
- im Ultraschall
- in Computertomografie oder Magnetresonanztomografie (zusätzlich Dichtebestimmung möglich)
- Punktion:
- sichtbarer Eiter
- positive Bakterienkultur (und Resistogramm)
Ursache
Abszesse können ohne offenbare äußere Ursache auftreten. Aber sie können auch Folge einer Operation, einer Spritze, eines Fremdkörpers oder durch eine Abwehrschwäche des Betroffenen begünstigt sein.
Die Mehrzahl der Abszesse wird durch eine Infektion mit Bakterien hervorgerufen. Krankheitserreger ist bei chronischem Auftreten oft eine Form des Staphylococcus aureus. Selten gibt es sterile Abszesse (sogenannte kalte Abszesse), aus deren Eiter sich keine Erreger isolieren lassen.
Die oberflächlichen Abszesse zeigen eine typische Entzündungsreaktion mit Erwärmung (Hyperthermie) in der Umgebung. Es gibt selten aber auch kalte Abszesse ohne eine solche, typisch bei Tuberkulose.
Mehrfache und wiederkehrende Abszesse können auf einen PVL-bildenden Staphylokokkus hindeuten.[2]
Abszesse im Mund-, Kiefer- und Gesichtsbereich
Bakterielle Entzündungen, die von Zähnen oder dem Zahnhalteapparat ausgehen, werden odontogene Infektionen genannt. Sie können Ursache für die Bildung eines (odontogenen) Abszesses in dieser Körperregion sein.
Abszesse im Bereich der Brust und des Brustkorbs
Ein Mammaabszess kann aus einer puerperalen oder non-puerperalen Mastitis entstehen oder auch als Folge einer postoperativen Wundheilungsstörung.[3]
Als Folge einer schweren (und nekrotisierenden) Lungenentzündung, nach Aspiration und bei abwehrgeschwächten Patienten kann ein Lungenabszess entstehen. Dies ist eine lokalisierte und abgekapselte Eiterung innerhalb eines Lungenbezirks.[4] Lungenabszesse werden meist antibiotisch sowie chirurgisch mithilfe einer Abszessdrainage behandelt.[5] Die bei einer Lungentuberkulose zuweilen stattfindende Einschmelzung (Abszedierung) von Lungengewebe wird als Kavernisierung bezeichnet.[6]
Abszesse des Gehirns
Auch Abszesse im Gehirn, etwa als Kleinhirnabszess, können auftreten.
Abszesse im Bereich der Wirbelsäule
Durch Spinalanästhesie oder Epiduralanästhesie kann bei bakterieller Kontamination ein spinaler Abszess[7] im Rückenmarkskanal oder ein epiduraler Abszess (Epiduralabszess, erstmals 1762 von Morgagni beschrieben und erstmals erfolgreich 1901 von Barth operiert[8]) zwischen Dura und Periost verursacht sein.[9]
Abszesse im Bereich des Bauches
Bei intraabdominellen Abszessen handelt es sich häufig um polymikrobielle Infektionen mit Nachweis von Anaerobiern, Enterobacteriaceae, Streptokokken und Enterokokken. Spezielle Abszesse des Bauchraums sind der eiterbildende Leberabszess, der Milzabszess, Retroperitonealabszess und Pankreasabszess.[10] Subphrenische Abszesse können die Folge entzündlicher Prozesse im Oberbauch sein, aber auch bei eitrigen Prozessen im Pleuraraum durch Durchwanderung durch das Zwerchfell entstehen.[11]
Abszesse im Bereich des Urogenitalsystems
Hier kommen beispielsweise renale Abszesse (Abszesse im Bereich der Nieren) in Frage, die mit Antibiotika und falls nötig Drainage behandelt werden.[12]
Hautabszesse
Abszesse im Bereich der Haut sind kutan bis subkutan gelegene Eiteransammlungen, die keine Abgrenzung zum umgebenden Gewebe aufweisen. Bei einem reifen Abszess existiert zentral ein gelblich-grünliches Areal mit einer gut spürbaren Fluktuation, umgeben von einem tiefen Erythem. Auf Berührung kann sich Eiter entleeren.[13] Hautabszesse treten zum Beispiel im Rahmen von Furunkolose und Pyodermie auf. Aber auch die Acne inversa (Hidradenitis suppurativa) kann vor allem die Ursache für immer wiederkehrende Abszesse in den großen Beugeregionen des Körpers, wie Achseln, Leistenregion oder Gesäß sein. Nicht jeder Abszess bedeutet aber eine solch schwere chronisch entzündliche Dermatose.
Pathologie
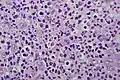
Histologisch (bei Untersuchung unter dem Lichtmikroskop) zeigt sich eine umschriebene und dichte Ansammlung neutrophiler Granulozyten (die größte Untergruppe der weißen Blutkörperchen), die durch die Freisetzung von Enzymen das ortsständige Gewebe zersetzen und dadurch die Abszesshöhle ausbilden. Je nach Entstehungsort und Ursache der Entzündung können sich zudem eingeschlossene Haarschaftanteile (rupturierte Follikulitis), Fremdkörper (Trauma) oder Konkremente (bei Nierenabszess von Nierensteinen) finden. Fragmente untergegangenen und nicht vollständig zersetzten Gewebes können als Sequester ebenfalls frei in der Abszesshöhle liegen.
Zum Umgebungsgewebe ist die Abszesshöhle durch die pyogene Membran (Abszessmembran) begrenzt. Über diesen Wall aus Granulationsgewebe wandern weitere neutrophile Granulozyten in die Abszesshöhle ein. Außerdem enthält die pyogene Membran einkernige Makrophagen (Fresszellen) und – speziell im Falle von enthaltenem Fremdmaterial – mehrkernige Riesenzellen, die den Höhleninhalt resorbieren. Fremdmaterialien können unter dem Mikroskop je nach Beschaffenheit durch die Untersuchung mit polarisiertem Licht, im Höhleninhalt enthaltene Erreger durch Spezialfärbungen hervorgehoben werden.
Nach außen grenzt an die Abszessmembran eine saumartige Fibrosezone, innerhalb derer aktivierte Fibroblasten (bindegewebsbildende Zellen) die Ausbildung einer Pseudokapsel bewirken, welche die Entzündung lokal begrenzt. Kann die Entzündung schließlich durch das Immunsystem oder eine angemessene Therapie eingedämmt werden, wird die Abszesshöhle zunächst durch Granulationsgewebe und schließlich bindegewebig ersetzt. Innerhalb oder am Rand dieses Narbenareals können Granulome aus Fremdmaterial und angelagerten Aggregaten mehrkerniger Riesenzellen verbleiben.
-
Inhalt der Abszesshöhle mit segmentkernigen neutrophilen Granulozyten, Makrophagen und Resten zerfallenen Gewebes
-
In der Gram-Färbung positive Bakterien (Ausstrichpräparat) -
Fadengranulom: chirurgisches Nahtmaterial und mehrkernige Riesenzellen
Vom Abszess abzugrenzen ist die abszedierende eitrige Entzündung im Rahmen einer Phlegmone. Hierbei breitet sich ein dichtes Infiltrat aus neutrophilen Granulozyten ohne Begrenzung durch eine Abszessmembran diffus im Gewebe aus.[14]
-
Abszedierende Entzündung ohne begrenzende Abszessmembran
Komplikationen
Wird ein Abszess nicht ausreichend bzw. unsachgemäß behandelt, kann er sich durch die Haut fistelnd entleeren, in Körperhöhlen (etwa in die Lunge oder als Exsudat in den Pleuraraum[15]) oder Hohlorgane einbrechen oder über die Blutbahn streuen, einen Hirnabszess oder andere Organabszesse bewirken oder im schlimmsten Fall über eine Sepsis („Blutvergiftung“) zum Tode des Betroffenen führen.
Therapie
Um einen Abszess baut der Körper einen Schutzwall aus Granulationsgewebe auf, die sogenannte Abszessmembran. In diesem Randwall konzentriert der Körper Abwehrzellen. Da im Blut befindliche Antibiotika in der Regel durch diese Membran nicht in ausreichender Konzentration in die Abszesshöhle diffundieren, ist alleinige antibiotische Behandlung oft nicht ausreichend.
Die Therapie besteht im Eröffnen und Abfließenlassen des Eiters. Dies geschieht in Form einer Operation, bei der nach Eröffnung (bzw. Spaltung des Abszesses) und Entleerung bzw. Ausräumung die Abszesshöhle gespült und eine perkutane Drainage eingelegt wird. Bei unzugänglichen Abszessen, die häufig in der Bauchhöhle oder im Retroperitoneum vorkommen, wird unter sonografischer oder CT-Kontrolle eine perkutane Punktion und Drainage vorgenommen. Bei größeren oder schlecht zugänglichen Abszessen erfolgt die Operation unter Anästhesie (Narkose, Spinalanästhesie oder Regionalanästhesie). In Ausnahmefällen werden Weichteilabszesse in lokaler Infiltrationsanästhesie eröffnet, welche allerdings das Risiko der Keimverschleppung in sich birgt und weniger wirksam ist als andere Anästhesieverfahren.
Der abgesaugte Eiter wird bakteriologisch untersucht, um festzustellen, welche Erreger die Entzündung verursacht haben.
In der Regel und insbesondere bei Sepsis kommt zusätzlich eine Behandlung mit einem oder mehreren Antibiotika in Frage. Beim Nachweis von PVL-bildenden Staphylokokken im Rachenraum bietet sich eine vierwöchige Therapie mit einem Antibiotikum in Form einer Nasensalbe an. Intensive Hygienemaßnahmen wie das Kochen der Bettwäsche und Handtücher sind begleitend erforderlich.
Zitat
Zur Therapie des Abszesses gilt weiterhin das lateinische Zitat:
„Wo Eiter ist, dort entleere (ihn).“
Siehe auch
Literatur
- Marianne Abele-Horn: Antimikrobielle Therapie. Entscheidungshilfen zur Behandlung und Prophylaxe von Infektionskrankheiten. Unter Mitarbeit von Werner Heinz, Hartwig Klinker, Johann Schurz und August Stich, 2., überarbeitete und erweiterte Auflage. Peter Wiehl, Marburg 2009, ISBN 978-3-927219-14-4, passim.
Weblinks
- Patienteninformation zu oralem Abszess
- Abszessbehandlung mit medizinischen Blutegeln
- Projekt der Charité Berlin zum PLV bildenden Staphylokokkus
Einzelnachweise
- ↑ Vgl. Max Höfler: Deutsches Krankheitsnamen-Buch. München 1899, und Gundolf Keil Die „Cirurgia“ Peters von Ulm. Untersuchungen zu einem Denkmal altdeutscher Fachprosa mit kritischer Ausgabe des Textes (= Forschungen zur Geschichte der Stadt Ulm. Band 2). Stadtarchiv, Ulm 1961 (zugleich Philosophische Dissertation Heidelberg 1960: Peter von Ulm. Untersuchungen zu einem Denkmal altdeutscher Fachprosa mit kritischer Ausgabe des Textes), S. 354 (Apostem n.: „in Höhlen abgeschlossene Eiteransammlung, Abszeß […]“
- ↑ Bernhard Weigel, Michael L. Nerlich: Praxisbuch Unfallchirurgie. Springer-Verlag, 2011, ISBN 978-3-642-10789-4, S. 870 (google.com).
- ↑ Diethelm Wallwiener, Walter Jonat, Rolf Kreienberg, Klaus Friese, Klaus Diedrich, Matthias W. Beckmann: Atlas der gynäkologischen Operationen. 2008, Georg Thieme Verlag, ISBN 978-3-13-159517-1, S. 652 (eingeschränkte Vorschau in der Google-Buchsuche).
- ↑ Joachim Frey: Krankheiten der Atmungsorgane. In: Ludwig Heilmeyer (Hrsg.): Lehrbuch der Inneren Medizin. Springer-Verlag, Berlin/Göttingen/Heidelberg 1955; 2. Auflage ebenda 1961, S. 599–746, hier: S. 686–689 (Lungenabsceß).
- ↑ Marianne Abele-Horn (2009), S. 96 f. (Lungenabszess).
- ↑ Klaus Holldack, Klaus Gahl: Auskultation und Perkussion. Inspektion und Palpation. Thieme, Stuttgart 1955; 10., neubearbeitete Auflage ebenda 1986, ISBN 3-13-352410-0, S. 88 f.
- ↑ Gerd-Gunnar Hanekop, Dietmar Beck: Rückenmarknahe Pharmakotherapie. In: Eberhard Aulbert, Friedemann Nauck, Lukas Radbruch (Hrsg.): Lehrbuch der Palliativmedizin. Mit einem Geleitwort von Heinz Pichlmaier. 3., aktualisierte Auflage. Schattauer, Stuttgart 2012, ISBN 978-3-7945-2666-6, S. 208–223, hier: S. 213–216.
- ↑ Wolfgang Seeger, Carl Ludwig Geletneky: Chirurgie des Nervensystems. In: Franz Xaver Sailer, Friedrich Wilhelm Gierhake (Hrsg.): Chirurgie historisch gesehen. Anfang – Entwicklung – Differenzierung. Dustri-Verlag, Deisenhofen bei München 1973, ISBN 3-87185-021-7, S. 229–262, hier: S. 252.
- ↑ Marianne Abele-Horn (2009), S. 68 (Subdurales Empyem, epiduraler Abszess).
- ↑ Marianne Abele-Horn (2009), S. 126–129 (Intraabdominelle Abszesse).
- ↑ Hans von Haberer: Lebenswichtige, dringliche Operationen in der Bauchhöhle! In: Münchener Medizinische Wochenschrift. Band 95, Nr. 1, 2. Januar 1953, S. 61–69, hier: S. 67.
- ↑ Marianne Abele-Horn (2009), S. 138.
- ↑ Ingrid Moll (Hrsg.): Dermatologie (= Duale Reihe). 6. Auflage. Thieme, Stuttgart 2005, ISBN 978-3-13-126686-6, S. 34.
- ↑ Max Eder, Peter Gedigk (Hrsg.): Allgemeine Pathologie und pathologische Anatomie. 33., neubearb. Auflage. Springer, Berlin 1990, ISBN 0-387-51899-1, S. 138.
- ↑ Berthold Jany, Tobias Welte: Pleuraerguss des Erwachsenen – Ursachen, Diagnostik und Therapie. In: Deutsches Ärzteblatt. Band 116, Nr. 21, (Mai) 2019, S. 377–385, hier: S. 379.