Kahnbeinpseudarthrose
| Klassifikation nach ICD-10 | |
|---|---|
| M84.14 | Nichtvereinigung der Frakturenden [Pseudarthrose] – Hand |
| ICD-10 online (WHO-Version 2019) | |


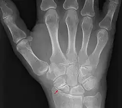
Eine Kahnbeinpseudarthrose ist eine Pseudarthrose vom Os scaphoideum des Handgelenks.
Entstehung
Das Kahnbein ist der biomechanisch wichtigste Knochen der Handwurzelknochen. Eine Kahnbeinpseudarthrose kann beim Ausbleiben der Bruchheilung einer Fraktur des Kahnbeines entstehen. Bei der konservativen, nicht operativen Behandlung werden Pseudarthroseraten von 23 % berichtet,[3] bei der operativen Behandlung wird in der Literatur von Pseudoarthroseraten zwischen 5 und 15 % berichtet.[4] Die Kahnbeinpseudarthrose hat somit im Wesentlichen zwei Ursachen:
- Die Kahnbeinfraktur bleibt unerkannt, da sie im Röntgen nicht vom behandelnden Arzt erkannt wird, oder der Patient nicht ins Spital ging.
- Die Kahnbeinfraktur wurde operativ versorgt und es kommt dennoch zu einer Pseudarthrose, aufgrund nicht fusionierender Knochenfragmente.
Symptome
Die Symptome sind Schmerzen am Handgelenk, insbesondere der sog. Tabatière oder an der Handwurzel generell. Im weiteren Verlauf kann sich auch eine Arthrose entwickeln.
Therapie
Die Therapie erfolgt operativ, indem die Pseudarthrose entfernt wird und der dann verbleibende Defekt im Kahnbeinknochen mit einem Knochenspan aus dem Beckenkamm oder Knochenersatzmaterial stabilisiert wird (Operation nach Matti-Russe).[5][6][7] Zusätzlich kann eine Stabilisation mit einer Herbert-Schraube, die auch bei der Behandlung des Kahnbeinbruches eingesetzt wird, erfolgen.
Literatur
- O. Russe: Fracture of the carpal navicular. In: J Bone Joint Surg [Am]. 42-A, 1960, S. 759–768, PMID 13854612 (englisch).
- Lars Nebermann, Jacek Kotas, L. Graumann, L. Perlick, Rüdiger Döhler: Die Therapie der Skaphoidpseudarthrose. In: Wehrmedizinische Monatsschrift. Band 45, 2001, S. 217–218.
Einzelnachweise
- ↑ Köhler, Zimmer: Grenzen des Normalen und Anfänge des Pathologischen im Röntgenbild des Skeletts. Georg Thieme, Stuttgart/New York 1989, ISBN 3-13-111723-0.
- ↑ R. v. Koppenfels, H. Frössler: Angeborene und erworbene Teilungen des Os naviculare, der Patella und der Fußsesambeine. In: Archiv für orthopädische und Unfall-Chirurgie. Band 78, 1974, S. 107–121, doi:10.1007/BF00416882.
- ↑ P.G. Juten, L. Mannil, H.H. Homann, F. Jostkleigrewe: Knöcherne Verletzungen der Handwurzel. In: Trauma und Berufskrankheit. Band 16, Nr. 1, 1. Februar 2014, ISSN 1436-6282, S. 121–128, doi:10.1007/s10039-013-2027-5.
- ↑ A. Arsalan-Werner, M. Sauerbier, I. M. Mehling: Skaphoidfraktur und Skaphoidpseudarthrose. In: Trauma und Berufskrankheit. Band 18, Nr. 4, 1. Mai 2016, ISSN 1436-6282, S. 376–385, doi:10.1007/s10039-016-0147-4.
- ↑ A. Dacho u. a.: Die Rekonstruktion von Skaphoidpseudarthrosen durch die Operation nach Matti-Russe. In: Der Unfallchirurg. Band 107, 2004, S. 388–396, doi:10.1007/s00113-004-0748-4.
- ↑ JF Hooning van Duyvenbode u. a.: Pseudarthrosis of the scaphoid treated by the Matti-Russe operation. A long-term review of 77 cases. In: Journal of Bone and Joint Surgery. Band 73, 1991, S. 603–606, PMID 2071643 (englisch).
- ↑ H. Matti: Über die Behandlung der Navicularefraktur und der Refraktura patellae durch Plombierung mit Spongiosa. In: Zentralblatt für Chirurgie. Band 64, 1937, S. 2353–2359.