Kahnbeinbruch

Klassifikation nach ICD-10
S62.0 Fraktur des Os scaphoideum der Hand
S92.2 Fraktur eines oder mehrerer sonstiger Fußwurzelknochen
Os naviculare pedis
{{{03-BEZEICHNUNG}}}
{{{04-BEZEICHNUNG}}}
{{{05-BEZEICHNUNG}}}
{{{06-BEZEICHNUNG}}}
{{{07-BEZEICHNUNG}}}
{{{08-BEZEICHNUNG}}}
{{{09-BEZEICHNUNG}}}
{{{10-BEZEICHNUNG}}}
{{{11-BEZEICHNUNG}}}
{{{12-BEZEICHNUNG}}}
{{{13-BEZEICHNUNG}}}
{{{14-BEZEICHNUNG}}}
{{{15-BEZEICHNUNG}}}
{{{16-BEZEICHNUNG}}}
{{{17-BEZEICHNUNG}}}
{{{18-BEZEICHNUNG}}}
{{{19-BEZEICHNUNG}}}
{{{20-BEZEICHNUNG}}}
Vorlage:Infobox ICD/Wartung {{{21BEZEICHNUNG}}}
ICD-10 online (WHO-Version 2019)

Der Kahnbeinbruch oder die Kahnbeinfraktur ist ein Bruch (Fraktur) eines Kahnbeins – entweder des Os scaphoideum der Handwurzel oder des Os naviculare der Fußwurzel. Das Os scaphoideum wird verkürzt eingedeutscht auch Skaphoid genannt – daher wird hier auch von einer Skaphoidfraktur gesprochen. Im Folgenden wird ausschließlich der Kahnbeinbruch der Hand dargestellt.

Unfallmechanismus und Epidemiologie

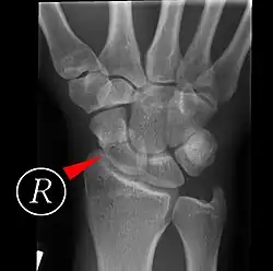
Röntgenbild einer Skaphoidfraktur rechts. Die Frakturlinie ist mit dem roten Pfeil markiert.

Die Verletzung des Kahnbeins macht drei Viertel aller Handwurzelbrüche aus. Sie entsteht in der Regel durch direkte Gewalteinwirkung, zum Beispiel durch einen Sturz auf die nach hinten überstreckte (dorsalextendierte) Hand mit einem Aufprall auf deren speichenseitige (radiale) Hälfte. Die genaue Höhe des Bruchs hängt dabei von der Stärke der Überstreckung und speichenseitige Seitbewegung (Radialabduktion) der Hand im Augenblick des Aufpralls ab.[1]

Am häufigsten tritt die Verletzung im Sport auf, etwa 90 % der Patienten sind Männer, und die häufigste Altersgruppe ist die zwischen 20 und 30 Jahren.

Diagnostik

Bei der Untersuchung besteht häufig ein Druckschmerz, teilweise mit Schwellung, im Bereich der Foveola radialis, auch Tabatière genannt. Dort entsteht oftmals auch ein Schmerz bei passiver Bewegung der Handwurzel durch den Untersucher in Pronation und ellenseitiger Seitbewegung (nach ulnar) sowie ebenso bei Pronation und speichenseitiger Seitbewegung (nach radial). Meist ist auch die Beweglichkeit des Daumens reduziert und der Versuch, Daumen und Zeigefinger in Opposition zu bringen, wie beim Spitzengriff, schmerzhaft bis unmöglich. Schmerzen können auch bei axialer Kompression des Daumens ausgelöst werden, ebenso bei Druck auf das Tuberculum ossis scaphoidei im Bereich der distalen Handbeugefalte bei gestrecktem und speichenwärts gehaltenen Handgelenk. In einer klinischen Studie zeigten sich besonders der Druckschmerz über dem Kahnbeintuberkel und der Schmerz in der Tabatière bei ulnarseitiger Bewegung des Handgelenks als sensitivste Diagnosetests.[2]

Trotzdem haben die klinischen Zeichen insgesamt eine geringe Spezifität, und auch Röntgenaufnahmen zeigen initial bei bis 40 % der Fälle keine Frakturlinie. Bei der Röntgendiagnostik erfolgen bei entsprechendem Verdacht vier Aufnahmen der Handwurzel einschließlich zweier Schrägaufnahmen („Kahnbein-Quartett“). Alternativ kann neben den zwei Standardaufnahmen des Handgelenks eine einzelne Aufnahme nach Stecher erfolgen, bei der die Hand zur Faust geballt und nach ulnar abduziert gehalten wird. Ist ein Bruch trotz klinischen Verdachts nicht sicher festzustellen, erfolgt zur Diagnosesicherung in der Regel eine Computertomographie, oder – insbesondere bei Kindern, bei denen Strahlenschutz eine noch größere Rolle spielt – eine Magnetresonanztomographie.

Behandlung

Die Heilung einer Skaphoidfraktur an der Hand ist abhängig vom genauen Ort des Bruchs schwierig, da die Blutversorgung vorwiegend von körperfern erfolgt, und kann acht bis zwölf Wochen dauern. In dieser Zeit wird das Handgelenk mit Daumengrundgelenk bis zum Unterarm in Gips oder einer Schiene ruhiggestellt.

Als gute Alternative zur Gipsbehandlung bietet sich eine Verschraubung des Kahnbeines mit einer speziellen, durchbohrten Schraube mit zwei Gewinden unterschiedlicher Steigungen an. Diese Form der Schraube bewirkt eine Kompression der Bruchfragmente. Die am häufigsten verwendeten Schrauben dieser Art sind die nach Timothy James Herbert benannte Herbert-Schraube und die Bold-Schraube. Die Osteosynthese wird in der Regel über einen kleinen Schnitt an der Beugeseite des Handgelenks vorgenommen. Vorteil der minimal invasiven Operation ist die stabile sichere Versorgung des Bruches und die durch die Operation zeitlich erheblich verkürzte Gipsnachbehandlung.

Komplikationen

Eine Komplikation in der Behandlung von Skaphoidfrakturen stellt bei ausbleibender Bruchheilung die Kahnbeinpseudarthrose dar.

Kindlicher Kahnbeinbruch (Hand)

Im Kindesalter ist ein Kahnbeinbruch sehr selten, er macht nur 0,34 % aller kindlichen Brüche aus, und nur 3 % aller Handbrüche. Früher und besonders vor dem zehnten Lebensjahr treten vor allem Brüche des zuerst verknöchernden distalen Pols auf, die eine sehr gute Prognose- haben. Durch eine zunehmende sportliche Aktivität, die den Erwachsenensportarten zunehmend ähnelt, zeigt sich bei Kindern ab 12 Jahren in den letzten zwanzig Jahren ein anderes Verteilungsmuster, das dem der Kahnbeinbrüche bei Erwachsenen ähnlicher wird.

In einer großen Fallserie aus Boston mit 351 kindlichen Kahnbeinbrüchen zwischen 1995 und 2010[3] betrug das Durchschnittsalter 14,6 Jahre, das jüngste Kind war sieben Jahre alt. Die Bruchlokalisation lag in 23 % distal, in 71 % mittig und in 6 % am proximalen Kahnbeinende. Die nicht klassischen Brüche mittig und proximal traten signifikant häufiger bei Jungen, bei Hochenergieverletzungen, nach Wachstumsfugenschluss und bei erhöhtem Body-Mass-Index auf.

Die Therapie bestand in der Regel in einer meist dreimonatigen Gips-Ruhigstellung. Eine verzögerte Bruchheilung war häufiger bei verzögert diagnostizierten Brüchen, bei verschobenen Brüchen, proximalen Brüchen und Brüchen mit begleitender Osteonekrose zu verzeichnen. Die Gipsruhigstellung frischer Brüche ergab eine Bruchheilung in 90 %, während die direkte operative Stabilisierung frischer Brüche eine Heilung in 98 % zeigte, aber ohne dass die anschließende Ruhigstellung kürzer war als in der nichtoperativen Gruppe.

Bei Nichtverheilen des Knochenbruchs ist ein chirurgischer Eingriff indiziert, der in 96 % zur Heilung führte.[3] In der Regel wird dann eine kanülierte Schraube durch die beiden Bruchteile geführt, die die Fragmente aneinander drückt und bewegungsstabil sichert. Dabei war die Heilung verzögert bei Kindern mit noch offenen Wachstumsfugen, verschobenen („dislozierten“) Brüchen, proximalen Brüchen, bei Verwendung eines Knochenspans, sowie abhängig von der Art der verwendeten Schraube.

Fast ein Drittel der Kinder zeigte in der Übersichtsstudie bei Erstvorstellung bereits einen chronischen verzögert diagnostizierten Bruch.[3] Die Studie schlägt wegen der deutlich geringeren Wahrscheinlichkeit einer Heilung im Gips (nur 23 %) direkt eine operative Stabilisierung vor.

Literatur

  • S3-Leitlinie Skaphoidfraktur der Deutschen Gesellschaft für Unfallchirurgie (DGU), der Deutschen Gesellschaft für Orthopädie und Orthopädische Chirurgie (DGOOC) und der Deutschen Gesellschaft für Handchirurgie (DGH). In: AWMF online (Stand 2015)
  • H. Krimmer u. a.: Kahnbeinfrakturen – Diagnostik, Klassifikation und Therapie. In: Der Unfallchirurg. 103, 2000, S. 812–819. doi:10.1007/s001130050626, ISSN 0177-5537
Commons: Skaphoidfraktur – Sammlung von Bildern, Videos und Audiodateien
Wiktionary: Kahnbeinbruch – Bedeutungserklärungen, Wortherkunft, Synonyme, Übersetzungen

Einzelnachweise

  1. Bernhard Weigel, Michael Nerlich: Praxisbuch Unfallchirurgie. Springer-Verlag, Berlin 2005, ISBN 3-540-41115-1, S. 375f.
  2. A. D. Duckworth, G. A. Buijze, M. Moran, A. Gray, C. M. Court-Brown, D. Ring, M. M. McQueen: Predictors of fracture following suspected injury to the scaphoid. In: The Journal of bone and joint surgery. Band 94, Nummer 7, Juli 2012, S. 961–968, doi:10.1302/0301-620X.94B7.28704, PMID 22733954.
  3. a b c J. J. Gholson, D. S. Bae, D. Zurakowski, P. M. Waters: Scaphoid fractures in children and adolescents: contemporary injury patterns and factors influencing time to union. In: The Journal of bone and joint surgery. American volume. Band 93, Nummer 13, Juli 2011, S. 1210–1219, doi:10.2106/JBJS.J.01729, PMID 21776574.