Arthrose

Der Begriff Arthrose oder Arthrosis (synonym Arthrosis deformans – von altgriechisch ἄρθρον arthron, deutsch ‚Gelenk‘ und lateinisch deformare ‚verstümmeln‘) – bezeichnet eine degenerative Gelenkerkrankung (Gelenkabnutzung) und wird auch als Gelenkverschleiß, der das altersübliche Maß übersteigt, bezeichnet.
Ursächlich werden ein Übermaß an Belastung (etwa erhöhtes Körpergewicht), angeborene oder traumatisch bedingte Ursachen wie Fehlstellungen der Gelenke oder auch knöcherne Deformierung durch Knochenerkrankungen wie Osteoporose gesehen. Die Arthrose kann ebenfalls als Folge einer anderen Erkrankung, beispielsweise einer Gelenkentzündung (Arthritis) entstehen (sekundäre Arthrose) oder mit überlastungsbedingter Ergussbildung (sekundäre Entzündungsreaktion) einhergehen (aktivierte Arthrose).[1] Die Arthrose wird auch als Osteoarthrose (Osteoarthrosis) und unter anderem in der anglo-amerikanischen Fachliteratur Osteoarthritis (OA) bezeichnet, nicht zu verwechseln mit der rheumatoiden Arthritis (englisch Rheumatoid Arthritis, RA), einer chronisch entzündlichen Autoimmunerkrankung der Gelenke.
Grundsätzlich können alle Gelenke von arthrotischen Veränderungen betroffen werden. In Deutschland ist die Erkrankung bei mehr als die Hälfte im Kniegelenk (Kniegelenksarthrose), bei einem Viertel in der Hüfte (Hüftgelenksarthrose) lokalisiert.[2] Arthrose ist einer der häufigsten Beratungsanlässe in einer allgemeinmedizinischen Praxis.[3] In Deutschland leiden etwa fünf Millionen Menschen an einer Arthrose.[4] Sie ist weltweit die häufigste Gelenkerkrankung (Arthropathie).
Einteilung
| Klassifikation nach ICD-10 | |
|---|---|
| M15-M19 | Arthrose |
| M47 | Spondylose (einschließlich Arthrose oder Osteoarthrose der Wirbelsäule, Degeneration der Gelenkflächen) |
| ICD-10 online (WHO-Version 2019) | |
Grundsätzlich unterscheidet man die primäre und die sekundäre Arthrose:
Bei der primären Arthrose wird eine biologische Minderwertigkeit des Knorpelgewebes unklarer Ursache angenommen. Sekundäre Arthrosen entstehen durch mechanische Überlastung (etwa bei Hüftgelenksdysplasie), entzündliche Veränderungen (etwa bei Arthritiden) oder metabolische Störungen (etwa bei Chondrokalzinose).[5] Die Häufigkeitsverteilung beider Formen wird kontrovers diskutiert.
Bei der Arthrose führt eine anfängliche Knorpelschädigung im weiteren Verlauf zu Veränderungen am Knochen:
- Im Stadium 1 kommt es zu Rauigkeiten und Ausdünnung der Knorpelschicht, tangentiale Fissuren treten auf.
- Im Stadium 2 wird hyaliner Knorpel durch Granulationsgewebe und minderwertigeren Faserknorpel ersetzt. Es bilden sich Pseudozysten aus nekrotischem Knorpel- und Knochengewebe (Geröllzysten).
- Im Stadium 3 treten bereits Ulcerationen auf, das Bindegewebe und die Chondrozyten proliferieren.
- Im Stadium 4 flacht die Knochenplatte eines Gelenkes ab. Um den Druck auf dem Gelenk dennoch abzufangen, bilden sich Randwülste am Knochen (Osteophyten).[5]
Ursachen


Es gibt verschiedene Risikofaktoren wie Alter, Geschlecht oder eine genetische Veranlagung. Ferner können eine Über- und Fehlbelastung der Gelenke bei angeborenen Fehlstellungen, Verletzungen bzw. Unfälle, eine übermäßige körperliche Aktivität oder auch Inaktivität oder Übergewicht zu Arthrose führen.[2]
Grundsätzlich unterscheidet man die Arthrose auch nach ihrer Ursache. Der Arthrosis alcaptonurica liegt eine vermehrte Ablagerung von Homogentisinsäure in Gelenken bei vorbestehender Alkaptonurie zugrunde. Bei der hämophilen Arthrose liegen regelmäßige intraartikuläre Blutungen bei Hämophilie (Blutergelenk) vor. Die Arthrosis urica wird durch den mechanischen Einfluss von Uratkristallen (Harnsäure) auf den gesunden Knorpel hervorgerufen.[6]
Klassische Ursache einer Arthrose stellt die Dysplasie von Gelenken dar. Am Beispiel der Hüfte wird deutlich, dass die mechanisch am meisten belastete Zone bei einer physiologischen Hüftstellung eine deutlich größere Fläche darstellt als bei einer dysplastischen Hüfte. Die Belastungen durch die auf das Gelenk einwirkenden Kräfte sind von der Gelenkform jedoch weitgehend unabhängig. Sie verteilen sich im Wesentlichen auf die Hauptbelastungszone(n). Dadurch wird bei einer kleineren Zone eine höhere Druckbelastung als bei einer größeren auftreten. Die biomechanische Druckbelastung des Gelenkknorpels ist somit bei einer dysplastischen Hüfte größer als bei physiologischer Hüftstellung. Diese Gesetzmäßigkeit wird allgemein ursächlich für das gehäufte Auftreten arthrotischer Veränderungen an von der anatomischen Idealform abweichenden tragenden Gelenken gesehen.
Sind die Folgen einer Verletzung die Ursache für einen vorzeitigen Verschleiß, so spricht man von einer posttraumatischen Arthrose. Als weitere Ursachen einer sekundären Arthrose werden mechanische, entzündliche, metabolische, chemische (Chinolon-Antibiotika), trophische, hormonelle, neurologische und genetische Gründe diskutiert. In den meisten Fällen wird die Entstehung der Arthrose als idiopathisch, das heißt ohne derzeit fassbare Ursache, angesehen.[7]
Medikamentöse Ursachen für eine Arthrose können beispielsweise Antibiotika aus der Klasse der Gyrasehemmer (Fluorchinolone wie Ciprofloxacin, Levofloxacin) sein. Diese Arzneimittel führen in schlecht vaskularisierten Geweben (hyaliner Gelenkknorpel; Sehnengewebe) zu einer Komplexierung von Magnesium-Ionen, was zur Folge hat, dass irreversible Schäden am Bindegewebe entstehen. Diese Schäden sind bei Kindern und Jugendlichen in der Regel in der Wachstumsphase ausgeprägter. Tendopathien und Arthropathien sind bekannte Nebenwirkungen dieser Medikamentenklasse. Beim Erwachsenen führen diese Antibiotika nach Informationen von unabhängigen Pharmakologen und Rheumatologen zu einem beschleunigten physiologischen Abbau des hyalinen Gelenkknorpels.[8][9][10][11] Auch eine langjährige Behandlung mit Phenprocoumon kann durch Abnahme der Knochendichte bei Belastungen der Gelenkbinnenstruktur eine Arthrose begünstigen.
Neben dem Alter sind mechanische Überbelastungen, (Mikro-)Traumata, durch Verlust der Sicherungsmechanismen verursachte Destabilisierungen der Gelenke sowie genetische Faktoren als Risikofaktoren für Osteoarthrose bekannt. Jedoch sind weder Entstehung noch Interventionsmöglichkeiten vollständig geklärt.[7]
In einem von Osteoarthrose betroffenen Gelenk ist der Gehalt von Stickstoffmonoxid erhöht. Ähnliches konnte durch mechanische Reizung von Knorpelgewebe beobachtet werden.[12][13][14] Mechanische Krafteinwirkungen sind wahrscheinlich ursächlich an der Entstehung von Osteoarthrose beteiligt.[15]
Prävalenz
In Deutschland, aber auch weltweit, ist Arthrose die häufigste aller Gelenkerkrankungen.[2]
Das Risiko, an Arthrose zu erkranken, erhöht sich mit zunehmendem Alter.[16] Etwa zwei Drittel der Menschen über 65 Jahren sind von der Erkrankung betroffen,[7] jedoch leiden nicht alle Betroffenen auch an den Symptomen. Häufiger leiden Frauen mehr als Männer an Arthrose.
Symptome
Eine Arthrose kann symptomlos verlaufen. Typisch sind Anlauf- und belastungsabhängiger Schmerz. Das Ausmaß der Schmerzen korreliert jedoch nicht zwangsläufig mit dem objektiv beurteilbaren Ausprägungsgrad der Arthrose. Als weitere typische Symptome gelten ein Gelenkerguss (aktivierte Arthrose), zunehmende Deformation (Verformung) des Gelenks und Gelenkgeräusche durch zunehmende Unebenheiten der Knorpeloberfläche bei Bewegung.
Diagnostik


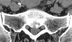
(1) (Rand-)Osteophyt
(2) subchondrale Sklerosierung
(3) Geröllzyste
(4) Gelenkspaltverschmälerung
Der Patient berichtet bei der Anamnese über Gelenkschmerzen, anschließend muss geklärt werden, bei welchen Gelegenheiten dieser Schmerz auftritt. Es folgt die klinische Untersuchung der Gelenkkontur, der Funktion, der Bandstabilität, der umgebenden Muskulatur. Dann schließt sich, je nach Erfordernis, eine bildgebende Diagnostik an, wie beispielsweise Röntgen, Computertomographie (CT) oder Magnetresonanztomographie (MRT). Zeichen einer bestehenden Arthrose sind dabei eine Verschmälerung des Gelenkspaltes, Sklerose (eine reaktive Knochenverdichtung zu beiden Seiten des Gelenkspaltes), Osteophytenbildung an den Gelenkrändern und subchondrale Zystenbildungen des gelenkbildenden Knochens, die durch feine Rissbildungen des Knorpels und Durchtritt von Gelenkflüssigkeit in die darunter liegende Knochenschicht entstehen. Eine Verschmälerung des Gelenkspalts deutet dabei auf eine Arthritis oder eine Arthrose hin, je nachdem, ob der gelenknahe Knochen verdünnt oder verdickt ist.[17]
Wenn sich ein Befund für eine minimalinvasive Intervention anbietet, kann eine Arthroskopie notwendig werden. Die Entwicklung der Arthroskopie hat in den letzten Jahren etliche Gelenke für diese Form des operativen Eingriffs zugänglich gemacht. Am häufigsten werden Arthroskopien am Kniegelenk durchgeführt, auch um präoperativ abzuklären, welcher Typ Endoprothese im Einzelfall sinnvoll ist. Meistens werden Arthroskopien jedoch eingesetzt, um zeitgleich mit der Diagnostik die erforderliche Sanierung des Gelenkes vornehmen zu können.
Durch eine Weiterentwicklung von Methoden zur Auswertung von MRT-Aufnahmen kann Arthrose bereits im Frühstadium erkannt werden.[18] Diese Technik ist auch für die Erforschung neuer Medikamente als therapiebegleitende Verlaufskontrolle von großer Bedeutung.
Behandlung
Grundsätzlich verfolgt die Therapie der Arthrose zwei Ziele: die Schmerzfreiheit unter üblicher Belastung und die Verhinderung mechanischer Einschränkungen oder Veränderungen des Gelenkes.
Dazu sind folgende Therapieansätze geeignet:
- Schmerzfreiheit durch
- fehlenden Reiz zur vermehrten Entstehung von Schmerzmediatoren oder
- Unterdrückung der Schmerzwahrnehmung, beziehungsweise der lokalen Auswirkung der Schmerzmediatoren.
- Verhinderung des Fortschreitens von Gelenkveränderungen durch
- Beseitigung mechanischer Risikofaktoren wie Gelenkdysplasien oder anderer Ursachen, die zu vermehrter Druckbelastung des Gelenkknorpels führen,
- Regeneration des Gelenkknorpels oder
- endoprothetischen Ersatz der Gelenkfläche.
Konzept von „SYSADOA“ und „DMOAD“
SYSADOA (Symptomatic Slow Acting Drugs in Osteo-arthritis) sind Substanzen ohne direkte schmerzlindernde Wirkung. Sie ändern grundsätzlich den Verlauf der Arthrose als Krankheit nicht. DMOAD (Disease Modifying Osteo-arthritis Drugs – früher als Chondroprotektiva bezeichnet) sollen den Krankheitsverlauf beeinflussen. Dazu sind eine Verlangsamung der Knorpeldegeneration und/oder eine Verstärkung der Knorpelregeneration (remodelling) geeignet.[19][20]
Der Placebo-Effekt
Im Rahmen einer Metaanalyse wurden aus bereits bestehenden Arbeiten über Arthrosetherapien die unbehandelten Kontrollgruppen mit den placebobehandelten Kontrollgruppen (medikamentöse, nicht-medikamentöse und operative Placebo-Behandlungen) verglichen. Dabei stellte sich heraus, dass die Scheinbehandlung bezüglich Schmerzerleichterung, Steifigkeit und subjektiver Beweglichkeit der fehlenden Behandlung statistisch signifikant überlegen war.[21]
Operative Verfahren
Die Möglichkeiten der Therapie hängen vom betroffenen Gelenk ab. So werden bei der Hüftgelenksarthrose (Coxarthrose) als gelenkerhaltende Operationen die Korrekturosteotomien (operative Gelenkumstellung) an Oberschenkel und Becken und als Gelenkersatzoperation (Arthroplastik) eine Endoprothese empfohlen.[22]
Bei einer klinisch und radiologisch gesicherten Kniegelenksarthrose (Gonarthrose) ist die alleinige Arthroskopie mit Lavage (therapeutische Spülung) und/oder Débridement nicht empfohlen aufgrund der fehlenden Wirkung und des verbundenen Operationsrisikos.[23] Eine Arthroskopie kann aber zur Beschwerdebesserung beitragen, falls zusätzlich mechanisch bedingte Symptome einer Meniskusläsion oder eines freien Gelenkkörpers vorliegen. Die Leitlinie betont, dass bei einem Gelenkersatz die Indikation kritisch gestellt werden müsse. Bei der Operation werden die zerstörten Gelenkanteile entfernt und durch künstliche ersetzt. Das Entfernen der Gelenkoberflächen ist unumkehrbar; außerdem können je nach Alter des Patienten bei der Primärimplantation Wechseloperationen notwendig werden.[23] Daher ist diese Operation nur bei fortgeschrittener Arthrose (Grad 3 und 4) oder bei einer vorliegenden Knochennekrose indiziert.
Knorpeltransplantation
Autotransplantation
Hierbei handelt es sich um ein Verfahren, bei dem gut erhaltene Anteile des Gelenkknorpels aus wenig belasteten Randbereichen eines Gelenkes (insbesondere des Kniegelenks) verwendet werden, um Knorpeldefekte in Hauptbelastungszonen zu ersetzen. Diese Technik wird in der Regel in konventioneller Arthrotomie durchgeführt.
Autologe Chondrozyten-Implantation
Die Autologe Chondrozyten-Transplantation (ACT) ist eine Form der Behandlung mit dem Ziel, Schäden im Gelenkknorpel auszugleichen, um das Fortschreiten von Knorpelschäden zu verlangsamen, eine Gelenkersatzoperation hinauszuzögern und bestehende Schmerzen zu erleichtern. Das Verfahren erschien 1994 auch in Bezug auf langfristige Ergebnisse vielversprechend.[24] Dabei werden zuerst etwa 200 und 300 Milligramm Knorpelzellen (Chondrozyten) arthroskopisch aus einem unbelasteten Bereich des Kniegelenkes (etwa Fossa intercondylaris) entnommen, dann diese Zellen in vitro ungefähr vier bis sechs Wochen lang kultiviert, bis es genügend Zellen gibt, um sie wieder im beschädigten Bereich des Gelenkknorpels zu replantieren. Diese autologen Zellen sollten sich durch Bildung neuen, möglichst hyalinen Knorpels an ihre neue Umgebung anpassen. Bei der Implantation werden Knorpelzellen in Verbindung mit einer Membran (äußere Knochenhaut des Schienbeins oder Biomembran) oder einer Gerüstmatrix in den geschädigten Bereich eingebracht und mit sehr feinen Nähten oder Fibrinkleber fixiert. Das Verfahren wird in Abhängigkeit von der Größe des Knorpeldefekts durchgeführt.[25] Anwendende Kliniken müssen in Deutschland extra dafür zugelassen sein. Es gibt Hinweise zur Effektivität dieser Methode bei der Behandlung symptomatischer Knorpeldefekte des Kniegelenks.[26]
Arthroskopische Techniken
In Abhängigkeit von der Defektgröße gehören hierzu verschiedene Techniken, wie die Anfrischung degenerativ veränderter Regionen des Gelenkknorpels mittels Healing Response, Shaving, Pridie-Bohrung, oder die Implantation von Carbon-Stiften.
Therapie bei beginnender und fortgeschrittener Arthrose
In der Mehrzahl der Fälle wird eine Therapie erst begonnen, wenn die Arthrose bereits merklich schmerzt und eine deutliche Gelenkveränderung bewirkt hat. Dann ist es das Ziel der Therapie – trotz des Gelenkverschleißes – eine ausreichende Beweglichkeit und Belastbarkeit des Gelenkes noch für einige Zeit zu erhalten. Im Regelfall wird eine Arthrose konservativ behandelt. Meist erst wenn es zu Einschränkungen im Alltag oder im Berufsleben kommt, wird eine Operation erwogen.

Leitlinienkonforme Maßnahme der Orthopädietechnik bei Hüftgelenksarthrose[22]
Konservative Therapieformen
Der Wirksamkeitsnachweis von Therapiemaßnahmen bei Arthrose ist nicht einfach, da im Verlauf der Krankheit schmerzlose Phasen mit schmerzhaften Phasen abwechseln. Auch die Gelenkbeweglichkeit kann im Verlauf der Krankheit variieren. Im Bereich des Hüft- oder Kniegelenks kann man die Arthrose beispielsweise anhand der schmerzfreien Gehstrecke und der Gelenkbeweglichkeit dokumentieren.
Von Leitlinien oder Fachausschüssen empfohlene und/oder als gut belegt eingestufte konservative Therapieformen
- Erster Bestandteil der Behandlung ist eine umfassende Aufklärung des Patienten über die Erkrankung, deren natürlichen Verlauf und dessen therapeutische Beeinflussbarkeit. Die Beratung bezieht die psychosoziale Lebenswelt des Patienten ein, also seine Arbeitswelt, die Freizeitgestaltung, psychologische Belastungen sowie sonstige körperliche und psychosoziale Risikofaktoren.[22][23] Die Beratung sollen hierbei ein integraler und beständiger Teil des medizinisch-therapeutischen Managements sein.
- Medikamente aus unterschiedlichen Substanzgruppen werden zur Schmerzreduktion und zur Entzündungshemmung systemisch und/oder lokal eingesetzt. Hierzu werden Antiphlogistika (Nichtsteroidale Antirheumatika (NSAR), Glucocorticoide (nur lokal), SYSADOA (Symptomatic Slow Acting Drugs in OA) wie Chondroitin, Glucosamin, Diacerhein, Hyaluronsäure und einige pflanzliche Extrakte wie beispielsweise Artischockenextrakt) und die therapeutische Lokalanästhesie empfohlen.[19][20]
- Aus den Bereichen physikalische Therapie und Orthopädietechnik werden Physiotherapie (Mobilisierung, Muskelkräftigung, Dehngymnastik und Koordinationsschulung), Wärmetherapie, Hydro- und Balneotherapie, Elektrotherapie sowie Gehstock beziehungsweise Unterarmgehstützen, Pufferabsätze, Keilkissen, Sitzerhöhungen, Arthrodesenstuhl, Entlastungsorthesen und Bandagen empfohlen.[22][23]
- Laut der Arzneimittelkommission der Deutschen Ärzteschaft (AkdÄ) ist bei Arthrose bisher nur die Wirksamkeit von Analgetika (Schmerzmittel) klinisch belegt, die symptomatisch, nicht aber kausal (ursächliche Behandlung) wirken. Dazu gehören die nicht-steroidalen Antirheumatika (NSAR) wie zum Beispiel Diclofenac, Ibuprofen oder Naproxen und die Cyclooxygenase-2-Hemmer (COX-2-Hemmer, wegen gehäufter Herzinfarkte und Schlaganfälle in die Diskussion gekommen). Derzeit sind die beiden Substanzen Etoricoxib und Celecoxib in Deutschland zugelassen. Außerdem werden in schweren Fällen die stark wirksamen Analgetika vom Morphin-Typ eingesetzt. Diese sollen jedoch ausschließlich beim Versagen der nicht-medikamentösen Therapie, bei Wirkungslosigkeit anderer Schmerzmittel und bei Unmöglichkeit eines Gelenkersatzes zur Anwendung kommen.[27]
Weitere Behandlungskonzepte
- Bei Reizzuständen der Gelenke mit Überwärmung und Schmerz bringen kühlende Maßnahmen eine kurzfristige Besserung der Symptome.
- Die Studienergebnisse der GERAC-Studien weisen auf eine Wirksamkeit der Akupunktur bei arthrosebedingten chronischen Kniegelenkschmerzen hin: Hierbei wurde im nicht verblindeten Vergleich mit der Standardtherapie eine bessere Wirkung der Akupunktur und Scheinakupunktur gefunden. Eine Wirkung, die Akupunktur von der Placebo-Gruppe (Scheinakupunktur) unterscheidet, konnte aber nicht nachgewiesen werden.[28][29] Da „irgendeine“ Akupunkturbehandlung wesentlich erfolgreicher als eine konventionelle Therapie ohne Nadelstiche war, liegen Überlegungen nahe, dass entweder alleine die Reizung der Haut mit Nadeln einen schmerzlindernden Effekt hervorruft und/oder dass eine konventionelle Behandlung im Rahmen einer solchen Studie einen Nocebo-Effekt besitzt, da der Kontrollgruppe diese besondere Therapieform (Nadelstiche) vorenthalten wurde.
- Eine Therapieoption bietet die Interleukin-1 (IL-1)-Antagonist-Therapie: Aus dem Blut des Patienten soll ein IL-1-Antagonist gewonnen werden, der in das betroffene Gelenk injiziert wird. Die Wirksamkeit und Sicherheit dieser Therapie bei Arthrose wurde unter anderem in zwei randomisierten placebokontrollierten Studien untersucht,[30][31] die Methode wird als Orthokin-Therapie durch den Hersteller ORTHOGEN Lab Services vermarktet. Die Deutsche Gesellschaft für Rheumatologie (DGRh) rät von der Behandlung ab, da sowohl die Studien zu Grundlagen als auch die klinischen Studien mangelhaft seien.[32][33] Zudem besteht das Risiko von Entzündungsreaktionen oder gefährlichen Infektionen.[34] Wolfgang Becker-Brüser vom pharmakritischen Arznei-Telegramm erklärte: „Sobald ich etwas in ein Gelenk injiziere, auch wenn es nur Kochsalzlösung ist, schaffe ich einen Puffer. Dadurch nehmen die Beschwerden zunächst ab. Die Effekte halten letztlich aber nicht lange an.“ Der Hersteller verklagte mehrmals erfolglos die DGRh.[34]
- Bei einer Eigenbluttherapie werden weiße und rote Blutkörperchen aus einer Blutprobe des Patienten entfernt und als Blutplasma in die betroffenen Gelenke injiziert; sie sollen dort die Entzündung lindern.[35] Eine Wirksamkeit kann aufgrund der mangelhaften und teilweise widersprüchlichen Studien nicht demonstriert werden.
- Hyaluronsäure: Der Abrieb von Knorpelsubstanz wird durch vom ungeschädigten Gelenk natürlich produzierte „Gelenkschmiere“ namens Hyaluronsäure reduziert. Der Degenerationsprozess soll während einer Dauerindikation damit ebenfalls – zumindest teilweise – reduziert oder sogar gestoppt werden können. Das Präparat muss intraartikulär injiziert werden, wobei das grundsätzliche Risiko einer Gelenkinfektion besteht. Ferner ist zu beachten, dass Hyaluronsäure in der Regel als Medizinprodukt am Markt erscheint und daher keiner Arzneimittelprüfung unterliegt. Es gibt also keine Standards, die einzelnen Produkte unterscheiden sich je nach Hersteller teilweise erheblich in ihrer Zusammensetzung. Da es sich also bei Hyaluronsäure nicht um ein Arzneimittel handelt, ist eine einheitliche Bewertung schon von daher ebenso wenig möglich wie die systematische Erfassung von Nebenwirkungen.[36]
- Die Substanzen Glucosamin (besonders in Kombination mit MSM)[37] und Chondroitin können bei positiver Disposition die Symptome der Arthrose etwas verbessern oder ihr weiteres Fortschreiten verzögern.[38] Ergebnisse über zwölf Wochen (effectiveness results of a prototypical 12-week, double-blind, randomized placebo-controlled trial of glucosamine) zeigten dagegen, dass Glucosamin bei der Arthrose im Knie in so kurzer Zeit offenbar nicht wirksam sein kann.[39] Eine weitere Nahrungsergänzung, die vielversprechend scheint, ist S-Adenosylmethionin. Kleinere Studien behaupten, dass es bei der Schmerzlinderung ebenso effektiv sei wie nichtsteroidale antiinflammatorische (entzündungshemmende) Schmerzmittel (Ibuprofen, Diclofenac usw.), auch wenn es etwa vier Wochen dauert, ehe dieser Effekt einsetzt. In einer großen placebokontrollierten Studie wurden 572 Patienten mit Glucosamin oder Chondroitin oder mit einer Kombination beider Substanzen behandelt. Ziel der Studie war es herauszufinden, ob eine der Behandlungen den Verlauf der Krankheit bremsen könnte. Nach einer Behandlungsdauer von 18 Monaten konnte in keiner Behandlungsgruppe ein Vorteil gegenüber Placebo nachgewiesen werden.[40][41]
- Die pulsierende Signaltherapie, bei der das Knorpelgewebe pulsierenden Magnetfeldern ausgesetzt wird, ist bezüglich der Wirksamkeit umstritten.
- Eine weitere Therapie ist die Goldimplantation, die seit 1975 in der Tiermedizin und seit 1996 in der Humanmedizin angewandt wird. Dabei werden kleine Goldteilchen mittels Hohlnadeln gelenknah implantiert. Anfänglich wurden die Implantate an Akupunkturpunkten gesetzt, mittlerweile häufiger an individuell ermittelten Schmerzpunkten. Studien belegen, dass aus den Goldteilchen Goldionen in das umliegende Gewebe aufgenommen werden.[42][43][44] Dies wird als eine mögliche Erklärung der antientzündlichen Wirkung herangezogen.[45] Neben doppelblinden, plazebokontrollierten Studien in der Tiermedizin (z. B.[46][47]) gibt es zwei dänische Pilotstudien in der Humanmedizin. Diese Studien zeigen eine Senkung der Schmerzen und Verbesserung der Beweglichkeit bei der mit Goldimplantation behandelten Patientengruppe gegenüber der Kontrollgruppe mit Scheinimplantation (nur Nadeln eingeführt).[48][49] Größere Studien als Grundlage für die Aufnahme in den Leistungskatalog der gesetzlichen Krankenversicherung stehen noch aus.
Operation, Endoprothese (Gelenkersatz)
Zu den operativen Therapien der Arthrose gehört unter anderem neben der operativen Gelenkumstellung (Korrekturosteotomie), der Gelenkspiegelung (Arthroskopie) und der Gelenkversteifung (Arthrodese), insbesondere der künstliche Gelenkersatz (Endoprothese). In Deutschland wurden im Jahr 2016 etwa 400.000 endoprothetische Operationen an der Hüfte und an den Kniegelenken durchgeführt – mit steigender Tendenz. Die durchschnittliche Standzeit einer modernen Hüftgelenksendoprothese liegt nach 10 Jahren bei über 95 %.[50]
Arthrose (Gelenkbezug und Sonderformen)
Die folgenden Arthroseformen beziehen sich namentlich auf das jeweils betroffene Gelenk:

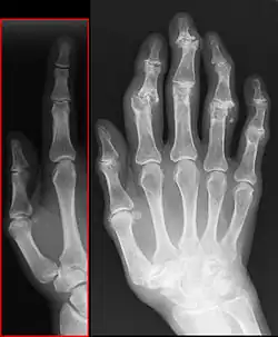
- Bouchard-Arthrose – Arthrose der Fingermittelgelenke
- Cubitalarthrose – Arthrose des Ellenbogengelenks
- Hallux rigidus – Arthrose des Großzehengrundgelenks
- Heberden-Arthrose – Arthrose der Fingerendgelenke
- Coxarthrose – Arthrose des Hüftgelenks
- Iliosakralgelenksarthrose – Arthrose des Kreuzbein-Darmbeingelenks
- Kiefergelenksarthrose
- Gonarthrose – Arthrose des Kniegelenks
- Omarthrose – Arthrose des Schultergelenks
- Radiocarpalarthrose – Arthrose im Handgelenksbereich
- Rhizarthrose – Daumensattelgelenksarthrose
- Spondylarthrose – Arthrose der Wirbelgelenke
- Sprunggelenksarthrose – Arthrose des oberen und unteren Sprunggelenks
Die folgenden Arthrosebezeichnungen beschreiben den Status bzw. die Herkunft der Arthrose:
- Inkongruenzarthrose
- Polyarthrose, multiple Arthrose – wenn die Arthrose an vielen Gelenken gleichzeitig auftritt
- Posttraumatische Arthrose – aus einer Verletzung resultierende Fehlstellung eines Gelenkes, die zu vorzeitigem Verfall führt
- Präarthrose – Vorstufe der Arthrose (zur Arthrose disponierende knöcherne Konstellation[51]) z. B. aufgrund einer Unterentwicklung (Dysplasie, Hypoplasie) eines Gelenks, z. B. angeborene Hüftkopfdysplasie.
Siehe auch
- Deutsche Arthrose-Hilfe
- Spondylosis deformans („osteoarthritis“)
Literatur
- Klaus-Dieter Thomann: Wirksame Hilfe bei Arthrose. TRIAS-Verlag, Stuttgart 2003, ISBN 3-8304-3094-9.
- Gerhard Leibold: Arthritis und Arthrose. Jopp-Oesch Verlag, Zürich 2003, ISBN 3-0350-5037-6.
- Doris Schwarzmann-Schafhauser: Arthrose. In: Werner E. Gerabek u. a. (Hrsg.): Enzyklopädie Medizingeschichte. De Gruyter, Berlin / New York 2005, ISBN 3-11-015714-4, S. 103.
- Ludwig Heilmeyer, Wolfgang Müller: Die rheumatischen Erkrankungen. In: Ludwig Heilmeyer (Hrsg.): Lehrbuch der Inneren Medizin. Springer-Verlag, Berlin/Göttingen/Heidelberg 1955; 2. Auflage ebenda 1961, S. 309–351, hier: S. 346–351 (Die degenerativen Gelenkerkrankungen), insbesondere S. 346–348: Die Arthrosis deformans (Osteoarthrosis, Osteoarthritis, degenerative joint diseases).
Weblinks
- Arthrose, Deutsche Rheuma-Liga
- Arthrose, Gesundheitsinformation.de
- Arthrose, Rheumaliga Schweiz
- Arthrose: Symptome, Ursache und Hilfe, Norddeutscher Rundfunk
Einzelnachweise
- ↑ Arthrose. (PDF; 3,0 MB) Robert Koch-Institut (Hrsg.): Gesundheitsberichterstattung des Bundes. Heft 54, Berlin 2013.
- ↑ a b c Judith Fuchs et al.: 12-Monats-Prävalenz von Arthrose in Deutschland. (PDF) Robert Koch-Institut, März 2017, abgerufen am 28. Februar 2025.
- ↑ W. Fink, G. Haidinger: Die Häufigkeit von Gesundheitsstörungen in 10 Jahren Allgemeinpraxis. In: ZFA – Zeitschrift für Allgemeinmedizin. 83, 2007, S. 102–108, doi:10.1055/s-2007-968157. Zitiert nach: Womit sich Hausärzte hauptsächlich beschäftigen. In: MMW-Fortschr Med. 16, 2007.
- ↑ Deutsche Arthrose-Hilfe: Wie häufig ist Arthrose? ( des vom 27. Dezember 2013 im Internet Archive) Info: Der Archivlink wurde automatisch eingesetzt und noch nicht geprüft. Bitte prüfe Original- und Archivlink gemäß Anleitung und entferne dann diesen Hinweis. Abgerufen am 15. Juli 2013.
- ↑ a b K. J. Bühling u. a.: Intensivkurs: Allgemeine und spezielle Pathologie. Verlag Elsevier, 2004, ISBN 3-437-42411-4, S. 84. (eingeschränkte Vorschau in der Google-Buchsuche)
- ↑ W. Pschyrembel u. a.: Klinisches Wörterbuch mit klinischen Syndromen und einem Anhang Nomina Anatomica. 253. Auflage. Verlag Walter de Gruyter, 1977, ISBN 3-11-007018-9.
- ↑ a b c H. I. Roach, S. Tilley: The Pathogenesis of Osteoarthritis. In: F. Bronner, M. C. Farach-Carson (Hrsg.): Bone and Osteoarthritis. Band 4, Verlag Springer, 2007, ISBN 978-1-84628-513-4.
- ↑ M. Menschik, J. Neumüller, C. W. Steiner, L. Erlacher, M. Köller, R. Ullrich, W. Graninger, W. B. Graninger: Effects of ciprofloxacin and ofloxacin on adult human cartilage in vitro. In: Antimicrobial Agents and Chemotherapy. Band 41, Nummer 11, November 1997, ISSN 0066-4804, S. 2562–2565. PMID 9371369, PMC 164164 (freier Volltext).
- ↑ M. Egerbacher u. a.: Ciprofloxacin causes cytoskeletal changes and detachment of human and rat chondrocytes in vitro.In: Arch. Toxicol. 73, 2000, S. 557–563. PMID 10663387.
- ↑ H. Chang u. a.: Pefloxacin-induced arthropathy in an adolescent with brain abscess. In: Scand J Infect Dis. 28, 1996, S. 641–643. PMID 9060073.
- ↑ A. Chaslerie u. a.: Polyarthropathy in an adolescent treated with pefloxacin. In: Therapie. 47, 1992, S. 80. PMID 1523601. (französisch)
- ↑ P. Das u. a.: Nitric oxide and G proteins mediate the response of bovine articular chondrocytes to fluidinduced shear. In: Journal of Orthopaedic Research. 15, 1997, S. 87–93. PMID 9066531.
- ↑ A. J. Farrell, D. R. Blake, R. M. Palmer, S. Moncada: Increased concentrations of nitrite in synovial fluid and serum samples suggest increased nitric oxide synthesis in rheumatic diseases. In: Annals of the Rheumatic Diseases. Band 51, Nummer 11, November 1992, ISSN 0003-4967, S. 1219–1222. PMID 1466599, PMC 1012459 (freier Volltext).
- ↑ B. Fermor u. a.: The effects of static and intermittent compression on nitric oxide production in articular cartilage explants. In: Journal of Orthopaedic Research. 19, 2001, S. 729–737. PMID 11518285.
- ↑ X. Liu u. a.: Force-mediated dissociation of proteoglycan aggregate in articular cartilage. In: Biorheology. 43, 2006, S. 183–190. PMID 16912392.
- ↑ Arthrose. In: Robert Koch-Institut. 30. Juli 2020, abgerufen am 28. Februar 2025.
- ↑ Joachim Grifka, Jürgen Krämer: Orthopädie Unfallchirurgie. Springer-Verlag, 2013, ISBN 978-3-642-28874-6.
- ↑ New Diagnostic Tool For Arthritis Could Stop Irreversible Damage. In: sciencedaily.com. 27. April 2013, abgerufen am 22. Januar 2015.
- ↑ a b C. Fassl u. a.: SYSADOA/DMOAD-Konzept setzt auf langsame positive Effekte. ( vom 2. November 2012 im Internet Archive) In: Rheuma Plus. 1, 2005.
- ↑ a b SYSADOA bzw. DMOAD in der Arthrosetherapie. In: medmix.at. 23. September 2016, abgerufen am 23. Februar 2018.
- ↑ W. Zhang u. a.: The placebo effect and its determinants in osteoarthritis – meta-analysis of randomised controlled trials. In: Ann Rheum Dis. 2008, doi:10.1136/ard.2008.092015, PMID 18541604.
- ↑ a b c d S2k-Leitlinie Koxarthrose der Deutschen Gesellschaft für Orthopädie und Unfallchirurgie. In: AWMF online (Stand 2019)
- ↑ a b c d S2k-Leitlinie Gonarthrose der Deutschen Gesellschaft für Orthopädie und Unfallchirurgie. In: AWMF online (Stand 2017)
- ↑ M. Brittberg u. a.: Treatment of deep cartilage defects in the knee with autologous chondrocyte transplantation. ( des vom 30. März 2009 im Internet Archive) Info: Der Archivlink wurde automatisch eingesetzt und noch nicht geprüft. Bitte prüfe Original- und Archivlink gemäß Anleitung und entferne dann diesen Hinweis. In: NEJM. 331, 1994, S. 889–895. PMID 8078550.
- ↑ P. Niemeyer, S. Andereya u. a.: Autologous chondrocyte implantation (ACI) for cartilage defects of the knee: a guideline by the working group „Tissue Regeneration“ of the German Society of Orthopaedic Surgery and Traumatology (DGOU). In: Z Orthop Unfall. Band 151, Nr. 1, Februar 2013, S. 38–47. PMID 23423589. doi:10.1055/s-0032-1328207.
- ↑ D. B. Saris u. a.: Characterized Chondrocyte Implantation Results in Better Structural Repair When Treating Symptomatic Cartilage Defects of the Knee in a Randomized Controlled Trial Versus Microfracture. In: Am J Sports Med. 36, 2008, S. 235–246. doi:10.1177/0363546507311095, PMID 18202295.
- ↑ Winfried Häuser et al.: 2. Aktualisierung der S3 Leitlinie „Langzeitanwendungen von Opioiden bei chronischen nicht-tumorbedingten Schmerzen“. (PDF, 1,9 MB) AWMF Leitlinien-Register, 2020, S. 28, abgerufen am 5. September 2023.
- ↑ Hanns-Peter Scharf et al.: Acupuncture and knee osteoarthritis: a three-armed randomized trial. In: Annals of Internal Medicine. Band 145, Nr. 1, 4. Juli 2006, S. 12–20, doi:10.7326/0003-4819-145-1-200607040-00005, PMID 16818924 (englisch).
- ↑ Michael Haake et al.: German Acupuncture Trials (GERAC) for chronic low back pain: randomized, multicenter, blinded, parallel-group trial with 3 groups. In: Archives of Internal Medicine. Band 167, Nr. 17, 24. September 2007, S. 1892–1898, doi:10.1001/archinte.167.17.1892, PMID 17893311 (englisch).
- ↑ A. W. A. Baltzer et al.: Autologous conditioned serum (Orthokine) is an effective treatment for knee osteoarthritis. In: Osteoarthritis and Cartilage. Band 17, Nr. 2, Februar 2009, S. 152–160, doi:10.1016/j.joca.2008.06.014, PMID 18674932 (englisch).
- ↑ Peter Wehling et al.: Autologous conditioned serum in the treatment of orthopedic diseases: the orthokine therapy. In: BioDrugs: Clinical Immunotherapeutics, Biopharmaceuticals and Gene Therapy. Band 21, Nr. 5, 2007, S. 323–332, doi:10.2165/00063030-200721050-00004, PMID 17896838 (englisch).
- ↑ Gerd-Rüdiger Burmester et al.: Neufassung der Empfehlungen der Kommission Pharmakotherapie der DGRh: Stellungnahme zum Einsatz von Orthokin. In: Zeitschrift für Rheumatologie. Band 66, Nr. 1, Februar 2007, S. 83–84, doi:10.1007/s00393-006-0135-3.
- ↑ S. Rehart u. a.: Aktualisierte Stellungnahme zu „Orthokin“. September 2009.
- ↑ a b Christina Berndt: Pharmafirma will kritische Mediziner mundtot machen. In: Süddeutsche Zeitung. 17. Dezember 2013, abgerufen am 28. Februar 2025.
- ↑ Teresa König: Eigenblut-Therapie bei Arthrose: Wirksamkeit unbelegt. In: Medizin transparent. 22. Januar 2025, abgerufen am 28. Februar 2025.
- ↑ Johannes Stöve: S2k-Leitlinie Gonarthrose. (PDF, 2,1 MB) AWMF Leitlinien-Register, 18. Januar 2018, S. 25–26, abgerufen am 5. September 2023.
- ↑ P. R. Usha, M. U. R. Naidu: Randomised, Double-Blind, Parallel, Placebo-Controlled Study of Oral Glucosamine, Methylsulfonylmethane and their Combination in Osteoarthritis. In: Clinical Drug Investigation. Band 24, Nr. 6, 2004, ISSN 1173-2563, S. 353–363, PMID 17516722.
- ↑ N. Poolsup u. a.: Glucosamine long-term treatment and the progression of knee osteoarthritis: systematic review of randomized controlled trials. In: Ann Pharmacother. 39, 2005, S. 1080–1087. PMID 15855241.
- ↑ T. McAlindon u. a.: Effectiveness of glucosamine for symptoms of knee osteoarthritis: results from an internet-based randomized double-blind controlled trial. In: Am J Med. 117, 2004, S. 643–649. PMID 15501201.
- ↑ Arthritis supplements no better than placebo. In: newscientist.com. 30. September 2008, abgerufen am 22. Januar 2015 (englisch).
- ↑ A. D. Sawitzke u. a.: The effect of glucosamine and/or chondroitin sulfate on the progression of knee osteoarthritis: A report from the glucosamine/chondroitin arthritis intervention trial. In: Arthritis & Rheumatism. 58, 2008, S. 3183–3191. doi:10.1002/art.23973, PMID 18821708.
- ↑ G. Danscher: In vivo liberation of gold ions from gold implants: Autometallographic tracing of gold in cells adjacent to metallic gold. In: Histochemistry and Cell Biology. Band 117, Nr. 5, Mai 2002, S. 447–452, doi:10.1007/s00418-002-0400-8.
- ↑ A. Larsen u. a.: Gold ions bio-released from metallic gold particles reduce inflammation and apoptosis and increase the regenerative responses in focal brain injury. In: Histochemistry and Cell Biology. Band 130, Nr. 4, 10. Juni 2008, S. 681–692, doi:10.1007/s00418-008-0448-1.
- ↑ O. Seifert u. a.: Gene expression profiling of macrophages: Implications for an immunosuppressive effect of dissolucytotic gold ions. In: Journal of Inflammation. Band 9, Nr. 43, 9. November 2012, doi:10.1186/1476-9255-9-43.
- ↑ C. Zetterström u. a.: Pivotal Advance: Inhibition of HMGB1 nuclear translocation as a mechanism for the anti-rheumatic effects of gold sodium thiomalate. In: Journal of Leukocyte Biology. Band 83, Nr. 1, 3. Oktober 2007, ISSN 0741-5400, S. 31–38, doi:10.1189/jlb.0507323.
- ↑ G. T. Jæger u. a.: Double-blind, placebo-controlled trial of the pain-relieving effect of the implantation of gold beads into dogs with hip dysplasia. In: Veterinary Record. Band 158, Nr. 21, 27. Mai 2006, S. 722–726, doi:10.1136/vr.158.21.722.
- ↑ G. T. Jæger u. a.: Two years follow-up study of the pain-relieving effect of gold bead implantation in dogs with hip-joint arthritis. In: Acta Veterinaria Scandinavica. Band 49, Nr. 9, 23. März 2007, doi:10.1186/1751-0147-49-9.
- ↑ K. Nejrup u. a.: Randomised controlled trial of extraarticular gold bead implantation for treatment of knee osteoarthritis: a pilot study. In: Clinical Rheumatology. Band 27, Nr. 11, 24. Mai 2008, ISSN 0770-3198, S. 1363–1369, doi:10.1007/s10067-008-0918-9.
- ↑ H. K. Kjerkegaard u. a.: Double-Blinded, Placebo-Controlled Trial of the Pain-Relieving Effect of Gold Bead Implantation on Cervical Osteoarthritis. In: Medical Acupuncture. Band 23, Nr. 2, 14. Juni 2011, S. 87–91, doi:10.1089/acu.2010.0775.
- ↑ Orthopaedic Data Evaluation Panel (ODEP). Abgerufen am 4. April 2024 (britisches Englisch, Nach den Kriterien des ODEP vom 22.02.2021 ist für eine bestmögliche Bewertung eine Standzeit von > 95% (bzw. genauer: muss das untere Konfidenzintervall der Überlebensanalyse darüber liegen) notwendig. Die Standzeiten von Prothesen unterscheiden sich deutlich und sind von vielen weiteren nicht-implantatbezogenen Faktoren abhängig.).
- ↑ Wolfgang Miehle: Gelenk- und Wirbelsäulenrheuma. Eular Verlag, Basel 1987, ISBN 3-7177-0133-9, S. 175.