Zahnbelag
| Klassifikation nach ICD-10 | |
|---|---|
| K03.6 | Auflagerungen (Beläge) auf den Zähnen |
| ICD-10 online (WHO-Version 2019) | |
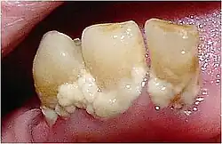
Zahnbelag (Plaque) besteht aus mehreren, komplex aufgebauten Schichten und enthält Proteine, Kohlenhydrate, Phosphate und Mikroorganismen. Zahnbelag entsteht besonders dort, wo Zahnflächen nicht durch natürliche oder künstliche Reinigung belagfrei gehalten werden. Plaque kann zu Zahnkaries, Parodontitis und Gingivitis führen. Nach der Konsistenz unterscheidet man zwischen harten (z. B. Zahnstein) und weichen Zahnbelägen (z. B. Nahrungsrückstände oder bakterielle Zahnbeläge wie Plaque), nach ihrer Lage auf der Zahnfläche in solche, die über dem Zahnfleischrand gelegen sind (supragingival), und solche, die unter dem Zahnfleischsaum versteckt und unsichtbar (subgingival) sind.
Entstehung


Es gibt außer Plaque keine Ablagerung am Körper von Menschen, die bereits zu Lebzeiten zum Fossil versteinert und daher in der Paläopathologie näher erforscht wird. So verursachte etwa Ultramarinblau aus Lapislazuli sichtbar blaue Ablagerungen im Zahnstein mittelalterlicher Illustratoren, die diese Farbe verwendeten.[1]
Eiweißschicht
Zunächst bildet sich auf der Zahnoberfläche (dazu gehören auch künstliche Oberflächen wie Füllungen oder Zahnersatz) ein Niederschlag aus Speicheleiweiß und Epithelabschilferungen. Dieser wird in der englischen Fachliteratur Pellicle genannt. Pellicle bildet innerhalb von etwa einer halben Stunde eine dünne Schutzschicht und ist abspülbar. Im Gegensatz dazu sind die Plaque und die Cuticula, das Zahnoberhäutchen, nur mit Zahnbürsten entfernbar. Das Entfernen der Cuticula ist für die Zahngesundheit nicht erforderlich.[2]
Bakterienansiedlung
Auf dieser Eiweißschicht, die nur wenige Mikrometer dick ist, können sich mit Hilfe der mukösen Anteile des Speichels (Muzine) Bakterien ansiedeln, die zur normalen Mundflora gehören (Streptococcus mutans zählt nach heutigem Wissensstand nicht zur normalen Bakterienflora der Mundhöhle). Streptococcus mutans bildet Dextrane, die zur Bildung der Plaques beitragen. Diese Mikroorganismen verfügen an ihrer Zellwand über spezielle Rezeptoren, die ihnen diese Bindung ermöglichen.[2]
Symbiose von Bakterien
Kann dieser Vorgang ungestört verlaufen, siedeln sich auf der ersten Bakterienschicht neue Mikroorganismen an und vermehren sich. Nach den Erkenntnissen der Biofilm-Forschung kleben die Bakterien nicht einfach aufeinander, sondern bilden eine Symbiose, in der sie sich gegenseitig mit Stoffwechselprodukten versorgen. Spezielle Kontaktmoleküle sorgen für die Stabilisierung der Bakteriengemeinschaft. Innerhalb der Bakterienschicht verlaufen Kanäle, die die Diffusion von Stoffen ermöglichen. Zwischen den Bakterien bildet sich eine Matrix aus Eiweiß und Kohlenhydraten, die als Nahrungsreserve dient und die Schicht mechanisch verstärkt.[2]
Biofilme haben ein zähes Leben, der Gebrauch von antiseptischen Mundspülungen kann nur der oberen Zellschicht etwas anhaben. Da Bakterien zur Zellteilung nur eine halbe Stunde benötigen, ist diese Schicht innerhalb kurzer Zeit wiederhergestellt.
Folgen
Bei hohem und häufigen Zuckerkonsum werden diese Mikroorganismen begünstigt. Dies führt u. a. zu Säurebildung, damit zu kariösen Läsionen und schließlich zu Karies. Der Zahnbelag, d. h. die Matrix, bestehend aus Schichten von Speiseresten, lebenden Mikroorganismen und ihren Stoffwechselprodukten, nimmt nach wenigen Stunden Mineralstoffe aus dem Speichel auf und kann dadurch zu Zahnstein erhärten. Zahnstein ist rauer als die natürliche Zahnoberfläche (oder polierte Füllungen) und begünstigt eine neue Bakterienansiedlung. Seine Entfernung ist daher durch Zahnsteinentfernung oder im Rahmen einer Professionellen Zahnreinigung (PZR) angezeigt.
Bestimmte (anaerobe) Mikroorganismen bilden auch Stoffe, die die Immunabwehr reizen. Es kommt dann zur Zahnfleischentzündung (Gingivitis). Die Reizung bewirkt eine Schwellung und Rötung des Zahnfleischs, das bei Berührung leicht blutet. Verläuft die Entzündung bei empfindlichen Personen weiter, kann Parodontitis entstehen. Dann kann sich auch unterhalb des Zahnfleischrandes Zahnstein entwickeln, der Minerale aus Blut und Zahnfleischsekret erhält (anders zusammengesetzt als der Zahnstein oberhalb des Zahnfleischrands, der durch Speichelbestandteile mineralisiert).[3]
Neben Parodontitis und Karies bilden Bakterien in Zahnbelägen auch geruchsintensive Schwefelverbindungen, woraus der Mundgeruch resultiert.[4]
Feststellung von bakteriellem Zahnbelag (Plaquetest)
Zum Sichtbarmachen der Plaque auf den Zahnflächen und der Mundschleimhaut werden Färbetabletten oder Lösungen verwendet. Diese sind auch unter dem Namen „Plaqueindikatoren“ oder „Plaquerevelatoren“ bekannt.[5]
Durch den Test verfärbt sich der Zahnbelag und zeigt somit an, wo die Zähne noch nicht ausreichend gereinigt sind. Hierbei wird auf verschiedene Plaquefärbemittel zurückgegriffen.
Einfarbige Anfärbung
Tabletten mit Erythrosin färben mit Plaque behaftete Bezirke auf den Zähnen und der Mundschleimhaut an. Der stark iodhaltige, aber als Lebensmittelfarbstoff zugelassene Farbstoff steht in Verdacht, Allergien auszulösen, und sollte daher nicht auf Dauer gebraucht werden. Siehe auch Iodunverträglichkeit.
Zweifarbige Anfärbung
Der Test unterscheidet zwischen älteren und neueren Zahnbelägen mittels verschiedener Farbstoffzusätze. Stärker vernachlässigte Stellen am Zahn werden sichtbar und können zukünftig gründlicher gereinigt werden. Färbetabletten enthalten als Färbemittel Brillantblau (C.I. 42090) und Phloxin B (C.I. 45410). Phloxin (Tetrachlortetrabromfluorescein) gehört zu den Xanthen-Farbstoffen.
UV-Licht
Diese speziell für die Zahnarztpraxis entwickelte Spüllösung enthält Fluorescein. Unter UV-Licht fluoresziert der Zahnbelag. Bei normalem Licht bleibt diese Anfärbung unsichtbar. Bei sachgemäßer Anwendung sind keine gesundheitlichen Risiken zu erwarten.
Früher gebräuchliche Lösungen mit den Farbstoffen Fuchsin oder Kristallviolett können herstellungsbedingt gesundheitsschädliche Amine enthalten. Beim Dauergebrauch großer Mengen besteht ein karzinogenes Risiko.
Beseitigung (Zahnreinigung)
Frischer Zahnbelag kann mechanisch durch Zähneputzen entfernt werden.[6] Sobald der weiche Zahnbelag durch Mineralisation in Plaque übergeht, kann allein durch gründliches mechanisches Putzen mit Zahnbürste und Zahnpasta Plaque nicht mehr entfernt werden. Ein wirksames mechanisches Reinigungsverfahren nutzt Ultraschall-Verfahren, bzw. die Entfernung durch zahnärztliche Handinstrumente (Scaler).
Prophylaxe
Eine nachhaltige Reinhaltung ist nur durch tägliches gründliches Putzen zu erreichen. Einige chemische Mittel (z. B. Chlorhexidinlösungen) können die Neubildung von Zahnbelägen hemmen (aber keine Plaque entfernen). Durch die Kombination von häuslicher Mundhygiene, professioneller Mundhygiene und einem konsequenten Einhalten von Kontrollintervallen kann sowohl das Erstauftreten als auch das Wiederkehren von Mundhöhlenerkrankungen verhindert werden.[7]
Literatur
- Philip Marsh, Michael V. Martin: Orale Mikrobiologie. Thieme, Stuttgart 2003, ISBN 3-13-129731-X. (Übersetzung ins Deutsche der 4. Auflage in englischer Sprache Oral Microbiology. Reed Educational and Professional Publishing Ltd., 1999)
- C. J. Adler, K. Dobney u. a.: Sequencing ancient calcified dental plaque shows changes in oral microbiota with dietary shifts of the Neolithic and Industrial revolutions. In: Nature Genetics. Band 45, Nummer 4, April 2013, ISSN 1546-1718, S. 450–455, 455e1. doi:10.1038/ng.2536. PMID 23416520.
Einzelnachweise
- ↑ Sofia Glasl: Der blaue Zahn. In: Süddeutsche Zeitung Nr. 10 vom 13./14. Januar 2024, S. 55
- ↑ a b c D. Heidemann: Parodontologie. Urban und Schwarzenberg, 1997, ISBN 3-437-05490-2.
- ↑ Ph. Marsh, M. V. Martin: Orale Mikrobiologie. 1. Auflage. Thieme Verlag, 2003, ISBN 3-13-129731-X, S. 86.
- ↑ Ph. Marsh, M. V. Martin Orale Mikrobiologie. 1. Auflage. Thieme Verlag, 2003, ISBN 3-13-129731-X, S. 49.
- ↑ S. Schellerer: Intensive Pflege für strahlende Zähne. In: Pharmazeutische Zeitung. 42/2008.
- ↑ S. Paraskevas, M. M. Danser, M. F. Timmerman, U. Van der Velden, G. A. van der Weijden: Optimal rinsing time for intra-oral distribution (spread) of mouthwashes. In: Journal of Clinical Periodontology. Band 32, Nummer 6, Juni 2005, ISSN 0303-6979, S. 665–669. doi:10.1111/j.1600-051X.2005.00731.x. PMID 15882228.
- ↑ P. Axelsson, B. Nyström B., J. Lindhe.: Langzeiteffekt im Biofilm Management auf die Zahnerhaltung, Kariesbildung und parodontale Erkrankungen bei Erwachsenen. Ergebnisse nach 30 Jahren Untersuchungsdauer. In: Journal of Clinical Periodontology. 2004 Sep; 31:749-57.