Gingivitis

Klassifikation nach ICD-10
K05.0 Akute Gingivitis
K05.1 chronische Gingivitis
{{{03-BEZEICHNUNG}}}
{{{04-BEZEICHNUNG}}}
{{{05-BEZEICHNUNG}}}
{{{06-BEZEICHNUNG}}}
{{{07-BEZEICHNUNG}}}
{{{08-BEZEICHNUNG}}}
{{{09-BEZEICHNUNG}}}
{{{10-BEZEICHNUNG}}}
{{{11-BEZEICHNUNG}}}
{{{12-BEZEICHNUNG}}}
{{{13-BEZEICHNUNG}}}
{{{14-BEZEICHNUNG}}}
{{{15-BEZEICHNUNG}}}
{{{16-BEZEICHNUNG}}}
{{{17-BEZEICHNUNG}}}
{{{18-BEZEICHNUNG}}}
{{{19-BEZEICHNUNG}}}
{{{20-BEZEICHNUNG}}}
Vorlage:Infobox ICD/Wartung {{{21BEZEICHNUNG}}}
ICD-10 online (WHO-Version 2019)
Klassifikation nach ICD-11
DA0B Krankheiten der Gingiva
DA0B.0 Allergische Gingivitis
DA0B.1 Katarrhalische Gingivitis
DA0B.2 Eruptive Gingivitis
DA0B.3 Atrophische senile Gingivitis
DA0B.Y Sonstige näher bezeichnete Krankheiten der Gingiva
DA0B.Z Krankheiten der Gingiva, nicht näher bezeichnet
ICD-11: EnglischDeutsch (Entwurf)
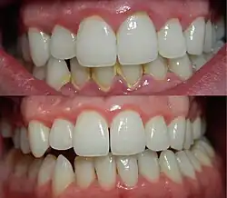
Gingivitis, oben vor, unten nach Zahnsteinentfernung und Débridement. Die gingivale Rötung am Zahnfleischrand auf Grund der Entzündung klingt gerade ab.

Gingivitis ist eine meist bakteriell verursachte Entzündung des marginalen Zahnfleisches (von lateinisch gingiva). Tieferliegende Strukturen des Zahnhalteapparates (Parodontium) sind nicht betroffen. Die Gingivitis kann durch andere Faktoren verstärkt werden.

Symptome und Risikofaktoren

Die Symptome einer Gingivitis entsprechen denen einer Entzündung und manifestieren sich am Zahnfleisch mit einer stärkeren Rötung, ödematösen und hyperplastischen Schwellung, Blutung bei Sondierung und Ulzerationen (Geschwüriger Zerfall).[1] Zusätzlich kann schlechter Atem (Halitosis) auftreten und die orangenschalenartige Stippelung des Zahnfleischs verschwindet.[2]

Eine chronische Gingivitis verursacht zumeist keine Schmerzen. Als Erreger kommen prinzipiell alle in der Mundflora vorkommenden Bakterien in Betracht. Eine chronifizierte Gingivitis kann in eine Parodontitis übergehen oder bei einer bestehenden Parodontitis den Verlauf beschleunigen.

Die Risikofaktoren einer Gingivitis entsprechen denen der Parodontitis. Schlechte Mundhygiene, Rauchen, psychosozialer Stress und genetische Faktoren haben sowohl auf die Wahrscheinlichkeit der Entstehung, als auch auf den Krankheitsverlauf einen Einfluss. Daneben können manche Grunderkrankungen (z. B. Diabetes) ebenfalls einen schwereren Krankheitsverlauf begünstigen.[3]

Im Januar 2019 wurde ein möglicher Zusammenhang zwischen Gingivitis und der Alzheimer-Krankheit festgestellt.[4]

Ursachen

Die häufigste Ursache einer Gingivitis besteht in der bakteriellen Plaque an den Zähnen,[3] welche die Immunantwort des Patienten in Gang setzt. Die Immunantwort soll der Bakterieninvasion entgegenwirken und verursacht die typischen Zeichen der Entzündung und kann unbehandelt zu einer Zerstörung des Zahnfleischgewebes und in weiterer Folge des parodontalen Halteapparates führen.[5] Am häufigsten ist dentale Plaque in den Zahnzwischenräumen im Bereich des Zahnfleischsulcus zu finden, die von der Zahnbürste nicht erreicht werden.[6] Ansonsten sind schwer zu reinigende Bereiche, sogenannte Plaque Traps auch oft von Plaque überzogen und finden sich beispielsweise an überstehenden Füllungsrändern und Regionen mit Zahnstein. Die Bakterien, die sich in der Plaque ansammeln, produzieren degenerative Enzyme und Toxine (wie Endotoxine oder Lipoteichonsäure), welche die Entzündungsantwort des Gewebes verstärken können. Neben der plaqueinduzierten Gingivitis existieren auch seltenere Varianten, die beispielsweise durch spezifische Besiedlung von Bakterien, Viren oder Pilzen hervorgerufen werden können. Sehr seltene genetische Varianten wurden ebenfalls beschrieben. Verletzungen und Fremdkörper können ebenfalls eine Gingivitis verursachen.[7][8][9]

Therapie

Eine intensive Mundhygiene stellt sowohl die Prophylaxe als auch die Therapie einer plaqueassoziierten Gingivitis dar, da so der ursächliche bakterielle Biofilm und Speisereste aus dem Mund entfernt werden. Eine professionelle Mundhygiene mit Zahnsteinentfernung und eventueller Entfernung von Plaqueretentionsstellen sind Teil der Therapie.[10] Sollte trotz guter Mundhygiene keine Besserung der Symptome erzielt werden, müssen andere Formen der gingivalen Erkrankungen in Betracht gezogen und bei Bedarf behandelt werden. Neben der mechanischen Reinigung mit Zahnbürste, Zahnseide und anderen Hilfsmitteln können kurzfristig auch orale Desinfektionsmittel in Form von Mundspüllösungen, Gels oder Mundsprays unterstützend eingesetzt werden. Je nach Zusammensetzung der Inhaltsstoffe reduzieren diese Mittel die Anzahl der Bakterien im Mund- und Rachenraum für einige Minuten oder über mehrere Stunden (Depotwirkung). Die Anzahl der Bakterien auf der Zahnbürste lässt sich verringern, indem man die Zahnbürste regelmäßig desinfiziert (Dentalspray, UV-Desinfektion bei elektrischen Zahnbürsten).

Nomenklatur

Die aktuell gültige Nomenklatur wurde 1999 im Rahmen des „International Workshop for a Classifikation of Periodontal Diseases and Conditions“ aufgestellt. Dadurch wurden ältere, oft länderspezifische Nomenklaturen abgelöst.

  1. Plaqueinduzierte gingivale Erkrankungen
    1. Gingivitis, allein durch Plaque hervorgerufen
      1. ohne andere lokale Faktoren
      2. mit anderen lokalen Faktoren
    2. Gingivale Erkrankungen, durch systemische Faktoren modifiziert
      1. assoziiert mit hormonellen Einflüssen
        1. Gingivitis während der Pubertät
        2. Gingivitis während der Menstruation
        3. Gingivale Erkrankungen während der Schwangerschaft
          1. Schwangerschaftsgingivitis
          2. Schwangerschaftsgranulom (pyogenes Granulom)
        4. Gingivitis bei Diabetes Mellitus
      2. assoziiert mit Blutbildstörungen
        1. Gingivitis bei Leukämie
        2. Gingivitis bei HIV
        3. andere
    3. Gingivale Erkrankungen durch Medikationen modifiziert
      1. Gingivale Erkrankungen aufgrund von Medikamenteneinnahme
        1. Durch Medikamente beeinflusste gingivale Wucherungen
        2. Durch Medikamente beeinflusste Gingivitis
          1. Gingivitis verbunden mit oralen Kontrazeptiva
          2. andere
    4. Gingivale Erkrankungen durch Mangelernährung modifiziert
      1. Gingivitis bei Vitamin-C-Mangel
      2. andere
  2. Nicht durch Plaque induzierte gingivale Erkrankungen
    1. Gingivale Erkrankungen durch spezifische Bakterien hervorgerufen
    2. Gingivale Erkrankungen viraler Genese
    3. Gingivale Pilzerkrankungen
    4. Gingivale Erkrankungen genetischer Veranlagung
    5. Gingivale Manifestationen systemischer Bedingungen
    6. Traumatische Läsionen
    7. Fremdkörperreaktionen
    8. nicht näher spezifiziert

Siehe auch

Wiktionary: Gingivitis – Bedeutungserklärungen, Wortherkunft, Synonyme, Übersetzungen
Commons: Gingivitis – Sammlung von Bildern, Videos und Audiodateien
  • Gingivitis – Arbeitsgemeinschaft Zahngesundheit – unabhängige Verbraucher- u. Patientenberatung

Einzelnachweise

  1. Herbert F. Wolf, Edith M. Rateitschak, Klaus H. Rateitschak: Parodontologie. Georg Thieme, 2004, ISBN 978-3-13-655603-0 (google.com).
  2. Symptoms, Gingivitis, Mayo Clinic staff, abgerufen am 11. Juni 2015.
  3. a b Zahnfleischentzündung: Ursachen. In: Olobot. Archiviert vom Original am 4. März 2016; abgerufen am 9. Februar 2019.
  4. Stephen S. Dominy, Casey Lynch u. a.: in Alzheimer’s disease brains: Evidence for disease causation and treatment with small-molecule inhibitors . In: Science Advances. 5, 2019, S. eaau3333, doi:10.1126/sciadv.aau3333.
  5. Research, Science and Therapy Committee of the American Academy of Periodontology: Treatment of Plaque-induced Gingivitis, Chronic Periodontitis, and Other Clinical Conditions. Journal of Periodontology 72 (12): 1790–1800.
  6. U. Klages, A. G. Weber, H. Wehrbein: Approximal plaque and gingival sulcus bleeding in routine dental care patients: relations to life stress, somatization and depression. In: Journal of clinical periodontology. Band 32, Nummer 6, Juni 2005, ISSN 0303-6979, S. 575–582, doi:10.1111/j.1600-051X.2005.00716.x, PMID 15882214.
  7. What is gingivitis? What causes gingivitis?
  8. Gum Disease (Gingivitis)
  9. P. M. Sinclair, C. W. Berry u. a.: Changes in gingiva and gingival flora with bonding and banding. In: The Angle orthodontist. Band 57, Nummer 4, Oktober 1987, ISSN 0003-3219, S. 271–278, doi:10.1043/0003-3219(1987)057<0271:CIGAGF>2.0.CO;2 (zurzeit nicht erreichbar), PMID 3479031.
  10. Position Paper on the Oral Prophylaxis (Memento des Originals vom 4. März 2016 im Internet Archive)  Info: Der Archivlink wurde automatisch eingesetzt und noch nicht geprüft. Bitte prüfe Original- und Archivlink gemäß Anleitung und entferne dann diesen Hinweis.@1@2Vorlage:Webachiv/IABot/www.adha.org, American Dental Hygienists’ Association.