Urologie

Weibliche Urogenitalorgane

Die Urologie (von altgriechisch οὖρον ouron, deutsch ‚Harn, Urin‘; λόγος lógos, deutsch ‚Lehre‘) ist ein Teilgebiet der Medizin. Sie beschäftigt sich mit den harnbildenden und harnableitenden Organen, also mit Bau, Funktion und Erkrankungen[1] von Niere, Harnblase, Harnleiter und Harnröhre. Ein Urologe behandelt zudem auch Krankheiten der Geschlechtsorgane des Mannes, also der Hoden, Nebenhoden, Samenleiter, Samenbläschen, des Penis sowie der Prostata, und deckt damit Bereiche der Andrologie ab.

Untersuchung und Behandlung der weiblichen Geschlechtsorgane hingegen liegen in der Zuständigkeit der Gynäkologie und der Urogynäkologie. Naturgemäß ist die Zusammenarbeit mit Neurologen, Onkologen, Venerologen und Chirurgen nötig. Die Urologie steht „zum Teil in Konkurrenz mit der Nephrologie“,[2] diese ist ein Teilgebiet der Inneren Medizin. Zusätzlich bestehen Überschneidungen mit der Reproduktionsmedizin, der Dermatologie und der Endokrinologie.[3]

Behandlungsspektrum

Aufgaben der Urologie sind Wissenschaft, Lehre, Diagnose und Behandlung von Krankheiten der Harnorgane und der männlichen Geschlechtsorgane.[4][5] Dazu gehören konservative und operative endourologische, laparoskopische und offene urologische Therapien und auch Steinzertrümmerungen oder Laserbehandlungen zum Schneiden und Verdampfen unerwünschten Gewebes.

Transurethrale Resektion der Prostata

Zum konservativen Spektrum gehören die medikamentösen Behandlungen der

und nach der Richtlinien der Musterweiterbildungsordnung außerdem die physikalische Therapie des Urogenitaltraktes sowie die Diagnostik psychosomatischer Krankheitsbilder in der Urologie.

Zum operativen Spektrum gehören

  • die Behandlung von Prostatatumoren mit sensiblen, nerverhaltenden Operationstechniken, um Wucherungen zu entfernen und gleichzeitig die Erektionsfähigkeit und die Kontinenz zu erhalten.
  • Eingriffe am äußeren Genitale
  • transurethrale Resektionen von gutartigen Prostatawucherungen und Blasentumoren
  • die minimalinvasive laparoskopische Chirurgie des Retroperitoneums (hinterer Bauchraum)
  • die perkutane Steinsanierung
  • die Laserung von Nierenbeckentumoren
  • Korrekturverfahren bei Inkontinenz
  • die konventionelle organerhaltende Nierentumorchirurgie
  • die radikale retropubische oder perineale Prostatektomie
  • die Zystektomie (vollständige Entfernung der Harnblase) mit Schaffung einer Harnableitung und einer Ersatzblase aus dem Dünndarm
  • die extrakorporale Stoßwellenlithotripsie von Nierensteinen[6]
  • die Nierentransplantation einschließlich der Explantation
  • die urologische Wiederherstellungschirurgie (kosmetische Chirurgie, geschlechtsangleichende Maßnahmen)
  • Vasektomien zur Sterilisation (Unfruchtbarmachung) des Mannes

Geschichte der Urologie

Altertum und Antike

Auf einen Ursprung der Beschneidung (Zirkumzision) in der Steinzeit deuten Funde des traditionell verwendeten Werkzeugs. Hier wird vermutet, dass die Prozedur anfänglich der Markierung der Stammeszugehörigkeit diente.[7] Um 2500 v. Chr. führten auch die Chirurgen im Alten Ägypten Beschneidungen durch; sie arbeiteten mit Messern, Skalpellen und Zangen.[8] Bei Mädchen nennt man die weibliche Genitalverstümmelung mit Verengung der Vaginalöffnung Infibulation oder pharaonische Beschneidung, bei Jungen sprach man von einer Peritomie (ἡ περιτομη).[9] Weitere gesundheitliche Risiken und Komplikationen ergeben sich dadurch, dass bei Frauen die Vulva wieder aufgeschnitten werden muss (medizinischer Fachbegriff: Defibulation), um Geschlechtsverkehr zu ermöglichen. Gelingt dem Mann die Öffnung der Vagina durch Penetration nicht, muss die infibulierte Vaginalöffnung mit einem scharfen Gegenstand erweitert werden. Zur Entbindung ist oft eine zusätzliche weiter reichende Defibulation notwendig. Manchmal wird an unbeschnittenen schwangeren Frauen vor der Entbindung eine Infibulation durchgeführt, weil geglaubt wird, dass die Berührung der Klitoris zu Fehlgeburten führt.[10] In manchen Gegenden folgt nach der Geburt eine erneute Infibulation, Reinfibulation oder auch Refibulation genannt.[11]

In Papyri des Jahres 1350 vor Christus wurde bei den Ägyptern der sogenannte Samenfluss (griechisch Gonorrhoe, von gonos „Samen“, und rhein „fließen“) des Mannes beschrieben. Auch im Alten Testament „in den Büchern des Propheten Samuel, im fünften Buch Moses, im Buche Levitas wurde bereits der ‚Samenfluß‘ erwähnt.“[12] In Ägypten um circa 1000 v. Chr. kannte man Blasenkatheter; diese frühen Formen waren aus Bronze. Die Operation von Blasensteinen war hier ebenfalls bekannt. „Erasistratus nannte zuerst das Instrument, um den Stein in der Blase zu untersuchen, Katheter.“[13]

Im antiken Griechenland beschäftigt man sich ebenfalls mit urologischen Erkrankungen. Hippokrates von Kos klassifiziert als erster Störungen des Wasserlassens und unterscheidet hierbei in Dysurie (schmerzhaftes Wasserlassen), Strangurie (tropfenweises Wasserlassen) und Ischurie (Harnverhaltung). Weiterhin beschreibt er ausführlich die Bildung von Blasensteinen. Die operative Entfernung ist seiner Meinung nach für den Arzt nicht ratsam, daher verpflichtet sich der Arzt im hippokratischen Eid, keine Steine zu schneiden. Die damaligen Ärzte verachteten die Steinschneider; nach Avenzoar durften „ehrbare Männer“ den Steinschnitt weder ansehen noch ausüben.[14] Hippokrates beschäftigte sich auch mit Nierenerkrankungen und deren Therapie bis hin zur operativen Nierenfreilegung und Entfernung bei eitrigen Entzündungen mit Abszessbildung. Da ihm aus religiösen Gründen anatomische Studien an Leichen verwehrt sind, gründen sich seine Lehren auf die genaue Beobachtung der Leidenden.

Die erste anatomische Beschreibung der Prostata stammt von Herophilos von Chalkedon um 300 vor Christus. Diese Beschreibung beruhte auf der Sektion von Leichen. Ammonios von Alexandria verbessert um 250 v. Chr. die Technik der Steinoperation über einen Dammschnitt durch vorherige Zerkleinerung und anschließende Bergung mit einem Haken. Sein Beiname „der Lithotom“ rührt daher.

Archäologische Funde legen nahe, dass schon um das Jahr 7500 v. Chr. die Kastration als Akt der Hingabe wesentlicher Teil des antiken Kybele-Kultes war. Auch Kastrationen aus medizinischen Gründen waren bereits in der Antike bekannt. „Ihre Geschichte reicht bis ins graue Alterthum hinauf und läßt vermuthen, daß die Castration in den Sandwüsten Afrikas, in Aethiopien und Lybien ihren Ursprung genommen habe, zuerst bei Thieren angewendet, dann aber auch auf Jünglinge übertragen wurde, um aus ihnen Frauenwächter für die Harems der üppigen und eifersüchtigen Großen zu bilden. Von Aethiopien aus ging der Gebrauch des Castrirens wahrscheinlich zuerst nach Aegypten und Assyrien über, in welchem erstern Lande die Juden dasselbe kennen lernten, aus deren Gesetzen zugleich die erste Nachricht über die damaligen Castrationsmethoden hervorgeht.“[15] Von Lukian stammt die klassisch gewordene Überlieferung über Kombabus, der sich als Reisebegleiter der syrischen Königsgemahlin zuvor aus eigenem Entschluss kastriert hatte (Penisamputation). Im religiösen Bereich standen sogenannte Eunuchen in verschiedenen Religionen in hohem Ansehen: In der Antike etwa die Galloi oder Galli im Kult der Kybele.

Der römische Arzt Aulus Cornelius Celsus (ca. 25 v. Chr. bis 50 n. Chr.) entdeckt die Lehren des Hippokrates wieder und beschreibt in seinen Werken die Technik der Blasensteinentfernung und das Katheterisieren mit metallenen Blasenkathetern.

Aretaios von Kappadokien (81–138) klassifiziert die verschiedenen Arten von Nierenentzündungen und schlägt als Therapie die Harnableitung mittels Katheter vor. Darüber hinaus empfiehlt er bei Misserfolg einen Dammschnitt mit Eröffnung der Harnblase zur Urinableitung. Die erste Beschreibung und Therapieempfehlung von Harnröhrenengen stammen von Heliodoros (um 120–150). Er führt sie auf Geschwülste zurück, die durch Herauskratzen entfernt werden sollen.

Galenos (um 131 bis 201) aus Pergamon führt schließlich die empirische, auf Beobachtung und Analyse des Kranken beruhende, und die dogmatische, sich auf anatomische Veränderungen als Ursache von Krankheiten beziehende Medizin zusammen. Er misst der Urinschau zur Diagnose von Krankheiten große Bedeutung bei. Hierbei wird der Morgenurin auf Dichte, Farbe, Geruch, Geschmack und Sediment hin geprüft und abhängig von den Symptomen und dem Geschlecht bewertet. Seine Werke wurden von der arabischen Medizin ab dem 5. Jahrhundert aufgenommen, gelangten über diese im Mittelalter nach Europa zurück und galten bis in das 17. Jahrhundert als Standard, den es nicht zu hinterfragen galt. Die Humoralpathologie, die schon auf Hippokrates zurückgeht und von Galen weiterentwickelt wurde, hatte bis in das 19. Jahrhundert als Krankheitskonzept Bestand.

In der Spätantike beschreibt Oreibasios (325–403) aus Pergamon die Aufdehnung der Harnröhre mit Verweilkathetern aus Zinn und Blei, und Paulos von Aigina (6./7. Jahrhundert) verbessert nochmals die Steinoperation, indem er den Stein über den After ertastet und über einen seitlichen Dammschnitt entfernt. Diese Methode sollte bis in das 17. und 18. Jahrhundert Bestand haben.

Griechisch-arabische Medizin und Mittelalter

Im Mittelalter werden vor allem die Lehren Galens als Grundlage des medizinischen Handelns angesehen. Wesentliche Neuerungen auf dem Gebiet der Urologie sind nicht zu verzeichnen. Ganz in der Tradition des Hippokrates lehnen es die Ärzte und Chirurgen des Mittelalters ab, Steinleiden zu operieren. Dieses wird Steinschneidern und Hebammen überlassen. Hingegen kommt es mit der Uroskopie (Harnschau) zu einer in umfangreichen Schriften[16] sichtbar gewordenen Ausweitung der Diagnostik anhand der Beschaffenheit des Urins.

Avicenna aus Buchara reproduzierte in seinem Werk Canon medicinae die Lehren Galens, beschreibt jedoch zusätzlich genau die Niereneiterung und ihre Folgen. Erstmals erkannte er die Eigenständigkeit des Blasensteinleidens und verwendete geschmeidige, mit Blei verstärkte Lederröhren. Albucassis aus Córdoba (11. Jahrhundert) befasste sich intensiv mit dem Katheterisieren der Harnröhre, der Blasenspülung und der Blasensteinoperation[17] (die er jedoch nicht selbst ausführte), wie sie Paulus von Aegina beschrieben hat. Sein Wissen publizierte er in einer 30-bändigen medizinischen Enzyklopädie, die für Jahrhunderte zu einem chirurgischen Standardwerk wurde. Pietro d’Argellata führte in Bologna als einer der wenigen Chirurgen eigenhändig Steinoperationen aus. Giovanni Arcolani beschrieb erstmals die Hydrozele und die Varikozele sowie deren Therapie und gibt präzise Angaben zur Behandlung des Harnverhaltes.

Frühe Neuzeit (16.–18. Jahrhundert)

Nach der Zeit der weitgehenden Stagnation im Mittelalter erfolgt ab dem 16. Jahrhundert – nicht zuletzt durch den Buchdruck und die teilweise Erlaubnis von anatomischen Studien an Leichen – ein deutlicher medizinischer Fortschritt. Die Ablehnung der Steinoperationen durch Chirurgen schwindet bis zu Beginn des 18. Jahrhunderts völlig.

Entdeckungen in Anatomie, Pathologie und Pathophysiologie

Zeichnung Leonardo da Vincis, Codex Windsor, 1492

Bedeutende anatomische Studien und Entdeckungen wurden von Leonardo da Vinci (1452–1519), dem aus Brüssel stammenden Anatom Andreas Vesalius (1514–1564) und dessen Nachfolger Bartolomeo Eustachi (1500–1574) gemacht und publiziert.

Auf dem Gebiet der Anatomie des Urogenitaltrakts lieferten Étienne de La Rivière und Charles Estienne aus Paris mit der Beschreibung der Samenbläschen, Marcello Malpighi (1628–1694) mit der Enthüllung des Funktionsmechanismus der Niere durch die Entdeckung der Nierenkörperchen und Lorenzo Bellini (1643–1704) mit der Entdeckung der Nierenkanälchen wesentliche Kenntnisse.

Dieses neue Zeitalter in der anatomischen Forschung ist der Erfindung des Mikroskops zu verdanken. So konnte in Folge nach und nach durch Frederik Ruysch (1638–1731), Antoine Ferrein (1693–1769) und Philip Verheyen (1648–1710) der mikroskopische Aufbau der Niere geklärt werden. 1684 beschrieb Jean Méry (1645–1722) erstmals die später William Cowper zugeschriebenen Glandulae urethrales. Der niederländische Forscher und Mikroskopbauer Antoni van Leeuwenhoek (1632–1723) beschrieb 1677 erstmals Spermien.

Als Begründer der Pathologie – und damit auch der Pathologie des Urogenitaltraktes – gilt der Anatom Giovanni Battista Morgagni (1682–1771). Mit seinem fünfbändigen Werk De sedibus et causis morborum („Vom Sitz und von den Ursachen der Krankheiten“) legte er im Jahre 1761 den Grundstein für die wissenschaftlichen Forschungen. Er untersuchte und analysierte die verschiedenen Varianten der Harnröhrenverengung, klassifizierte die Harnblasentumore und erörterte die Ursachen von Harnverhaltung und Dysurie. Hierbei entdeckte er die Prostatahyperplasie. Darüber hinaus entdeckte und beschrieb er Nierentumoren, untersuchte die Nierenvereiterung und stellte die kompensatorische Vergrößerung der Niere bei Verlust oder Fehlen der zweiten fest.

Der französische Chirurg Jean-Louis Petit (1674–1750) und sein Schüler Pierre-Joseph Desault modernisierten durch Beschäftigung mit den Krankheitsursachen, mit der Diskussion der Symptome und der Differentialdiagnosen sowie mit dem Beginn der klinischen Demonstration am Krankenbett die klinische Chirurgie. Der Chirurg und Freund Desaults François Chopart veröffentlichte 1791 eine Schrift über die Behandlung der Erkrankungen des Harntraktes.

Entwicklung und Verbesserung der Therapie

Die Entwicklung ist vor allem durch die zunehmende Beteiligung von Chirurgen an urologischen Operationen vorangebracht worden. Während lange Zeit Steinschneider und Hebammen urologische Operationen durchführten, übernahmen dies bis zum Beginn des 17. Jahrhunderts die Chirurgen.

Die Hauptanstrengungen wurden auf dem Gebiet der Stein- und Harnröhrenchirurgie unternommen, da vor allem das Steinleiden eine sehr häufige, zum Teil tödlich endende Erkrankung ist. Das große Problem war jedoch die hohe Sterblichkeit durch Infektionen und Blutverluste. Letzteres erfuhr durch den französischen Militärchirurgen und Leibarzt Heinrichs des II. und Karls des IX. Ambroise Paré (1510–1590) eine radikale Verbesserung. Er führte das Abklemmen und Unterbinden von Blutgefäßen in die Chirurgie ein und gilt als Erfinder der bis heute verwendeten Technik der Ligatur zur Blutstillung. Er veröffentlichte in seinen Werken seine Erkenntnisse über Gonorrhoe, Harnsteine und den Harnverhalt. Weiterhin beschäftigte er sich mit der Harnröhrenverengung, die seiner Meinung nach eine Folge der Gonorrhoe sei.

Die Hauptursache für die Entwicklung von Blasensteinen, die Prostatahyperplasie, ist bis zu ihrer Beschreibung durch Morgagni 1761 unbekannt. Daher wird zunächst die Operationstechnik zur Steinentfernung weiterentwickelt. Die bisherige Technik ist seit Paulus von Aegina nicht weiterentwickelt worden. Mit Beginn des 16. Jahrhunderts wird diese Methode der kleinen Steinoperation weiter verfeinert und mit speziellem Instrumentarium verbessert. Als große Steinoperation wird sie von Marianus Sanctus in seinem Buch Libellus aureus beschrieben. Bemerkenswert ist hier die Menge an speziellen Instrumenten wie Küretten, Zangen (Forceps), Harnröhrensonden (sogenannte Exploratoren) und Messern. Diese Technik setzt sich in ganz Europa durch. Der Apparatus maior beziehungsweise der Apparatus minor waren die großen und kleinen Gerätschaften für einen Steinschnitt. Ebenso waren der Apparatus altus beziehungsweise der Apparatus hypogastricus die Gerätschaften für den hohen Steinschnitt am Unterbauch beziehungsweise über dem Schambeinbogen.[18]

Der nach dieser Methode operierende provenzalische Arzt Franco (1500–1560) entwickelt die neue Technik weiter und beschreibt erstmals die Steinentfernung über einen Bauchschnitt, die so genannte Sectio alta. Allerdings wird diese Methode zunächst kaum weiter verfolgt. Die sogenannte laterale Methode (Sectio lateralis) der Blasensteinentfernung wurde in Vorformen in der Zeit um 1700 von Jacques de Beaulieu (Frère Jacques) in Frankreich entwickelt und in den Niederlanden (Johannes Jacobus Rau) und England (William Cheselden, John Hunter) weiterentwickelt und praktiziert. Dem suprapubischen Steinschnitt verhalf Mitte des 18. Jahrhunderts der Pariser Chirurg Jean Baseilhac (1703–1781) zum Durchbruch durch Erfindung besonderer Instrumente. Da Baseilhac bereits einen guten Ruf als Steinchirurg genoss, nicht zuletzt durch die Entwicklung eines speziellen Lithotoms zur Steinzerkleinerung in der Harnblase, setzte sich diese Methode durch und wurde zum Standard.

Trotz aller Modernisierung der Operationstechnik starben Mitte des 18. Jahrhunderts 255 von 812 (31 %) Steinpatienten der Pariser Kliniken Hôtel-Dieu und Charité, wie aus einer damaligen Statistik hervorgeht. Hinzu kommt, dass eine Narkose nicht durchgeführt wurde.

Die Chirurgie an der Niere bleibt demgegenüber jedoch eine Ausnahme. Zwar führt Bauhin erfolgreich eine Steinentfernung aus einer Niere durch, jedoch wird der Flankenschnitt überwiegend nur zur Eiterentlastung durchgeführt. Weitere Berichte von erfolgreich durchgeführten Nierensteinentfernungen stammen von Johann Georg Schenck von Grafenberg, von Domenico de Marchetti (1626–1688) im Jahre 1663[19] sowie von Lafitte aus dem Jahr 1734.

Die Moderne bis zum Ende des Zweiten Weltkrieges

Die großen technischen Fortschritte im 19. und 20. Jahrhundert führen zu einer rasanten Entwicklung in der Therapie und Diagnostik urologischer Erkrankungen. Neben den neuen Materialien wie Kautschuk und verbessertem Stahl und den Möglichkeiten der industriellen Fertigung spielen die Entdeckung und die Nutzung der Elektrizität und der Röntgenstrahlen sowie Entdeckung und Anwendung von Distickstoffmonoxid (früher: Stickoxydul) (Lachgas), Chloroform und Ether zur Anästhesie sowie die Regionalanästhesie[20] eine entscheidende Rolle. Die bedeutendste Entwicklung ist jedoch die der Hygiene und der Antisepsis, deren Vater Louis Pasteur (1822–1895) ist. In gleicher Weise ist der Beginn der Mikrobiologie durch Robert Koch bedeutend.

Johann Georg Krünitz definierte 1850 die Urologia als „Harnlehre“.[21] Analog verstand Walter Guttmann 1902 unter der Urologie einfach nur die „Lehre vom Harn“.[22] Auch Meyers Großes Konversations-Lexikon definierte (von 1902 bis 1908) die Urologie noch als „Lehre vom Harn und dessen krankhaften Veränderungen.“[23] Otto Dornblüth erwähnte die Urologie (im heutigen Verständnis) in seinem Klinischen Wörterbuch erstmals 1907 in der dritten Auflage.[24]

Verbesserung der Steintherapie und Entwicklung des verbesserten Blasenkatheters

In der ersten Hälfte des 19. Jahrhunderts beschäftigte man sich noch primär mit der Therapie des Harnsteinleidens (Harnkonkremente, Urolithiasis,[25] Steinkrankheit) und der Verbesserung der Behandlungsmöglichkeiten. Man unterscheidet Nierensteine (Nephrolithiasis), Harnleitersteine (Uretersteine, Ureterolithiasis), Blasensteine (Zystolithiasis) und Harnröhrensteine (Urethrolithiasis oder Urethralithiasis).

Ein wesentlicher Schritt war die Entwicklung von speziellen und flexiblen Blasenkathetern. So entwickelte Louis Auguste Mercier (1811–1882) einen doppelt gebogenen Katheter aus Gummi mit abgerundeter Spitze. Der erste Blasenkatheter mit Auffangbeutel wurde von Jean-François Reybard (1790–1863) erfunden. Schließlich entwickelte Nélaton (1807–1873) einen weichen, geraden Blasenkatheter aus vulkanisiertem Kautschuk. Hiermit waren relativ schonende Mittel zur Harnableitung geschaffen. Mit speziellen sehr dünnen Sonden und Kathetern gelang es, auch bei Harnröhrenstrikturen eine Urinableitung zu schaffen. Auch die Therapie der Harnröhrenstriktur erfuhr durch die Entwicklung von speziellem Instrumentarium zur inneren Harnröhrenschlitzung durch den Chirurgen J. G. Maisonneuve (1809–1897) eine grundlegende Wandlung. Diese neue Operationsmethode begann sich gegenüber der bisher üblichen Schlitzung von außen durchzusetzen.

Die Entfernung von Blasensteinen war anfänglich eine sehr risikoreiche Operation. Der französische Arzt Jean Civiale (1796–1867) entwickelte mit seinem Lithotripter (von griechisch λίθος lithos ‚Stein‘ und τρίβειν tribein ‚reiben‘, „Blasensteinzertrümmerer, Lithotriptor“,[26] Lithofraktor, von lateinisch frangere = zerbrechen,[27] oder Lithoklast,[28] von altgriechisch τὸ κλάσμα tó klásma „das Zerbrochene, Bruchstück“, dies von κλάω kláo „ich zerbreche“) ein zangenartiges Gerät zur Zertrümmerung und Entfernung der Steine durch die Harnröhre. Die erste Lithotripsie (operative Steinzertrümmerung, früher auch Lithotripsie rapide oder kurz „Lithothripsie, Lithotritie“[29] oder Lithotripie genannt) wurde im Jahre 1823 von ihm vorgenommen;[30] ursprünglich hieß sein Gerät Litholabe (λαμβάνω = ich fasse).[31] Trotzdem kam es weiterhin zu Komplikationen und Todesfällen, darunter der des Arztes Jean Noël Hallé. Jean Civiale erhielt, nicht zuletzt aufgrund seiner Erfahrung und seiner akademischen Verteidigung der Methode, einige Betten am französischen Hospital Necker geschenkt. Als erster Urologe Englands[32] gilt der aus Suffolk stammende Henry Thompson, der im Gegensatz zu seinem Lehrer Jean Civiale (und zu Bernhard von Langenbeck) 1863 den Blasenstein des belgischen Königs Leopold I. mittels der von Jean Civiale entwickelten Lithotripsie entfernen konnte und außerdem die Zweigläserprobe zur Lokalisierung von Gonokokkeninfektionen erfunden hatte.[33]

Eine weitere Verbesserung stellte die 1875 von dem in Harvard tätigen Arzt Henry Jacob Bigelow entwickelte Absaugung (mittels des „Bigelowschen Aspirationskatheters“[34]) dar.[35] Damit können die Steine direkt nach erfolgter Zertrümmerung, aber als Monotherapie auch ohne Zertrümmerung,[36] transrenal unter lichtoptischer Sicht oder während einer Röntgendurchleuchtung[37] entfernt werden. Dieses neue Verfahren (Absaugen von Steintrümmern aus der Blase[38]) wird perkutane oder transkutane Litholapaxie (von altgriechisch λίθος, lithos „Stein“; und λαπαγμα lapagma,[39] λαπαξις lapaxis „Ausleeren“[40]) genannt.[41]

Urologischer Eingriff

Früher bezeichnete man die „Entfernung der Steinreste nach der Steinzertrümmerung“ als Lithocenosis, die „Operation, bei welcher der Stein vom Mastdarm aus mit dem Finger gegen einen in die Blase eingeführten Katheter gedrückt wird“, als Lithothlibie, die „Zerbohrung eines Blasensteins mittelst einer stachelförmigen Vorrichtung“ als Lithotresie,[42] „harnsteintreibende Mittel“ als Lithagoga, die „Entfernung von Harnstein-Konkrementen“ als Lithektomie, die „Entfernung von Harnkonkrementen nach mechanischer Erweiterung der Harnröhre mittels Katheter oder Sonde“ als Lithagogektasie oder Lithodektasie, die „Nierensteinentfernung durch Inzision des Nierenparenchyms mit spitzem Messer von der Konvexität her“ als Nephrolithotomie oder Lithonephrotomie, eine „Steinsonde mit akustischem Verstärker“ als Lithoskop, ein „Steinmesser mit gekrümmter Schneide“ als Lithotom, „ein harnsteinzersetzendes Agens“ als Lithotriptikum,[43] Dudons angebliche „Methode, Harnsteine in der Blase aufzulösen,“ als Lithodialia, „die Auflösung des Steins oder Blasensteins“ als Lithodialysis, „die Steinzange oder den Steinlöffel“ als Litholabon, die „Lehre von den Steinen und die Steinsammlung“ als Lithologia, „sogenannte steinzermalmende, steinauflösende Mittel, Steinmittel“ als Lithonthryptica, auch einen „Steinfühler“ mit einem Holzstückchen am Griffende als Lithoskop, einen „Steinzerreiber oder Steinzermalmer“ als Lithotherethron, einen „Steinschneider oder das Steinmesser“ als Lithotomus, die „Steinzermalmung oder die Civiale'sche Steinzerstückelung“ als Lithotrypsis, die „Steinzerreibung“ als Lithotresis, „das Steinharnen“ als Lithuresis,[44] die „Mittel gegen Steinleiden“ als Lithagoga remedia oder Lithica remedia.[45] „die Steinerzeugung, die Steinkrankheit, oder alle Steinbeschwerden“ als Lithogonia, „die Lehre von Entstehung der Steine“ als Lithogeognosie und Steinschneider auch als Lithotomisten.[46]

Im 20. Jahrhundert standen die Litholyse (medikamentöse Auflösung von Harnsteinen) und die Lithotomie (operative Entfernung von Steinen) gleichberechtigt nebeneinander.[47] Beide Verfahren werden um endoskopische Steinentfernungsmethoden mittels einer Ureterorenoskopie und um die extrakorporale Stoßwellenlithotripsie mittels hochenergetischer Stoßwellen (Schallwellen) ergänzt.

Die Entwicklung der Endoskopie

Die bedeutendste Entwicklung in der Urologie, die urologische Endoskopie, geht auf den Frankfurter Arzt Philipp Bozzini zurück. Im Jahr 1806 stellt er ein erstes Endoskop mit Kerzenbeleuchtung vor. Diese Entwicklung wurde zunächst nicht weiter verfolgt. Erst 1826 (das Jahr, in dem er seine Erfindung der Académie des sciences vorlegte) versuchte Pierre Salomon Ségalas (1792–1875) erstmals die Anwendung am Patienten (mit seinem Speculum urethro-cystique).[48] Er bediente sich dabei eines Harnblasenspiegels, dessen Beleuchtung zwei Kerzen liefern. Der französische Arzt Antonin Jean Désormeaux, der als Chirurg in Paris tätig war, präsentierte 1853 vor der Akademie für Medizin ein Endoskop, das eine Mischung aus Alkohol und Terpentinöl zur Beleuchtung nutzte. Damit führt er zahlreiche Untersuchungen der Harnröhre und der Harnblase durch und veröffentlicht 1865 das Lehrbuch Traite de l’endoscopie. Der Durchbruch und damit die Begründung der modernen Urologie gelangten dem Dresdner Arzt Maximilian Nitze mit dem ersten elektrisch beleuchteten Zystoskop, das er 1879 in Wien präsentierte. Er veröffentlichte 1889 sein Lehrbuch der Kystoskopie und 1894 den kystographischen Atlas. Mit der Zystoskopie beginnen nun die genaue Untersuchung und die Klassifizierung von Erkrankungen der Harnblase. Gleichzeitig werden spezielle Ureterkatheter entwickelt, um die Harnleiter zu sondieren. Da es mit dem klassischen Zystoskop jedoch schwierig ist, entwickelt Joaquín Albarrán (1860–1912) aus Paris 1897 ein spezielles Zystoskop mit mechanisch abwinkelbarer Spitze.

Erste brauchbare endoskopisch gemachte Farbfotografien des Harnblaseninneren legten die Mitarbeiter von Carl Joseph Gauß an der Universitäts-Frauenklinik Würzburg, Franz Hoff und Theodor Carl Neeff, 1938 vor.[49] Deren Verfahren wurde 1951 von Heinz Drescher,[50] einem Mitarbeiter Horst Kremlings, weiterentwickelt.[51]

Nierenchirurgie

Die Chirurgen begannen sich nun der operativen Therapie von Nierenerkrankungen zuzuwenden. Zahlreiche Erkrankungen wurden entdeckt und beschrieben. Im Jahr 1827 wurde die Ektopie der Niere erstmals von Karl Friedrich von Heusinger und 1841 die solitäre Nierenzyste und die Hydronephrose (Wassersackniere) erstmals von Pierre François Olive Rayer beschrieben. Er beschrieb zwei Jahre zuvor bereits die Nierentuberkulose.[52] Robert Koch entdeckte 1882 das Tuberkelbakterium, und es gelang in der Folge, dieses auch im Urin zu erkennen. Nierentumore waren schon seit dem 17. Jahrhundert bekannt, wurden nun aber genauer untersucht. So beschrieb Paul Grawitz 1883 das Hypernephrom.

Der Heidelberger Chirurg Gustav Simon (1824–1876) entfernte 1869 als erster eine Niere wegen Urinfistelbildung mit Komplikationen, nachdem er die Operation an dreißig Hunden erprobt hatte. 1871 entfernte er eine vereiterte, steintragende Niere, der Patient verstarb jedoch an einer Infektion. Henry Morris gelang 1880 die erste Nephrolithotomie (Steinentfernung aus der Niere). Durch Weiterentwicklung der Operationstechniken, insbesondere der Blutstillung, sowie durch Einführung der Wunddrainage gelang 1889 die erste partielle Nephrektomie, um Nierensteine und Nierenabszesse zu entfernen.

Die Tumorchirurgie begann ebenfalls langsam sich zu entwickeln. Wolcott versuchte 1861 die Entfernung eines Nierentumors, der Patient verstarb jedoch an einer Infektion. Insgesamt wird dieser Eingriff insbesondere aufgrund des späten Tumorstadiums, des hohen Blutverlustes und von Infektionen häufig nicht lange überlebt. Die Entwicklung schritt jedoch fort. Joaquín Albarrán führte 1898 die erste Entfernung von Niere und Harnleiter durch, die so genannte Nephroureterektomie. Bereits 1887 hatte Vincenz Czerny die erste partielle Nephrektomie aufgrund eines Sarkoms durchgeführt. Im Gegensatz zu der schwierigen Chirurgie bei Nierenkrebs gelang es häufig, gutartige Geschwülste erfolgreich zu entfernen.

Neben der Nierenentfernung begann man bereits, erste plastische Operationen an der Niere durchzuführen. Während man anfangs bei einer Wassersackniere noch zur Entfernung neigte, widmete man sich mehr und mehr der organerhaltenden Operation. Zum Ende des 19. Jahrhunderts unternahmen hier Friedrich Trendelenburg (1886), Ernst Küster (1891), Christian Fenger (1892) und James Israel (1896) Nierenbeckenplastiken (hierbei wird die ursächliche Engstelle entfernt und Harnleiter und Nierenbecken werden wieder miteinander verbunden). Joaquín Albarrán leistete in Frankreich auf diesem Gebiet einen wichtigen Beitrag.

Der Beginn der Prostatachirurgie

Wie bereits von Giovanni Battista Morgagni im 18. Jahrhundert beschrieben, wird die Prostatahyperplasie (gutartige Prostatavergrößerung) nun als Ursache der Blasensteinbildung und der Miktionsstörungen identifiziert. Zwar kann man Blasensteine, wie oben ausgeführt, besser therapieren, die Operation der Prostata ist jedoch noch nicht erfolgt. Erste Versuche der Entfernung über die Harnröhre sind ohne größeren Erfolg. Im Jahr 1885 führt Goulay die erste Entfernung über einen Bauchschnitt durch. In Amerika wird diese Methode von George E. Goodfellow (1855–1910) übernommen. Dem Londoner Arzt Peter Johnston Freyer (1852–1921) gelingt am 21. November 1900 die erste vollständige Entfernung des Prostataadenoms über einen Unterbauchschnitt und die eröffnete Harnblase. Trotz großen Blutverlustes gesundet der Patient. In den folgenden Jahrzehnten wurde diese Methode weiterentwickelt. Insbesondere schenkte man der Blutstillung besondere Aufmerksamkeit. Der Wiener Professor für Urologie Theodor Hryntschak (1889–1952) hatte hieran maßgeblichen Anteil. Diese Methode hat bis heute Bestand, wenngleich sie nur noch selten angewandt wird. Ein anderer Weg ist die Methode nach Millin. Hierbei wird die Harnblase nicht eröffnet, sondern die Kapsel der Prostata. Diese Operation wurde 1908 durch den Chirurgen Willem Jacob van Stockum (1862–1913) in Rotterdam erprobt und durch den britischen Arzt Terence Millin 1943 übernommen und perfektioniert. In Heidelberg wird von Vincenz Czerny 1889 erstmals eine Prostatektomie (vollständige Entfernung der Prostata und der Samenbläschen) bei einem Prostatakarzinom durchgeführt. Er wählt den Zugang über den Damm. Eugene Fuller (1858–1930) führte 1898 diesen Eingriff erstmals über einen Bauchschnitt aus.

Die Nutzung von Röntgenstrahlen in der Urologie

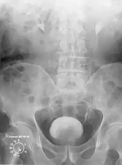
Pyelogramm

Wilhelm Conrad Röntgen entdeckte 1895 die nach ihm benannten Röntgenstrahlen. Damit begann die Entwicklung der Radiologie. Was die Urologie betrifft, wurde 1906 erstmals die von Friedrich Voelcker und Alexander von Lichtenberg entwickelte „retrograde Pyelographie“ vorgestellt, wobei das Nierenbeckenkelchsystem und die Harnleiter mit einer Kollargol-Lösung dargestellt wurden. Es kam dabei jedoch zu schwersten Nebenwirkungen.[53] 1927 wurden von Maurice Chevassu Harnleiter und Nierenbecken mit Kontrastmittel, das im Rahmen einer Blasenspiegelung direkt in die Harnleitermündung eingebracht wird, dargestellt.[54] 1929 führte von Lichtenberg die Pyelographie, d. h. die Darstellung der ableitenden Harnwege über in die Vene eingebrachtes Kontrastmittel, wieder in die Diagnostik ein. Am 28. September 1929 wurden auf dem 9. Deutschen Urologen-Kongress in München von Alexander von Lichtenberg und Moses Swick[55][56] erstmals die Fachwelt überzeugende Urogramme (mittels des durch die Chemiker Arthur Binz und Curt Räth entdeckten Uroselectan)[57] und damit erstmals brauchbare Röntgenbilder der Niere demonstriert.[58][59] Damit waren neue Wege der Diagnostik eröffnet.[60] Die Röntgenfotografie wurde bei einer Nierensteinoperation erstmals von dem Nürnberger Urologen Eduard Pflaumer durchgeführt.[61] Die 1973 eingeführte axiale Computertomographie ermöglichte auch in der Urologie weitere Verbesserungen.

Neues Fach

In Paris übernahm Félix Guyon 1890 den ersten Lehrstuhl für Urologie. In Deutschland erhielt Maximilian Nitze 1900 an der Charité ein Extraordinariat für Urologie.[62] In Danzig waren die Chirurgen Arthur Barth und Heinrich Klose Pioniere des Fachs. Auf der 78. Versammlung der Gesellschaft Deutscher Naturforscher und Ärzte im September 1906 in Stuttgart gründeten 38 urologisch tätige Chirurgen, Gynäkologen, Dermatologen und Internisten die Deutsche Gesellschaft für Urologie. Ihren ersten Kongress vom 2. bis zum 5. Oktober 1907 in Wien leitete Anton von Frisch. An dem Kongress nahmen Urologen aus zwölf Ländern teil. Vor und nach dem Ersten Weltkrieg war Wien eine Hochburg der Urologie. Zu den vielen jüdischen Kollegen gehörte Dora Brücke-Teleky, die 1911 als erste Frau in die DGU aufgenommen wurde. In der Zwischenkriegszeit war Hans Rubritius die Hauptfigur der Wiener Urologie.

Hermann Kümmell, ab 1919 Hamburgs erster Lehrstuhlinhaber für Chirurgie, befasste sich in seinen großen Publikationen ausschließlich mit urologischen Themen.[63] Zu seinen Schülern zählen Henning Brütt, Ernst Roedelius und Oskar Rumpel, der ab 1913 an der Charité Deutschlands erste Abteilung für Urologie einrichtete. 1919 etablierte der Berliner Felix Hagen das Fach in Stettin.[64][65] Hermann Bernhard Braeuning aus Halle gründete das urologisch orientierte Tuberkulose-Hospital in Hohenkrug (Stettin). Er war von 1915 bis 1945 der erste Direktor und machte das Haus zu einem der führenden Zentren im Deutschen Reich.[66] Am Alexianer St. Hedwig-Krankenhaus baute Alexander von Lichtenberg ab 1920 eine Abteilung mit 120 Betten auf. „Amerikaner und Russen, Franzosen, Engländer und Japaner kamen nach Berlin, diesem damaligen Mekka der Urologen.“[67]

Während an vielen Krankenhäusern große Abteilungen für Urologie entstanden, sperrte sich die Hochschulmedizin insbesondere auf Betreiben der Chirurgen weiterhin gegen die akademische Etablierung der Urologie; ihr Siegeszug ließ sich aber nicht mehr aufhalten. Für Peter Rathert, den Archivar der Deutschen Gesellschaft für Urologie, entwickelte sich die Urologie „vom Kellerkind zum Exportschlager und Werbeträger der deutschen Medizin“.[67] Der Facharzt für Erkrankungen der Harnorgane wurde 1924 eingeführt. Otto Ringleb kam 1937 in Berlin auf den ersten deutschen Lehrstuhl für Urologie – der allerdings schon 1945 aufgegeben wurde. Erst 1970 schrieb ein Übereinkommen mit der Deutschen Gesellschaft für Chirurgie die universitäre Eigenständigkeit der Urologie fest. Carl Erich Alken besetzte 1958 im Saarland den zweiten deutschen Lehrstuhl für Urologie. Trotzdem fand sich noch 1977 im Lehrbuch Chirurgie „für Studierende der Medizin und Ärzte“ ein umfangreiches urologisches Kapitel.[68]

In Schweden wurden die ersten Lehrstühle erst nach der Emeritierung des Chirurgen Einar Ljunggren eingerichtet.

Entwicklung seit dem Zweiten Weltkrieg

Die Einführung neuer Untersuchungsmethoden wie Sonografie, Computertomografie und nuklearmedizinische Untersuchungen führte zu einer erheblichen Verbesserung im Erkennen und Therapieren urologischer Erkrankungen. Die Entdeckung des Penicillins und die Weiterentwicklung der Antibiotika reduzieren die Infektionsrate und damit die Sterblichkeit drastisch. Neue Operationsverfahren wie die radikale Prostatektomie oder die radikale Zystektomie (Entfernung der Harnblase) mit Blasenersatz werden entwickelt. Die erste erfolgreiche Nierentransplantation wird 1956 durchgeführt. Der Fortschritt auf dem Gebiet der Endoskopie ermöglicht die Entwicklung der transurethralen Resektion zur Behandlung von gutartigen Prostatavergrößerungen und des Harnblasenkrebses. Harnsteine können heute im Körper zertrümmert werden (→ Lithotripsie). Neue kleinste Endoskope ermöglichen die Inspektion nicht nur der Harnblase (Zystoskopie), sondern auch von Niere und Harnleiter (Ureteroskopie). Die Möglichkeit der Untersuchung und Behandlung über optische Systeme führte zum jüngeren Teilgebiet der Endourologie. Die Chemotherapie und die Strahlentherapie verbessern die Behandlungsmöglichkeiten von Tumorerkrankungen. Schließlich hält die Laparoskopie in den 1990er Jahren Einzug in die Urologie, die erste laparoskopische Nephrektomie wurde 1991 und die erste laparoskopische Prostatektomie wurde 1992 durchgeführt.[69]

Die laparoskopische Technik wurde durch die Verwendung eines Operationsroboters (Da-Vinci-Operationssystem) weiterentwickelt, welcher vor allem in der Urologie zum Einsatz kommt. Auch die Spezialisierung schreitet in der Urologie stetig voran. In einer noch jungen urologischen Spezialdisziplin, der Neurourologie, werden alle Störungen des Harn- und Genitaltraktes behandelt, die durch eine Verletzung oder Erkrankung des Nervensystems verursacht wurden. Vor allem Patienten mit einer Querschnittlähmung sind davon betroffen, aber auch Patienten mit Multipler Sklerose, Morbus Parkinson oder nach einem Schlaganfall. Weitere Spezialdisziplinen der Urologie sind die Andrologie (Lehre der Fortpflanzungsfunktionen des Mannes), die Kinderurologie (angeborene Erkrankungen) und die in Deutschland ab 1900[70] vor allem von Walter Stoeckel (Berlin) und Karl Burger (Würzburg) vorangetriebene gynäkologische Urologie[71] bzw. Urogynäkologie (unter anderem Behandlung von Harn- und Stuhlinkontinenz sowie Lageveränderungen der Genitalorgane von Frauen).

Facharztweiterbildung

Die Facharztausbildung (in Deutschland Weiterbildung genannt) und die folgende Anerkennung als Facharzt für Kinder- und Jugendmedizin sind länderspezifisch durch Weiterbildungsordnungen der Landesärztekammern geregelt. Dabei dienen die organisatorischen und inhaltlichen Empfehlungen der Muster-Weiterbildungsordnung der Bundesärztekammer als Grundlage. Sie werden größtenteils aber nicht in jedem Detail berücksichtigt.

Facharzt/Fachärztin für Urologie

Nach der Muster-Weiterbildungsordnung 2018 (MWBO) umfasst das Gebiet Urologie die Vorbeugung, Erkennung, Behandlung, Nachsorge und Rehabilitation von Erkrankungen, Funktionsstörungen, Fehlbildungen und Verletzungen des männlichen Urogenitalsystems und der weiblichen Harnorgane.[72]

Um in Deutschland als Facharzt/Fachärztin für Urologie (Urologe/Urologin) tätig zu werden, muss man eine mindestens fünfjährige Weiterbildung absolvieren.

Vereinigungen

1972 gründete sich die European Association of Urology (EAU).[73] Mit Thaddäus Zajaczkowski und Dirk Schultheiss engagiert sie sich in der Geschichte des Fachs.

In Deutschland gibt es den Berufsverband der Deutschen Urologie e. V. (BvDU), die Deutsche Gesellschaft für Urologie (DGU)[74] und die Südwestdeutsche Gesellschaft für Urologie.

Österreich: Österreichische Gesellschaft für Urologie und Andrologie.[75]

Schweiz: Schweizerische Gesellschaft für Urologie (= Société suisse d’urologie).[76] Die Schweizerische Gesellschaft für Kinderchirurgie hat fünf Arbeitskreise; einer davon ist die Swiss Society for Paediatric Urology (SwissPU).[77]

Literatur

  • Handbuch der inneren Medizin. Springer-Verlag, Berlin / Heidelberg 1918, Band 3, Teil 2: Mundhöhle und Speiseröhre, Magen, Darm, Peritoneum, Nieren, Nierenbecken und Harnleiter, S. 187–1911.
  • Handbuch der inneren Medizin. 2. Auflage, Springer-Verlag, Berlin 1931, Band 6, Teil 2: Erkrankungen der Blase, der Prostata, der Hoden und Nebenhoden, der Samenblasen. Funktionelle Sexualstörungen, S. 1974–2148.
  • Handbuch der inneren Medizin. 4. Auflage, Springer-Verlag, Berlin / Göttingen / Heidelberg 1951, Band 8: Nieren und ableitende Harnwege. 1167 Seiten.
  • Evert Dirk Baumann: Über die Erkrankungen der Nieren und Harnblase im Altertum. In: Janus. Band 37, 1933, S. 33–47, 65–83, 116–121 und 145–152.
  • Johanna Bleker: Die Geschichte der Nierenkrankheiten. Mannheim 1972 (= Medizinhistorische Schriftenreihe der Studienreihe Boehringer Mannheim. Band 2).
  • André Dufour: Geschichte der Urologie. In: Illustrierte Geschichte der Medizin. Deutsche Bearbeitung von Richard Toellner, Salzburg 1980–1982 und als Sonderauflage ebenda 1986, Band 3, S. 1394–1447.
  • A. von Frisch: Historischer Rückblick über die Entwicklung der urologischen Diagnostik. In: Wiener klinische Wochenschrift. Band 20, 1907, S. 191–197.
  • Hubert Frohmüller: 35 Jahre erlebte Urologie. Die Entwicklung des Faches in der persönlichen Erfahrung. (Abschiedsvorlesung am 24. Juni 1996) In: Würzburger medizinhistorische Mitteilungen. Band 24, 2005, S. 570–579.
  • Jürgen Konert, Holger Dietrich (Hrsg.): Illustrierte Geschichte der Urologie. Springer, Berlin/Heidelberg 2004.
  • Horst Kremling: Geschichte der gynäkologischen Urologie. München/Wien/Baltimore 1987.
  • Brigitte Lengersdorf, Cord Matthies, Annegret Nietz, Denise Oppermann, Alexander Haese, Sabine Bröker, Anke Baumgarten: Urologie. In: Margret Liehn, Brigitte Lengersdorf, Lutz Steinmüller, Rüdiger Döhler (Hrsg.): OP-Handbuch. Grundlagen, Instrumentarium, OP-Ablauf. 6. Auflage. Springer-Verlag, Berlin / Heidelberg / New York 2016, ISBN 978-3-662-49280-2, S. 446–524.
  • Dirk Manski: Urologielehrbuch.de. 16. Auflage. Selbstverlag, Stadtbergen 2022, ISBN 978-3-946441-04-5.
  • Henry Meige: Les urologues. In: Archives générales de médicine. 1900.
  • Herny Meige: Les urologues dans l’art. In: Aesculape. Neue Folge, Band 18, Nr. 3, 1928, S. 54–67.
  • Maurice Stephan Michel (Hrsg.): Die Urologie : in 3 Bänden. 2. Auflage. Springer, Berlin 2023, ISBN 978-3-662-63399-1, doi:10.1007/978-3-662-63400-4.
  • A. Pousson, E. Desnos (Hrsg.): Encyclopédie française d’urologie. Paris 1914.
  • Dirk Schultheiss, Peter Rathert, Udo Jonas (Hrsg.): Streiflichter aus der Geschichte der Urologie. Springer, Berlin 2000.
  • Jürgen Sökeland, Harald Schulze, Herbert Rübben, Carl Erich Alken: Taschenlehrbuch Urologie. 14. Auflage. Georg Thieme Verlag, Stuttgart / New York 2008, ISBN 978-3-13-300614-9.
  • Camille Vieillard: L’urologie et les médecins urologues dans la médecine ancienne. Paris 1903.
  • Dieter Völter: Kompendium der Urologie. Stuttgart 1978.
Commons: Urology – Sammlung von Bildern, Videos und Audiodateien
Wiktionary: Urologie – Bedeutungserklärungen, Wortherkunft, Synonyme, Übersetzungen

Einzelnachweise

  1. Brockhaus Enzyklopädie, 19. Auflage, Verlag F. A. Brockhaus, Mannheim 1993, 22. Band, ISBN 3-7653-1122-7, S. 708.
  2. Günter Thiele, Heinz Walter (Hrsg.): Reallexikon der Medizin und ihrer Grenzgebiete. Urban & Schwarzenberg, Loseblattsammlung 1966–1977, 6. Ordner (S–Zz), München / Berlin / Wien 1974, ISBN 3-541-84006-4, S. U 41 f.
  3. Willibald Pschyrembel: Klinisches Wörterbuch. 268. Auflage. Verlag Walter de Gruyter, Berlin/Boston 2020, ISBN 978-3-11-068325-7, S. 1844.
  4. Peter Reuter: Springer Klinisches Wörterbuch 2007/2008. Springer-Verlag, Heidelberg 2007, ISBN 978-3-540-34601-2, S. 1914.
  5. Duden: Wörterbuch medizinischer Fachbegriffe. 10. Auflage, Dudenverlag, Berlin 2021, ISBN 978-3-411-04837-3, S. 827.
  6. Urologie Leistungsspektrum, 9. April 2015 (Memento vom 10. März 2016 im Internet Archive).
  7. Ulrich Zimmermann: Artikel Beschneidung (AT) im Lexikon Bibelwissenschaft
  8. Zeittafel der Medizingeschichte. Könemann Verlagsgesellschaft, Köln 2000, ISBN 3-8290-2831-8, S. 20.
  9. Ludwig August Kraus: Kritisch-etymologisches medicinisches Lexikon. 3. Auflage, Verlag der Deuerlich- und Dieterichschen Buchhandlung, Göttingen 1844, S. 242 und 762. Digitalisat der Ausgabe von 1844, Internet Archive.
  10. Comfort Momoh: Female Genital Mutialtion. Redcliffe Publishing, Oxford 2005, ISBN 978-1-85775-693-7, S. 22 und 24 f.
  11. WHO, Department of Reproductive Health and Research: Eliminating female genital mutilation. An interagency statement – OHCHR, UNAIDS, UNDP, UNECA, UNESCO, UNFPA, UNHCR, UNICEF, UNIFEM, WHO. Genf 2008, ISBN 978-92-4-159644-2, S. 35.
  12. G. Ehlers, Rudolf Maximilian Bohnstedt: Venerologie. Medizin von heute. Band 22, Tropon-Werke, Köln-Mülheim 1974, S. 11.
  13. Johann Georg Krünitz: Oeconomische Encyclopädie. Berlin 1830, Band 153, S. 5 f. (Stichwort Steinschnitt) und 4–46.
  14. Johann Georg Krünitz: Oeconomische Encyclopädie, Berlin 1830, Band 153, S. 5. Stichwort Steinschnitt, S. 4–46.
  15. Johann Georg Krünitz: Oeconomische Encyclopädie, Berlin 1855, Band 215, S. 516. Stichwort Verschneiden bei Menschen und Tieren, S. 514–554.
  16. Vgl. etwa Willy Braekman, Gundolf Keil: Die ‚Vlaamsche Leringe van orinen‘ in einer niederfränkischen Fassung des 14. Jahrhunderts. Randbemerkungen zur Gliederung des mittelalterlichen Harntraktats. In: Niederfränkische Mitteilungen. Band 24, 1968, S. 75–125.
  17. Vgl. auch Martin S. Spink: Arabian Gynæcological, Obstetrical, and Genito-Urinary Practice – Illustrated from Albucasis. In: Proceedings of the Royal Society of Medicine. Band 30, 13. Januar 1937, S. 653–671.
  18. Ludwig August Kraus: Kritisch-etymologisches medicinisches Lexikon. 3. Auflage. Verlag der Deuerlich- und Dieterichschen Buchhandlung, Göttingen 1844, S. 116. archive.org
  19. Hans Joachim Schneider (Hrsg.): Urolithiasis: Etiology – Diagnosis. Springer Science & Business Media, Berlin / Heidelberg / New York 2012, S. 250 f.
  20. Vgl. H. C. Bumpus: History of regional anaesthesia in urology. In: Journal of the American Medical Association. Band 96, 1931, S. 83 ff.
  21. Johann Georg Krünitz: Oeconomische Encyclopädie, Berlin 1850, Band 202, S. 330.
  22. Walter Guttmann: Medizinische Terminologie. Urban & Schwarzenberg, Berlin / Wien 1902, S. 1065.
  23. Meyers Konversations-Lexikon, Bibliographisches Institut, 6. Auflage, 1902–1908, Band 19, S. 965.
  24. Otto Dornblüth: Klinisches Wörterbuch. 3. Auflage. Verlag von Veit & Comp, Leipzig 1907, S. 263.
  25. Nicole Schaenzler, Gabi Hoffbauer: Wörterbuch der Medizin, Südwest Verlag, München 2001, ISBN 978-3-517-06318-8, S. 485.
  26. Wilhelm Kühn: Neues medizinisches Fremdwörterbuch. Verlag von Krüger & Co., 3. Auflage, Leipzig 1913, S. 72.
  27. Otto Roth: Klinische Terminologie. 5. Auflage, Verlag von Arthur Georgi, Leipzig 1897, S. 299.
  28. Eduard Strauß: Medizinische Fachsprache verständlich gemacht. 22. Auflage, Alwin Fröhlich Verlag, Hamburg 1954, S. 43.
  29. Julius Mahler: Kurzes Repetitorium der medizinischen Terminologie. 4. Auflage, Johann Ambrosius Barth Verlag, Leipzig 1922, S. 123.
  30. Allgemeine deutsche Real-Encyklopädie für die gebildeten Stände – Conversations-Lexikon, 11. Auflage, 14. Band, F. A. Brockhaus-Verlag, Leipzig 1868, Stichwort Steinoperationen, S. 105.
  31. Jean Civiale: La lithotritie et la taile. Guide pratique pour le traitement de la pierre. Paris 1869.
  32. D. Urquhart-Hay: Sir Henry Thompson, the first English urologist. In: British Journal of Urology. Band 73, 1994, S. 345–351.
  33. Barbara I. Tshisuaka: Thompson, Sir Henry. In: Werner Erwin Gerabek, Bernhard D. Haage, Gundolf Keil, Wolfgang Wegner (Hrsg.): Enzyklopädie Medizingeschichte. Walter de Gruyter, Berlin / New York 2005, ISBN 3-11-015714-4, S. 1396 f.
  34. Herbert Volkmann (Hrsg.): Medizinische Terminologie. 35. Auflage, Urban & Schwarzenberg, München / Berlin 1951, S. 575.
  35. Real-Encyclopädie der gesammten Heilkunde. 2. Auflage, 3. Band, Verlag Urban & Schwarzenberg, Wien / Leipzig 1885, S. 66–69 mit Abbildungen.
  36. Jürgen Sökeland: Urologie. 10. Auflage, Georg Thieme Verlag, Stuttgart / New York 1987, ISBN 3-13-300610-X, S. 298 f.
  37. Maxim Zetkin, Herbert Schaldach: Lexikon der Medizin. 16. Auflage. Verlag Ullstein Medical, Wiesbaden 1999, ISBN 3-86126-126-X, S. 1185.
  38. Duden: Wörterbuch medizinischer Fachbegriffe. 10. Auflage, Dudenverlag, Berlin 2021, ISBN 978-3-411-04837-3, S. 487.
  39. Ludwig August Kraus: Kritisch-etymologisches medicinisches Lexikon. 3. Auflage. Verlag der Deuerlich- und Dieterichschen Buchhandlung, Göttingen 1844, S. 555. archive.org
  40. Günter Thiele, Heinz Walter (Hrsg.): Reallexikon der Medizin und ihrer Grenzgebiete. Urban & Schwarzenberg, Loseblattsammlung 1966–1977, 4. Ordner (Hypermagnesiämie–Melusinidae), München / Berlin / Wien 1971, ISBN 3-541-84004-8, S. L 145.
  41. Gerhard Rodeck (Hrsg.): Urologische Erkrankungen (= Praxis der Allgemeinmedizin. Band 18). Urban & Schwarzenberg, München / Wien / Baltimore 1987, ISBN 3-541-13121-7, S. VII und 99.
  42. Walter Guttmann: Medizinische Terminologie. Urban & Schwarzenberg, Berlin / Wien 1902, S. 550.
  43. Günter Thiele, Heinz Walter (Hrsg.): Reallexikon der Medizin und ihrer Grenzgebiete. Urban & Schwarzenberg, Loseblattsammlung 1966–1977, 4. Ordner (Hyperm–Mel), München / Berlin / Wien 1971, ISBN 3-541-84004-8, S. L 144 f.
  44. Ludwig August Kraus: Kritisch-etymologisches medicinisches Lexikon. 3. Auflage. Verlag der Deuerlich- und Dieterichschen Buchhandlung, Göttingen 1844, S. 570–572. archive.org
  45. Maxim Zetkin, Herbert Schaldach: Wörterbuch der Medizin. 1. Auflage, VEB Verlag Volk und Gesundheit, Berlin 1956, S. 516.
  46. Johann Georg Krünitz: Oeconomische Encyclopädie. Berlin 1800, Band 79, S. 684–688.
  47. Josef Hammerschmidt-Gollwitzer: Wörterbuch der medizinischen Fachausdrücke. Rheingauer Verlagsgesellschaft, Eltville 1983, ISBN 3-88102-061-6, S. 239.
  48. Jörn Henning Wolf: Der Arzt und sein Spiegel. In: Christa Habrich, Frank Marguth, Jörn Henning Wolf (Hrsg.) unter Mitarbeit von Renate Wittern: Medizinische Diagnostik in Geschichte und Gegenwart. Festschrift für Heinz Goerke zum sechzigsten Geburtstag. München 1978 (= Neue Münchner Beiträge zur Geschichte der Medizin und Naturwissenschaften: Medizinhistorische Reihe. Band 7/8), ISBN 3-87239-046-5, S. 477–516, hier: S. 484–485.
  49. Franz Hoff, Theodor Carl Neeff: Die cystoskopische Farbenphotographie und ihre Leistungen. In: Zentralblatt für Gynäkologie. Band 63, 1939, S. 1672–1683.
  50. Heinz Drescher: Der heutige Stand der intravesikalen Farbphotographie in der gynäkologischen Urologie. In: Zentralblatt für Gynäkologie. Band 75, 1953, S. 1481–1486.
  51. Horst Kremling: Würzburger Beiträge zur Gynäkologischen Urologie. In: Würzburger medizinhistorische Mitteilungen. Band 5, 1987, S. 5–11, hier: S. 7.
  52. Pierre François Olive Rayer: Die Krankheiten der Nieren und die Veränderungen der Harnsecretion in ihren Beziehungen zu den übrigen örtlichen und allgemeinen Affectionen. Ferdinand Enke Verlag, Erlangen 1844.
  53. Horst Kremling: Zur Geschichte der urologischen Röntgendiagnostik. In: Würzburger medizinhistorische Mitteilungen. Band 6, 1988, S. 5–19, hier: S. 8.
  54. Maurice Chevassu: L’Exploration anatomique des lésions chirurgicales du rein au moyen de l’urétéro-pyélographie rétrograde. Masson, Paris 1932.
  55. Moses Swick: Darstellung der Niere und der Harnwege im Röntgenbild durch intravenöse Einbringung eines neuen Kontraststoffes, des Uroselectans. In: Klinische Wochenschrift. 8, 1929, S. 2087.
  56. Alexander von Lichtenberg, Moses Swick: Grundlagen und Durchführung der intravenösen Darstellung der Harnwege. In: Zentralblatt für Gynäkologie. Band 53, 1929, S. 3387.
  57. Arthur Binz: Geschichte des Uroselectans. In: Zeitschrift für Urologie. Band 31, 1937, S. 73–84.
  58. Horst Kremling: Zur Geschichte der urologischen Röntgendiagnostik. In: Würzburger medizinhistorische Mitteilungen. Band 6, 1988, S. 5–19; hier: S. 9.
  59. Horst Kremling: Würzburger Beiträge zur Gynäkologischen Urologie. In: Würzburger medizinhistorische Mitteilungen. Band 5, 1987, S. 5–11, hier: S. 6.
  60. L. Magno: Studium über die renalen Clearance-Werte der jodierten Röntgenkontrastmittel für Uro- und Angiographie. In: La Radiologia Medica, Sonderdruck, Band LII, Nummer 3/1966, März 1966, S. 253–266.
  61. Horst Kremling: Eduard Pflaumer (1872–1957). Ein Wegbereiter der Urologie. In: Würzburger medizinhistorische Mitteilungen. Band 14, 1996, S. 81–84, hier: S. 84.
  62. Thorsten Halling, F. H. Moll: Fachkulturelles Gedächtnis und Erinnerungsorte in den medizinischen Wissenschaften – Maximilian Nitze (1848–1906) und die Etablierung der Urologie (2016)
  63. R. Döhler, H.-J. Schröder, E. S. Debus: Chirurgie im Norden. Zur 200. Tagung der Vereinigung Norddeutscher Chirurgen in Hamburg 2017. Kaden Verlag, Heidelberg 2017.
  64. Thaddäus Zajaczkowski, Elzbieta Wojewska-Zajaczkowska: Beginning of urology in Szczecin. Felix Hagen (1880–1962) – The first head of the Department of Urology in Stettin. In: Annales Academiae Medicae Stetinensis. Band 56, 2010, S. 137–144.
  65. Thaddäus Zajaczkowski, Elzbieta Wojewska-Zajaczkowska: Urology in Stettin (Szczecin). The impact of political changes on progress in urology and medicine (2012).
  66. Thaddäus Zajaczkowski. The Tuberculosis Hospital in Hohenkrug, Stettin. Department of genitourinary tuberculosis (2011)
  67. a b 100 Jahre Deutsche Gesellschaft für Urologie (2007)
  68. Georg Heberer, Wolfgang Köle, Harald Tscherne: Urologie. Springer-Verlag, Berlin / Heidelberg / New York 1977, ISBN 3-540-08423-1, 22. Kapitel: Urologie, S. 530–597.
  69. Dirk Manski, Online-Lehrbuch der Urologie
  70. Paul Diepgen, Heinz Goerke: Aschoff/Diepgen/Goerke: Kurze Übersichtstabelle zur Geschichte der Medizin. 7., neubearbeitete Auflage. Springer, Berlin/Göttingen/Heidelberg 1960, S. 60.
  71. Horst Kremling: Würzburger Beiträge zur Gynäkologischen Urologie. In: Würzburger medizinhistorische Mitteilungen. Band 5, 1987, S. 5–11, hier: S. 7–8.
  72. Gebiet Urologie. In: (Muster-)Weiterbildungsordnung MWBO 2018, Seite 309ff. Bundesärztekammer, abgerufen am 21. Oktober 2024.
  73. www.uroweb.org
  74. www.urologenportal.de
  75. Uro.AT
  76. Urologie.ch
  77. SwissPU (Memento vom 10. Februar 2016 im Internet Archive)