Subakute Thyreoiditis de Quervain
| Klassifikation nach ICD-10 | |
|---|---|
| E06.1 | Subakute Thyreoiditis |
| ICD-10 online (WHO-Version 2019) | |
| Klassifikation nach ICD-11 | |
|---|---|
| 5A03.1 | Subakute Thyreoiditis |
| ICD-11: Englisch • Deutsch (Entwurf) | |
Die subakute Thyreoiditis de Quervain ist eine nach dem Erstbeschreiber Fritz de Quervain benannte Erkrankung der Schilddrüse.
Die Ursache der subakuten Thyreoiditis de Quervain ist noch weitgehend ungeklärt. Die Erkrankung beginnt meist subakut, das heißt innerhalb weniger Tage. Es kommt zu einer Entzündung der Schilddrüse, einer Thyreoiditis, die histologisch durch typische Riesenzellen gekennzeichnet ist. Sie geht mit einer meist leicht vergrößerten Schilddrüse (Struma), ausgeprägten lokalen Symptomen wie starken Schmerzen in Hals-, Ohr- und Kieferregion und Schluckbeschwerden sowie Allgemeinbeschwerden wie allgemeinem Krankheitsgefühl und Gliederschmerzen einher. Die über mehrere Monate andauernde Entzündung der Schilddrüse läuft typischerweise in mehreren Phasen ab. Zunächst kommt es zu einer Schilddrüsenüberfunktion (Hyperthyreose), gefolgt von einer kurz andauernden normalen Schilddrüsenfunktion (Euthyreose). Diese geht in eine Phase der Schilddrüsenunterfunktion (Hypothyreose) über. Während einer Erholungsphase normalisiert sich schließlich die Schilddrüsenfunktion wieder und es kommt in der Regel zu einer vollständigen Ausheilung.
Die Diagnose wird klinisch im Rahmen der Anamnese, bei klinischen Untersuchungen und mit Hilfe von Laborparametern gestellt. Im Zweifel kann mit Hilfe einer Gewebeentnahme (Biopsie) die Diagnose gesichert werden. Die subakute Thyreoiditis de Quervain ist normalerweise eine selbstlimitierende Erkrankung, das heißt, sie heilt ohne Behandlung innerhalb eines Jahres aus. Durch eine Therapie mit schmerz- und entzündungshemmenden Medikamenten können der Krankheitsverlauf und die Symptome gemildert werden.
Eine ebenfalls nach Fritz de Quervain benannte Erkrankung, die gelegentlich auch als Quervain-Krankheit oder häufiger als Tendovaginitis stenosans de Quervain bezeichnet wird, hat nichts mit der subakuten Thyreoiditis gemein.
Synonyme
Die Erkrankung wird auch kurz als Thyreoiditis de Quervain oder Quervain-Thyreoiditis bezeichnet. Darüber hinaus gibt es weitere Synonyme für die Erkrankung. Die Bezeichnung Subakute nicht-eitrige Thyreoiditis dient der Unterscheidung von der eitrigen oder akuten Thyreoiditis. Aufgrund typischer histologischer Veränderungen sind die Synonyme Riesenzell-Thyreoiditis (Vorkommen von Riesenzellen) und subakute granulomatöse Thyreoiditis (Vorkommen von Granulomen) anzutreffen. Da als Ursache eine Infektion mit Viren diskutiert wird, bezeichnen einige Mediziner die Erkrankung als virale Thyreoiditis.
Sehr häufig ist der alternative Begriff subakute Thyreoiditis (SAT) zu finden. Da ein subakuter Verlauf allerdings auch bei anderen Schilddrüsenentzündungen vorkommt, insbesondere bei den subakuten lymphozytären Thyreoiditiden (Stumme Thyreoiditis und Postpartum-Thyreoiditis), kann es zu Verwechslungen kommen. Zudem kann die Erkrankung auch akut verlaufen, so dass vorgeschlagen wurde, den Begriff „subakut“ zu vermeiden.[1]
Verbreitung
Die subakute Thyreoiditis de Quervain ist die häufigste mit Schmerzen einhergehende Schilddrüsenerkrankung.[2] Bei bis zu 5 Prozent aller Schilddrüsenerkrankungen des Erwachsenen handelt es sich um eine Quervain-Thyreoiditis.[3] Frauen sind 4- bis 7-mal häufiger betroffen als Männer.[3]
Umfangreiche Untersuchungen zur Epidemiologie, insbesondere zur Häufigkeit der Erkrankung, gibt es nur wenige. Nach einer der größten Kohortenstudien betrug die Inzidenz in Olmsted County, Minnesota, in den Jahren 1960 bis 1997 4,9 Fälle pro 100.000 Einwohner und Jahr. Das Alter der Patienten lag zwischen 14 und 87 Jahren, der Häufigkeitsgipfel in der 4. und 5. Lebensdekade.[4] Unabhängig von dieser Kohortenstudie gibt es vereinzelte Fallberichte über die Quervain-Thyreoiditis bei Kindern, deren Lebensalter in diesen Veröffentlichungen zwischen 1,7 und 10 Jahren lag.[3]
Es wurde in einigen Studien eine saisonale Häufung im Frühjahr[5] oder im Sommer[2] beobachtet.
Ursachen
Die Ursache der subakuten Thyreoiditis de Quervain ist nicht bekannt. Es gilt als wahrscheinlich, dass die Entzündung die Folge einer Virusinfektion ist, da sich in zurückliegenden Studien bei den meisten Patienten eine kürzlich vorausgegangene Infektion der oberen Atemwege eruieren ließ. Ein Zusammenhang mit den klassischen respiratorischen Virusinfektionen, zum Beispiel durch Enteroviren und Coxsackie-Viren, konnte allerdings nicht gezeigt werden.[6][7] SARS-CoV-2 gilt nach aktuellem Kenntnisstand als möglicher Auslöser einer subakuten Thyreoiditis de Quervain.[8][9][10]
Des Weiteren sind genetische Prädispositionen für Träger der humanen Leukozytenantigene HLA-B35 und HLA-B67 bekannt. Individuen, die einen dieser Haplotypen besitzen, haben ein – im Falle von HLA-B35 bis zu 50-fach – erhöhtes Risiko, an einer subakuten Thyreoiditis de Quervain zu erkranken.[11] Der HLA-B35 Haplotyp konnte in mehreren Studien bei weit mehr als der Hälfte der an subakuter Thyreoiditis de Quervain erkrankten Patienten nachgewiesen werden. Eine familiäre Häufung konnte bisher nur in wenigen Fällen nachgewiesen werden.[12] Einer häufigen Annahme zufolge spielen bei der Entstehung der Schilddrüsenentzündung sowohl die Virusinfektion als auch eine Autoimmunreaktion eine Rolle, das heißt eine Reaktion des Immunsystems gegen das körpereigene Schilddrüsengewebe. Als zugrunde liegender Mechanismus wird ein molekulares Mimikry vermutet. Der Umstand, dass die subakute Thyreoiditis de Quervain im Gegensatz zu anderen Autoimmunerkrankungen selbstlimitierend ist, spricht jedoch gegen diese Hypothese.[13]
Symptome und Krankheitsverlauf
.png)
Die Erkrankung beginnt subakut. Charakteristisch für die Thyreoiditis de Quervain ist ein mehrphasiger Krankheitsverlauf. Dabei kann die Symptomatik stark variieren und nicht jeder Patient zeigt Symptome jeder hier beschriebenen Phase.
Typisch ist ein Prodromalstadium mit allgemeinem Krankheitsgefühl, Schluckbeschwerden, Rachenentzündung (Pharyngitis), Muskel- und Gelenkschmerzen sowie leichtem Fieber.[14][15] Infolge einer Entzündungsreaktion der Schilddrüse entstehen im Verlauf in der Regel starke Schmerzen. Diese können unter anderem zum Ohr und in den Unterkiefer ausstrahlen. Bei Druckausübung auf das Schilddrüsenlager können sich die Schmerzen verstärken.[14] Außerdem kann der Druckschmerz im Krankheitsverlauf die Lokalisation wechseln.[15]
Die Entzündung führt zu einer Zerstörung der Schilddrüsenfollikel, die mit einem Abbau des darin gespeicherten Thyreoglobulins einhergeht. Die Schilddrüsenhormone Triiodthyronin (T3) und Thyroxin (T4) werden unkontrolliert in das Blut freigesetzt. Durch die erhöhte Blutkonzentration von Schilddrüsenhormonen wird die Bildung von Thyreotropin (TSH) in der Hirnanhangdrüse (Hypophyse) gehemmt, sodass die Neubildung von Schilddrüsenhormonen vermindert wird. Es kommt zum klinischen Bild einer Schilddrüsenüberfunktion und bei bis zu 50 Prozent der Patienten zum Bild einer Thyreotoxikose (Vergiftungserscheinung durch den Überschuss an Schilddrüsenhormonen).[16] Typische Symptome einer Hyperthyreose sind starke Schweißproduktion, beschleunigter Herzschlag, Gewichtsverlust, Nervosität und Zittern.
Dieser Zustand dauert an, bis die Vorräte an Schilddrüsenhormonen erschöpft sind und es letztlich, nach einer kurzen Phase mit normaler Schilddrüsenfunktion, zu einer Schilddrüsenunterfunktion kommt. Bei bestehender Hypothyreose sind typische Symptome Leistungsminderung, Antriebsschwäche, Gewichtszunahme, langsamer Herzschlag und niedriger Blutdruck. Je nach Schwere und Phase der Erkrankung kann es zusammengefasst zu Zeichen einer Schilddrüsenüber- oder -unterfunktion kommen, weshalb die Symptomatik dieser Erkrankung im Verlauf sehr variabel ist.
Die Krankheit dauert mehrere Monate an. In der Regel kommt es innerhalb von zwölf Monaten auch ohne den Einsatz von Medikamenten zu einer vollständigen und spontanen Ausheilung (Selbstlimitierung). Bei 5[16] bis 15 Prozent[15] der Betroffenen bleibt eine dauerhafte Schilddrüsenunterfunktion bestehen, so dass eine Langzeittherapie mit Schilddrüsenhormonen erfolgen muss.[15] Nur in 2 Prozent der Fälle kommt es zu einem Wiederauftreten (Rezidiv) der subakuten Thyreoiditis.[16]
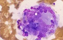
Histologie

Das histologische Bild der subakuten Thyreoiditis ist durch eine granulomatöse Entzündung und das Vorliegen von Riesenzellen geprägt. Die Granulome bestehen neben den Riesenzellen aus abgestorbenen Zellen (Zellnekrosen) und Makrophagen. Im Rahmen der Entzündungsreaktion kommt es zu einer Zerstörung der Follikelepithelzellen der Schilddrüse und zum Austritt von Kolloid, das durch die Riesenzellen phagozytiert wird. Die Granulome treten im Schilddrüsengewebe nur an einigen Stellen auf. Das restliche Schilddrüsengewebe erscheint unversehrt.[17]
Diagnose
Bei der klinischen Untersuchung ist eine druckschmerzhafte Schilddrüse typisch, die asymmetrisch vergrößert sein kann.
Eine vermutete oder vorhandene Vergrößerung der Schilddrüse kann mit Hilfe einer Schilddrüsensonographie bestätigt werden. Dabei zeigt sich ein im „gesunden“ Schilddrüsengewebe nicht vorkommendes inhomogenes Muster, bei dem sich echoarme und echoreiche Regionen abwechseln. Bei den echoarmen Regionen handelt es sich um die Entzündungsherde der Erkrankung. Sie stellen sich am Monitor dunkel dar, da sie den Schall schlechter reflektieren als normales Schilddrüsengewebe (siehe Untersuchung der Schilddrüse). Das Ausmaß der Schilddrüsengefäßversorgung, der Vaskularisation, lässt sich ebenfalls darstellen. Sie ist bei der subakuten Thyreoiditis de Quervain verringert bis normal.[16] Dies unterscheidet die Thyreoiditis de Quervain beispielsweise vom Morbus Basedow, bei dem die Vaskularisation wesentlich ausgeprägter ist.[16]
Die Diagnose kann durch die Bestimmung verschiedener Laborparameter im Blut gestützt werden. Als Zeichen der Entzündungsreaktion sind die Entzündungsparameter C-reaktives Protein (CRP) und die Blutkörperchensenkungsgeschwindigkeit (BSG) fast immer deutlich erhöht. Die Zahl der weißen Blutkörperchen ist normal oder leicht erhöht (Leukozytose).[16] Letzteres ist ebenfalls ein Zeichen für eine aktive Entzündungsreaktion. In Abhängigkeit von der Krankheitsphase sind die Schilddrüsenfunktionsparameter verändert. In der hyperthyreoten Phase sind TSH erniedrigt und die Schilddrüsenhormone erhöht, in der euthyreoten Phase sind die Parameter im Normbereich und in der hypothyreoten Phase sind TSH erhöht und die Schilddrüsenhormone erniedrigt. Für die Differentialdiagnostik spielt die Bestimmung der schilddrüsenspezifischen Antikörper eine wichtige Rolle.
Bestehen Zweifel an der Diagnose, kommen zur Differentialdiagnostik eine Schilddrüsenszintigraphie sowie eine Probeentnahme durch Feinnadelaspiration mit anschließender histologischer Untersuchung infrage. Beide Verfahren gehören bei diesem Krankheitsbild nicht zur Routinediagnostik und sind nur in Einzelfällen, insbesondere bei atypischen Verläufen, erforderlich. Die Jodaufnahme, die quantitativ mit der Schilddrüsenszintigraphie gemessen werden kann, ist durch die entzündungsbedingte Jod-Transport-Störung und den verminderten TSH-Spiegel meist stark reduziert. Insbesondere in einer thyreotoxischen Phase ist die Jodaufnahme massiv verringert (24-Stunden-Aufnahme von 123Jod unter 5 Prozent), was bei differentialdiagnostischen Überlegungen hilfreich ist, beispielsweise zur Abgrenzung eines Morbus Basedow.[16] Bei der Feinnadelbiopsie (Feinnadelaspiration) wird sonographisch gesteuert Schilddrüsengewebe mit einer dünnen Nadel entnommen (Biopsie), das anschließend in der Pathologie histologisch untersucht wird.
-
Subakute Thyreoiditis im Ultraschall: diffuse Echoarmut. -
Zum Vergleich: normale Echogenität der Schilddrüse -
Schilddrüsenszintigrafie bei Subakuter Thyreoiditis: verminderter Uptake. -
Normalisierung nach Therapie.
Differentialdiagnose
Die subakute Thyreoiditis de Quervain ist die häufigste Ursache einer schmerzhaften Schilddrüse.[4] Es gibt jedoch weitere Erkrankungen, die zu Schmerzen in der Schilddrüse führen können.
Differentialdiagnostisch muss vor allem an eine akute eitrige Thyreoiditis gedacht werden, die meist durch Bakterien verursacht wird. Die Schilddrüse ist wie bei der subakuten Thyreoiditis de Quervain druckschmerzhaft. Die Lymphknoten im Halsbereich sind vergrößert und ebenfalls schmerzhaft. Die Haut über der Schilddrüse ist oftmals gerötet. Im Labor zeigen sich meist Zeichen einer schweren bakteriellen Infektion oder Sepsis. In der Schilddrüsensonographie können eventuell Abszesse nachgewiesen werden.
Ähnliche Symptome wie die subakute Thyreoiditis verursacht eine Palpationsthyreoiditis, die sich durch Abtasten (Palpation) der Schilddrüse entwickeln kann, beispielsweise vor operativen Eingriffen. Außerdem beobachtet man eine leicht schmerzhafte Schilddrüsenschwellung auch bei der Hashimoto-Thyreoiditis. Die Blutsenkungsgeschwindigkeit ist bei dieser Erkrankung jedoch nicht erhöht und im Schilddrüsensonogramm zeigt sich in der Regel eine durchgehend echoarme Schilddrüse.[5]
Zudem sind andere granulomatöse Erkrankungen als Ursache in Betracht zu ziehen. Dazu gehören unter anderem die Tuberkulose, die Sarkoidose und Erkrankungen aus dem rheumatoiden Formenkreis.[18]
Therapie
Die Therapie erfolgt in der Regel symptomatisch. Verwendet werden vor allem schmerz- und entzündungshemmende Substanzen aus der Gruppe der nichtsteroidalen Antirheumatika (NSAR), beispielsweise Acetylsalicylsäure (ASS) und Ibuprofen. Wenn diese Medikamente für eine symptomatische Behandlung nicht ausreichen, werden Glukokortikoide, in erster Linie Prednisolon, zur Entzündungshemmung eingesetzt. Kann weder mit der NSAR- noch mit der Glukokortikoidtherapie eine Schmerzlinderung herbeigeführt werden, muss die Diagnose in Frage gestellt werden.[13] Treten deutliche Krankheitszeichen der Schilddrüsenüberfunktion wie eine Erhöhung der Herzfrequenz auf, können diese ebenfalls symptomatisch behandelt werden.
Die bei vielen Schilddrüsenüberfunktionen eingesetzten Thyreostatika spielen bei der Behandlung der subakuten Thyreoiditis de Quervain keine Rolle, da keine gesteigerte Produktion von Schilddrüsenhormonen, sondern nur eine vermehrte Ausschüttung von bereits gebildeten Hormonen zugrunde liegt. Auch in der meistens milden hypothyreoten Phase ist nur in seltenen Fällen eine spezifische Therapie notwendig. Eine Ausnahme besteht, wenn die hypothyreote Phase deutlich verlängert ist. In diesem Fall ist die Substitution von Schilddrüsenhormonen indiziert. Hierzu werden meist L-Thyroxin-Präparate verwendet.
Medizingeschichte
Die erste ausführliche Publikation über die subakute granulomatöse Thyreoiditis mit insgesamt 18 Fallbeschreibungen stammt von Holger Mygind. Er bezeichnete die Erkrankung 1895 als „Thyroiditis Acuta Simplex“.[19][20] Die heute übliche Bezeichnung „Subakute Thyreoiditis de Quervain“ geht auf Fritz de Quervain zurück, der die Erkrankung 1904 histopathologisch charakterisierte und von anderen Schilddrüsenentzündungen differenzierte.[19][21] Grundlage für die Publikation von de Quervain waren sechs eigene Untersuchungspräparate und eine Literaturrecherche mit insgesamt 57 Fallbeispielen, die bis in das Jahr 1814 zurückgehen.[22] Warum die Erkrankung nach de Quervain und nicht nach Mygind benannt wurde, ist unbekannt.[23]
Literatur
- Alan P. Farwell: Subacute Thyroiditis. In: Lewis E. Braverman, David S. Cooper (Hrsg.): Werner & Ingbar’s The Thyroid. A Fundamental and Clinical Text. 10. Auflage. Wolters Kluwer, Philadelphia 2013, ISBN 978-1-4511-2063-9 (englisch). S. 418–422.
- P. Engkakul, P. Mahachoklertwattana, P. Poomthavorn: Eponym : de Quervain thyroiditis. In: European Journal of Pediatrics. Band 170, Nummer 4, April 2011, ISSN 1432-1076, S. 427–431, doi:10.1007/s00431-010-1306-4, PMID 20886353 (Review).
- R. Hörmann: Schilddrüsenkrankheiten. ABW-Wissenschaftsverlag, 4. Auflage, 2005, ISBN 3-936072-27-2, S. 106 ff.
- W. Böcker u. a.: Pathologie. 3. Auflage, Urban und Fischer Verlag, 2004, ISBN 3-437-42381-9, S. 388 ff.
Einzelnachweise
- ↑ H. Schatz: Zur Thyreoiditis de Quervain. In: DMW - Deutsche Medizinische Wochenschrift. 100, 1975, S. 2377–2380, doi:10.1055/s-0028-1106551.
- ↑ a b H. Mönig, B. Harbeck: Thyreoiditis. In: DMW - Deutsche Medizinische Wochenschrift. 133, 2008, doi:10.1055/s-2008-1046710, S. 301.
- ↑ a b c P. Engkakul, P. Mahachoklertwattana, P. Poomthavorn: Eponym : de Quervain thyroiditis. In: European Journal of Pediatrics. Band 170, Nummer 4, April 2011, ISSN 1432-1076, doi:10.1007/s00431-010-1306-4, PMID 20886353, S. 428.
- ↑ a b V. Fatourechi et al.: Clinical features and outcome of subacute thyroiditis in an incidence cohort: Olmsted County, Minnesota, study. J Clin Endocrinol Metab. Mai 2003 ;88(5), PMID 12727961, S. 2100.
- ↑ a b R. Gärtner: Entzündliche Schilddrüsenerkrankungen Pathophysiologie, Diagnostik und Therapie. Der Internist, Volume 43, Number 5, doi:10.1007/s00108-002-0550-8, S. 647
- ↑ K. Luotola et al.: Evaluation of infectious etiology in subacute thyroiditis--lack of association with coxsackievirus infection. APMIS (1998) 106(4): S. 500–504 PMID 9637274
- ↑ Rachel Desailloud, Didier Hober: Viruses and thyroiditis: an update. In: Virol Journal 6, 5 (2009). 12. Januar 2009, abgerufen am 5. August 2022 (englisch).
- ↑ Christiane Berg: Halsschmerzen nach Covid-19: Immer auch an eine Schilddrüsenentzündung denken. In: Pharmazeutische Zeitung online - Die Zeitschrift der Deutschen Apotheker. ABDA – Bundesvereinigung Deutscher Apothekerverbände e. V., Berlin, 4. April 2022, abgerufen am 5. August 2022.
- ↑ Frühlingserkältungen und Covid-19. Berufsverband Deutscher Nuklearmediziner e. V., 31. März 2022, abgerufen am 5. August 2022.
- ↑ Alessandro Brancatella, Debora Ricci, Nicola Viola, Daniele Sgrò, Ferruccio Santini, Francesco Latrofa: Subacute Thyroiditis After Sars-COV-2 Infection. In: The Journal of Clinical Endocrinology & Metabolism, Volume 105, Issue 7, July 2020, Pages 2367–2370. 21. Mai 2020, abgerufen am 5. August 2022 (englisch).
- ↑ N. Ohsako et al.: Clinical characteristics of subacute thyroiditis classified according to human leukocyte antigen typing. J Clin Endocrinol Metab. 1995 Dec;80(12):3653-6. PMID 8530615
- ↑ E. F. Zein et al.: Familial occurrence of painful subacute thyroiditis associated with human leukocyte antigen-B35. Presse Med. 2007 May;36(5 Pt 1):808-9. Epub 2007 Mar 23. PMID 17383147
- ↑ a b K. D. Burman: Subacute granulomatous thyroiditis. UpToDate v15.3, August 2007.
- ↑ a b A. E. Heufelder et al.: Die Thyreoiditiden: Aktueller Stand der Pathogenese, Diagnostik und Therapie. Dtsch Arztebl 1998; 95(9): A-466 / B-394 / C-368. Online-Version
- ↑ a b c d A. Bindra, G. D. Braunstein: Thyroiditis. In: American family physician. Band 73, Nummer 10, Mai 2006, ISSN 0002-838X. PMID 16734054, S. 1769.
- ↑ a b c d e f g E. N. Pearce, A. P. Farwell, L. E. Braverman: Thyroiditis. In: The New England Journal of Medicine. Band 348, Nummer 26, Juni 2003, S. 2646–2655, ISSN 1533-4406. doi:10.1056/NEJMra021194. PMID 12826640. (Review).
- ↑ S.-Y. Sheu, K. W. Schmid: Entzündliche Schilddrüsenerkrankungen Epidemiologie, Klinik und Morphologie. Der Pathologe, Volume 24, Number 5 doi:10.1007/s00292-003-0628-7, S. 343.
- ↑ S.-Y. Sheu, K. W. Schmid: Entzündliche Schilddrüsenerkrankungen. In: Der Pathologe. 24, 2003, doi:10.1007/s00292-003-0628-7, S. 344.
- ↑ a b P. Engkakul, P. Mahachoklertwattana, P. Poomthavorn: Eponym : de Quervain thyroiditis. In: European Journal of Pediatrics. Band 170, Nummer 4, April 2011, S. 427, ISSN 1432-1076. doi:10.1007/s00431-010-1306-4. PMID 20886353. (Review).
- ↑ Holger Mygind: Thyroiditis Acuta Simplex. In: The Journal of Laryngology, Rhinology, and Otology. 9, 1895, S. 181–193, doi:10.1017/S1755146300152771.
- ↑ F. de Quervain: Die akute nicht eitrige Thyreoiditis. In: Mitteilungen aus den Grenzgebieten der Medizin und Chirurgie. 1904 (Suppl. 1), S. 165.
- ↑ Franz U. Steinberg: Subacute Granulomatous Thyroiditis: A Review. In: Annals of Internal Medicine. 52, 1960, S. 1014, doi:10.7326/0003-4819-52-5-1014.
- ↑ Höhepunkte der Thyreologie: Eine historische Vignette. In: Journal für Klinische Endokrinologie und Stoffwechsel. 2014, 7 (1), S. 24 PDF-Version.