Strahlennekrose
| Klassifikation nach ICD-10 | |
|---|---|
| T66 | Nicht näher bezeichnete Schäden durch Strahlung Radionekrose anderweitig nicht klassifiziert |
| ICD-10 online (WHO-Version 2019) | |

(B) Dieselbe Patientin nach der operativen Entfernung der Radionekrose

Als Strahlennekrose, auch Radionekrose genannt, bezeichnet man das durch die Einwirkung ionisierender Strahlung ausgelöste Absterben von Zellen eines Organismus. Radionekrosen sind die wichtigste und schwerwiegendste Komplikation radiochirurgischer Behandlungen, die meist erst Monate oder Jahre nach der Bestrahlung klinisch auffällig wird.[1]
Eine Sonderform ist die Osteoradionekrose. Diese Form der Knochennekrose kann ebenfalls nach einer Strahlentherapie auftreten und wird in einem gesonderten Artikel behandelt.
Beschreibung und klinisches Bild
Strahlennekrosen können im gesunden Gewebe nach einer lokalen Einwirkung ionisierender Strahlung entstehen. In den weitaus meisten Fällen erfolgt die Bestrahlung gezielt und dosiskontrolliert, beispielsweise im Rahmen einer Strahlentherapie. In der Radioonkologie ist die Strahlennekrose des Tumors beziehungsweise seiner Metastasen, die Tumornekrose, das primäre Ziel der Bestrahlung. Deshalb ist nicht jede Strahlennekrose eine Komplikation.[1][2] Der Begriff Strahlennekrose wird in der allgemeinen Fachsprache aber nur für strahleninduzierte Nekrosen im gesunden Gewebe verwendet.
Strahlennekrosen treten als iatrogene Gewebeschädigung speziell nach der Strahlentherapie zerebraler Tumoren (Hirntumoren) auf. Die durchschnittliche Latenzzeit beträgt hier 14 Monate nach der Bestrahlung.[3] Darüber hinaus sind Fälle bekannt, bei denen über 25 Jahre[4] zwischen der Strahlentherapie und den Symptomen der sich daraus entwickelnden Strahlennekrose vergingen.[5]
Die raumfordernde umschriebene Strahlennekrose der weißen Substanz (Substantia alba) führt zu fokal-neurologischen Defiziten, epileptischen Anfällen und pathologisch erhöhtem Hirndruck.[3] Die Strahlennekrosen erzeugen ein Perifokalödem.[1] Makrophagen, die prinzipiell in der Lage sind Nekrosen abzubauen, können nicht einwandern. Die am Ort der Nekrose vorhandenen Mikrogliazellen, die ebenfalls in der Lage sind Zellreste abgestorbener Zellen zu phagozytieren, wurden durch die Bestrahlung abgetötet. Hydrolytische Enzyme wurden durch die Bestrahlung deaktiviert. Sie weisen einen vergleichsweise großen „Wirkungsquerschnitt“ auf. In dem nekrotischen Areal finden sich teilweise stark aufgeweitete Blutgefäße, die eine Stauungshyperämie bewirken und zu einer Erythrodiapedese (Austritt von Erythrozyten aus Blutgefäßen in das Extravasat) führen können.[6]
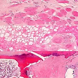
Pathologisch gesehen handelt es sich bei der Strahlennekrose um eine Koagulationsnekrose.[7]
Auch nach der Behandlung von arteriovenösen Malformationen (AVM) können Radionekrosen auftreten.[8] Darüber hinaus können Strahlennekrosen auch durch Strahlenunfälle hervorgerufen werden.[9][10]
Die genauen pathologischen Vorgänge, die zu einer Strahlennekrose und speziell zu den teilweise sehr langen Latenzzeiträumen führen, sind noch weitgehend unklar. Molekulare und zelluläre Mechanismen sind für die Entstehung verantwortlich. Zytokine, wie beispielsweise der Tumornekrosefaktor, und inflammatorische Genprodukte spielen dabei eine wesentliche Rolle.[11][12]
Inzidenz
Die genaue Häufigkeit von Strahlennekrosen ist nicht bekannt, da – speziell bei zerebralen Tumoren – ein Großteil der Patienten an der Krebserkrankung verstirbt, bevor sich eine Strahlennekrose ausbilden kann. Bei zerebralen Tumoren geht man von einer Häufigkeit von etwa 5 % aus, wenn die Patienten eine Dosis von 45 Gray und mehr erhalten haben.[3]
Das Risiko einer Strahlennekrose steigt mit der Dosis und der Größe des bestrahlten Gewebevolumens,[13] kann aber durch eine Fraktionierung, das ist das Verteilen der Gesamtstrahlungsdosis über mehrere Sitzungen, reduziert werden.[14] Über eine Formel kann das Risiko einer Radionekrose abgeschätzt werden.[13][15] Mit den erheblichen Fortschritten bei der Weiterentwicklung der Strahlentherapie ist die Inzidenz im Vergleich zu den Anfängen der Radiotherapie erheblich gesunken. Die modernen Bestrahlungstechniken schonen das gesunde Gewebe so gut wie möglich. Grundsätzlich besteht jedoch das Dilemma zwischen dem Schonen des gesunden Gewebes, zur Vermeidung einer Strahlennekrose, und einer möglichst großflächigen Bestrahlung des Gebietes um den Tumor, um ein Rezidiv zu vermeiden.
Bei zerebralen Tumoren oder Knochenmetastasen wird, aufgrund der meist sehr schlechten Prognose, das Risiko einer Radionekrose bewusst eingegangen.[3] Die genannten Läsionen sind zudem meist inoperabel (nicht zu operieren), so dass die Strahlentherapie die Ultima Ratio darstellt.[1] Bei gutartigen Erkrankungen, wie beispielsweise arteriovenösen Malformationen, ist das Nutzen-Risiko-Verhältnis deutlich ungünstiger.[3]
Diagnose
In der klinischen Praxis ist die Unterscheidung zwischen Tumorrezidiv, also dem erneuten Auftreten der Tumorerkrankung (meist durch unvollständige Entfernung des Tumors verursacht), und einer Strahlennekrose schwierig. Beide Erkrankungen treten am selben zu erwartenden Ort, das heißt in dem Bereich des zuvor entfernten Tumors und seiner unmittelbaren Umgebung, auf. Rezidiv und Strahlennekrose zeichnen sich beide durch Raumforderungen aus und die Latenzzeiten nach Tumorentfernung und Bestrahlung sind sich sehr ähnlich.[8]
Verschiedene bildgebende Verfahren können zur Differentialdiagnose eingesetzt werden. Mit der Magnetresonanzspektroskopie (MRS) können die im Gebiet der Strahlennekrose reduzierten Konzentrationen an N-Acetyl-Aspartat (NAA), Cholin und Kreatin, und der im Tumor(rezidiv) erhöhte Gehalt an Cholin die Unterscheidung ermöglichen.[8]
In der Computertomographie (CT) und in der Magnetresonanztomographie (MRT) erscheint eine Radionekrose meist als ringförmige, von einem Ödem umgebene Struktur, die ein gegebenenfalls appliziertes Kontrastmittel aufnimmt. Mit diesen beiden bildgebenden Verfahren lässt sich eine Radionekrose kaum von einem Rezidiv unterscheiden.[16][17][14]
Die Positronen-Emissions-Tomographie (PET) mit dem Radiotracer 18F-Fluordesoxyglucose (FDG) ist ein häufig verwendetes bildgebendes Verfahren zur Differenzierung zwischen Rezidiv und Strahlennekrose. Tumorzellen zeigen eine erhöhte Aufnahme an FDG (auch gegenüber dem gesunden Gewebe), während nekrotische Zellen kein FDG mehr benötigen. Die PET mit FDG hat allerdings ihre Limitierung in der Auflösung, die im Bereich mehrerer Millimeter liegt. Dadurch lässt sich ein umschriebenes Rezidiv in einem Bereich von relativ erniedrigtem Stoffwechsel (Hypometabolismus) nicht sicher nachweisen. Nur wenn sich das Rezidiv durch einen erhöhten Stoffwechsel (Hypermetabolismus) nachweisen lässt, ist die Differentialdiagnose eindeutig.[18][19] Entsprechend hoch ist daher die Sensitivität (81 bis 86 %) der FDG-PET zur Erkennung eines Tumorrezidivs, während die Spezifität mit 22 bis 40 % vergleichsweise gering ist.[20][21] Einige Formen der Radionekrose, so beispielsweise beim nicht-kleinzelligen Bronchialkarzinom (NSCLC) können im FDG-PET eine erhöhte FDG-Aufnahme zeigen.[22]
Einige Autoren empfehlen bei Gehirntumoren als bildgebendes Verfahren die Einzelphotonen-Emissionscomputertomographie (SPECT) mit 201Th-Thallium(I)-chlorid. Auch hier wird der Radiotracer vom malignen Tumor in stärkerem Maße aufgenommen.[23][8][24]
Die Unterschiede zwischen Th-201-SPECT und FDG-PET sind bezüglich Spezifität und Sensitivität vernachlässigbar klein.[21] Die FDG-PET hat sich in der Neuroonkologie als nichtinvasives Diagnoseverfahren der Wahl zur Differenzierung zwischen Tumorrezidiv und Strahlennekrose etabliert.[20][19] Bei zerebralen Tumoren bieten die beiden Radiotracer 18F-Fluorethyltyrosin und 18F-Fluorcholin gegenüber FDG einige Vorteile.[25] Auch 11C-Cholin scheint im Vergleich zu FDG eine höhere Selektivität und Sensitivität zu bieten.[26] Diese Radiotracer sind in der klinischen Praxis bisher allerdings kaum verbreitet.
Neben dem statistisch wahrscheinlichsten Fall eines Rezidivs sind für die Differentialdiagnose im Wesentlichen noch Metastasen und Abszesse und bei einer Krankengeschichte mit zerebralen Tumoren auch Multiple Sklerose in Betracht zu ziehen. Auch eine Fremdkörperreaktion nach einem operativen Eingriff kann ein ähnliches klinisches Bild wie eine Strahlennekrose bewirken.[8]
Größtmögliche diagnostische Sicherheit bietet eine Biopsie, bei der histologisch relativ leicht zwischen gutartigem nekrotischen und bösartigem Gewebe unterschieden werden kann.
Therapie

(A) Das Operationsgebiet. (B) Anlegen von zwei Thoraxdrainagen nach der chirurgischen Entfernung der Radionekrose. (C) und (D) Rekonstruktion der Thoraxwand mit einem doppellagigen Polypropylennetz. (E) Mobilisierung und Umlagerung eines körpereigenen Hautmuskellappens (autologe Transplantation von M. latissimus dorsi) auf der Thoraxwand. (F) Wundverschluss.[27]
Raumfordernde zerebrale Strahlennekrosen lassen sich mit hochdosierten Corticosteroiden, wie beispielsweise Dexamethason, gut behandeln.[3] Zugängliche und operable Radionekrosen können chirurgisch entfernt werden.[16]
Verlauf und Prognose
Unbehandelt entwickelt sich eine Strahlennekrose progredient und ist irreversibel. Im Fall einer Strahlennekrose im Gehirn kann das nekrotische Wachstum durch seinen Raumbedarf für den Patienten fatal werden. Bei jüngeren Patienten ist die Prognose schlechter als bei älteren.[8]
Weiterführende Literatur
- P. G. Morris, P. H. Gutin u. a.: Seizures and radionecrosis from non-small-cell lung cancer presenting as increased fluorodeoxyglucose uptake on positron emission tomography. In: Journal of Clinical Oncology. Band 29, Nr. 12, April 2011, S. e324–e326, ISSN 1527-7755. doi:10.1200/JCO.2010.33.0837. PMID 21263097.
- E. Maranzano, F. Trippa, F. Loreti: Tumor relapse or radionecrosis after radiosurgery: single-photon emission computed tomography for differential diagnosis. In regard to Blonigen u. a. Irradiated volume as a predictor of brain radionecrosis after linear accelerator stereotactic radiosurgery. (Int J Radiat Oncol Biol Phys 2010;77:996-1001). In: International Journal of Radiation Oncology – Biology – Physics. Band 78, Nr. 4, November 2010, S. 1279, ISSN 1879-355X. doi:10.1016/j.ijrobp.2010.07.026. PMID 20970034.
- O. Belohlávek, G. Simonová u. a.: Brain metastases after stereotactic radiosurgery using the Leksell gamma knife: can FDG PET help to differentiate radionecrosis from tumour progression? In: European journal of nuclear medicine and molecular imaging. Band 30, Nr. 1, Januar 2003, S. 96–100, ISSN 1619-7070. doi:10.1007/s00259-002-1011-2. PMID 12483415.
- L. S. Chin, L. Ma, S. DiBiase: Radiation necrosis following gamma knife surgery: a case-controlled comparison of treatment parameters and long-term clinical follow up. In: Journal of Neurosurgery. Band 94, Nr. 6, Juni 2001, S. 899–904, ISSN 0022-3085. doi:10.3171/jns.2001.94.6.0899. PMID 11409517.
- S. T. Chao, J. H. Suh u. a.: The sensitivity and specificity of FDG PET in distinguishing recurrent brain tumor from radionecrosis in patients treated with stereotactic radiosurgery. In: International Journal of Cancer. Band 96, Nr. 3, Juni 2001, S. 191–197, ISSN 0020-7136. PMID 11410888.
- T. Tashima, T. Morioka u. a.: Delayed cerebral radionecrosis with a high uptake of 11C-methionine on positron emission tomography and 201Tl-chloride on single-photon emission computed tomography. In: Neuroradiology. Band 40, Nr. 7, Juli 1998, S. 435–438, ISSN 0028-3940. PMID 9730342.
Weblinks
Einzelnachweise
- ↑ a b c d H. J. Schmoll, K. Höffken, K. Possinger: Kompendium internistische Onkologie. 4. Auflage. Springer, 2006, ISBN 3-540-20657-4, S. 570. (eingeschränkte Vorschau in der Google-Buchsuche)
- ↑ J. Debus, A. Pirzkall u. a.: Stereotaktische Einzeitbestrahlung (Radiochirurgie). In: Strahlentherapie und Onkologie. Band 175, 1999, S. 47–56.
- ↑ a b c d e f P. Berlit: Strahlenmyelopathie. In: P. Berlit (Hrsg.): Klinische Neurologie. 2. Auflage. Springer, 2006, ISBN 3-540-01982-0, S. 564–566. (eingeschränkte Vorschau in der Google-Buchsuche)
- ↑ P. J. Fitzgerald, R. J. Koch: Delayed radionecrosis of the larynx. In: American journal of otolaryngology. Band 20, Nr. 4, 1999 Jul-Aug, S. 245–249, ISSN 0196-0709. PMID 10442778. (Review).
- ↑ F. Bayrakli, A. Dinçer u. a.: Late brain stem radionecrosis seventeen years after fractionated radiotherapy. In: Turkish neurosurgery. Band 19, Nr. 2, April 2009, S. 182–185, ISSN 1019-5149. PMID 19431132.
- ↑ H. P. Schmitt: Allgemeine Pathologie des Nervensystems (APNS). ( vom 17. Dezember 2012 im Webarchiv archive.today) Ruprecht-Karls-Universität, Heidelberg, abgerufen am 1. Februar 2012.
- ↑ W. Paulus, M. Hasselblatt: Tumoren. In: G. Klöppel, H. H. Kreipe, W. Remmele (Hrsg.): Pathologie: Neuropathologie. 3. Ausgabe. Springer, 2011, ISBN 978-3-642-02323-1, S. 541. (eingeschränkte Vorschau in der Google-Buchsuche)
- ↑ a b c d e f J. Linn, M. Wiesmann, H. Brückmann: Atlas Klinische Neuroradiologie. Springer, 2011, ISBN 978-3-540-89568-8, S. 447–448. (eingeschränkte Vorschau in der Google-Buchsuche)
- ↑ A. Ziegler: Strahlenunfall. 3. Auflage; ISBN 3-85175-734-3. In: Notfallmedizin – Leitfaden für Notärzte. Deutsche Gesellschaft für Katastrophenmedizin e. V., 1999, archiviert vom (nicht mehr online verfügbar) am 11. Oktober 2016; abgerufen am 6. März 2023.
- ↑ U. Weickhardt, J. Meier: Der Strahlenunfall. (PDF; 1,2 MB) Informationsschrift zur Behandlung von Strahlenverletzten, S. 10. In: www.sapros.ch. Suva, Juli 2001, ehemals im (nicht mehr online verfügbar); abgerufen am 6. März 2023. (Seite nicht mehr abrufbar. Suche in Webarchiven)
- ↑ Y. Yoshii: Pathological review of late cerebral radionecrosis. In: Brain tumor pathology. Band 25, Nr. 2, 2008, S. 51–58, ISSN 1433-7398. doi:10.1007/s10014-008-0233-9. PMID 18987829.
- ↑ J. L. Daigle, J. H. Hong u. a.: The role of tumor necrosis factor signaling pathways in the response of murine brain to irradiation. In: Cancer Research. Band 61, Nr. 24, Dezember 2001, S. 8859–8865, ISSN 0008-5472. PMID 11751409.
- ↑ a b J. C. Flickinger, M. C. Schell, D. A. Larson: Estimation of complications for linear accelerator radiosurgery with the integrated logistic formula. In: International journal of radiation oncology, biology, physics. Band 19, Nr. 1, Juli 1990, S. 143–148, ISSN 0360-3016. PMID 2199419.
- ↑ a b P. Wolf: Überlebenszeit und Einflußfaktoren auf das Überleben bei Patienten mit zerebralen Metastasen nach Behandlung mit Stereotaktischer Bestrahlung alleine vs. Stereotaktische Bestrahlung in Kombination mit Ganzhirnbestrahlung. (PDF; 1,3 MB) Dissertation, Ludwig-Maximilians-Universität München, 2010.
- ↑ B. J. Blonigen, R. D. Steinmetz u. a.: Irradiated volume as a predictor of brain radionecrosis after linear accelerator stereotactic radiosurgery. In: International journal of radiation oncology, biology, physics. Band 77, Nr. 4, Juli 2010, S. 996–1001, ISSN 1879-355X. doi:10.1016/j.ijrobp.2009.06.006. PMID 19783374.
- ↑ a b R. Engenhart, B. Wowra u. a.: Stereotaktische Konvergenzbestrahlung: Aktuelle Perspektiven auf der Grundlage klinischer Ergebnisse. In: Strahlentherapie und Onkologie. Band 168, 1992, S. 245–259.
- ↑ G. Di Chiro, E. Oldfield u. a.: Cerebral necrosis after radiotherapy and/or intraarterial chemotherapy for brain tumors: PET and neuropathologic studies. In: American Journal of Roentgenology. Band 150, Nr. 1, Januar 1988, S. 189–197, ISSN 0361-803X. PMID 3257119.
- ↑ U. Roelcke, K. L. Leenders: PET in der klinischen Neuro-Onkologie. Onkologe. Band 4, Nr. 7, 1998, S. 595–598. doi:10.1007/s007610050242
- ↑ a b M. J. Glantz, J. M. Hoffman u. a.: Identification of early recurrence of primary central nervous system tumors by [18F]fluorodeoxyglucose positron emission tomography. In: Annals of Neurology. Band 29, Nr. 4, April 1991, S. 347–355, ISSN 0364-5134. doi:10.1002/ana.410290403. PMID 1929205.
- ↑ a b G. Koch: Bildmorphologische Parameter präoperativer MR-Tomogramme und Überlebenszeit von Patienten mit malignen Gliomen. Dissertation, FU Berlin, 2007, S. 16.
- ↑ a b D. Kahn, K. A. Follett, D. L. Bushnell, M. A. Nathan, J. G. Piper, M. Madsen, P. T. Kirchner: Diagnosis of recurrent brain tumor: value of 201Tl SPECT vs 18F-fluorodeoxyglucose PET. In: AJR. Band 163, Nr. 6, Dezember 1994, S. 1459–1465, ISSN 0361-803X. PMID 7992747.
- ↑ P. G. Morris, P. H. Gutin u. a.: Seizures and radionecrosis from non-small-cell lung cancer presenting as increased fluorodeoxyglucose uptake on positron emission tomography. In: Journal of Clinical Oncology. Band 29, Nr. 12, April 2011, S. e324–e326, ISSN 1527-7755. doi:10.1200/JCO.2010.33.0837. PMID 21263097.
- ↑ M. Stokkel, H. Stevens u. a.: Differentiation between recurrent brain tumour and post-radiation necrosis: the value of 201Tl SPET versus 18F-FDG PET using a dual-headed coincidence camera–a pilot study. In: Nuclear medicine communications. Band 20, Nr. 5, Mai 1999, S. 411–417, ISSN 0143-3636. PMID 10404525.
- ↑ C. T. Wang, Y. H. Young: Potential usefulness of Tl-201 SPECT for differentiating radionecrosis in an irradiated nasopharyngeal carcinoma patient. In: European archives of oto-rhino-laryngology. Band 263, Nr. 2, Februar 2006, S. 135–138, ISSN 0937-4477. doi:10.1007/s00405-005-0964-8. PMID 16003552.
- ↑ N. Spaeth, M. T. Wyss u. a.: Uptake of 18F-fluorocholine, 18F-fluoroethyl-L-tyrosine, and 18F-FDG in acute cerebral radiation injury in the rat: implications for separation of radiation necrosis from tumor recurrence. In: Journal of nuclear medicine. Band 45, Nr. 11, November 2004, S. 1931–1938, ISSN 0161-5505. PMID 15534065.
- ↑ H. Tan, L. Chen u. a.: Comparison of MRI, F-18 FDG, and 11C-choline PET/CT for their potentials in differentiating brain tumor recurrence from brain tumor necrosis following radiotherapy. In: Clinical Nuclear Medicine. Band 36, Nr. 11, November 2011, S. 978–981, ISSN 1536-0229. doi:10.1097/RLU.0b013e31822f68a6. PMID 21975383.
- ↑ H. Gerullis, C. J. Heuck, P. Schneider: Breast pseudotumoral radionecrosis as a late radiation-induced injury: a case report. In: Journal of medical case reports. Band 3, 2009, S. 71, ISSN 1752-1947. doi:10.1186/1752-1947-3-71. PMID 19946547. PMC 2783070 (freier Volltext).