Pseudozyanose

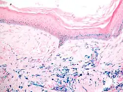
Histologie eines Hautbioptates bei Pseudozyanose: Ablagerungen eisenhaltigen Pigmentes in Dermis und basalen Epidermislagen (Berliner-Blau-Reaktion).

Unter einer Pseudozyanose versteht man eine bläuliche oder grau-bläuliche Verfärbung der Haut und/oder der Schleimhäute, die im Gegensatz zur Zyanose nicht auf einen verminderten Sauerstoffgehalt des Blutes (Hypoxämie) oder eine verminderte Durchblutung, sondern meist auf Pigmentablagerungen zurückgeht. Ursächlich infrage kommen Medikamentennebenwirkungen oder die Aufnahme bestimmter Metalle und Metallverbindungen. Darüber hinaus können einige Erkrankungen zum Bild einer Pseudozyanose führen. Eine Pseudozyanose ist immer dann wahrscheinlich, wenn eine Herz-Kreislauf-Erkrankung als Ursache auszuschließen ist und die Veränderung auf Fingerdruck nicht abblasst.[1]

Als Pseudozyanose werden gelegentlich auch die dunkelrötlichen Hautveränderungen bei einer Polycythaemia vera bezeichnet.[2]

Medikamentös induzierte Pseudozyanose

Amiodaron

Nach langfristiger Einnahme des zur Behandlung von Herzrhythmusstörungen eingesetzten Medikamentes Amiodaron wird häufiger eine Photosensibilisierung der Haut und selten eine blau-graue Pigmentierung beobachtet. Nach gängiger Lehrmeinung ist hierfür eine lichtinduzierte Bildung von Lipofuszin in dermalen Makrophagen verantwortlich, die sich nach Absetzen der Medikation wieder langsam zurückbildet. In einer neueren Studie konnte allerdings keine Lipofuszin, sondern intradermale Ablagerungen des Medikaments selbst nachgewiesen werden.[3]

Minocyclin

Auch das häufig in der Akne-Therapie eingesetzte Antibiotikum Minocyclin aus der Gruppe der Tetracycline kann bei längerfristiger Anwendung zu einer abnormen Pigmentierung führen. Im Bereich der Haut werden drei Formen unterschieden. Beim Typ I kommt es zu einer blauschwarzen oder grauen Pigmentierung des Gesichts, speziell in Arealen, in denen eine Akne-bedingte Vernarbung oder Entzündung vorliegt. Typ II manifestiert sich an der Haut von Schienbeinen oder Unterarmen als blau-graue Pigmentierung. Eine diffuse schmutzig-braune Verfärbung in sonnenexponierten Arealen wird beim Typ III beobachtet. Das extrazellulär in der Dermis und in dermalen Makrophagen abgelagerte Pigment der Typen I und II zeigt eine Positivität im histochemischen Eisennachweis (Berliner-Blau-Färbung), erweist sich immunhistochemisch aber auch als Melanin-positiv. Beim Typ III zeigt sich eine Melanin-positive Pigmentierung in basalen Keratinozyten sowie in dermalen Makrophagen. Die pathobiochemischen Ursachen der Pigmentierung sind unbekannt, möglicherweise spielen polymerisierte Metabolite oder unlösliche Chelationsprodukte des Medikaments eine Rolle. Die Pigmentierung bei den Typen I und II sind rückbildungsfähig, beim Typ III irreversibel.[4]

Chlorpromazin und Thioridazin

Das in der Therapie der Schizophrenie sowie bipolarer affektiver Störungen eingesetzte Neuroleptikum und Phenothiazin-Derivat Chlorpromazin kann offenbar bereits nach kurzfristiger Einnahme zu abnormen Pigmentierungserscheinungen im Sinne einer Pseudozyanose führen. Diese betrifft bei chronischer Therapie 1–3 % der hospitalisierten Patienten und manifestiert sich in sonnenexponierten Hautarealen. Zur Reversibilität der Veränderungen finden sich in der Literatur widersprüchliche Angaben.[5] Der Pigmentierung zugrunde liegt vermutlich eine Bindung des Medikaments an Phäomelanin und einer prolongierten Retention in pigmentierten Zellen der Haut.[6] Auch für das Phenothiazin-Derivat Thioridazin ist die Nebenwirkung einer lokalisierten verstärkten Hautpigmentierung beschrieben.[7]

Imipramin und Clomipramin

Eine unerwünschte Nebenwirkung des trizyklischen Antidepressivums Imipramin ist die Hyperpigmentierung sonnenexponierter Hautareale durch Ablagerungen eines goldbraunen, granulären Pigmentes in der oberflächlichen Dermis. Ätiologisch zugrunde liegt vermutlich die Deposition eines Komplexes aus einem Imipraminmetaboliten mit Melanin.[8] Entsprechend zeigt das Pigment eine starke Positivität in der Fontana-Masson-Färbung, während der Eisennachweis negativ ausfällt.[9] Ähnliche Veränderungen werden auch als Nebenwirkung der Einnahme des trizyklischen Antidepressivums Clomipramin beschrieben.[10]

Chloroquin und Hydroxychloroquin

Abnorme blauschwarze Pigmentierungen der Haut werden im Zusammenhang mit einer Therapie mit dem Antimalariamittel Chloroquin gesehen. Die chemische Zusammensetzung des innerhalb der Dermis verteilten Pigmentes ist hierbei nicht vollständig geklärt. Histochemisch besteht eine Positivität in der Eisenfärbung, der Versilberung und der Mallory-Färbung.[11] Auch das Derivat Hydroxychloroquin kann bei langfristiger Anwendung zur Ablagerung eines grobgranulären gelbbraunen Pigmentes in der oberflächlichen Dermis führen, das teilweise in der Fontana-Masson-Färbung, jedoch nicht in der Eisenfärbung (nach Perl) darstellbar ist. Sowohl für Chloroquin wie auch Hydroxychloroquin wird angenommen, dass die Substanzen sich mit Melanin verbinden.[12]

Clofazimin

Clofazimin ist ein roter Phenazin-Farbstoff, der in der Therapie des Rhinoskleroms, des Lupus erythematodes, der Lepra und anderen mykobakteriellen Infektionen eingesetzt wird. Regelmäßig entwickeln die behandelten Patienten eine rötliche Haut- und Bindehautverfärbung, die bei chronischer Anwendung in eine violett-bräunliche Tönung übergeht. Histologisch finden sich Ablagerungen des Medikamentes in Makrophagen sowie langfristig eine verstärkte epidermale Melaninpigmentierung sowie Lipofuszindeposite. Die Veränderungen sind nach Absetzen des Medikamentes reversibel.[13]

Pseudozyanose durch Metalle und Metallverbindungen

Silber

Progressive blaugraue Verfärbungen der Haut werden nach chronischer Aufnahme von Silberverbindungen (z. B. Silbernitrat, Silberiodid) bzw. kolloidalem Silber beobachtet. Man unterscheidet generalisierte (Argyrie) und lokalisierte (Argyrose) Formen. Bevorzugt sind auch hier lichtexponierte Hautareale betroffen. Lichtmikroskopisch zeigen sich kleine rundliche, braunschwarze granulierte Ablagerungen im Bereich der Basalmembran des Haarfollikelepithels.[14]

Gold

Goldverbindungen werden unter anderem in der Therapie der rheumatoiden Arthritis eingesetzt (Chrysotherapie). Bei chronischer Einnahme kann es zu Ablagerungen von Gold in Form von braunschwarzem Pigment in dermalen Makrophagen kommen.[15]

Pseudozyanose als Krankheitssymptom

Hämochromatose

Bei der Hämochromatose handelt es sich um eine häufige genetische Erkrankung die mit einer pathologisch hohen intestinalen Eisenaufnahme einhergeht und zur Ablagerung von Eisen in parenchymatösen Organen wie auch in der Haut führen kann.[16]

Morbus Addison

Die primäre Nebennierenrindeninsuffizienz (Morbus Addison) kann durch eine vermehrte Sekretion der Hypophysenhormone MSH (Melanozyten-stimulierendes Hormon) und ACTH (adrenokortikotropes Hormon) zu einer langsam einsetzenden, progredienten generalisierten Hyperpigmentierung der Haut führen.[17]

Malignes Melanom

In seltenen Fällen kann ein klinisch unerkanntes malignes Melanom zu einer diffusen schiefergrauen Pigmentierung (Melanose) der Haut führen, die als Zyanose missgedeutet werden kann. Die Pigmentierung ist hierbei ein sekundäres Phänomen, das auf das Vorhandensein von Melaninmetaboliten in der Zirkulation und in dermalen Makrophagen zurückgeht oder auf einer diffusen Einzelzellmetastasierung beruht.[18]

Neonatale Pseudozyanose

Selten kann bei Neugeborenen eine blau-graue Verfärbung der Haut gesehen werden, die wahrscheinlich im Zusammenhang mit vorgeburtlichen Kontusionen, etwa bei einem disproportionalen Verhältnis der Körpergröße des Fetus und des mütterlichen Beckens, stehen kann. Zugrunde liegen hierbei nach Blutungen auftretende Hämosiderinablagerungen innerhalb der Haut.[19]

Ungewöhnliche Formen der Pseudozyanose

Lebensmittelfarbe

Ein Fallbericht beschreibt das Auftreten einer Pseudozyanose nach exzessiver Aufnahme blauer Lebensmittelfarbe (Brillantblau FCF). Die Aufnahme des synthetischen Farbstoffes erfolgte hierbei im Rahmen einer künstlichen Ernährung, wobei die Substanz der Sondennahrung zugesetzt wurde, um eine mögliche Aspiration von Mageninhalt besser erkennen zu können.[20]

Textilfarbe

Plötzliche bläuliche Hautverfärbungen durch Textilfarbe sind in einer Reihe von Fallberichten dokumentiert. Die Veränderungen werden klinisch initial nicht selten als echte Zyanose missgedeutet. Anamnestische Angaben und das häufig mögliche Abwaschen der Farbe führen hier letztendlich meist zur richtigen Diagnose.[21][22]

Haarfärbemittel

Ein Einzelfallbericht beschreibt eine pseudozyanotische Verfärbung der Hände nach Anwendung einer Haartönung. Bei der Patientin handelte es sich um eine ältere Frau, die sich gewohnheitsmäßig am Kopf kratzte.[23]

Infektiöse Pseudochromhidrose

Hierunter versteht man eine seltene Erkrankung, bei der es zu einer Farbveränderung der Haut durch die Absonderung pigmenthaltigen Schweißes kommt. Ursächlich zugrunde liegt eine Vermehrung pigmentproduzierender Bakterien wie Bacillus spp. (blaue Farbe) oder Pseudomonas aeruginosa (blaugrüne Farbe).[24]

Einzelnachweise

  1. A. Baernstein, K. M. Smith, J. G. Elmore: Singing the blues: is it really cyanosis? In: Respir Care., 53(8), Aug 2008, S. 1081–1084. PMID 18655745
  2. Peter Reuter: Springer Lexikon Medizin. Springer, Berlin u. a. 2004, ISBN 3-540-20412-1.
  3. A. Ammoury, S. Michaud, C. Paul, C. Prost-Squarcioni, F. Alvarez, L. Lamant, F. Launay, J. Bazex, N. Chouini-Lalanne, M. C. Marguery: Photodistribution of blue-gray hyperpigmentation after amiodarone treatment: molecular characterization of amiodarone in the skin. In: Arch Dermatol., 144(1), Jan 2008, S. 92–96. PMID 18209173
  4. A. N. Geria, A. L. Tajirian, G. Kihiczak, R. A. Schwartz: Minocycline-induced skin pigmentation: an update. In: Acta Dermatovenerol Croat., 17(2), 2009, S. 123–126. PMID 19595269.
  5. S. Loganathan: Chlorpromazine-induced skin pigmentation with short-term use in a patient with bipolar disorder: a case report. In: Prim Care Companion J Clin Psychiatry., 9(4), 2007, S. 316–317. PMID 17934561
  6. U. Mårs, B. S. Larsson: Pheomelanin as a binding site for drugs and chemicals. In: Pigment Cell Res., 12(4), Aug 1999, S. 266–274. PMID 10454295
  7. H. Berger: Pigmentation after thioridazine. In: Arch Dermatol., 100(4), 1969, S. 487. PMID 5358114
  8. M. E. Ming, J. Bhawan, C. M. Stefanato, T. H. McCalmont, L. M. Cohen: Imipramine-induced hyperpigmentation: four cases and a review of the literature. In: J Am Acad Dermatol. 40(2 Pt 1), Feb 1999, S. 159–166. PMID 10025739
  9. M. L. D’Agostino, J. Risser, L. Robinson-Bostom: Imipramine-induced hyperpigmentation: a case report and review of the literature. In: J Cutan Pathol. 36(7), Jul 2009, S. 799–803. PMID 19519613
  10. Z. Tunca, M. I. Tunca, A. Dilsiz, U. Bayol, M. Hancioğlu: Clomipramine-induced pseudocyanotic pigmentation. In: Am J Psychiatry., 146(4), Apr 1989, S. 552–553.
  11. P. Marriott, P. F. Borrie: Pigmentary changes following chloroquine. In: Proc R Soc Med. 68(8), Aug 1975, S. 535–536.
  12. P. K. Puri, N. I. Lountzis, W. Tyler, T. Ferringer: Hydroxychloroquine-induced hyperpigmentation: the staining pattern. In: J Cutan Pathol., 35(12), Dec 2008, S. 1134–1137. PMID 18727667
  13. C. K. Job, L. Yoder, R. R. Jacobson, R. C. Hastings: Skin pigmentation from clofazimine therapy in leprosy patients: a reappraisal. In: J Am Acad Dermatol., Aug 23(2 Pt 1), 1990, S. 236–241. PMID 2145325
  14. Y. Kim, H. S. Suh, H. J. Cha, S. H. Kim, K. S. Jeong, D. H. Kim: A case of generalized argyria after ingestion of colloidal silver solution. In: Am J Ind Med., 52(3), Mar 2009, S. 246–250. doi:10.1002/ajim.20670
  15. C. E. Keen, K. Brady, N. Kirkham, D. A. Levison: Gold in the dermis following chrysotherapy: histopathology and microanalysis. In: Histopathology. 23(4), Okt 1993, S. 355–360. PMID 7905458
  16. J. K. Limdi, J. R. Crampton: Hereditary haemochromatosis. In: QJM, 97(6), Jun 2004, S. 315–324. PMID 15152104
  17. R. Kumar, S. Kumari, P. K. Ranabijuli: Generalized pigmentation due to Addison disease. In: Dermatol Online J., 14(2), 28. Feb 2008, S. 13. PMID 18700116
  18. M. V. Klaus, F. Shah: Generalized melanosis caused by melanoma of the rectum. In: J Am Acad Dermatol., 35(2 Pt 2), Aug 1996, S. 295–297. PMID 8698909
  19. M. Nelson: Letter: Pseudocyanosis neonatorum. In: Br Med J., 2(5970), 7. Jun 1975, S. 561. PMID 1148716
  20. A. J. Zillich, R. J. Kuhn, T. J. Petersen: Skin discoloration with blue food coloring. In: Ann Pharmacother., 34(7-8), Jul-Aug 2000, S. 868–870.
  21. T. Breithardt, M. Namdar, B. Hess: Der "blaue" Mann. In: `Schweiz Med Forum., 6, 2006, S. 612.
  22. Stenberg Åsa. Plötslig blåfärgning av huden – ett oroande symtom. In: Läkartidningen, 48, 2001, S. 5521. Volltext. (Memento vom 27. März 2014 im Internet Archive; PDF; 50 kB)
  23. N. G. Gold: Points from letters: Pseudocyanosis. In: Br Med J., 3, 1974, S. 119.
  24. C. A. Ingvaldsen, T. M. Leegaard, G. Kravdal, C. Mørk: Infectious Pseudochromhidrosis: A Case Report and Literature Review. In: Acta Derm Venereol., 14. Oktober 2019; PMID 31612235