Meniskus (Anatomie)

Aufbau des Kniegelenks
Menisken des Kniegelenks des Menschen

Als Meniskus (Plural: Menisken, latinisiert meniscus/menisci; von altgriechisch μηνίσκος mēnískos, deutsch ‚mondförmiger Körper‘ ‚Möndchen‘, Verkleinerungsform von mḗnē ‚Mond‘) bezeichnet man in der Anatomie einen scheibenförmigen (im Knie halbmondförmigen) Knorpel in einem Gelenk. Im Gegensatz zu einem Diskus teilt ein Meniskus die Gelenkhöhle nur unvollständig. Bei Säugetieren gibt es im Kniegelenk zwei große Menisken sowie in anderen Gelenken (z. B. Interphalangealgelenk) zahlreiche kleinere Menisken, die sich häufig von der Kapsel ableiten und in das Gelenk hineinragen. Auch bei Vögeln kommen Menisken im Kniegelenk und in anderen Gelenken vor (Speichen-Ellen-Gelenk, Handgelenk, Wirbelsäule).

Funktion

Im Kniegelenk gibt es einen Innenmeniskus (Meniscus medialis) und einen Außenmeniskus (Meniscus lateralis) zwischen den Gelenkflächen von Oberschenkelknochen (Femur) und Schienbein (Tibia). Labormessungen wie auch Berechnungen (FEM) unterstreichen die Bedeutung der Kniegelenkmenisken bei der (Druck-)Kraftübertragung zwischen den beiden Gelenkflächen.[1] Die Menisken bestehen zu etwa 90 % aus Kollagenfasern (TYP II), die Zugspannungen aufnehmen können. Scher- und Zugkräfte wirken vor allem in der Nähe der Vorderhörner und der Hinterhörner, welche über kurze Bänder anterior (vorne) bzw. posterior (hinten) am Tibiaplateau verankert sind. Zusätzliche Zugbeanspruchungen treten bei einer Verformung der Menisken auf, zum Beispiel bei Kniebeugen. Darüber hinaus ist es aufgrund der Form der Menisken sehr wahrscheinlich, dass sie auch für eine bessere Verteilung der Gelenksflüssigkeit auf den Gelenkknorpeln sorgen, was für deren Ernährung bedeutsam ist und zur Reibungsminderung beiträgt (Schmierung).

Dass bei Menschen mit einem operativ entfernten Meniskus das Risiko einer frühzeitigen Arthrose erheblich ansteigt, ist seit 1948 bekannt und heute allgemein anerkannt.[2] Infolge Beweglichkeit und Verformbarkeit der Menisken, vor allem der Außenmenisken, wird die artikulierende Fläche auf dem Schienbeinplateau und die Kontaktfläche für den Kopf des Oberschenkelknochens vergrößert. Durch die Gelenkform (bicondyläres Gelenk) des Knies sind hier zusätzlich zu reinen Beuge- und Streckbewegungen auch Verschiebungen (Translationen) nach vorne und hinten möglich sowie eine Rotation um wenige Grad, wie sie als sogenannte Schlussrotation bei vollständiger Streckung im intakten Kniegelenk erzwungen wird. Die Gelenkflächen des Schienbeinplateaus wären ohne die Menisken dafür nicht geeignet, bzw. sie sind nach deren Entfernung einem erhöhten Verschleiß ausgesetzt.

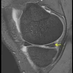
Schäden am Meniskusapparat

Riss im Innenmeniskus-Hinterhorn (siehe Pfeil, Ansicht von der Seite). Das Vorderhorn ist intakt

Von Verletzungen der Menisken sind meist Sportler betroffen oder Menschen, deren Tätigkeit die Knie überbeansprucht, so zum Beispiel Fliesenleger. Besondere Risikosportarten für Meniskusverletzungen sind unter anderem Fußball, Fechten, Tennis, Handball, Skifahren, Snowboard, Wakeboard, Wakeskate, Wasserski, Squash, Badminton, Basketball, Diskuswurf, Speerwurf, Skateboarding, Rugby, Karate, Turnen, Trampolin, Volleyball und Radsport (unfallbedingt). Eine Meniskusverletzung erfolgt meist bei einer schnellen Drehung (~ Rotation von Schienbein und Oberschenkelbein um die Längsachse) des Kniegelenkes sowie beim schnellen Beugen oder Strecken (~ Bewegung um die Querachse). Der freie Meniskusrand gerät bei diesen Bewegungen zwischen die Gelenkkörper und reißt dabei teilweise (z. B. als Korbhenkelriss) ein oder ganz ab.

Scheibenmeniskus

Der Scheibenmeniskus ist eine angeborene Fehlbildung der Kniegelenksmenisken. Sie kann zu einem Schnapp-Phänomen und zu Schmerzen führen, die typischerweise mit dem sechsten bis achten Lebensjahr beginnen.

Meniskusquetschung

Die harmlose Variante einer Meniskusläsion (Verletzung) bezeichnet man als Meniskusquetschung. Hier genügt eine konservative Behandlung und eine Sportpause von etwa drei Wochen. Operativ kann hier ein Entlastungsschnitt in einigen Fällen die Heilung unterstützen.

Meniskusruptur

Anders sieht es bei einem Meniskusriss (Meniskusruptur) aus. Innenmeniskusverletzungen (also des Meniscus medialis) sind wesentlich häufiger als die des Außenmeniskus. Die Risse werden nach ihrer Verlaufsrichtung in Längsriss, Radiärriss oder Schrägrisse (Lappenriss) eingeteilt. Bezüglich der Raumebene unterscheidet man Vertikalrisse und Horizontalrisse. Sonderformen sind komplexe Risse, der Korbhenkelriss und ein „flipped meniscus“.[3] Die Diagnose erfolgt durch klinische Untersuchung, Kernspintomographie und Arthroskopie (Gelenkspiegelung).

Ein Korbhenkelriss ist die Bezeichnung für einen parallel zu der Hauptrichtung der Fasern verlaufenden Meniskusriss. Der Meniskus wird dabei entlang seines Verlaufes längs gespalten, das vordere und hintere Ende des Fragmentes behält weiterhin Verbindung zum Rest des Meniskus. Der freie Rand wandert in den Gelenkspalt, verursacht akute Schmerzen und kann die Gelenkbewegung ganz unerwartet blockieren.

Korbhenkelriss, Ansicht von vorne; große Anteile des Außenmeniskus (rot) sind nach innen in das Gelenk verlagert, Innenmeniskus (grün) noch intakt

Degenerative Veränderungen

Genauso, wie die Knorpelfläche eines Gelenkes sich im Laufe der Zeit degenerativ verändert, verschleißen auch die Menisken. Unter Last wird das Meniskusgewebe ausgewalzt, wird immer dünner, bis es schließlich zerreißt. Diese Veränderungen werden zusammenfassend als Meniscopathie bezeichnet und sind ein Teil des Geschehens bei der Entwicklung einer Arthrose. Bei Unfallverletzungen, die als Arbeitsunfall gelten sollen, ist die histologische Untersuchung des Meniskusgewebes von entscheidender Bedeutung für die Anerkennung eines Unfallzusammenhanges. Weitere degenerative Veränderungen können auch durch einen Eversionswinkel ungleich null Grad verursacht werden.

Literatur

  • R. Becker, C. Schaller: Bildatlas Meniskuschirurgie: Grundlagen, Technik. Anwendung. KVM Verlag, 2015, ISBN 978-3-940698-99-5.
  • P. Fehrmann, J. Mockenhaupt: Theoretische und experimentelle Analysen zur Bedeutung des intakten und des geschädigten Meniskus für die statische Beanspruchung des Kniegelenks. In: Unfallchirurgie. Band 17, Nummer 4, Juli 1991, S. 187–193. PMID 1949353
  • T. J. Fairbank: Knee joint changes after meniscectomy. In: J Bone Joint Surg Am. Band 30, Nr. 4, 1948, S. 664–670. PMID 18894618, (online)
  • M. Englund u. a.: Incidental meniscal findings on knee MRI in middle-aged and elderly persons. In: N Engl J Med. Band 359, Nr. 11, 2008, S. 1108–1115. PMID 18784100
  • M. Lengsfeld u. a.: Zur Bedeutung von Formunterschieden zwischen medialem und lateralem Kniegelenkmeniskus für funktionelle Lageveränderungen. In: Unfallchirurgie. 17, Nov 1991, S. 309–315 (Nr. 6)

Einzelnachweise

  1. P. Fehrmann, J. Mockenhaupt: Theoretische und experimentelle Analysen zur Bedeutung des intakten und des geschädigten Meniskus für die statische Beanspruchung des Kniegelenks. In: Unfallchirurgie. Band 17, Juli 1991, S. 187–193.
  2. T. J. Fairbank: Knee joint changes after meniscectomy. In: J Bone Joint Surg Br. London 1948.
  3. Meniscus-Update. S. Waldt in Radiologie up2date 4/2013, S. 285.