Lipokalzinogranulomatose

Die Lipokalzinogranulomatose ist eine sehr seltene Erkrankung mit den Hauptmerkmalen subkutaner Kalkeinlagerungen in der Nähe großer Gelenke.[1][2]
Synonyme sind: Lipokalzinogranulomatose Teutschlaender; Lip(o)idcalcinosis progrediens; tumoröse Kalzinose; Teutschländer-Syndrom; lateinisch Calcinosis universalis; Lipocalcinogranulomatosis; Lipoidcalcinosis progrediens; calcinosis-dystrophica-disseminierte; calcinosis lipogranulomatosa progrediens, lipocalcinosis progrediens; englisch tumoral calcinosis; lipoid calcium gout; Teutschländer's syndrome
Die Erstbeschreibung stammt aus dem Jahre 1935 durch Otto Teutschländer.[3]
Verbreitung
Die Häufigkeit ist nicht bekannt, bislang wurde über mehr als 200 Betroffene berichtet. Es wird ein – zumindest teilweiser – autosomal-dominanter Erbgang angenommen.[4] Überwiegend sind Afrikaner betroffen, es soll regionale Häufungen geben.[2] Frauen sind häufiger betroffen.[5]
Ursache
Es wird eine gutartige (erbliche) Störung des Calcium- und Phosphathaushaltes angenommen.[4]
Klinische Erscheinungen
Klinische Kriterien sind:[4][5][2]
- Manifestation besonders im 1. und 2. Lebensjahrzehnt
- ausgeprägte Kalkeinlagerungen im Bindegewebe dermal und subkutan sowie in der Muskulatur ohne Vorschädigung
- bei fortschreitender begleitender Entzündungsreaktion kann es zur Perforation mit Austreten von milchig-kalziumhaltiger bis eitriger Substanzen (Lipokalzinogranulomatose) kommen
- an mehreren Stellen meist in Gelenknähe oder von Schleimbeuteln ausgehend
- eventuell vorausgehende Exantheme
- es entwickeln sich schnell wachsende verkalkende Bindegewebstumoren
- nach der Pubertät Tendenz zur Besserung
Ferner kann eine Gingivitis, Heiserkeit oder Kalkstreifen in der Retina, eventuell auch in den großen Gefäßen auftreten.
Diagnose
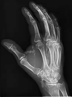
Die Ausscheidung von Calcium ist vermindert, im Blutserum finden sich erhöhte Cholecalciferolwerte bei normalen Calciumwerten. Eine Hyperphosphatämie kann, muss aber nicht vorliegen.[2][5] Der Nachweis der Verkalkungen kann bildgebend erfolgen, am deutlichsten auf dem Röntgenbild.[6]
Differentialdiagnose
- Chronisches Nierenversagen
- Dermatomyositis
- Fibrodysplasia ossificans progressiva
- Fibröse Dysplasie
- Gicht
- Hyperparathyreoidismus
- Hypervitaminose D
- Milch-Alkali-Syndrom
- Pseudoxanthoma elasticum
- Sarkoidose
- Thibièrge-Weissenbach-Syndrom
- Systemische Sklerose
Therapie
Eine zielgerichtete Behandlung ist nicht bekannt. Ausgeprägte Entzündungsreaktionen können mit Glucocorticoiden eingedämmt, schmerzhafte Läsionen operativ entfernt werden.[5]
Verlauf
Der Verlauf ist üblicherweise chronisch, Sekundärinfektionen können zum Tode führen.[5]
Literatur
- P. Binnani, V. Aggarwal, M. M. Bahadur, N. Fulara: Tumoral calcinosis (Teutschlander disease) in a dialysis patient. In: Indian journal of nephrology. Band 18, Nummer 3, Juli 2008, S. 122–124, doi:10.4103/0971-4065.43692, PMID 20142918, PMC 2813132 (freier Volltext).
- M. H. Baums, H. M. Klinger, S. Otte: Morbus Teutschländer – a massive soft-tissue calcification of the foot in a patient on long-term hemodialysis. In: Archives of orthopaedic and trauma surgery. Band 123, Nummer 1, Februar 2003, S. 51–53, doi:10.1007/s00402-002-0447-y, PMID 12582798.
- F. Kuchenbauer, P. Biberthaler, H. Stöger, W. Mutschler: [Teutschländer disease. A rare benign differential diagnosis in proliferating space-occupying lesions of soft tissues]. In: Der Unfallchirurg. Band 105, Nummer 6, Juni 2002, S. 572–575, doi:10.1007/s00113-001-0397-9, PMID 12132199. !!
Einzelnachweise
- ↑ Enzyklopädie Dermatologie
- ↑ a b c d e R. Witkowski, O. Prokop, E. Ullrich: In: Lexikon der Syndrome und Fehlbildungen: Ursachen, Genetik und Risiken, S. 676, 1995, ISBN 978-3-642-97629-2, Online ISBN 978-3-642-97628-5 doi:10.1007/978-3-642-97628-5_24
- ↑ O. Teutschländer: Über progressive Lipogranulomatose der Muskulatur. Zugleich Beitrag zur Pathogenese der Myopathia osteoplastica progressiva. In: Klinische Wochenschrift Bd. 14, S. 451, 1935
- ↑ a b c T. Mumme, H. Griefingholt, B. Schmidt-Rohlfing, R. Müller-Rath, A. Kochs: Morbus Teutschländer. Eine seltene benigne Differenzialdiagnose proliferativer Raumforderungen im paraartikulären Weichteilgewebe. In: Der Orthopäde. Band 33, Nummer 7, Juli 2004, S. 829–835, doi:10.1007/s00132-004-0641-4, PMID 14999446.
- ↑ a b c d e f O. Braun-Falco et al.: Calcinosis. In: O. Braun-Falco, G. Plewig, H. H. Wolff, R. K. S. Winkelmann (Hrsg.): Dermatology. 1991, S. 913–917, doi:10.1007/978-3-662-00181-3_45, ISBN 978-3-662-00183-7 Online ISBN 978-3-662-00181-3
- ↑ a b W. Schuster, D. Färber (Herausgeber): Kinderradiologie. Bildgebende Diagnostik. Bd. I, 2. Aufl., Springer 1996, S. 665, ISBN 3-540-60224-0.Schuster Bd I 665