Flüssigkeitsspiegel
Unter Flüssigkeitsspiegel versteht man den Flüssigkeitsstand in einem Rohr-, Schlauchsystem oder allgemein in einem Hohlsystem. Wenn der Behälter ruhig steht, im Innern keine Strömung auftritt und man von Molekularkräften am Rand absehen kann, steht die Oberfläche der Flüssigkeit waagrecht, stellt also den Teil einer Äquipotentialfläche des Erdschwerefeldes dar.
Technisch wird das konstante Potential beispielsweise bei der Füllstandmessung an Tanks oder in Schlauchwaagen genutzt. Nach dem Prinzip der kommunizierenden Gefäße wird an Tanks eine transparente Röhre angebracht und mit dem Tank verbunden. Der Flüssigkeitsstand in Tank und Röhre befinden sich auf gleicher Höhe, so dass an der Messröhre der Tankinhalt abgelesen werden kann.
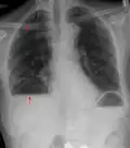
In der Medizin wird der Begriff Flüssigkeitsspiegel meist in der Radiologie verwendet, wo er die Grenzfläche zwischen Flüssigkeit einerseits und Luft oder Gas (z. B. Darmgas) andererseits in einem Hohlraum (z. B. Darm) bezeichnet. Bei entsprechender Röntgenprojektion zeigt sich eine gerade, horizontale Grenze mit höherer Transparenz oberhalb und niedrigerer Strahlendurchlässigkeit unterhalb dieses Spiegels. Beispiele für Krankheiten, bei denen das Phänomen diagnostisch genutzt wird sind:
-

-
Akute Sinusitis -
Sero- oder Hämatopneumothorax
Quellen
- Pschyrembel: Klinisches Wörterbuch, 257. Auflage, de Gruyter Berlin, New York ISBN 3-11-012692-3