Eosinophile Bronchopneumopathie
Als eosinophile Bronchopneumopathie (auch EBP) wird eine chronisch entzündliche Erkrankung der Lunge von Hunden bezeichnet. Sie ist durch eine Infiltration von Lungengewebe und Bronchialschleimhaut durch eosinophile Granulozyten charakterisiert. Der der Erkrankung zugrundeliegende Pathomechanismus ist noch nicht eindeutig bekannt, man geht jedoch von einer immunologischen Hypersensitivitätsreaktion gegen bislang unbekannte Antigene aus. Die Erkrankung kann alle Hunderassen und Mischlinge betreffen, es besteht jedoch eine deutliche Rasseprädisposition für Siberian Husky, Alaskan Malamute und Rottweiler.[1]
Die Bezeichnung der Erkrankung ist uneinheitlich. Sie wird auch als eosinophile Pneumonie, pulmonale Hypersensitivität, PIE (pulmonary infiltrates with eosinophils), Hypereosinophiles Syndrom, Eosinophile Pneumonitis, Eosinophile granulomatöse Pneumonie und Pulmonale eosinophile Granulomatose bezeichnet.
Klinik

Das Hauptsymptom der Erkrankung, die bevorzugt bei jungen, erwachsenen Tieren auftritt, ist bei nahezu allen betroffenen Hunden chronischer Husten, der mit Würgen und Erbrechen verbunden sein kann. Parallel dazu treten häufig eingeschränkte Leistungsfähigkeit und Dyspnoe auf; in einigen Fällen ist die Erkrankung mit einer eosinophilen Rhinitis verbunden. Bei der Auskultation sind oft verstärkte Atemgeräusche, Giemen und Knisterrasseln wahrnehmbar.
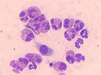
Diagnostik

Neben dem klinischen Bild umschließen die diagnostische Maßnahmen Röntgenaufnahmen der Lunge beziehungsweise eine Computertomographie zur Abklärung des Ausmaßes der Veränderungen. Wesentlich jedoch ist eine Bronchoskopie mit dem Nachweis eosinophiler Granulozyten in der hierbei gewonnenen BALF. Hierbei müssen weitere Auslöser eosinophiler Entzündungen der unteren Atemwege wie Lungenwurmbefall, hier insbesondere Angiostrongylus vasorum, allergische Prozesse und Herzwurmerkrankung ausgeschlossen werden. Die Bronchoskopie selbst zeigt eine hyperämisierte und manchmal verdickte Mukosa und muköses bis mukopurulentes, grüngelbliches Sekret in den unteren Atemwegen.
Als weitere Differentialdiagnosen kommen chronische Bronchitis, idiopathische Lungenfibrose, Trachealkollaps, bakterielle Infektionen und seltener Neoplasie, Herzerkrankungen oder Fremdkörper in Betracht.
Therapie
Das zentrale Element in der Therapie der EBP ist die Verabreichung von Kortikosteroiden. Initial ist oft eine hochdosierte systemische Verabreichung von Prednisolon zur Verminderung der klinischen Symptome erforderlich. Die Dosierung wird stufenweise je nach klinischem Ansprechen reduziert und kann häufig durch eine Inhalationsbehandlung mittels Fluticason oder Betamethason ersetzt oder ergänzt werden. Bei unzureichendem Ansprechen stellt der Einsatz von Cyclophosphamid oder Azathioprin eine weitere Option dar.
Insbesondere im Frühstadium der Behandlung kann der Einsatz bronchodilatatorischer Wirkstoffe wie Terbutalin oder Aminophyllin sinnvoll sein.
Literatur
- L.A.Cohn: Pulmonary Parenchymal Disease. In: S.J.Ettinger, E.C.Feldman: Textbook of veterinary internal medicine 7th edition, 1113–1115. Saunders Elsevier, St. Louis 2010, ISBN 978-1-4160-6593-7
Einzelnachweise
- ↑ V. De Simoni und B. Schulz: Eosinophile Bronchopneumopathie des Hundes. Kleintierpraxis Band 63, 2018, S. 475–486. DOI:10.2377/0023-2076-63-475