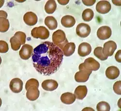
Eosinophiler Granulozyt
Eosinophile Granulozyten – kurz auch Eosinophile oder Eos genannt – gehören zu den Leukozyten. Sie machen etwa 1–5 % der Leukozyten im Differentialblutbild aus und sind an der zellulären Immunabwehr beteiligt. Ihren Namen beziehen sie vom Farbstoff Eosin, mit dem sie angefärbt werden können. Eos (altgriechisch Ἠώς, Ēṓs) bedeutet Morgenröte. Physiologisch sind die Eosinophilen in der lymphozytär-eosinophilen Heilphase vermehrt.
In ihrem Inneren enthalten eosinophile Granulozyten Vesikel, auch Granula genannt, die basische Proteine, z. B. das Major Basic Protein, lysosomale hydrolytische Enzyme und Peroxidase enthalten. Der Inhalt der Granula kann durch Exozytose an die Umgebung abgegeben werden. Auslöser hierfür sind unter anderem Antikörper der IgE-Klasse. Im Weiteren sind sie zur Chemotaxis befähigt, d. h., sie können sich amöboid in Richtung eines anlockenden Stoffes (Attractant) fortbewegen. Neben der toxischen Wirkung ihrer Granula haben Eosinophile auch die Fähigkeit zur Phagozytose.
Eosinophile spielen eine wichtige Rolle bei der Parasitenabwehr. Sobald die Oberfläche des Parasiten mit IgE besetzt ist, binden Eosinophile hieran. Dies dient als Reiz für die Freisetzung des toxischen Inhalts der Granula auf die Oberfläche des Parasiten. Gleichzeitig, neben der Schädigung des Parasiten, dienen die exozytierten Proteine als Lockstoffe für andere Eosinophile, so dass die Abwehr verstärkt werden kann.
Eosinophile können aber auch eine für den Organismus selbst schädigende Rolle spielen. Bei Asthma bronchiale beispielsweise wird das Lungenepithel durch die Inhaltsstoffe der Eosinophilen geschädigt. Bei der COPD sind je nach Menge der Eosinophilen im Blut verschiedene Behandlungen möglich.[1] Durch Eosinophile ausgelöste seltene Krankheiten sind die Eosinophile Fasziitis und das Hypereosinophile Syndrom sowie die Eosinophile Ösophagitis. Auch bei Allergien ist die Anzahl erhöht, so dass die so genannte Eosinophilie ein wichtiger Indikator für das Vorhandensein einer Allergie ist. Eine Verminderung der Eosinophilenzahl nennt man Eosinopenie.
Bei Katzen und Hunden kann es, vor allem im Zusammenhang mit Allergien, zur Einwanderung von Eosinophilen in die Haut kommen (Eosinophiler Granulomkomplex der Katze, Eosinophile Gesichtsfurunkulose der Hunde). Auch die Einwanderung von Eosinophilen in die Darmwand (feline eosinophile Enteritis, Feline gastrointestinale eosinophile sklerosierende Fibroplasie) oder Bronchialwand (Felines Asthma) kommt bei Tieren vor.
Literatur
- Jesse C. Nussbaum, Steven J. Van Dyken u. a.: Type 2 innate lymphoid cells control eosinophil homeostasis. In: Nature. 502, 2013, S. 245–248, doi:10.1038/nature12526.
Siehe auch
Quellen
- Roche Lexikon Medizin Stichwort: Granulozyten
- Gerd Herold: Innere Medizin. Köln 2007, S. 52 f.
Weblinks
Einzelnachweise
- ↑ H. Magnussen, B. Disse, R. Rodriguez-Roisin, A. Kirsten, H. Watz, K. Tetzlaff, L. Towse, H. Finnigan, R. Dahl, M. Decramer, P. Chanez, E. F. Wouters, P. M. Calverley: Withdrawal of inhaled glucocorticoids and exacerbations of COPD. In: The New England Journal of Medicine. Band 371, Nummer 14, Oktober 2014, S. 1285–1294, doi:10.1056/NEJMoa1407154, PMID 25196117.