Emperipolesis

Als Emperipolesis oder Emperipolese wird die Aufnahme oder Umhüllung von zum Beispiel lymphozytären Zellen durch andere Zellen bezeichnet. Im Gegensatz zur Phagozytose bleiben die umhüllten Zellen dabei intakt. Im normalen Knochenmark können Emperipolesen in Megakaryozyten auftreten, die hier andere Vorläuferzellen der Blutbildung umschlingen können.[1]
Pathologie
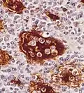
Bei der Rosai-Dorfman-Erkrankung, einer seltenen Erkrankung aus der Gruppe der Histiozytosen, ist das Auftreten von Emperipolesen charakteristisch: histologisch sind hier intakte Entzündungszellen in großen Histiozyten nachweisbar.[2]
Auch bei anderen Erkrankungen kommen jedoch Emperipolesen vor: so können beispielsweise bei Leberentzündungen Emperipolesen mit intakten Lymphozyten in Hepatozyten auftreten,[3] darunter auch die autoimmune Hepatitis. Neutrophile und Leukozyten können durch Endothelzellen migrieren (transzelluläre Migration, ähnlich der Leukodiapedese).
-
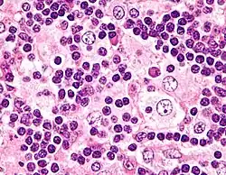
Neutrophiler Granulozyt in einer Megakaryozyte -
Emperipolesis bei der Rosai-Dorfman-Krankheit -
Neutrophiler Granulozyt in einer Megakaryozyte
Siehe auch
Weblinks
- Emperipolesen bei Rosai-Dorfman-Erkrankung in der Bilddatenbank des Instituts für Pathologie der Universität Basel.
Einzelnachweise
- ↑ Bain, Clark, Lampert: Bone marrow pathology. Blackwell Publishers, 2001, ISBN 0-632-05578-2 Volltext bei Google Books.
- ↑ Rosai, Dorfman: Sinus histiocytosis with massive lymphadenopathy. A newly recognized benign clinicopathological entity. In: Arch Pathol., 1969;87(1), S. 63–70, PMID 5782438.
- ↑ Dienes: Hepatitis. In: Pathologie der Leber und Gallenwege. Springer Verlag, Berlin 2000, ISBN 3-540-65501-8, Volltext bei Google Books.