Cholesterinembolie-Syndrom
| Klassifikation nach ICD-10 | |
|---|---|
| I74 | Arterielle Embolie und Thrombose |
| N28 | Ischämie und Infarkt der Niere - Nierenarterien-Embolie |
| K55.0 | Akute Gefäßkrankheiten des Darmes - Mesenterial-Arterien-Embolie |
| H34 | Netzhautgefäßverschluss |
| ICD-10 online (WHO-Version 2019) | |

Das Cholesterinembolie-Syndrom (auch Cholesterinkristallembolie-Syndrom) wird verursacht durch den Verschluss kleiner Arterien durch Einschwemmung (Embolie) von Cholesterin-Kristallen aus aufgebrochenen (ulzerierten) arteriosklerotischen Plaques. Stromabwärts (distal) des Verschlusses kommt es zu Minderdurchblutung (Ischämie) und Entzündung. In etwa 25 % der Fälle erfolgt die Freisetzung der Cholesterine spontan, in etwa 75 % der Fälle wird sie durch medizinische Maßnahmen hervorgerufen, wie Angiographie, gefäßchirurgische Eingriffe, gerinnungshemmende Medikamente (Antikoagulanzien) oder Thrombolyse. Die Bauchschlagader ist meist Ursprung der Kristalle, die Ablagerungen erfolgen vorwiegend in Nieren, Darmtrakt, Haut, Beinen und Netzhaut des Auges. Die Diagnose ist schwierig, da mehrere Organsysteme gleichzeitig betroffen sein können. Die Trias aus auslösendem Ereignis, Nierenversagen und Embolie-Symptomen ist diagnostisch richtungweisend, insbesondere wenn im Blutbild eine Erhöhung der eosinophilen Granulozyten (Eosinophilie) vorliegt. Die Diagnose wird durch Untersuchung des Augenhintergrundes und Entnahme von Gewebeproben aus Haut und Niere gestellt. Die Prognose ist schlecht, die Erkrankung geht häufig in ein chronisches Nierenversagen über, die Sterblichkeit ist erhöht. Der Verlauf wird durch fettsenkende Medikamente aus der Substanzklasse der Statine günstig beeinflusst.
Pathogenese
Das Cholesterinembolie-Syndrom tritt in zwei Formen auf:
- Die akute Form ist Folge eines massiven Schauers von Cholesterinkristallen oder wiederholter Embolien aufgrund abrupten oder wiederholten Aufplatzens (Ruptur) instabiler Plaques.
- Die chronische Form ist Folge einer kontinuierlichen Freisetzung von Cholesterinkristallen aus oberflächlich verletzten (erodierten) Plaques.
Häufigste Ursache ist eine Herzkatheteruntersuchung durch die Oberschenkelarterie, gefolgt von gerinnungshemmenden Medikamenten bei Fibrinolyse und Antikoagulation und chirurgischen Eingriffen an Herz und Gefäßen. Durch Manipulation mit Kathetern können arteriosklerotische Plaques aufgerissen werden. Der weiche cholesterinhaltige Inhalt kann so in den Blutkreislauf gelangen. Gerinnungshemmende Substanzen können zur Einblutungen in die Plaques und zu deren Aufbrechen führen, oder Thromben auflösen, welche rupturierte Plaque bedecken und den cholesterinhaltigen Inhalt freisetzen. Das spontane Cholesterinembolie-Syndrom ist selten, der Verlauf in 2/3 der Fälle chronisch. Das durch medizinische Maßnahmen verursachte (iatrogene) Cholesterinembolie-Syndrom tritt dagegen in über 90 % der Fälle akut oder subakut auf und hat eine schlechtere Prognose als das spontan auftretende.
Klinische Manifestationen
Das Cholesterinembolie-Syndrom führt in erster Linie zu einem akuten oder chronischen Nierenversagen, da die Niere der abdominellen Aorta, dem Ursprung der Cholesterinkristalle, am nächsten liegt und sehr stark durchblutet ist. Daneben finden sich meist systemische Symptome im Bereich der Haut, des Magen-Darm-Traktes (Gastrointestinaltrakt) und des Nervensystems. Charakteristische Veränderungen im Bereich der Haut sind Livedo reticularis, ein violetter netzförmiger Ausschlag im Bereich von Bauchwand und Beinen, kleine Einblutungen im Nagelbett und violette Zehen. Symptome des Gastrointestinaltraktes sind Bauchschmerzen, Übelkeit, Erbrechen, occultes oder sichtbares Blut im Stuhl. Im Bereich des Bewegungsapparates können Muskel- und Gelenkschmerzen auftreten. Bei Befall des Zentralnervensystems kann es zu Verwirrtheitszuständen, neurologischen Ausfällen und flüchtiger Erblindung (Amaurosis fugax) kommen. Allgemeinsymptome wie Krankheitsgefühl, Fieber und Gewichtsverlust sind häufig.
Labordiagnostik
Die Labordiagnostik zeigt häufig eine Entzündungskonstellation mit erhöhter Blutsenkung, erhöhtem CRP, Eosinophilie und vermindertem Komplement. Die Urindiagnostik kann unauffällig sein, es können aber auch rote Blutkörperchen, Eiweiß oder eosinophile Granulozyten im Urin nachweisbar sein.
Risikofaktoren
Risikofaktoren für das Auftreten eines Choesterinembolie-Syndroms sind:
- männliches Geschlecht
- Bluthochdruck
- Rauchen
- Koronare Herzkrankheit
- Arterielle Verschlusskrankheit
- Zerebrovaskuläre Krankheiten
- Nierenarterienstenose
Diagnose
Die Diagnose kann ohne eine feingewebliche Untersuchung gestellt werden, wenn folgende Voraussetzungen erfüllt sind: Auslösendes Ereignis (z. B. Herzkatheteruntersuchung),
- Zeichen peripherer Embolien (z. B. typische Hautveränderungen) und
- akutes oder subakutes Nierenversagen.
Das Auftreten einer Magen- oder Darmblutung (Gastrointestinalblutung) oder neurologische Symptome oder erhöhte eosinophile Granulozyten (Eosinophilie) erhärten die Diagnose.
In Zweifelsfällen kann die Diagnose gesichert werden durch feingewebliche Untersuchung einer Gewebsprobe aus der Niere, der Haut oder dem Gastrointestinaltrakt. Bei einem Teil der Patienten kann die Diagnose durch eine Untersuchung des Augenhintergrundes mit Nachweis von Cholesterin-Emboli in den Gefäßen gestellt werden. Häufig kann so auf eine Nierenpunktion verzichtet werden.
Differentialdiagnostisch müssen Systemkrankheiten in Betracht gezogen werden wie z. B. Vaskulitis, subakute bakterielle Endokarditis oder Polymyositis.
Histopathologie
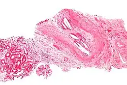
Die histologische Untersuchung der Nierenbiopsie zeigt einen Verschluss von Arteriolen und glomerulären Kapillaren durch bikonvexe nadelförmige Spalten, aus denen die Cholesterinkristalle im Rahmen der Vorbereitung der Präparate zur Untersuchung gelöst wurden. Im weiteren Verlauf wandern neutrophile und eosinophile Granulozyten in die verschlossenen Gefäße ein, später Monozyten und mehrkernige Riesenzellen. Schließlich kommt es zum narbigen Verschluss des Gefäßes. Stromabwärts kommt es aufgrund der verminderten Durchblutung zur Vernarbung von Nierenkörperchen (Glomeruli) und Nierenkanälchen (Tubuli).
Prognose
Die Prognose des Cholesterinembolie-Syndroms ist schlecht. Etwa ein Drittel der Betroffenen bleibt auf Dauer von der Dialysebehandlung abhängig. Die 1-Jahres-Überlebensrate beträgt 83 %, nach zwei Jahren leben noch 75 % der Betroffenen. Ungünstige prognostische Faktoren sind:
- höheres Alter
- Nebenerkrankungen, insbesondere Diabetes und Herzinsuffizienz
- vorbestehende Einschränkung der Nierenfunktion
- akuter oder subakuter Beginn mit raschem Nierenfunktionsverlust
- Beteiligung von zusätzlichen Organen (extrarenale Manifestation), insbesondere von Beinen und Gastrointestinaltrakt
- iatrogene Ursache (Auslösung durch eine medizinische Maßnahme)
Häufigste Todesursache sind Erkrankungen des Herz-Kreislaufsystems (80 %), gefolgt von Infektionen (10 %) und Durchblutungsstörungen des Magen-Darm-Traktes, Pankreatitis und Kachexie.
Therapie
Die Gabe von Statinen verbessert die Prognose, auch wenn mit der Einnahme erst nach Diagnosestellung begonnen wurde. Dies ist möglicherweise auf die lipid-senkenden und entzündungshemmenden Eigenschaften der Statine zurückzuführen. Corticosteroide hatten keinen Effekt. Randomisierte, kontrollierte Studien wurden bislang nicht durchgeführt.
Literatur
- Kulwant S. Modi u. a.: Atheroembolic Renal Disease. In: J Am Soc Nephrol. Nr. 12, 2001, S. 1781–1787 (jasn.asnjournals.org).
- F. Scolari: The challenge of diagnosing atheroembolic renal disease clinical features and prognostic factors. In: Circulation. Nr. 116, 2007, S. 298–304 (circ.ahajournals.org).
- Mark A. Lusca, Behzad Najafian, Charles E. Alpers, Agnes B. Fogo: "AJKD Atlas of Renal Pathology: Cholesterol Emboli", in Atlas of Renal Pathology, Band 62, April 2016
Weblinks
- Cholesterinembolie Pathologie – Bilddatenbank Pathopic der Universität Basel; PathoPic - Anleitung (PDF; 2,2 MB)
- Abbildung von Cholesterinembolien der Netzhaut (Retina) im Auge Michael Colucciello: Retinal Arteriolar Cholesterol Emboli. In: N Engl J Med. Nr. 358, 2008, S. 826.