Charcot-Fuß

Charcot-Fuß Grad 0, aktives Stadium. Klinisches Bild: geschwollener Fuß
Charcot-Fuß Grad 0, aktives Stadium. Magnetresonanztomographie : Knochenmarködem im Bereich der Fußwurzelknochen
Klassifikation nach ICD-10
M14.6*[1] Neuropathische Arthropathie
{{{02-BEZEICHNUNG}}}
{{{03-BEZEICHNUNG}}}
{{{04-BEZEICHNUNG}}}
{{{05-BEZEICHNUNG}}}
{{{06-BEZEICHNUNG}}}
{{{07-BEZEICHNUNG}}}
{{{08-BEZEICHNUNG}}}
{{{09-BEZEICHNUNG}}}
{{{10-BEZEICHNUNG}}}
{{{11-BEZEICHNUNG}}}
{{{12-BEZEICHNUNG}}}
{{{13-BEZEICHNUNG}}}
{{{14-BEZEICHNUNG}}}
{{{15-BEZEICHNUNG}}}
{{{16-BEZEICHNUNG}}}
{{{17-BEZEICHNUNG}}}
{{{18-BEZEICHNUNG}}}
{{{19-BEZEICHNUNG}}}
{{{20-BEZEICHNUNG}}}
Vorlage:Infobox ICD/Wartung {{{21BEZEICHNUNG}}}
ICD-10 online (WHO-Version 2019)

Charcot-Fuß ist die Bezeichnung für die neuropathische Arthropathie am Fuß, eine seltene Erkrankung infolge Schmerzunempfindlichkeit. Dabei brechen Knochen und Gelenke unbemerkt, ohne dass die Betroffenen Frakturschmerzen empfinden, weil Schmerzreize aufgrund einer Nervenstörung nicht mehr wahrgenommen werden können (Charcot-Neuroarthropathie, benannt nach dem französischen Neurologen Jean-Martin Charcot). 95 % aller Patienten mit Charcot-Fuß sind Diabetiker und über 60 Jahre alt; bei ihnen wird die Erkrankung dem Syndrom des Diabetischen Fußes zugeordnet. Zuerst beschrieben wurde die Neuroarthropathie des Fußes vom englischen Arzt Herbert William Page 1881.[2] Erstmals verwendet wurde der Begriff Charcot-Fuß (Charcot's foot) von Ralph H. Major in der amerikanischen Fachzeitschrift JAMA am 17. Mai 1928 auf S. 846.

Ursachen für eine neuropathische Arthropathie (Neuroarthropathie)

Häufigkeit des Charcot-Fußes bei Diabetes mellitus

Der Charcot-Fuß ist eine sehr seltene Erkrankung, wie eine Untersuchung in Dänemark gezeigt hat. Von allen Menschen mit Diabetes haben demnach 0,56 % einen Charcot-Fuß (Prävalenz), und erkranken 0,074 % pro Jahr neu an Charcot-Fuß (Inzidenz).[3] Statistisch gesehen hätte demnach eine Hausarztpraxis mit 2000 Patienten (darunter 100 Diabetes-Patienten) nur 0–1 Patienten mit Charcot-Fuß, und würde alle 13 Jahre mit einem neuen Fall konfrontiert. Eine große Diabetes-Ambulanz mit 10.000 Diabetespatienten dagegen hätte unter ihnen 56 Patienten mit Charcot-Fuß und würde pro Jahr 7 neue Fälle sehen. Bei denjenigen Menschen mit Diabetes mellitus, bei denen eine diabetische Neuropathie mit Verlust der Schmerzsensibilität der Füße besteht, ist die Inzidenz schätzungsweise um den Faktor 10 erhöht.[4]

Entstehung der Erkrankung

Bis heute ist die Entstehung nicht genau geklärt. Voraussetzung ist der Verlust der Schmerzsensibilität der Füße. Ausgelöst wird das Krankheitsbild durch eine Skelettverletzung (Trauma). Die neurovaskuläre Theorie beschreibt eine durch eine nervliche Fehlsteuerung hervorgerufene verstärkte Durchblutung und einen verstärkten Knochenabbau. Die neurotraumatische Theorie besagt, dass es bei fehlender Schmerzwahrnehmung durch Überlastung zu wiederholten minimalen Verletzungen der Gelenkflächen kommt, die dann in eine zunehmende Zerstörung des Knochens übergehen, da auch diese zunehmenden Schäden als kaum bis nicht schmerzhaft wahrgenommen werden. Da kein gewöhnliches Schmerzempfinden vorhanden ist, belasten die Betroffenen den gebrochenen Fuß weiter und konsultieren erst einen Arzt, wenn die Schwellung und Rötung (d. h. die innerliche Entzündung) sehr ausgeprägt ist, der Fuß nicht mehr in den Schuh passt, eine Fehlstellung entstanden ist oder beim Auftreten dumpfe undeutliche Schmerzen gefühlt werden.

Das aktive Krankheitsstadium repräsentiert somit ein chronisch-repetitives „low-energy“ Frakturgeschehen durch fortgesetzte submaximale Belastung (Gehen); als Begleiterscheinung sind entzündliche Zytokine (u. a. verschiedene Interleukine, TNF-alpha) erhöht.[5] Durch Immobilisation und Entlastung wird es in das inaktive Stadium überführt (Defektheilung), d. h. es kommt zur sekundären (Gelenk-)Fraktur-Heilung mit Gelenkversteifung(en) und Deformierung(en). Die Zytokin-Erhöhungen klingen ab.[6]

Verlauf und Prognose

Bei frühzeitiger Erkennung des Krankheitsbildes, wenn noch keine vollständigen Gelenk- oder Knochenbrüche vorliegen, führt die sofortige und dauerhafte Ruhigstellung und Entlastung des betroffenen Fußes zur Rückbildung des Entzündungsprozesses und vermeidet, dass der Fuß nennenswert deformiert wird. Meist sind dennoch einzelne Gelenke und Bänder irreversibel geschädigt und versteifen, sodass ihre Funktion und Belastbarkeit lebenslang eingeschränkt bleibt (Defektheilung) und der Fuß nur in einem (normalen) Schuh mit Laufsohlenversteifung und Abrollhöcker (Vorfußrolle) ohne weitere Beschädigungen benutzbar ist. Wird erst mit Ruhigstellung und Entlastung begonnen, wenn schon komplette Knochen- und Gelenkbrüche entstanden sind, sind erhebliche Deformierungen die Folge. Je länger die initiale Skelettverletzung, beispielsweise infolge einer Verstauchung, unbeachtet bleibt und auf dem verletzten Fuß umhergelaufen wird, desto schlimmer wird die weitere Beschädigung und infolgedessen die Deformierung des Fußskeletts.[7] Der Heilungsprozess führt zur Ausbildung eines völlig versteiften Klumpfußes, der nur in entsprechend versteiftem orthopädischen Maßschuh mit Laufsohlenversteifung benutzt werden kann.

Laufsohlenversteifung und Abrollhöcker sind in jedem Fall notwendig, da jede Biegung der zusammengewachsenen, verknöcherten (ankylosierten) Gelenke beim Gehen zu ihrer erneuten Fraktur führt, mit Entzündung und weiterer Deformierung, d. h. zum akuten Rückfall beziehungsweise zur erneuten Aktivierung des Charcot-Fußes.

Diagnostik

Charcot-Fuß Grad 1, aktives Stadium (Fuß passt nicht mehr in Schuh)

Der Charcot-Fuß ist im Anfangsstadium nur schwer zu erkennen: die äußerlichen Veränderungen (schmerzlose Schwellung mit Überwärmung und Rötung) werden oft fehlgedeutet, u. a. als Anzeichen einer tiefen Beinvenenthrombose. Die Diagnose wird oft erst mehr als 8 Wochen nach Symptombeginn gestellt, wenn schon schwere Skelettzerstörungen entstanden sind und der Patient den Arzt aufsucht, weil der geschwollene Fuß nicht mehr in den Schuh passt.

Diagnose-Kriterien

Untersuchungen

  • Anamnese: Als auslösendes Trauma wird – soweit erinnerlich – oft ein banales Ereignis angegeben, z. B. eine Verstauchung (Distorsion). Werden Schmerzen angegeben, widersprechen sie dem eigenen Schmerzverständnis des Untersuchers.
  • Inspektion: Im frühen aktiven Stadium ist der Fuß teilweise oder ganz entzündlich geschwollen und gerötet, ohne dass eine Infektion (z. B. eine Wundrose oder eine Phlegmone) besteht. Selten sind beide Füße gleichzeitig betroffen. Im fortgeschrittenen aktiven Stadium ist der Fuß heiß, gerötet, geschwollen und deformiert, teils auch mit offenen Wunden an Knochenvorsprüngen. Im inaktiven, d. h. ausgeheilten Stadium sind keine klinischen Entzündungszeichen wie Rötung, Schwellung und Überwärmung mehr vorhanden – etwaige Skelett-Deformierungen bestehen fort.[9]
  • Körperliche Untersuchung: Haut trocken, fehlende Schweißsekretion, im aktiven Stadium überwärmt (Temperaturdifferenz zur Gegenseite > 1 °C). Der andere Fuß erscheint oft normal, weist aber ebenfalls trockene Haut und völlige Gefühllosigkeit auf. Im inaktiven Stadium sind beide Füße gleich temperiert; der Charcot-Fuß ist deformiert und starr, der andere normal geformt und beweglich.
  • Quantitative sensorische Testung (QST): die Wahrnehmungsschwellen für thermische und mechanische Schmerzreize (Schmerzschwellen) sind erhöht[10]
  • Bildgebung: Röntgendiagnostik, Computertomographie, Kernspintomographie/Magnetresonanztomografie[11] eventuell eine Leukozytenszintigraphie, um den Verdacht auf eine Osteomyelitis auszuschließen. Eine allein auf konventionellen Röntgenbildern basierende Diagnostik wird heutzutage vom Oberlandesgericht Köln als unzureichend angesehen.[12] Das konventionelle Röntgenbild diagnostiziert geschlossene Fußfrakturen nur ungenau: übersehen werden 43 % der Metatarsalfrakturen bzw. 76 % der Tarsalfrakturen (Goldstandard: Magnetresonanztomografie, CT).[13]

Einteilungen

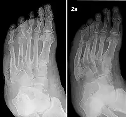
Charcot-Fuß bei Diabetes, Röntgenbilder im Verlauf. Links: Befall des 4. Zehengrundgelenks (Eichenholtz-Stadium I). Rechts: Nach 2 Jahren Zerstörung des 4. und 5. Zehengrundgelenks und totale Verknöcherung und Deformierung der Fußwurzel-Mittelfuß-Gelenke (Eichenholtz-Stadium III)

Der Charcot-Fuß kann nach verschiedenen Kriterien eingeteilt werden: nach Schweregrad und Aktivitätsstadium (Einteilung nach Chantelau und Grützner), nach dem Befall der Skelettanteile (Einteilung nach Sanders und Frykberg)[14] und nach dem röntgenologischen Verlauf (Einteilung nach Eichenholtz und Levin).

Schweregrad und Aktivitätsstadium des Charcot-Fußes gemäß MRT-Befund, nach Chantelau und Grützner[15]
Schweregrad aktives Stadium inaktives Stadium Prognose
Grad 0 = OHNE Kortikalis-Fraktur geringe Fuß-Schwellung und Überwärmung, keine Skelettdeformierung / MRT: mikrotrabekuläre Frakturen, geringes Knochenmark- und Weichteilödem / Röntgen: unauffällig keine Fuß-Schwellung und Überwärmung, keine Skelettdeformierung / MRT: kein Knochenmark- und Weichteilödem / Röntgen: unauffällig günstig: Fuß eingeschränkt belastbar, aber nicht nennenswert deformiert
Grad 1= MIT Kortikalis-Fraktur starke Fuß-Schwellung, Überwärmung und Deformierung / MRT: Kortikalis-Frakturen, erhebliches Knochenmark- und Weichteilödem, Skelettdeformierungen / Röntgen: Kortikalis-Frakturen, Skelettdeformierungen keine Schwellung und Überwärmung, aber knöcherne Deformierungen und Gelenkversteifungen (Ankylose) / MRT: Gelenkfehlstellungen, kein Knochenmark- und Weichteilödem / Röntgen: Gelenkverknöcherungen und Fehlstellungen ungünstig: Fuß eingeschränkt belastbar und stark deformiert


Lokalisation der Neuroarthropathie des Fußes, nach Sanders und Frykberg
Typ Befallene Skelettanteile Häufigkeit
I Interphalangealgelenke, Metatarso-Phalangealgelenke, Metatarsalia 10–30 %
II Tarso-Metatarsalgelenke 15–48 %
III Navikulo-Kuneiforme-Gelenke, Talo-Navikulargelenk, Kalkaneo-Kuboid-Gelenk 32 %
IV Sprunggelenke 10 %
V Kalkaneus 2 %


Modifizierte röntgenologische Einteilung des Charcot-Fußes, nach Eichenholtz und Levin (veraltet)
Verlaufsstadium Röntgenbild Klinische Zeichen
0 Initialstadium Röntgen-nativ: unauffällig
MRT: Knochenmarködem
schmerzlose Weichteilschwellung und -Rötung ohne Anhalt für Infektion. Aktives Stadium, Grad 0
I Destruktionsstadium

Ia Fragmentationsphase

Ib Luxationsphase

Demineralisation
Osteolyse
ossäre Fragmentation
Gelenkdestruktion
Zeichen der Entzündung (Schwellung, Rötung, Überwärmung)
Gelenkdeformation durch Gelenkerguss
Gelenkinstabilität
zunehmende Ausbildung der Fußdeformität
Aktives Stadium, Grad 1
II Reparationsstadium Remineralisierung
Fragmentresorption
Knochenneubildung
(Bildung von Osteophyten, Kallus, Sklerosierung)
Schwellung, Rötung, Überwärmung bilden sich zurück, aktives/nichtaktives Stadium Grad 1
III Konsolidierungsstadium knöcherne Fusion mit Gelenkeinsteifung (Ankylose) bleibende Fußdeformität, Gelenkversteifung. Inaktives Stadium, Grad 1
IV Ulkusstadium deformiertes versteiftes Fußskelett deformierter Fuß mit hohem Risiko der Ulkusbildung und Gefahr der Wundinfektion, inaktives Stadium Grad 1

Therapie

Charcot-Fuß, aktives Stadium Grad 1, operativ behandelt (Röntgenbild: Schrauben, teils gebrochen, in den Fußwurzel-Mittelfuß-Gelenken)
  • Ein akuter Charcot-Fuß ist ein dringender Notfall, der sofortiger kompletter Druckentlastung und Behandlung in einer spezialisierten Einrichtung bedarf.[16]
  • Zunächst vollständige Ruhigstellung (das bedeutet zu Beginn der Diagnostik und Therapie eine stationäre Behandlung)
  • Nach Abklingen der Akutphase, d. h. Abschwellen des Fußes, Anpassen eines Gipsverbandes, einer Zwei-Schalen-Orthese oder eines speziellen starren Kunststoffverbandes (Total Contact Cast)[17] für ca. 6–10 Monate, bis zur kompletten Abheilung der Knochen- und Gelenkentzündungen, teils notwendigerweise auch in funktioneller Fehlstellung.
  • Danach Tragen eines speziellen orthopädischen Schuhes mit steifer Laufsohle und sogenannter Vorfußrolle.[18] Gelegentliche Re-Aktivierung des Charcot-Fußes durch ungeschützte Belastung ist unvermeidlich, daher ist es sinnvoll, dass Patienten ihre Zwei-Schalen-Orthese für diese Fälle immer gleich zur Hand haben.
  • In einigen Fällen kann eine Amputation des Fußes notwendig sein,[19] dann wird eine Unterschenkelprothese erforderlich.
  • Mit Metall-Schrauben die gebrochenen Knochen und Gelenke stabil zu verbinden, kann die Gelenkverknöcherung fördern, die normalen Gelenk-Strukturen und Funktionen aber nicht wieder herstellen. Wird ein derart verschraubter Fuß ungeschützt zum Gehen benutzt, brechen die Schrauben oft[20] (Ermüdungsbruch), was anzeigt, welch starke Biege-Kräfte bei jedem Schritt repetitiv auf das Fußskelett einwirken.
  • Normalisierung des Zuckerstoffwechsels durch adäquate Therapie des Diabetes mellitus hat kaum Einfluss auf die Abheilung
  • Schulung des Patienten im Gebrauch des beschädigten Fußes und des speziellen Schuhwerks

Kontrolle des Behandlungserfolgs mit Magnetresonanztomografie (MRT)

Die Kontrolle des Heilungsverlaufs mittels MRT hat zu beachten, dass der frische Frakturkallus in der ersten Phase der sogenannten sekundären Frakturheilung unter dem MRT-Bild des „Knochenmarködems“ verläuft und daher kaum von dem „Knochenmarködem“ der akuten Knochenverletzung zu unterscheiden ist (allenfalls durch geringere entzündliche Schwellung der umgebenden Weichteile). Es muss also bei „Knochenmarködem“ immer differenziert werden, ob es sich um eine heilungsbedingte oder verletzungsbedingte Erscheinung handelt.[21] Bei Knochenverletzungen, die auf Mikrotrabekeln der Spongiosa beschränkt sind (ohne Verletzung der Kortikalis), ist eher mit primärer Heilung zu rechnen (ohne Kallusbildung) und kontinuierlichem Rückgang des „Knochenmarködems“. Bei Verletzungen der Kortikalis ist sekundäre Heilung mit Bildung von Frakturkallus zu erwarten und diskontinuierlicher Rückgang (d. h. mit vorübergehender Zunahme) des „Knochenmarködems“. Zunahme des „Knochenmarködems“ kann auch die Folge von neuerlicher akuter Knochenverletzung sein, als Folge zu früher Beendigung der Immobilisationsbehandlung.

Prominente Patienten

Ein prominenter Kranker war der französische Maler Édouard Manet (1832–1883). Er litt an unheilbarer Neurolues mit Ataxie seit Ende der 1870er Jahre. Nachdem er Ende 1878 oder Anfang 1879 mit dem linken Fuß umgeknickt war und er nicht mehr viel gehen konnte, untersagte ihm sein Arzt Dr. Siredey 1880 das Treppensteigen. Er humpelte nur noch, er musste sich auf einen Stock stützen, fühlte sich als „Krüppel“ wahrgenommen. Im Herbst 1882 setzte Manet sein Testament auf, denn offenbar hatten sich Geschwüre und Knochenfraß gebildet und seinen Allgemeinzustand verschlechtert. Als der Fuß ‚brandig‘ wurde und Sepsis drohte, wurde am 20. April 1883 das linke Bein amputiert. Am 30. April starb der Maler an den Folgen des Eingriffs.[22][23]

Literatur

  • Franz X. Köck, Bernhard Koester: Diabetisches Fußsyndrom. Thieme, Stuttgart 2007, ISBN 978-3-13-140821-1. (Medizinisches Lehrbuch)
  • H. Reike: Diabetisches Fuß-Syndrom: Diagnostik und Therapie der Grunderkrankungen und Komplikationen. de Gruyter, Berlin 1998, ISBN 3-11-016215-6.
  • Ludger Poll, Ernst Chantelau: Charcot-Fuß: Auf die frühe Diagnose kommt es an. In: Deutsches Ärzteblatt. Band 107, Nr. 7, 2010, S. A-272 (aerzteblatt.de [abgerufen am 13. Oktober 2016]).

Einzelnachweise

  1. Alphabetisches Verzeichnis zur ICD-10-WHO Version 2019, Band 3. Deutsches Institut für Medizinische Dokumentation und Information (DIMDI), Köln, 2019, S. 149.
  2. Lee J. Sanders, Michael E. Edmonds, William J. Jeffcoate: Who was first to diagnose and report neuropathic arthropathy of the foot and ankle: Jean-Martin Charcot or Herbert William Page? In: Diabetologia. Band 56, Nr. 9, 1. September 2013, S. 1873–1877, doi:10.1007/s00125-013-2961-6.
  3. Ole Lander Svendsen, Oliver Christian Rabe, Matilde Winter-Jensen and Kristine Højgaard-Allin: How Common is the Rare Charcot Foot in Patients With Diabetes ? (PDF) In: Diabetes Care Volume 44,April 2021, e62. 2021, S. 2, abgerufen am 16. August 2021.
  4. nach AOK Disease-Management-Programm Typ2 Diabetes Abschlussbericht 2007.
  5. That Minh Pham, Lars Henrik Frich, Kate Lykke Lambertsen, Søren Overgaard, Hagen Schmal: Elevation of Inflammatory Cytokines and Proteins after Intra-Articular Ankle Fracture: A Cross-Sectional Study of 47 Ankle Fracture Patients. In: Mediators of Inflammation. 2021, 8897440, doi:10.1155/2021/8897440.
  6. N. L. Petrova, T. Dew, R. Musto, S. Thompson, R. Sherwood, C. Moniz, M. Edmonds: The proinflammatory cytokines IL-6 and TNF-alpha fall significantly after 3 months of casting in patients with Charcot osteoarthropathy and severe bone and joint destruction. Abstract 01. In: Volume of Abstracts, Diabetic Foot Study Group. 2010.
  7. R. Kimmerle, E. Chantelau: Weight-bearing intensity produces Charcot deformity in injured neuropathic feet in diabetes. In: Experimental and Clinical Endocrinology and Diabetes. Band 115, 2007, S. 360–364, doi:10.1055/s-2007-970578.
  8. Ernst-Adolf Chantelau: Quantitativer Nadelschmerz-Test (Pieks-Test) zeigt Prädisposition für diabetisches Fußsyndrom. In: Zeitschrift für Allgemeinmedizin. Band 98, 2022, S. 137–142 (archive.org [PDF; abgerufen am 2. Mai 2022]).
  9. Ernst A. Chantelau, Gotthard Grützner: Is the Eichenholtz classification still valid for the diabetic Charcot foot? Swiss Medical Weekly, smw.ch, 24. April 2014, archiviert vom Original (nicht mehr online verfügbar) am 24. März 2016; abgerufen am 29. März 2016.
  10. Ernst A.Chantelau: Nociception at the diabetic foot, an uncharted territory. In: World Journal of Diabetes. Band 6, 2015, S. 391–402 (wjgnet.com [abgerufen am 23. November 2016]).
  11. R. Ramnarine, A. Isaac, L. M. Meacock, N. Petrova, M. Edmonds, D. A. Elias: A novel semi-quantitative scoring proforma in the assessment of radiological resolution of the acute diabetic Charcot foot. (Online) (Memento vom 27. April 2016 im Internet Archive)
  12. Barbara Berner: Rechtsreport. Haftung eines Durchgangsarztes. In: Deutsches Ärzteblatt. Jg. 116, Heft 15, 12. April 2019, S. C 606 (aerzteblatt.de [abgerufen am 15. Mai 2019]).
  13. G. Peicha, K. W. Preidler, G. Lajtai, F. J. Seibert, W. Grechenig: Diagnostische Wertigkeit von Nativröntgen, Computer- und Magnetresonanztomographie beim akuten Hyperflexionstrauma des Fußes. In: Unfallchirurg. Band 104, 2001, S. 1134–1139.
  14. Joachim Grifka (Hrsg.): Diabetisches Fußsyndrom. Verlag Georg Thieme, Stuttgart 2007, ISBN 978-3-13-140821-1.
  15. Ernst A. Chantelau, Gotthard Grützner: Is the Eichenholtz classification still valid for the diabetic Charcot foot? Swiss Medical Weekly, smw.ch, 24. April 2014, archiviert vom Original (nicht mehr online verfügbar) am 24. März 2016; abgerufen am 29. März 2016.
  16. nice.org.uk
  17. Wolf-Rüdiger Klare u. a.: Total Contact Cast: Effektiv in der Behandlung Diabetischer Fußulzera. (Memento vom 23. August 2016 im Internet Archive) (PDF; 2,2 MB)
  18. Ernst Chantelau, Uwe Rhefus: Praktische Anleitung zur Behandlung und Schuhversorgung des Charcot-Fußes. In: E. Chantelau (Hrsg.): Diabetische Füße und ihre Schuhversorgung. 2. Auflage. De Gruyter, Berlin 2010, ISBN 978-3-11-021943-2, S. 73–83.
  19. deutsche-diabetes-gesellschaft.de (Memento vom 23. September 2015 im Internet Archive) (PDF; 1,9 MB) DDG Praxis-Leitlinie Diabetisches Fußsyndrom 2010.
  20. Ingvild Kummen, Ngwe Phyo, Venu Kavarthapu: Charcot foot reconstruction—how do hardware failure and non-union affect the clinical outcomes ? In: Annals of Joint;5:25. 2020, S. 1–11, abgerufen am 4. Februar 2025 (englisch).
  21. Ernst-Adolf Chantelau, Sofia Antoniou, Brigitte Zweck, Patrick Haage: Follow up of MRI bone marrow edema in the treated diabetic Charcot foot – a review of patient charts. In: . Diabetic Foot & Ankle. 2018, abgerufen am 15. Mai 2019.
  22. Réunion des Musées Nationaux Paris, Metropolitan Museum of Art New York (Hrsg.): Manet. Ausstellungskatalog. Frölich und Kaufmann, Berlin 1984, ISBN 3-88725-092-3.
  23. Antonin Proust: Édouard Manet, Erinnerungen. Berlin 1917.