Ankylose

Klassifikation nach ICD-10
M24.6 Ankylose eines Gelenkes
{{{02-BEZEICHNUNG}}}
{{{03-BEZEICHNUNG}}}
{{{04-BEZEICHNUNG}}}
{{{05-BEZEICHNUNG}}}
{{{06-BEZEICHNUNG}}}
{{{07-BEZEICHNUNG}}}
{{{08-BEZEICHNUNG}}}
{{{09-BEZEICHNUNG}}}
{{{10-BEZEICHNUNG}}}
{{{11-BEZEICHNUNG}}}
{{{12-BEZEICHNUNG}}}
{{{13-BEZEICHNUNG}}}
{{{14-BEZEICHNUNG}}}
{{{15-BEZEICHNUNG}}}
{{{16-BEZEICHNUNG}}}
{{{17-BEZEICHNUNG}}}
{{{18-BEZEICHNUNG}}}
{{{19-BEZEICHNUNG}}}
{{{20-BEZEICHNUNG}}}
Vorlage:Infobox ICD/Wartung {{{21BEZEICHNUNG}}}
ICD-10 online (WHO-Version 2019)
Klassifikation nach ICD-11
FA34.4 Ankylose eines Gelenks
ICD-11: EnglischDeutsch (Entwurf)
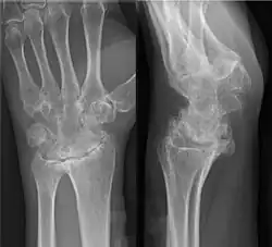
Ankylosen der Handwurzelknochen nach einer abgelaufenen juvenilen Arthritis.

Die Ankylose (griechisch ἀγκύλωσις ánkylosis „Verkrümmung“, bei Galenos „Verwachsung“ in Bezug auf narbig verwachsene Augenlider, ab dem 7. Jahrhundert bei Paulos von Aigina auch „Gelenkversteifung“,[1] von ἀγκύλος „gebeugt, gebogen“), älter auch griechisch-lateinisch und englisch[2] Anchylosis,[3] ist der medizinische Fachausdruck für eine vollständige Gelenksteife. Diese kann bedingt sein durch Verknöcherung des Gelenkspalts oder durch Veränderungen (Narbenzüge) der Gelenkkapsel.[4] Häufig handelt es sich um bestimmte (ankylosierende) Wirbelleiden[5] oder die Folge einer entzündlichen Destruktion, z. B. bei rheumatoider Arthritis.[6] Davon zu unterscheiden ist die Zahn-Ankylose, die (dentoalveoläre) Ankylose der Zähne.[7] Ankylosierung beschreibt den Vorgang der Gelenkversteifung.[8]

Siehe auch

Commons: Ankylose – Sammlung von Bildern, Videos und Audiodateien
Wiktionary: Ankylose – Bedeutungserklärungen, Wortherkunft, Synonyme, Übersetzungen

Einzelnachweise

  1. Heinrich Buess, Huldrych M. Koelbing: Kurze Geschichte der ankylosierenden Spondylitis und Spondylose. J. R. Geigy, Basel 1964, S. 33 (= Acta rheumatologica. Nr. 22).
  2. Curious case of anchylosis of great part of the vertebral column, probably produced by an ossification of the intervertebral substance. In: The Lancet, Band 5, 1824, S. 254 ff.
  3. Johann Sebastian Albrecht: De anchylosi seu coalitu vertebrarum spinae dorsi equinae et alius spinae humanae vertebrarum inter se et cum costis nonnullis. In: Acta physicomedica sive Ephemerides. Band 8, 1748, S. 452 ff.
  4. W. Pschyrembel: Klinisches Wörterbuch. 265. Auflage. Verlag Walter de Gruyter, 2014, ISBN 978-3-11-018534-8.
  5. Heinrich Buess, Huldrych M. Koelbing: Kurze Geschichte der ankylosierenden Spondylitis und Spondylose. J. R. Geigy, Basel 1964 (= Acta rheumatologica. Nr. 22), passim.
  6. N. Wagner, G. Dannecker (Hrsg.): Pädiatrische Rheumatologie. Springer, 2007, ISBN 978-3-540-32814-8.
  7. ICD-10 (K03.5) (Memento vom 28. Juli 2017 im Internet Archive) DIMDI.
  8. Ankylosierung. Abgerufen am 7. Februar 2020. Befunddolmetscher.de