Arthrographie


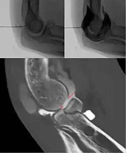
Die Arthrographie ist die Darstellung des Gelenkinneren mit Kontrastmittel als radiologische Untersuchungsmethode von Gelenken. Bevor bildgebende Verfahren der Sonographie, der Magnetresonanztomographie und der Computertomographie zur Verfügung standen, war die Arthrographie die einzige Möglichkeit, Weichteilstrukturen der Gelenke mittels einer Röntgenuntersuchung darzustellen. Dazu wird ein Kontrastmittel in das Gelenk gespritzt. Anschließend werden aus verschiedenen Winkeln Röntgenaufnahmen angefertigt. Durch das Kontrastmittel sind nun auch die nichtknochigen Bestandteile des Gelenks auf dem Röntgenbild beurteilbar.
Mit zunehmender Verbreitung der Schnittbildverfahren wie der Magnetresonanztomographie und Computertomographie lassen sich die Weichteile um und in den Gelenken auch ohne die invasive Arthrographie darstellen. Eine weitere Möglichkeit zur Darstellung der oberflächlichen Weichteile bietet die Sonographie. Die Arthrographie hat daher in der Röntgenuntersuchung von Gelenken ihre Berechtigung verloren.
Gleichzeitig sind mit der Entwicklung der Magnetresonanztomographie und der Computertomographie neue Einsatzgebiete für die Arthrographie entstanden. Hierbei dient die Kontrastmittelinjektion in das Gelenk der Entfaltung der Gelenkkapsel und somit der besseren Beurteilbarkeit der ansonsten eng aufeinanderliegenden Weichteilstrukturen. Des Weiteren lassen sich manche Verletzungen des Knorpels, der Gelenkscheiben (Menisci), der Gelenkkapsel und der Gelenkbänder nur mit Hilfe einer Kontrastmittelinjektion sicher beurteilen. Insbesondere in der Diagnostik des Schultergelenks und der Handwurzel ist die Arthrographie mit anschließender Kernspintomographie oder Computertomographie wieder ein Standardverfahren geworden.
Methoden nach Art des Kontrastmittels
- Röntgenbild: Arthrographie mit Luft oder einem anderen Gas (negativer Kontrast)
- Magnetresonanztomographie, Computertomographie: Arthrographie mit einem wasserlöslichen Kontrastmittel (positiver Kontrast)
- Computertomographie: Arthrographie mit Luft und einem wasserlöslichen Kontrastmittel (Doppelkontrast)
Risiken
Die Arthrographie ist in der Regel eine Untersuchung, die von den Patienten gut vertragen wird. Bei Berücksichtigung möglicher Kontraindikationen und sorgfältiger steriler Arbeitsweise ist die Wahrscheinlichkeit der unten aufgeführten Risiken als sehr gering einzuschätzen.
Bei der Kontrastmitteluntersuchung wird das Gelenk punktiert. Das kann, abhängig von der Qualifikation des Untersuchenden, schmerzhaft sein. Die Gelenkpunktion selbst ist ein Infektionsrisiko, Bakterien können in das Gelenk eingeschleppt werden, der sich ergebende Pyarthros ist als sehr schwere Schädigung des Gelenkes zu bewerten. Das Kontrastmittel ist normalerweise bei der Röntgenuntersuchung und der Computertomographie jodbasiert, bei der Magnetresonanztomographie gadoliniumbasiert. Beide Kontrastmittelarten können allergische Reaktionen auslösen.