Angina pectoris

Klassifikation nach ICD-10
I20 Angina pectoris
I20.0 Instabile Angina pectoris
I20.1 Angina pectoris mit nachgewiesenem Koronarspasmus
I20.8 Sonstige Formen der Angina pectoris
I20.9 Angina pectoris, nicht näher bezeichnet
{{{06-BEZEICHNUNG}}}
{{{07-BEZEICHNUNG}}}
{{{08-BEZEICHNUNG}}}
{{{09-BEZEICHNUNG}}}
{{{10-BEZEICHNUNG}}}
{{{11-BEZEICHNUNG}}}
{{{12-BEZEICHNUNG}}}
{{{13-BEZEICHNUNG}}}
{{{14-BEZEICHNUNG}}}
{{{15-BEZEICHNUNG}}}
{{{16-BEZEICHNUNG}}}
{{{17-BEZEICHNUNG}}}
{{{18-BEZEICHNUNG}}}
{{{19-BEZEICHNUNG}}}
{{{20-BEZEICHNUNG}}}
Vorlage:Infobox ICD/Wartung {{{21BEZEICHNUNG}}}
ICD-10 online (WHO-Version 2019)
Vorlage:Infobox ICD/Wartung/Para 05
Klassifikation nach ICD-11
BA40 Angina pectoris
BA40.0 Instabile Angina pectoris
BA40.1 Stabile Angina pectoris
BA40.Y Sonstige näher bezeichnete Angina pectoris
BA40.Z Angina pectoris, nicht näher bezeichnet
ICD-11: EnglischDeutsch (Entwurf)

Die Angina pectoris[1][2] (Abkürzung AP; wörtlich „Brustenge“; Synonyme Stenokardie, sinngemäß „Herzenge“; veraltet Herzbräune, Brustbräune[3][4] und Herzbeklemmung) ist ein anfallsartiger Schmerz in der Brust, der durch eine Durchblutungsstörung des Herzens typischerweise im Rahmen einer koronaren Herzkrankheit (KHK) ausgelöst wird. Meist beruht diese auf einer Engstelle eines oder mehrerer Herzkranzgefäße. Angina pectoris ist also keine Krankheit, sondern ein Symptom bzw. die Bezeichnung für die klinischen Symptome einer akuten Koronarinsuffizienz. Medikamente zur Behandlung der Angina pectoris werden als Antianginosa bezeichnet.

Die Benennung als „Angina pectoris“ stammt von William Heberden, der 1768 diesen Symptomenkomplex beschrieben hat.[5]

Epidemiologie

2022 lebten in Deutschland gemäß einer Hochrechnung der AOK 4,9 Millionen Erwachsene über 30 Jahren mit koronarer (ischämischer) Herzkrankheit, wobei Regionen in Ostdeutschland (außer Berlin) und das Saarland überdurchschnittlich viele Erkrankungsfälle aufwiesen. Die wichtigsten Risikofaktoren sind Alter, Tabakrauchen, und niedriges Einkommen.[6] Die koronare Herzkrankheit ist weltweit die häufigste Todesursache. Industrieländer haben höhere Erkrankungsraten, Deutschland im europäischen Vergleich überdurchschnittlich. Allerdings sank die Sterblichkeit über die letzten Jahrzehnte ab, bedingt durch verminderte Risikofaktoren und bessere medizinische Versorgung. 2022 gab es 126.000 Todesfälle durch KHK, entsprechend 126 pro 100.000 Einwohner.[7] 2023 wies die Todesursachenstatistik in Deutschland für die chronische KHK 21 % und den akuten Myokardinfarkt 13 % der Todesfälle aus.[8] Patienten mit einer stabilen Angina pectoris hatten 2003 eine jährliche Sterblichkeit von 2–3 %.[9]

Pathophysiologie

Bei den meisten Patienten besteht eine Koronarsklerose, deren Zusammenhang mit der Angina pectoris Ende des 18. Jahrhunderts von Caleb Hillier Parry erstmals ausführlicher dargestellt wurde. Unter der Belastung kommt es zu einer Minderdurchblutung (Ischämie) des Gewebes und dadurch zu den typischen Symptomen. Eine Sonderform ist die Prinzmetal-Angina, hier wird eine vorübergehende Ischämie des Myokards durch einen Spasmus der Koronararterien ausgelöst. Die Dauer eines solchen Anfalls liegt zwischen Sekunden und Minuten. Auch das „Kardiale Syndrom X“ löst eine Angina pectoris aus.

Symptome

Typische Schmerzlokalisation und ‑intensität bei Angina pectoris
Rot: häufig und stark
Rosa: selten und schwächer
Typische Schmerzlokalisation am Rücken

Angina pectoris tritt bei den Betroffenen regelmäßig bei körperlicher Belastung ab einer individuellen Grenze auf, seltener unter psychischer Belastung. Setzt oder legt der Kranke sich hin, hört der Schmerz auf (sogenannte „typische AP“). Schmerzen aus anderen Ursachen sind nicht in dieser Form belastungsabhängig.

Eine schon in Ruhe spürbare AP gilt als „instabil“, d. h. es droht unmittelbar ein Herzinfarkt. Die Schmerzen werden oft als Brennen, „Sodbrennen“, Reißen oder krampfartiger Druck in der Herzgegend (Kardialgie) beschrieben, nicht links, sondern mittig hinter dem Brustbein. Es kann aber auch vorkommen, dass der Schmerz in Schultern und Oberarmen, Halsregion, in den Oberbauch und Rücken verortet wird. Dazu klagen die Betroffenen über Atemnot, kalten Schweißausbruch, und Todesangst.

Nitroglycerin erweitert die Blutgefäße und kann einen AP-Anfall unterbrechen, was die Diagnostik erleichtert. Viele Herzkranke führen ein Sprühfläschen mit diesem Medikament („Nitro-Spray“) ständig mit sich.

Brustschmerzen mit unsicherer Belastungsabhängigkeit werden als atypische Angina pectoris bezeichnet, solche mit ganz anderer Charakteristik als „nichtangiöser Brustschmerz“. Dieser Einstufung folgend sind die Wahrscheinlichkeiten für eine koronare Herzkrankheit für Männer und Frauen verschiedener Lebensalter tabelliert. Aus der Vortest-Wahrscheinlichkeit ergibt sich die Indikation für apparative Untersuchungen.[10]

Bei Vortestwahrscheinlichkeit ab 15 % werden als Basisdiagnostik Blutuntersuchung, ein 12-Kanal-EKG und eine Echokardiographie empfohlen. Bei mittlerer Vortestwahrscheinlichkeit (15–85 %) auch eine funktionelle Belastungsuntersuchung oder ein Cardio-CT. Hochrisikopatienten gelangen in der Regel gleich zur invasiven Angiographie.

Klassifikation

Die Angina pectoris wird abhängig von Symptomen, Auftreten und Prognose unterteilt in die stabile Angina pectoris und die instabile Angina pectoris.[11] Eine Sonderform stellt die mikrovaskuläre Angina pectoris dar.[12]

Stabile Angina pectoris

Eine stabile AP liegt bei Patienten vor, die über einen längeren Zeitraum über gleichbleibende und unter ähnlichen Umständen reproduzierbare Beschwerden klagen. Die Symptome lassen typischerweise nach wenigen Minuten Ruhe nach und lassen sich durch sublinguale Nitroglyceringabe bessern. EKG-Veränderungen treten in der Regel nicht auf.[11] Ursächlich sind in der Regel Stenosen der Herzkranzgefäße. Bei manchen Patienten kann es durch Fortsetzung der auslösenden Belastung nach einigen Minuten zu einer Besserung der Symptome kommen. Man spricht dann von einem Durchwanderungsphänomen. Erklärt wird dies mit Umgehungskreisläufen am Myokard.[11] Die Prinzmetal-Angina stellt eine Sonderform der stabilen Angina pectoris dar. Sie wird durch spastische Gefäßverengungen an den Koronararterien hervorgerufen und tritt oft belastungsunabhängig auf. Bei einer Prinzmetal-Angina können EKG-Veränderungen wie z. B. ST-Streckenhebungen auftreten.[11]

Die stabile Angina pectoris wird mit Hilfe der CCS-Klassifikation (Klassifikation der Canadian Cardiovascular Society) in vier Schweregrade eingeteilt:

Stadium Definition
CCS I keine Einschränkung der normalen körperlichen Aktivität

Angina pectoris nur bei starken, schnellen oder anhaltenden Belastungen[13]

CCS II leichte Einschränkung der normalen körperlichen Aktivität

Angina pectoris beim Gehen oder Treppensteigen mit erhöhter Geschwindigkeit oder nach Mahlzeiten,
Gehen von mehr als 100 m oder Treppensteigen von mehr als 1 Etage in normaler Geschwindigkeit Bergaufgehen, Kälte, emotionalem Stress

CCS III deutliche Einschränkung der normalen körperlichen Aktivität

Angina pectoris bei Gehen von weniger als 100 m oder nach Treppensteigen von einer Etage in normaler Geschwindigkeit

CCS IV Angina pectoris bei jeder körperlichen Belastung oder bereits in Ruhe
Canadian Cardiovascular Society (CCS): Stadieneinteilung der stabilen Angina pectoris[14]

Instabile Angina pectoris

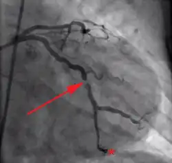
Hochgradige Verengung einer Koronararterie

Die instabile Angina pectoris ist die einfachste Form eines akuten Koronarsyndroms. Sie geht mit einem großen Herzinfarktrisiko einher. Kennzeichnend sind Änderungen in der Symptomatik, wie beispielsweise das erstmalige Auftreten von Angina-pectoris-Beschwerden, das Auftreten von Beschwerden in Ruhe oder die Zunahme der Anfallsdauer, Anfallshäufigkeit oder Schmerzintensität.[15] Als instabil werden auch Angina-pectoris-Beschwerden vor (Präinfarktangina oder Präinfarktsyndrom als Unterform der instabilen Angina)[16] sowie innerhalb von zwei Wochen nach einem Myokardinfarkt bezeichnet.[17] Typischerweise ist auch die Wirkung von Nitroglycerin herabgesetzt.[9]

Der instabilen AP liegt in der Regel eine koronare Gefäßerkrankung und Arteriosklerose zugrunde. In diesem Rahmen kommt es zu einem lokalen Einriss von arteriosklerotischen Plaques in Koronararterien. Dies führt zu einer mechanischen Teilverlegung sowie reflektorischen Verengung der Arterien durch Vasospasmus. Ein sich bildender Thrombus kann einen akuten Myokardinfarkt auslösen.[15] Die Angina decubitus (auch Angina nocturna[18]) ist eine Form der instabilen Angina pectoris mit insbesondere nachts im Liegen auftretenden thorakalen Schmerzen. Ursache hierfür ist die Überlastung der vorgeschädigten Herzmuskulatur bei vermehrtem venösen Blutrückstrom im Liegen.[19]

Braunwald-Klassifikation der instabilen Angina pectoris[20]
Stadium Klinische Umstände
A
Sekundäre Angina pectoris als Folge von nicht kardialen Erkrankungen
B
Primäre Angina pectoris
C
Instabile Angina pectoris innerhalb von 2 Wochen nach einem Myokardinfarkt
Schweregrad I
Neu aufgetretene Angina pectoris bei Belastung ohne Beschwerden in Ruhe
IA IB IC
Schweregrad II
Ruhe-Angina innerhalb der letzten zwei Monate, aber nicht innerhalb der letzten 48 Stunden
IIA IIB IIC
Schweregrad III
Ruhe-Angina innerhalb der letzten 48 Stunden
IIIA IIIB IIIC
Unterteilung nach medikamentöser Therapie:

Stufe 1: Keine Medikation • Stufe 2: Orale Medikation mit β-Blockern, Nitraten, CalciumantagonistenStufe 3: Medikamentöse Maximaltherapie (z. B. Nitroglycerin i.v.)

Unterteilung nach EKG-Befund:

Patienten mit ST-Streckenveränderungen im Beschwerdezustand • Patienten ohne ST-Streckenveränderungen im Beschwerdezustand

Mikrovaskuläre Angina pectoris

Bei der mikrovaskulären Angina pectoris (früher auch Kardiales Syndrom X bezeichnet)[9] kommt es durch eine Fehlfunktion der kleinsten Gefäße (sog. Mikrogefäße) im Herzen zu einer lokalen Durchblutungsstörung[17][12]. Frauen scheinen häufiger betroffen zu sein als Männer, allerdings existieren hierzu verschiedene Ergebnisse[12]. Die krankhaften Veränderungen in der koronaren Mikrozirkulation sind oft mit kardiovaskulären Risikofaktoren wie Diabetes mellitus oder Bluthochdruck verbunden[12]. Patienten mit einer mikrovaskulären Angina pectoris stehen im Zusammenhang mit einem erhöhten Risiko für kardiale Ereignisse, auch wenn die Langzeitprognose dieser Patienten noch nicht vollständig geklärt ist[21][22].

Behandlung

Es ist notwendig, die Risikofaktoren für koronare Herzkrankheit zu minimieren (Tabakentwöhnung, Gewichtsreduktion, Blutfettkontrolle). Die Leitlinien empfehlen bei chronischer, stabiler Erkrankung prinzipiell Statine unabhängig von den Blutfettwerten, zudem vorbeugende Dauertherapie mit ASS und/oder anderen Gerinnungshemmern.[23] Zusätzlich können Betablocker verordnet werden.[24] Abhängig vom Schweregrad der Erkrankung kann ein Eingriff im Linksherzkatheterlabor erforderlich werden, bei dem Engstellen erweitert (PTCA) oder mit einem Stent versorgt werden. Wenn mehr als zwei Koronargefäße verengt sind oder der linke Hauptstamm, dann eignet sich meist eine Bypass-Operation besser.[24]

Beim akuten Anfall länger als fünfzehn Minuten („akutes Koronarsyndrom“) folgt die Erstversorgung den Empfehlungen für Herzinfarkte, d. h. Nitroglycerin, Antikoagulation, ggf. intravenöse Schmerzmittel, Sauerstoff, und schnellstmöglichen Transport in ein Akutzentrum mit Linksherzkatheter, wo ggf. Wiedereröffnung verschlossener Gefäße möglich ist.[25]

Differenzialdiagnose

Differentialdiagnosen bei Patienten mit Brustschmerzen in der Hausarztpraxis in %[26]
Diagnosen Klinkman[27]
n=396
Lamberts[26]
n=1875
Svavarsdottir[28]
n=190
Atmung 5 3 6
Kardial 16 22 18
Lungenembolie     2
Magen-Darm-Trakt 19 2 4
Orthopädisch 36 45 49
Psychosomatisch 8 11 5
Sonstiges 16 17 16

Meist wird zunächst vom Leitsymptom Brustschmerz ausgegangen.[29][30] Eine koronare Herzkrankheit diagnostizierte man bei rund 15 % der Brustschmerzpatienten, 3,5 % von ihnen hatten ein akutes Koronarsyndrom. Psychogene Störungen machte man bei 9,5 % für die Schmerzen verantwortlich. Differenzialdiagnostisch sind zudem gastrointestinale Erkrankungen relevant. Ein gastrointestinaler Reflux fand sich beispielsweise mit einer Rate von 3,5 %.[31] Differentialdiagnostisch müssen bei einer Angina pectoris folgende Erkrankungen berücksichtigt werden:

Literatur

  • Nikolaus Marx, Erland Erdmann (Hrsg.): Klinische Kardiologie: Krankheiten des Herzens, des Kreislaufs und der herznahen Gefäße (= Springer Reference Medizin). 9. Aufl. 2023. Springer Berlin Heidelberg, Berlin, Heidelberg 2023, ISBN 978-3-662-62932-1.
  • Hans-Joachim Kinsky: Diagnose Koronare Herzkrankheit: Risiken vorbeugen - Therapien verstehen (= Programmbereich Medizin). 1. Auflage. Hogrefe, Bern 2024, ISBN 978-3-456-76240-1.

Einzelnachweise

  1. Angina Pectoris, die. In: duden.de
  2. DIMDI – ICD-10-WHO Version 2016.
  3. Friedrich Ludwig Kreysig: Geschichte einer Brustbräune (angina pectoris oder Syncope Anginosa Parry) nebst Leichenöffnung. In: Ernst Horn (Hrsg.): Archiv für medizinische Erfahrung. Berlin 1803.
  4. Hans H. Lauer: Geschichtliches zur Koronarsklerose. BYK Gulden, Konstanz 1971 (Aus dem Institut für Geschichte der Medizin der Universität Heidelberg), S. 20.
  5. Hans H. Lauer: Geschichtliches zur Koronarsklerose. BYK Gulden, Konstanz 1971 (Aus dem Institut für Geschichte der Medizin der Universität Heidelberg), S. 20.
  6. Dr. K. Schüssel, H. Weirauch, Dr. A. Schlotmann, G. Brückner, H. Schröder (Hrsg.): Gesundheitsatlas Deutschland Koronare Herzkrankheit. Wissenschaftliches Institut der AOK, Berlin 2022.
  7. Koronare Herzkrankheit: Sterblichkeit. In: Gesundheitsberichterstattung. Robert-Koch-Institut, 2025, abgerufen am 6. Mai 2025.
  8. Die 10 häufigsten Todesfälle durch Herz-Kreislauf-Erkrankungen. Statistisches Bundesamt, 19. August 2024, abgerufen am 6. Mai 2025.
  9. a b c Erland Erdmann: Klinische Kardiologie: Krankheiten des Herzens, des Kreislaufs und der herznahen Gefäße. Springer Verlag, Berlin/Heidelberg 2011, ISBN 978-3-642-16481-1, S. 14 (Vorschau in der Google-Buchsuche).
  10. Christian Albus, Jörg Barkhausen, Eckart Fleck, Jörg Haasenritter, Oliver Lindner, Sigmund Silber: The Diagnosis of Chronic Coronary Heart Disease. In: Deutsches Ärzteblatt international. 20. Oktober 2017, ISSN 1866-0452, doi:10.3238/arztebl.2017.0712, PMID 29122104, PMC 5686296 (freier Volltext) – (aerzteblatt.de [abgerufen am 6. Mai 2025]).
  11. a b c d Wolfgang Gerok: Die Innere Medizin: Referenzwerk für den Facharzt. 11., völlig neu bearb. und erw. Auflage. Schattauer Verlag, Stuttgart 2007, ISBN 978-3-7945-2222-4, S. 142, urn:nbn:de:101:1-2015060920056 (Vorschau in der Google-Buchsuche).
  12. a b c d What Is Coronary Microvascular Disease? National Heart, Lung, and Blood Institute; abgerufen am 10. Dezember 2012.
  13. Andere Angabe: „Angina bei sehr schwerer, sehr langer oder sehr schneller körperlicher Belastung“. Quelle: Aktuelles Wissen Hoechst, Farbwerke Hoechst, Literatur Service. Peter Gerber, Otto Wicki: Stadien und Einteilungen in der Medizin, Georg Thieme Verlag, Stuttgart / New York 1990, ISBN 3-13-743901-9, S. 51, mit der dortigen Quelle: Lucien Campeau: Grading of angina pectoris, in: Circulation, Jahrgang 54 (1975), S. 522–523.
  14. Grading of angina pectoris. (PDF) Campeau Lucien. Grading of angina pectoris. Circulation 1976;54:522–523. Canadian Cardiovascular Society, 1976, abgerufen am 18. März 2021.
  15. a b Harald Lapp, Ingo Krakau: Das Herzkatheterbuch: Diagnostische und interventionelle Kathetertechniken. 3., vollst. überarb. und erw. Auflage. Georg Thieme Verlag, Stuttgart/New York, NY 2009, ISBN 978-3-13-112413-5, S. 202 (Vorschau in der Google-Buchsuche).
  16. Reinhard Larsen: Anästhesie und Intensivmedizin in Herz-, Thorax- und Gefäßchirurgie. (1. Auflage 1986) 5. Auflage. Springer, Berlin/Heidelberg/New York u. a. 1999, ISBN 3-540-65024-5, S. 180 f.
  17. a b Vinzenz Hombach: Interventionelle Kardiologie, Angiologie und Kardiovaskularchirurgie: Technik, Klinik, Therapie. Schattauer Verlag, Stuttgart 2001, S. 324 (Vorschau in der Google-Buchsuche).
  18. Gerd Herold: Innere Medizin. Köln 2007, S. 210.
  19. C. Thomas: Spezielle Pathologie. Schattauer, Stuttgart/New York 1996, ISBN 3-7945-1713-X, S. 172 (Vorschau in der Google-Buchsuche).
  20. E. Braunwald: Unstable angina. A classification. In: Circulation. Band 80, Nummer 2, August 1989, ISSN 0009-7322, S. 410–414, PMID 2752565.
  21. Shimokawa H. (Hrsg.): Coronary Vasomotion Abnormalities. Springer, Singapore 2021.
  22. Shimokawa H., Suda A., Takahashi J., Berry C., Camici P.G., Crea F., Escaned J., Ford T., Yii E., Kaski J.C. et al.: Clinical characteristics and prognosis of patients with microvascular angina: An international and prospective cohort study by the Coronary Vasomotor Disorders International Study (COVADIS) Group. In: Eur Heart J. Band 42, Nr. 44, 2021, S. 4592–4600,, PMID 34038937.
  23. Holger Eggebrecht et al.: Chronisches Koronarsyndrom: Die aktuellen Leitlinien im Vergleich. In: Allgemeinarzt.digital. 10. November 2024, abgerufen am 6. Mai 2025.
  24. a b Arbeitsgemeinschaft der Wissenschaftlichen Medizinischen Fachgesellschaften e V: Nationale VersorgungsLeitlinie Chronische KHK | Arbeitsgemeinschaft der Wissenschaftlichen Medizinischen Fachgesellschaften e. V. 3. September 2024, abgerufen am 6. Mai 2025.
  25. Akutes Koronarsyndrom ACS. In: DGK Leitlinien. Deutsche Gesellschaft für Kardiologie, 2023, abgerufen am 6. Mai 2025.
  26. a b Management of Chest Pain (ESC Clinical Practice Guidelines). (Memento vom 16. Dezember 2013 im Internet Archive) Leitlinien der European Society of Cardiology zu Brustschmerz von 2002; abgerufen am 5. Dezember 2012.
  27. M. S. Klinkman, D. Stevens, D. W. Gorenflo: Episodes of care for chest pain: a preliminary report from MIRNET. Michigan Research Network. In: The Journal of family practice. Band 38, Nummer 4, April 1994, ISSN 0094-3509, S. 345–352, PMID 8163958.
  28. A. E. Svavarsdóttir, M. R. Jónasson, G. H. Gudmundsson, K. Fjeldsted: Chest pain in family practice. Diagnosis and long-term outcome in a community setting. In: Canadian family physician Médecin de famille canadien. Band 42, Juni 1996, ISSN 0008-350X, S. 1122–1128, PMID 8704488, PMC 2146490 (freier Volltext).
  29. Leitlinie Nr. 15 (PDF; 415 kB) der Deutschen Gesellschaft für Allgemeinmedizin und Familienmedizin (DEGAM). März 2011 (Kurzversion, gültig bis: 31. Dezember 2015).
  30. Ilse Voget und Eilert Voget: Von Heberden bis Prinzmetal: Angina pectoris Synonyma: Begriffe – Erklärungen – Definitionen. Medikon Verlag, München 1987, ISBN 3-923866-16-X.
  31. Leitlinie Brustschmerz. (PDF; 1,4 MB) Langversion. In: leitlinien.degam.de. DEGAM, März 2011, S. 96, 102, archiviert vom Original (nicht mehr online verfügbar) am 16. Dezember 2013; abgerufen am 31. Juli 2019 (gültig bis: 31. Dezember 2015).