Zystisch adenomatoide Malformation der Lunge

Klassifikation nach ICD-10
Q33.8 Sonstige angeborene Fehlbildungen der Lunge
{{{02-BEZEICHNUNG}}}
{{{03-BEZEICHNUNG}}}
{{{04-BEZEICHNUNG}}}
{{{05-BEZEICHNUNG}}}
{{{06-BEZEICHNUNG}}}
{{{07-BEZEICHNUNG}}}
{{{08-BEZEICHNUNG}}}
{{{09-BEZEICHNUNG}}}
{{{10-BEZEICHNUNG}}}
{{{11-BEZEICHNUNG}}}
{{{12-BEZEICHNUNG}}}
{{{13-BEZEICHNUNG}}}
{{{14-BEZEICHNUNG}}}
{{{15-BEZEICHNUNG}}}
{{{16-BEZEICHNUNG}}}
{{{17-BEZEICHNUNG}}}
{{{18-BEZEICHNUNG}}}
{{{19-BEZEICHNUNG}}}
{{{20-BEZEICHNUNG}}}
Vorlage:Infobox ICD/Wartung {{{21BEZEICHNUNG}}}
ICD-10 online (WHO-Version 2019)

Die Zystisch adenomatoide Malformation der Lunge (Abkürzung CCAM von englisch congenital cystic adenomatoid malformation) ist eine Lungenfehlbildung, die zu der Gruppe der Hamartome gehört.[1]

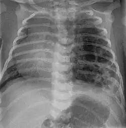
Zystisch adenomatoide Malformation bei einem Neugeborenen in der Röntgenaufnahme des Thorax. Man erkennt die großen zystischen Veränderungen der linken Lunge, die durch ihre raumfordernde Wirkung zu einem Mediastinalshift nach rechts geführt haben.
Zystische Malformation im CT-Bild

Formen

Typen nach Stocker:

  • Typ I: (50 %) Eine oder mehrere Zysten mit 2–10 cm Durchmesser, zum Teil zusätzlich noch kleinere Zysten. Teilweise enthalten die Zysten Schleim.
  • Typ II: (40 %) multiple kleine gleichmäßige Zysten von 0,5–2 cm Durchmesser.
  • Typ III: (<10 %) mikroskopisch kleine Zysten. In der Bildgebung zeigt sich eine solide Masse.[2]

Symptome

Infekte der Bronchien und der Lunge, Atemnot, respiratorische Insuffizienz, Herzinsuffizienz[3] und Gedeihstörungen.

Es besteht eine Assoziation mit dem Pleuro-pulmonalen Blastom.

Diagnostik

Die CCAM kann bereits vorgeburtlich im Ultraschall gesehen werden. Eine engmaschige Kontrolle nach Diagnosestellung ist notwendig, da es zu einem raschen Wachstum kommen kann.[4] Allerdings regredieren 56 % der entdeckten CCAMs.[2]

Nach der Geburt: Röntgen der Lunge, CT, ggf. Bronchoskopie, NMR

Therapie

Wenn durch eine starke Größenzunahme vor der Geburt der Tod des Kindes befürchtet wird, kann in einem entsprechenden Zentrum eine vorgeburtliche offene Entfernung des Prozesses durchgeführt werden.[4]

Wenn die CCAM Symptome macht, wird die chirurgische Entfernung empfohlen, asymptomatische Fälle werden noch kontrovers diskutiert.[2]

Einzelnachweise

  1. B. T. Sweeney, K. T. Oldham: Pulmonary Malformations. In: P. Puri, M. Höllwarth: Pediatric Surgery. Springer, 2006, S. 107.
  2. a b c Gerald Mandell: Imaging in Congenital Cystic Adenomatoid Malformation. In: Medscape.com. 23. Oktober 2013, abgerufen am 26. Dezember 2014 (englisch).
  3. Leitlinien-Detailansicht. Arbeitsgemeinschaft der Wissenschaftlichen Medizinischen Fachgesellschaften e. V. (AWMF), archiviert vom Original (nicht mehr online verfügbar) am 27. Dezember 2014; abgerufen am 26. Dezember 2014 (Leitlinie Kinderchirurgie zu Lungenzysten).  Info: Der Archivlink wurde automatisch eingesetzt und noch nicht geprüft. Bitte prüfe Original- und Archivlink gemäß Anleitung und entferne dann diesen Hinweis.@1@2Vorlage:Webachiv/IABot/www.awmf.org
  4. a b A. Strauss, M. R. Harrison, H. Hepp, B. Paek: Fetale Chirurgie. In: Speculum – Zeitschrift für Gynäkologie und Geburtshilfe. 19 (4), 2001, S. 14–22.