Zervikaler ösophagealer Pouch

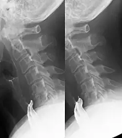
Ein zervikaler ösophagealer Pouch ist eine vorübergehende kleine Ausstülpung der Speiseröhre während des Schluckens am häufigsten nach hinten unmittelbar unter dem oberen Ösophagussphinkter im Laimer-Dreieck. Wenn die Ausstülpung auch in der Ruhephase zwischen dem Schlucken konstant nachweisbar ist, handelt es sich um ein Killian-Jamieson-Divertikel.
Die Lage unter dem Sphinkter und dadurch bedingt die Entleerung nach unten in die Speiseröhre helfen bei der Abgrenzung gegen Zenker-Divertikel und -pouches.
Quellen
- Vogl, Reith, Rummeny: Diagnostische und interventionelle Radiologie, Springer-Verlag, Berlin, 2010 ISBN 978-3-540-87667-0
Weblinks
Commons: Ösophageale Divertikel und Pouches – Sammlung von Bildern, Videos und Audiodateien