Wurzelkanalrevision
Unter einer Wurzelkanalrevision (auch Endorevision) versteht man in der Zahnmedizin die Wiederholung einer Wurzelkanalbehandlung an einem Zahn. Diese Sekundärbehandlung kann notwendig werden, wenn nach der ersten Wurzelkanalbehandlung nicht der gewünschte Heilungserfolg eingetreten ist.
Ziel der Revision ist die Ausheilung der Periapikalregion, des die Zahnwurzel umgebenden Knochen und des parodontalen Ligaments, sowie die Beseitigung und Vorbeugung von Beschwerden, wie Schmerz oder Schwellung

Durch die Entfernung der alten Wurzelfüllung, die erneute Reinigung des Wurzelkanalsystems, die Wurzelfüllung und die Herstellung einer neuen Restauration (Zahnkrone) soll ein dauerhafter Verschluss des endodontischen Systems geschaffen werden.[1]
Gründe für den Misserfolg von Wurzelkanalbehandlungen
Neben Wurzelfrakturen ist die Hauptursache für das Scheitern von Wurzelkanalbehandlungen die Kontamination des Wurzelkanallumens mit Bakterien. Diese sind entweder im Wurzelkanalsystem verblieben, später neu durch undichte Restaurationen oder Karies in das Wurzelkanalsystem eingedrungen oder ins periapikale Gewebe iatrogen während der Behandlung transportiert worden.[2][3][4] Man unterscheidet zwischen intraradikulären (innerhalb der Wurzel) und extraradikulären (außerhalb der Wurzel) lokalisierten Infektionen. Darüber hinaus gibt es nicht infektiöse Ursachen für den Misserfolg von Wurzelkanalbehandlungen.[5] In einer wissenschaftlichen Stellungnahme der Deutschen Gesellschaft für Zahn-, Mund- und Kieferheilkunde (DGZMK) aus dem Jahr 2004 werden die Ursachen des endodontischen Misserfolgs/postendodontische Erkrankungen wie folgt definiert:[1]
- Persistenz von Mikroorganismen nach der Initialbehandlung
- Unbehandelte Wurzelkanäle bzw. Wurzelkanalabschnitte
- Undichte koronale Restauration (undichte Kronen oder Füllungen) bzw. koronales “Mikroleakage” mit Neuzutritt von Mikroorganismen
- Fremdkörperreaktion
- Extraradikuläre Infektionen
Intraradikuläre Infektionen
Im Rahmen der bakteriellen Kontamination finden sich signifikant häufig Bakterien der Spezies Enterococcus faecalis bei wurzelgefüllten Zähnen mit Entzündung an der Wurzelspitze.[6][6][7] Auch Pilzinfektionen, insbesondere Pilze der Spezies Candida albicans lassen sich bei gescheiterten Wurzelfüllungen im Kanal nachweisen.[8][9] Die Besiedelung mit Candida albicans oder Enterococcus faecalis im Wurzelkanal wird begünstigt durch das Arbeiten ohne Kofferdam, einen undichten temporären oder permanenten koronalen Verschluss der Zugangskavität, unnötig lange Gesamtbehandlungszeit über mehrere Sitzungen oder die Anwendung von nicht wirksamen antiseptischen Wirkstoffen.[10]
Extraradikuläre Infektionen
Eine intraradikuläre Infektion kann sich durch die natürliche Öffnung an der Wurzelspitze in die umliegenden Gewebe, Knochen und Parodont, und schließlich auf die Außenfläche der Wurzel ausbreiten.[11][12][13] Diese extraradikuläre Infektion kann auch durch ein versehentliches Verschleppen von Keimen bei der Wurzelkanalbehandlung verursacht werden.[14][15] An der Wurzeloberfläche siedeln sich die Bakterien in einem Biofilm an, der durch das körpereigene Immunsystem nur unzureichend eliminiert werden kann (13). Außerdem ist es auch möglich, dass Bakterien in Nestern von Epithelzellen, zum Beispiel in Restgeweben von Zysten, verbleiben und so eine Ausheilung der Periapikalregion verhindern (17). Extraradikuläre Infektionen können im Gegensatz zu intraradikulären Infektionen durch eine Revisionsbehandlung allein nicht erfolgreich therapiert werden.[10]
Nicht infektiöse Ursachen
In seltenen Fällen sind nicht infektiöse Ursachen wie Fremdkörperreaktionen ursächlich für den Misserfolg einer Wurzelkanalbehandlung. Cholesterinkristalle, die durch langanhaltende chronische Entzündungen entstehen, können zum Beispiel Fremdkörperreaktionen im periapikalen Gewebe hervorrufen. Genauso können Spuren des Talkumanteils des Wurzelfüllmaterials (Guttapercha) oder Zellulosepartikel von Papierspitzen, die zum Trocknen des Wurzelkanäle hergenommen werden, nicht infektiöse Entzündungen bedingen.[16][17] Bei Misserfolgen mit extraradikulärer oder nicht-infektiöser Ursache kann nur ein chirurgischer Eingriff (Wurzelspitzenresektion) eine Heilung ermöglichen.[10]
Indikationen für die Notwendigkeit einer Wurzelkanalrevision
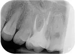
Zur Beurteilung des Erfolges einer Wurzelkanalbehandlung werden klinische Beschwerden, wie Schmerzen, Schwellungen oder Fistelgänge sowie der röntgenologische Befund herangezogen. Oft sind trotz endodontischer Infektion keine klinischen Beschwerden vorhanden, weshalb gerade die röntgenologische Kontrolle Hauptkriterium für die Beurteilung ist.[10] Neben der vorhandenen Wurzelfüllung und Veränderungen in der Wurzelphysiognomie (Resorptionen) wird vor allem der Zustand des periapikalen Gewebes begutachtet und auf das Vorhandensein einer Parodontitis apikalis oder einer radikulären Zyste geprüft.
Indikationen zur Revision nach Fachgesellschaften
Die European Society of Endodontology (ESE) gibt in ihren Qualitätsrichtlinien für die endodontologische Behandlung folgende Gründe für die Notwendigkeit einer Wurzelkanalrevision an (20):
- Bei Zähnen mit unzureichender Wurzelfüllung mit röntgenologischem Befund einer entstehenden oder verbliebenen Parodontitis apikalis (Entzündung des Gewebes, das die Zahnwurzel umgibt) und/oder Symptomen (Schmerzen, Beschwerden).
- Bei Zähnen mit unzureichender Wurzelfüllung, die einen Austausch der koronalen Restauration (z. B. Krone) benötigen oder ein koronales Bleaching.
Die Indikationen zur Revision einer Wurzelkanalbehandlung der DGZMK lauten:[1]
- Wurzelkanalbehandelte Zähne mit röntgenologischen Symptomen einer persistierenden oder neu entstandenen, endodontisch bedingten Parodontitis apicalis.
- Wurzelkanalbehandelte Zähne mit klinischen Symptomen einer endodontisch bedingten Parodontitis apicalis.
- Wurzelkanalbehandelte Zähne mit röntgenologisch oder klinisch insuffizienter Wurzelkanalfüllung (z. B. mangelhafte Homogenität der Füllung, nicht behandelte Wurzelkanäle, nicht gefüllte Areale des endodontischen Systems, fragwürdiges und nicht mehr indiziertes Füllmaterial etc.) ohne klinische oder röntgenologische Anzeichen einer Parodontitis apicalis.
- Wurzelkanalfüllungen mit Exposition zum Mundhöhlenmilieu.
- Wurzelkanalbehandelte Zähne mit progressiv verlaufenden, externen entzündlichen Resorptionen.
Kontraindikationen
Wenn eine Verbesserung des Ausgangszustandes und eine Beseitigung der möglichen Ursachen nicht zu erwarten sind oder die Erhaltung des Zahns fragwürdig ist, ist von einer Revision abzusehen. Ebenso müssen nicht-endodontische Ursachen der Erkrankung vor einem Eingriff ausgeschlossen werden.[1] Nach Strindberg et al. wird der endodontische Misserfolg nach einer ausreichenden Heilungszeit von vier Jahren mit dem Vorhandensein einer residuellen, persistierenden oder progredienten röntgenologischen Aufhellung (Dunkler Punkt an der Wurzelspitze im Röntgenbild) und/oder mit dem Vorhandensein klinischer Beschwerden jeglicher Form definiert.[18]
Klinischer Behandlungsablauf
Um die Behandlung in einem bakterienfreien Milieu gewährleisten zu können, sollte zunächst ein Kofferdam angelegt werden, das die im Speichel befindlichen Bakterien vom Operationsfeld fernhält.
In einem zweiten Schritt werden eventuell vorhandene Karies und undichte Füllungen entfernt und die fehlenden Anteile am Zahn mit einer bakteriendichten Aufbaufüllung ergänzt. Gegebenenfalls müssen vorhandene Restaurationen, wie Kronen, komplett entfernt werden. Stellt sich hierbei heraus, dass der Zahn nicht mehr erhaltungswürdig ist, da keine Aussicht auf Erhaltung mehr besteht, wird von einer Revision abgesehen.
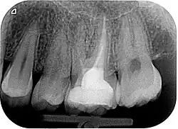
Anschließend wird eine ausreichend große Zugangskavität geschaffen und eventuell. vorhandene Wurzelstifte sowie das alte Wurzelfüllmaterial mit Spezialfeilen aus den Kanälen vollständig entfernt. Ganze Kanäle oder Kanalabschnitte, die bei der ersten Wurzelkanalbehandlung nicht behandelt wurden, werden zusammen mit den freigeräumten Kanälen auf ganze Länge bis zum natürlichen Ausgang an der Wurzelspitze aufbereitet. Ziel ist, die vollständige Durchgängigkeit der Kanäle zu erreichen. Im Kanalsystem verbliebene, abgebrochene Instrumentenfragmente aus der Erstbehandlung werden gegebenenfalls entfernt.[19]
Die vollständige Präparation der Kanäle erfolgt chemo-mechanisch, wobei für die Desinfektion des endodontischen Systems vorzugsweise mit Natriumhypochlorit, Ethylendiamintetraessigsäure (EDTA) und Chlorhexidin (CHX) gespült wird. In manchen Fällen ist nach der Aufbereitung die Applikation einer medizinischen Einlage in die Kanäle notwendig. Der Zahn wir dann provisorisch verschlossen und die Wurzelkanäle in einer weiteren Sitzung abgefüllt.
Das Wurzelkanalsystem wird, wie nach einer Erstbehandlung, definitiv mit einem volumenbeständigen und biokompatiblen Füllmaterial, meist mit Guttapercha, (1) verschlossen.
Erfolgsraten von Wurzelkanalrevisionen
Die Erfolgsrate der Wurzelkanalrevisionsbehandlung hängen sehr stark vom Ausgangsbefund ab. Vor allem ob eine periapikalen Läsion bei Behandlungsbeginn bestand, ist entscheidend für die Prognose. Friedman und Mor zeigten, dass bei Erstbehandlungen sowie Revisionsbehandlungen ohne eine Entzündung an der Wurzelspitze die Erfolgsraten zwischen 92 % und 98 % in der 10 Jahreskontrolle erreicht werden. Bei Vorhandensein einer Parodontitis apikalis sinken die Heilungschancen auf Werte zwischen 74 % und 86 % (23) Im Mittel werden in der Literatur Erfolgsquoten von Revisionsbehandlungen von 60 % bis 80 % angegeben.[1]
Im Falle eines Scheiterns der Revision kann eine Wurzelspitzenresektion angeraten sein. Wenn keine Behandlung Erfolg hat, bliebe nur noch die Entfernung des Zahns und die Versorgung mit Zahnersatz.
Einzelnachweise
- ↑ a b c d e Revision einer Wurzelkanalbehandlung. Gemeinsame Stellungnahme der DGZMK und DGZ DGZMK 2/2004. Abgerufen am 9. Mai 2015.
- ↑ P. N. Nair, U. Sjögren u. a.: Intraradicular bacteria and fungi in root-filled, asymptomatic human teeth with therapy-resistant periapical lesions: a long-term light and electron microscopic follow-up study. In: Journal of endodontics. Band 16, Nummer 12, Dezember 1990, ISSN 0099-2399, S. 580–588, doi:10.1016/S0099-2399(07)80201-9, PMID 2094761.
- ↑ U. Sjögren, D. Figdor u. a.: Influence of infection at the time of root filling on the outcome of endodontic treatment of teeth with apical periodontitis. In: International endodontic journal. Band 30, Nummer 5, September 1997, ISSN 0143-2885, S. 297–306, PMID 9477818.
- ↑ C. J. Ruddle: Nonsurgical retreatment. In: Journal of endodontics. Band 30, Nummer 12, Dezember 2004, ISSN 0099-2399, S. 827–845, PMID 15564860 (Review).
- ↑ J. F. Siqueira: Aetiology of root canal treatment failure: why well-treated teeth can fail. In: International endodontic journal. Band 34, Nummer 1, Januar 2001, ISSN 0143-2885, S. 1–10, PMID 11307374 (Review).
- ↑ a b A. Molander, C. Reit u. a.: Microbiological status of root-filled teeth with apical periodontitis. In: International endodontic journal. Band 31, Nummer 1, Januar 1998, ISSN 0143-2885, S. 1–7, PMID 9823122.
- ↑ V. Peciuliene, I. Balciuniene u. a.: Isolation of Enterococcus faecalis in previously root-filled canals in a Lithuanian population. In: Journal of endodontics. Band 26, Nummer 10, Oktober 2000, ISSN 0099-2399, S. 593–595, doi:10.1097/00004770-200010000-00004, PMID 11199800.
- ↑ T. M. Waltimo, E. K. Sirén u. a.: Susceptibility of oral Candida species to calcium hydroxide in vitro. In: International endodontic journal. Band 32, Nummer 2, März 1999, ISSN 0143-2885, S. 94–98, PMID 10371902.
- ↑ T. M. Waltimo, E. K. Sirén u. a.: Fungi in therapy-resistant apical periodontitis. In: International endodontic journal. Band 30, Nummer 2, März 1997, ISSN 0143-2885, S. 96–101, PMID 10332243.
- ↑ a b c d L. Thiele, R. Hickel, M. Folwaczny, Der endodontische Misserfolg – von der Definition zur Strategie ( vom 18. Mai 2015 im Internet Archive). Dtsch zahnarztl Z 58, 3: 144 (2003). Abgerufen am 9. Mai 2015.
- ↑ G. Lomçali, B. H. Sen, H. Cankaya: Scanning electron microscopic observations of apical root surfaces of teeth with apical periodontitis. In: Endodontics & dental traumatology. Band 12, Nummer 2, April 1996, ISSN 0109-2502, S. 70–76, PMID 9028200.
- ↑ L. Tronstad, F. Barnett, F. Cervone: Periapical bacterial plaque in teeth refractory to endodontic treatment. In: Endodontics & dental traumatology. Band 6, Nummer 2, April 1990, ISSN 0109-2502, S. 73–77, PMID 2132213.
- ↑ B. E. Wayman, S. M. Murata u. a.: A bacteriological and histological evaluation of 58 periapical lesions. In: Journal of endodontics. Band 18, Nummer 4, April 1992, ISSN 0099-2399, S. 152–155, doi:10.1016/S0099-2399(06)81409-3, PMID 1402568.
- ↑ Siqueira jr, J.F., Rocas, I.N., Veiga, L.M., Lopeas, H.P., Oliveira, J.C.M., Alves, F.R.F.: Ursachen persitierender postoperativer Beschwerden in der Endodontie. Endodontie 19, 29 2010
- ↑ Wu, M.-K., Wesselink, P.R.: Strategien beim Umgang mit persistierenden postendodontischen Erkrankungen. Endodontie 17, 9 (2008).
- ↑ H. S. Koppang, R. Koppang u. a.: Cellulose fibers from endodontic paper points as an etiological factor in postendodontic periapical granulomas and cysts. In: Journal of endodontics. Band 15, Nummer 8, August 1989, ISSN 0099-2399, S. 369–372, doi:10.1016/S0099-2399(89)80075-5, PMID 2637329.
- ↑ P. N. Nair, U. Sjögren u. a.: Therapy-resistant foreign body giant cell granuloma at the periapex of a root-filled human tooth. In: Journal of endodontics. Band 16, Nummer 12, Dezember 1990, ISSN 0099-2399, S. 589–595, doi:10.1016/S0099-2399(07)80202-0, PMID 2094762.
- ↑ Strindberg, L.Z.,: The dependence of the results of pulp therapy on certain factors. Acta Odontol Scand 14, (suppl.21) (1956)
- ↑ J. A. Basel, Das Patency Konzept. Masterthese, Department für interdisziplinäre Zahnmedizin und Technologie der Donau-Universität Krems, Österreich, (2010)