Wernicke-Enzephalopathie
| Klassifikation nach ICD-10 | |
|---|---|
| E51.2 | Wernicke-Enzephalopathie |
| ICD-10 online (WHO-Version 2019) | |
| Klassifikation nach ICD-11 | |
|---|---|
| 5B5A.10 | Wernicke-Enzephalopathie |
| ICD-11: Englisch • Deutsch (Entwurf) | |
Die Wernicke-Enzephalopathie (Enzephalopathie Gayet-Wernicke[1]) ist eine degenerative enzephaloneuropathische Erkrankung des Gehirns im Erwachsenenalter. Sie tritt bei Vitamin-B1-Mangel auf.
Die Erstbeschreibung geht auf Carl Wernicke (1848–1905) zurück, der 1881 eine Studie über hämorrhagische Veränderungen in der grauen Substanz der Corpora mamillaria bei drei Alkoholikern verfasste und diese (neben Alkohol auch bei Vergiftungen mit Schwefelsäure und „Frauenmilch“) als Polioencephalitis haemorrhagica superior[2] bezeichnete.[3] Weitere Bezeichnungen sind Pseudoencephalopathia haemorrhagica superior, Polioencephalitis haemorrhagica und Wernicke-Syndrom.
Das Wernicke-Korsakow-Syndrom ist eine Kombination von Wernicke-Enzephalopathie und Korsakow-Syndrom (Amnesie mit Konfabulationstendenz mit oder ohne Polyneuropathie). Diese Bezeichnung wurde erstmals 1904 von dem deutschen Nervenarzt bzw. Neurologen und Psychiater Karl Bonhoeffer vorgeschlagen.[4]
Ursachen
Eine Wernicke-Enzephalopathie findet sich vor allem bei mangelernährten Alkoholkranken, aber auch bei Patienten mit chronischer Gastritis, chronisch-entzündlichen Darmerkrankungen (wie Morbus Crohn), bei langanhaltendem Erbrechen z. B. unter Chemotherapie oder nach Adipositas-chirurgischen Eingriffen.
Im Jahr 2003 erkrankten in Israel mehrere Babys, die ausschließlich thiaminfreie Nahrung erhielten, an dem Syndrom.[5]
Eine Glucose-Infusion bei Alkoholikern mit unklarer Bewusstseinsstörung kann bei einem latenten Thiamin-Mangel eine Wernicke-Enzephalopathie oder ein Korsakow-Syndrom auslösen, da die Verstoffwechselung der Glucose Thiamin als Koenzym benötigt.
Entstehung

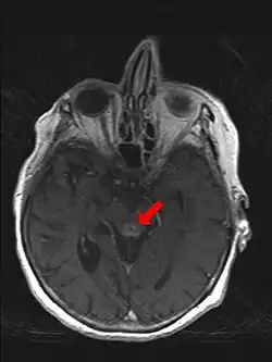
Zu Grunde liegt ein Vitamin-B1-Mangel (Thiamin), der zu Störungen im Kohlenhydratstoffwechsel durch Versagen einer energiereichen Phosphorylierung führt. Nach einer ödematösen Schwellung des Gehirns kommt es später auch zur Einblutung und Kapillarsprossung an bestimmten Stellen des Gehirns (Corpora mamillaria, hypothalamische Kerngebiete um den III. Ventrikel, Lamina tecti und periaquäduktales Grau mit Okulomotoriuskerngebieten). Es folgt eine Atrophie dieser Strukturen.
Die Kombination mit dem Korsakow-Syndrom wird Wernicke-Korsakow-Syndrom genannt. Die Schäden können irreversibel werden.
Symptome
Die Wernicke-Enzephalopathie wird klassischerweise durch eine Symptomtrias beschrieben:
- Hirnorganisches Psychosyndrom (HOPS) mit mentalen Veränderungen wie Gedächtnisverlust, Psychose, Konfusion und Konfabulationen, Desorientierung
- Gang- und Standunsicherheit (zerebelläre Ataxie)
- Augenbewegungsstörungen und Augenmuskellähmungen (horizontaler Nystagmus, Ophthalmoplegie, Anisokorie, Doppelsehen (Diplopie)).
Am Anfang stehen oft Doppelbilder, Sprechstörungen, Gangunsicherheit und Kribbelparästhesien der Beine. Hinzu kommen können neben der Symptomtrias Reflexstörungen, Bewusstseinsstörungen, Apathie und Somnolenz, Störungen der Feinmotorik mit Dysdiadochokinese, bulbärer Sprechstörung (Dysarthrie), Schluckstörung (Dysphagie), Schlafstörung (Insomnie), vegetativen Störungen wie Hypotonie, Hypothermie und Hyperhidrose.
Diagnose
Der Vitamin-B1-Spiegel kann im Blut nachgewiesen werden, wobei der Plasmaspiegel falsch-negativ ausfallen kann. Der Vollblut-Test gilt als sensitiver.[6]
Therapie
Die Behandlung besteht in der Gabe von Thiamin. Da die Absorption oral verabreichten Thiamins wechselnd und schlecht kontrollierbar ist, muss Thiamin im Notfall intravenös verabreicht werden. Während es keine Studien zur optimalen Dosierung gibt, wird nach einer Übersicht 2012 meist über zwei Tage 200 mg Thiamin gegeben. Teilweise wird auch dreimal täglich 500 mg für zwei Tage, gefolgt von einmal 500 mg Thiamin für fünf weitere Tage empfohlen. Danach wird allgemein eine weitere langfristige orale Gabe empfohlen.[6]
Siehe auch
Literatur
- G. Sechi, A. Serra: Wernicke’s encephalopathy: new clinical settings and recent advances in diagnosis and management. In: The Lancet Neurology, Band 6, Nummer 5, Mai 2007, S. 442–455, ISSN 1474-4422. doi:10.1016/S1474-4422(07)70104-7. PMID 17434099. (Review).
- Li S and Xing C (2025): Wernicke encephalopathy: a mini review of the clinical spectrum, atypical manifestations, and diagnostic challenges. Front. Neurol. 16:1566366. doi:10.3389/fneur.2025.1566366. (Review)
- Mario Lanczik: Wernickesche Erkrankung. In: Werner E. Gerabek, Bernhard D. Haage, Gundolf Keil, Wolfgang Wegner (Hrsg.): Enzyklopädie Medizingeschichte. De Gruyter, Berlin / New York 2005, ISBN 3-11-015714-4, S. 1475.
Einzelnachweise
- ↑ Günter Thiele, Heinz Walter (Hrsg.): Reallexikon der Medizin und ihrer Grenzgebiete. Verlag Urban & Schwarzenberg, Loseblattsammlung 1966–1977, 2. Ordner (Carg–Ez), München/ Berlin/ Wien 1967, ISBN 3-541-84000-5, S. E 111 f.
- ↑ Vgl. Immo von Hattingberg: Die Erkrankungen des Nervensystems. In: Ludwig Heilmeyer (Hrsg.): Lehrbuch der Inneren Medizin. Springer-Verlag, Berlin/Göttingen/Heidelberg 1955; 2. Auflage ebenda 1961, S. 1298–1355, hier: S. 1303: Polioencephalitis haemorrhagica superior (WERNICKE).
- ↑ Carl Wernicke: Die acute, hämorrhagische Poliencephalitis superior. In: Carl Wernicke: Lehrbuch der Gehirnkrankheiten für Aerzte und Studirende. Band 2. Verlag von Theodor Fischer, Berlin 1881, S. 229–242.
- ↑ Bonhoeffer K.: Der Korsakowsche Symptomenkomplex in seinen Beziehungen zu den verschiedenen Krankheitsformen. In: Allg Z Psychiatrie psych-gerichtl Med. Band 61, 1904, S. 744–752.
- ↑ A. Fattal-Valevski, A. Kesler, B. A. Sela u. a.: Outbreak of life-threatening thiamine deficiency in infants in Israel caused by a defective soy-based formula. In: Pediatrics. Band 115, Nr. 2, Februar 2005, S. e233–e238, doi:10.1542/peds.2004-1255, PMID 15687431.
- ↑ a b J. F. Merola, P. P. Ghoroghchian, M. A. Samuels, B. D. Levy, J. Loscalzo: At a loss. Clinical Problem-solving. In: New England Journal of Medicine. 2012; Band 367, S. 67–72.