Venole

.jpg)
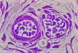
Eine Venole (lat. Venula, deutsch selten auch Venule) ist eine kleine Vene. Venolen sind mit den Arteriolen die feinsten noch mit bloßem Auge sichtbaren Blutgefäße. Man kann sie z. B. an der Sclera (weiße Augenhaut) des Auges als feine Gefäßzeichnung (Episcleralgefäße) erkennen.
Venolen entspringen dem venösen Abschnitt von Kapillaren und vereinigen sich mit benachbarten Venolen zu Venen. Ihr Grundaufbau gleicht dem von Venen, sie besitzen aber keine deutliche Schicht aus glatter Muskulatur (Tunica media) und keine Venenklappen. Bei der Leukozytenmigration, während einer Immunantwort, erfolgt der Einstrom der Leukozyten in die Lymphknoten über sogenannte hochendotheliale Venolen.
Verschieden dicke Venolen unterscheiden sich etwas im Aufbau, so dass unterteilt wird nach postkapillären Venolen mit einem Durchmesser von 10 bis 30 Mikrometern, Sammelvenolen (30 – 50 Mikrometer) und muskulären Venolen (50 – 100 Mikrometer). Die Wände der Sammelvenolen enthalten neben Perizyten einzelne, verzweigte glatte Muskelzellen. Erst die muskulären Venolen haben eine Lage überlappender verzweigter glatter Muskelzellen. Die anschließenden Venen haben zwei oder mehr Schichten glatter Muskelzellen.[1]
Einzelnachweise
- ↑ Alfred Benninghoff, Detlev Drenckhahn: Anatomie. Herz-Kreislauf-System, Lymphatisches System, Endokrines System, Nervensystem, Sinnesorgane, Haut. Hrsg.: Detlev Drenckhahn. 16. Auflage. Band 2. Urban & Fischer, München 2004, ISBN 3-437-42350-9, S. 95 (eingeschränkte Vorschau in der Google-Buchsuche).