Trypanosoma equiperdum
| Trypanosoma equiperdum | ||||||||||||
|---|---|---|---|---|---|---|---|---|---|---|---|---|
Trypanosoma equiperdum | ||||||||||||
| Systematik | ||||||||||||
| ||||||||||||
| Wissenschaftlicher Name | ||||||||||||
| Trypanosoma equiperdum | ||||||||||||
| Doflein, 1901 |
Trypanosoma equiperdum ist eine Art von einzelligen Parasiten aus der Gattung der Trypanosomen, die als Krankheitserreger der Beschälseuche, einer Deckseuche bei Pferden auftritt. Der Parasit wird im Gegensatz zu allen anderen krankheitserregenden Trypanosomen nicht durch Insekten, sondern praktisch ausschließlich beim Deckakt übertragen.
Entdeckung und Beschreibung
Die erste Beschreibung von Trypanosomen im Blut eines an der Beschälseuche erkrankten Pferdes stammt aus dem Jahr 1896 vom am Militärkrankenhaus in Algier tätigen Arzt J. Rouget.[1] Von Franz Theodor Doflein wurde der Erreger Trypanosoma equiperdum genannt;[2] das Epitheton equiperdum setzt sich aus den lateinischen Wörtern Equus (Pferd) und perdere (verderben) zusammen.
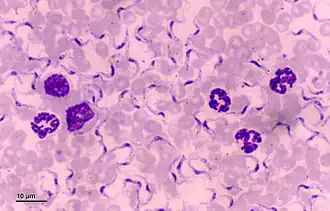
Der Einzeller hat eine einzelne Geißel, die an der Zelloberfläche unter einer undulierenden Membran zum Vorderende der Zelle verläuft und dort zu einer freischwingenden Geißel wird. Ferner haben die Zellen einen kleinen Kinetoplasten, einer Ansammlung von Desoxyribonukleinsäure innerhalb eines großen Mitochondriums; dieser kann in manchen Isolaten fehlen. Der Parasit kommt nur in einer trypomastigoten Zellform vor. Mikroskopisch ist der Parasit nicht von Trypanosoma brucei oder Trypanosoma evansi zu unterscheiden.
Trypanosoma equiperdum wird in die Untergattung Trypanozoon eingeordnet. Alle Vertreter dieser Untergattung, zu denen neben Trypanosoma equiperdum auch Trypanosoma evansi und Trypanosoma brucei zählen, sind nicht nur mikroskopisch, sondern auch nach molekularen Eigenschaften sehr ähnlich. Trypanosoma equiperdum unterscheidet sich von Trypanosoma brucei praktisch nur durch teilweises Fehlen der kDNA-Maxicircles, der im Kinetoplasten in vielen Kopien vorkommenden mitochondrialen DNA. Deletionen in der mitochondrialen DNA führen dazu, dass sich Trypanosoma equiperdum nicht in Tsetsefliegen vermehren kann, da von der mitochondrialen DNA codierte Gene für den oxidativen Energiestoffwechsel, der von Trypanosomen zur Vermehrung in Tsetsefliegen benötigt wird, essentiell sind.[3] In Säugetieren beschränken sich Trypanosomen auf die Glykolyse zur Energiegewinnung.
Detaillierte molekulare Untersuchungen kamen zu dem Schluss, dass Trypanosoma equiperdum nicht monophyletisch ist, sondern eine Gruppe von mehrfach entstandenen spontanen Mutationen von Trypanosoma brucei darstellt; daraus wurde abgeleitet, dass eine Einstufung als eigene Art nicht gerechtfertigt sei. Es wurde vorgeschlagen, die Parasiten als Unterart von Trypanosoma brucei mit der Bezeichnung Trypanosoma brucei equiperdum einzustufen.[4]
Verbreitung und Wirtstiere
Ursprünglich war der Parasit weltweit in Pferden verbreitet. Heute gilt er in Mitteleuropa, Nordamerika und Australien als getilgt. Bei der Weltorganisation für Tiergesundheit wurden in den letzten Jahren noch wiederholt Erkrankungen aus Botswana, Äthiopien, Kirgisistan, Namibia, Pakistan, Russland und Südafrika gemeldet.[5] Die einzigen natürlichen Wirte sind Pferde, Maultiere und Esel. Hunde, Kaninchen und Nagetiere können experimentell infiziert werden.
Lebenszyklus
Trypanosoma equiperdum hat den einfachsten Lebenszyklus aller Trypanosomen. Eine Vermehrung findet ausschließlich in Säugetieren statt, ein Formenwechsel wie bei anderen Trypanosomen kommt nicht vor. Die Übertragung erfolgt von Pferd zu Pferd während des Deckaktes. Es gibt aber auch Hinweise auf eine Übertragung von der Stute auf das Fohlen. Nach dem Deckakt vermehren sich die Parasiten im Gewebe des Harn- und Geschlechtsapparates, gelangen von dort aber auch vorübergehend in die Blutbahn. Die Zahl der Parasiten im Blut ist im Vergleich zu anderen Trypanosomen gering, was den Parasitennachweis außerordentlich erschwert.
Einzelnachweise
- ↑ J. Rouget: Contribution a l‘étude du trypanosome des mammifères In: Annales de l'institut Pasteur. Bd. 10. 1896, S. 716–728 (online)
- ↑ Franz Theodor Doflein: Die Protozoen als Parasiten und Krankheitserreger nach biologischen Gesichtspunkten dargestellt. Jena: Gustav Fischer, 1901, S. 66–68 (online)
- ↑ A. Schnaufer, G. J. Domingo, K. Stuart: Natural and induced dyskinetoplastic trypanosomatids: how to live without mitochondrial DNA. In: Int J Parasitol. 32(9), 2002 Aug, S. 1071–1084. PMID 12117490
- ↑ D. H. Lai, H. Hashimi, Z. R. Lun, F. J. Ayala, J. Lukes: Adaptations of Trypanosoma brucei to gradual loss of kinetoplast DNA: Trypanosoma equiperdum and Trypanosoma evansi are petite mutants of T. brucei. In: Proc Natl Acad Sci U S A. 105(6), 2008 Feb 12, S. 1999–2004. PMID 18245376
- ↑ Beschälseuche bei der Weltorganisation für Tiergesundheit
Literatur
- Ian Maudlin, P. H. Holmes, Michael A. Miles (Hrsg.): The Trypanosomiases. CABI Publishing, Wallingford 2004, ISBN 0-85199-475-X.
- R. Brun, H. Hecker, Z. R. Lun: Trypanosoma evansi and T. equiperdum: distribution, biology, treatment and phylogenetic relationship (a review). In: Vet Parasitol. 79(2), 1998 Oct, S. 95–107. PMID 9806490
- F. Claes, P. Büscher, L. Touratier, B. M. Goddeeris: Trypanosoma equiperdum: master of disguise or historical mistake? In: Trends Parasitol. 21(7), 2005 Jul, S. 316–321. PMID 15923142
_Trypanosoma_equiperdum.jpg)