Gonorrhoe
| Klassifikation nach ICD-10 | |
|---|---|
| A54.0 | Gonokokkeninfektion des unteren Urogenitaltraktes |
| A54.1 | – mit Abszessbildung |
| A54.2 | Gonokokkeninfektion sonstiger Urogenitalorgane |
| A54.3 | Gonokokkeninfektion des Auges |
| A54.4 | Gonokokkeninfektion des Muskel-Skelett-Systems |
| A54.5 | Gonokokkenpharyngitis |
| A54.6 | Gonokokkeninfektion des Anus und des Rektums |
| A54.8 | sonstige Gonokokkeninfektion |
| ICD-10 online (WHO-Version 2019) | |
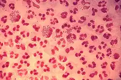
Die Gonorrhoe (auch Gonorrhö und Gonorrhöe, von altgriechisch γονόῤῥοια gonórrhoia, wörtlich „Samenfluss“) ist eine der häufigsten sexuell übertragbaren Erkrankungen. Diese bakterielle Infektionskrankheit befällt die Schleimhäute von Harn- und Geschlechtsorganen. Ausgelöst wird sie durch 1879 erstmals mikroskopisch nachgewiesene Gonokokken (Neisseria gonorrhoeae), aerobe (sauerstoffabhängige), gramnegative, bewegliche Bakterien, die als sogenannte Diplokokken paarweise auftreten.
Die umgangssprachliche Bezeichnung Tripper (entlehnt aus niederländisch druiper, zu niederdeutsch druipen „tropfen“) ist seit der zweiten Hälfte des 17. Jahrhunderts belegt.[1][2]
Mit der Syphilis, dem weichen Schanker und der venerischen Lymphknotenentzündung zählt der Tripper zu den klassischen Geschlechtskrankheiten.[3]
Epidemiologie und Meldepflicht
Bei der Gonorrhoe handelt es sich um eine weltweit vorkommende, ausschließlich beim Menschen auftretende sexuell übertragbare Erkrankung. Von einer an Gonorrhoe erkrankten schwangeren Frau kann der Erreger während der Geburt auf ihr Kind übertragen werden.
Bis zum Jahr 2000 war die Erkrankung in Deutschland meldepflichtig. Die Meldepflicht wurde aufgehoben mit Einführung des Infektionsschutzgesetzes, welches das Bundes-Seuchengesetz und das Gesetz zur Bekämpfung der Geschlechtskrankheiten ablöste.
Nach dem österreichischen Geschlechtskrankheitengesetz ist Tripper beschränkt meldepflichtig (§ 4 in Verbindung mit § 1 Geschlechtskrankheitengesetz).
In der Schweiz ist Gonorrhoe ebenfalls für Ärzte, Spitäler usw. eine meldepflichtige Krankheit und zwar nach dem Epidemiengesetz (EpG) in Verbindung mit der Epidemienverordnung und Anhang 1 der Verordnung des EDI über die Meldung von Beobachtungen übertragbarer Krankheiten des Menschen. Meldepflichtig ist ein positiver laboranalytischer Befund.
Die Erkrankungszahlen sind seit Ende der 1970er Jahre rückläufig, in den 1990er Jahren gingen die Trends in Europa jedoch auseinander. In der zweiten Hälfte der 1990er Jahre meldeten Belgien, Großbritannien und Frankreich eine Zunahme der Erkrankungen, in anderen Ländern blieb die Inzidenz dagegen gleich oder war rückläufig.
Weltweit stellt die Gonorrhoe ein großes gesundheitliches Problem dar. Nach Schätzungen der Weltgesundheitsorganisation liegt die Zahl der Neuerkrankungen jedes Jahr bei 60 Millionen,[4] das ist ungefähr ein Prozent der Weltbevölkerung.
Deutschland
Es gibt in Deutschland etwa 11 bis 25 Erkrankte je 100.000 Einwohner beziehungsweise ungefähr 10.000 bis 20.000 Fälle pro Jahr. Im Jahr 2000 gab es 2.000 gemeldete Fälle.[5] In Sachsen stieg die Zahl der Infektionen je 100.000 Einwohner von 6,8 im Jahr 2003 auf 14,3 im Jahr 2010 an.[6] Das Robert Koch-Institut schätzt eine Dunkelziffer nicht gemeldeter Fälle in den 1990er Jahren von 85 Prozent.[7]
Vereinigte Staaten von Amerika
In den Vereinigten Staaten gab es im Jahr 2007 115,6 Erkrankte je 100.000 Einwohner. Im Vergleich zu 2004 (112,4 Erkrankte je 100.000 Einwohner) ist das ein leichter Anstieg, nachdem die Anzahl der Erkrankten in den Vereinigten Staaten zwischen 1997 und 2004 annähernd gleich geblieben war und zwischen 1975 und 1997 auf Grund staatlicher Kontrollprogramme um 74 Prozent zurückgegangen war.[8]
Pathogenese

Die Bakterien heften sich an die Schleimhautzellen der Harnröhre beziehungsweise des Gebärmutterhalses an. Dazu dienen spezielle Pili, aus Proteinen bestehende fadenförmige Fortsätze an der Bakterienwand. Dabei spielt das Adhäsin Pilin eine große Rolle.
Manche Stämme regen die Schleimhautzellen dazu an, sie aufzunehmen (Phagozytose) und auf der anderen Lumen-abgewandten Seite wieder auszuwerfen. Dieser Prozess wird als Transzytose bezeichnet. Die Phagozytose wird durch Opa-Proteine (für opacity „Trübung“, da sie die Kolonien trübe erscheinen lassen) induziert.
Gonokokken werden von Granulozyten (Zellen des Immunsystems) phagozytiert und können daher vom Körper meist auch abgetötet werden. Nur ein Teil überlebt in den Zellen. Die Gewebeschädigung erfolgt durch Auslösen einer eitrigen Entzündung mit Komplementaktivierung und dadurch bedingter Zerstörung der befallenen Deckzellen. Dafür scheint vor allem das Lipopolysaccharid der Bakterienzellwand eine große Rolle zu spielen.
Klinisches Bild

Die Inkubationszeit beträgt zumeist zwei bis drei Tage, mitunter können aber bis zu sieben Tage vergehen. Bei etwa fünf Prozent der Betroffenen treten trotz Infektion keinerlei Symptome auf. Diese asymptomatischen Infizierten haben selbst zwar keine Krankheitserscheinungen, können jedoch andere Personen anstecken.
Beim Mann kommt es zur Harnröhrenentzündung (Urethritis) mit Juckreiz, eitrigem Ausfluss (oft morgens als sogenannter „Bonjour-Tropfen“, nicht zu verwechseln mit dem Lusttropfen) und Schmerzen beim Wasserlassen (Algurie). Vor Einführung von Antibiotika hielten die Symptome der Urethritis etwa acht Wochen an. Seltene Komplikationen sind Entzündungen der Nebenhoden (Epididymitis) und der Prostata (Prostatitis), als Folge kann sich Unfruchtbarkeit entwickeln.
Bei Frauen lässt sich die Inkubationszeit nicht genau festlegen, die Symptome treten aber zumeist nach etwa zehn Tagen auf. Hier kann zusätzlich eine Entzündung des Gebärmutterhalses mit eitrigem Ausfluss (mukopurulente Cervicitis) hinzukommen. Entzündungen der Vaginalschleimhaut treten nur in sehr seltenen Fällen auf, ebenso Entzündungen der Bartholinschen Drüsen. Befallene Gebärmutterschleimhaut und die Eileiter können verkleben, was zur Sterilität führen kann. Im schlimmsten Fall kann sich die Gonokokkeninfektion auf das Bauchfell ausbreiten.
Die Gonokokken können auch durch Oral- oder Analverkehr über die Rachen- oder Mastdarmschleimhaut übertragen werden. Eine Übertragung vom Rachen zu anderen Sexualkontakten ist selten.

Eine Gonokokkeninfektion der Augen (Okulare Gonorrhoe, „Augentripper“) wird bei Erwachsenen zumeist durch Selbstinokulation, also durch Reiben der Augen nach dem Berühren infizierter Genitalien verursacht. Die Infektion kann schwerwiegend verlaufen, aber auch milde und asymptomatische Verläufe sind möglich. Symptome sind stark geschwollene Augenlider, starke Hyperämie (erhöhte Durchblutung) und starke Eiterbildung. Lytische Enzyme von infiltrierenden Granulozyten der Immunantwort können gelegentlich Geschwürbildung an der Cornea verursachen, in ernsten Fällen sogar Perforationen. Hier sind eine schnellstmögliche Diagnose und Behandlung erforderlich.

Gonokokkeninfektionen während der Schwangerschaft können ernsthafte Komplikationen zur Folge haben. Im ersten Trimester können Entzündungen von Bauchfell und Eileiter den Verlust des Fötus zur Folge haben, im zweiten und dritten Trimester sind aufsteigende Infektionen eher selten, da ein Schleimpfropf die Gebärmutter verschließt. Die häufigste Art der Erkrankung von Neugeborenen nach einer Ansteckung durch die Mutter ist die Gonoblennorrhoe (auch Ophthalmia neonatorum), eine Infektion der Augen, resultierend aus dem Kontakt mit Krankheitserregern in den Sekreten der Gebärmutter. Blindheit kann die Folge sein. Um dies zu vermeiden, wird direkt nach der Geburt eine Credé-Prophylaxe („Augentripperprophylaxe“[9]) durchgeführt, bei der Augentropfen verabreicht werden, die eine antibakterielle Wirkung haben. Andere, seltenere Manifestationen bei Neugeborenen sind Entzündungen der Schleimhäute in Nase, Vagina und After, und sind häufig asymptomatisch.

In seltenen Fällen können die Gonokokken über den Blutkreislauf im ganzen Körper verteilt werden (Bakteriämie). Daraufhin kommt es zu Infektionen der Haut, die sich als hämorrhagische Pusteln zeigen. Weiterhin kann es zur Infektion von Gelenken (purulente Arthritis) kommen. Diese tritt vor allem in den Gelenken der Extremitäten auf und äußert sich durch Schmerzen in mehreren Gelenken (Polyarthralgie) und Eiterbildung. Eine körperweite Gonokokken-Sepsis stellt ein schweres und lebensbedrohliches Krankheitsbild dar.
Andere, seit Einführung von Antibiotika aber selten gewordene Komplikationen sind Entzündungen der Hirnhäute (Meningitis) und des Herzens (Endokarditis).
Extragenitale Formen
Auch bei Ärzten wenig bekannt sind Gonorrhoe-Infektionen fernab der Geschlechtsorgane. Nach Angaben des Robert Koch-Instituts sind diese jedoch möglicherweise sogar häufiger als die genitalen Formen. Recht häufig ist eine Infektion im Bereich des Afters und des Rachens. Da Infektionen des Afters nur gelegentlich Beschwerden verursachen, Infektionen des Rachens fast nie, bleiben diese Infektionen meist unentdeckt. Daher empfehlen verschiedene Fachgesellschaften ein gezieltes Screening durch Abstrichuntersuchungen der Rachen-, After- und Harnröhrenschleimhaut, da nur so derartige Infektionen einigermaßen zuverlässig erkannt werden können. Symptomlose Infektionen heilen nach einigen Wochen meistens von selbst komplikationslos aus, stellen bis dahin aber ein Infektionsrisiko dar.[10]
Diagnostik

Aus dem Harnröhrensekret oder dem Sekret des Gebärmutterhalses kann ein Abstrich entnommen werden und der Erreger mikroskopisch mit Hilfe der Gram-Färbung oder in der Kultur nachgewiesen werden. Während dieser Nachweis bei symptomatischen Männern sehr genau ist, ist er bei Zervizitis nur in etwa 50 % der Fälle positiv. Ein anderes Verfahren ist der Nachweis von für Neisseria gonorrhoeae spezifischen Nukleinsäuren. Die Sensitivität dieses Tests ist vergleichbar mit derjenigen herkömmlicher Kulturen, er ist aber preiswerter.
Bei angelegten Kulturen wird üblicherweise gleichzeitig ein Antibiogramm zur Überprüfung auf eventuelle Resistenz gegen Antibiotika angelegt.
Therapie

Es ist eine antibiotische Behandlung notwendig. Dies waren ursprünglich ab 1897 das Silberpräparat Protargol, entdeckt von dem deutschen Chemiker Arthur Eichengrün, ab 1935 Sulfonamide von Domagk, und ab 1944 war Penicillin als Behandlung ausreichend.
Ende der 1960er Jahre wurden in Bangkok erste Resistenzen des Erregers Gonococcus gegen Penicilline festgestellt, diese stehen womöglich in Verbindung mit den örtlichen Bordellstraßen.[11] Auf Grund der zunehmenden Resistenzentwicklung der Gonokokken wird die Gabe anderer Antibiotika, beispielsweise Cephalosporine oder Gyrasehemmer (hier besonders Fluorchinolone) empfohlen. Doch auch gegen die Fluorchinolone wird eine zunehmende Resistenz verzeichnet.[12] So empfiehlt das Robert Koch-Institut nur noch Cephalosporine der Gruppe 3 in hoher Dosis, zum Beispiel Ceftriaxon oder Cefixim.[13] Alternativen sind unter anderem Gaben von Cefotaxim oder Spectinomycin. Bei der Ophthalmia neonatorum kommt vor allem Ceftriaxon zum Einsatz.[14] In Japan wurde im Mai 2011 erstmals ein Stamm beschrieben, der gegen alle Cephalosporine Resistenzen entwickelt hat.[15] Inzwischen sind resistente Stämme auch in Australien, Frankreich, Norwegen, Schweden und Kanada[16] aufgetaucht. Die WHO warnte 2012, dass es in absehbarer Zeit für Millionen Infizierte keine Heilung mehr geben könne.[17]
Seit 2019 gibt es eine aktualisierte S2K-Leitlinie zur „Diagnostik und Therapie der Gonorrhoe“. Demnach wird für die Behandlung der unkomplizierten Gonorrhö eine Kombination der Antibiotika Ceftriaxon und Azithromycin empfohlen.[18][19]
Bei einer komplizierten Gonorrhoe werden die gleichen Antibiotika über einen längeren Zeitraum (sieben Tage bis einen Monat) angewendet. Neugeborenen-Infektionen können durch Vorsorgeuntersuchungen bei Schwangeren heute weitestgehend vermieden werden.
Da Gonorrhoe häufig von einer Chlamydieninfektion begleitet wird, werden zu deren Bekämpfung manchmal noch eine Woche lang zusätzlich andere Antibiotika, sogenannte orale Tetracycline, gegeben.
Wichtig ist auch die Behandlung der Sexualpartner, da es sonst zu einer immer wiederkehrenden wechselseitigen Ansteckung kommen kann (Ping-Pong-Effekt).
Vorbeugung (Prophylaxe)
Die korrekte Benutzung eines Kondoms bzw. eines Lecktuchs schützt vor einer Übertragung.
Impfung
Seit einigen Jahren mehren sich Studien, die zeigen, dass der 4-Komponenten-Impfstoff gegen Meningokokken der Serogruppe B (MenB-4C) als Nebeneffekt einen etwa 30- bis 40-prozentigen Schutz vor einer Infektion mit Gonokokken bietet.[20] Dies wird der genetischen bzw. oberflächlichen Ähnlichkeit von Neisseria meningitidis und Neisseria gonorrhoeae zugeschrieben.
England führt als erstes Land eine Impfung gegen Gonorrhoe ein, die ab August 2025 gezielt Risikogruppen wie homosexuellen und bisexuellen Männern angeboten werden soll.[21] Der Impfstoff basiert auf dem Meningitis-B-Vakzin und senkt Infektionen um etwa 30–40 %.[21] Trotz begrenzter Wirksamkeit erhofft sich der NHS damit eine spürbare Verringerung der stark gestiegenen Fallzahlen und der wachsenden Antibiotikaresistenzen.[21] Modellrechnungen zeigen, dass so bis zu 100.000 Infektionen und rund 8 Millionen Pfund Gesundheitskosten eingespart werden könnten.[21] Fachleute werten die Maßnahme als wichtigen Schritt für die sexuelle Gesundheitsvorsorge.[21]
Neugeborenenprophylaxe
Bei der Credé-Prophylaxe wurde Säuglingen unmittelbar nach der Geburt früher Silbernitrat-, heute meist Tetracyclin- oder Erythromycin-haltige Augentropfen in den Bindehautsack eingeträufelt, um einer Neugeborenenblennorrhoe bei mütterlicher Gonokokken-Infektion vorzubeugen.
Geschichtliche Aspekte
Eine sehr frühe Beschreibung der Gonorrhoe mit Hinweisen zur Behandlung findet sich in den Schriften des Aretaios (ca. 80–138 n. Chr.), eines griechischen Arztes der hippokratischen Schule.[22] Bei Celsus heißt die Erkrankung „Nimia profusio seminis“.[23]
Eine noch ältere Erwähnung findet die Gonorrhoe mit eitrigem Ausfluss als Hauptsymptom um 1200 v. Chr. in der Thora.[24]
Der Unterschied zwischen Harnröhrenausfluss und Samenfluss war bereits dem persischen Arzt Haly Abbas im 10. Jahrhundert bekannt.[25]
Im Jahr 1837[26] konnte erstmals durch den französischen Arzt Philippe Ricord der Nachweis erbracht werden, dass es sich, wie schon 1774 Johann Clemes Tode und andere vor diesem vermuteten,[27] bei Gonorrhoe um eine eigenständige, von der Syphilis zu unterscheidende Krankheit handelt.[28] Bis 1838 wurden zuvor beide Erkrankungen als morbus venereus (bzw. „Lustseuche“[29]) zusammengefasst.[30][31] Im Jahr 1872 beschrieb Emil Noeggerath die gonorrhoischen Adnexerkrankungen.[32] Albert Neisser entdeckte im Jahre 1879 erstmals die Gonokokken im Urethralabstrich bei seinem Patienten und Freund Stanislaw Kindermann,[33] aus diesem Grunde wurde die gesamte Gruppe der Neisseria nach ihm benannt. Carl Siegmund Franz Credé führte 1881 die nach ihm benannte Augen-Prophylaxe ein. Ernst Bumm gelang 1885 erstmals die Anzucht von Gonokokken.
In den Vereinigten Staaten von Amerika war Gonorrhoe – ebenso wie andere sexuell übertragbare Krankheiten – in den 1970er Jahren besonders unter männlichen Homosexuellen außerordentlich stark verbreitet. Die Schwulenrechtsorganisationen, die in dieser Zeit in großer Zahl entstanden, beklagten die Versäumnisse der Gesundheitsbehörden, die keinerlei Aufklärung darüber leisteten, dass Gonorrhoe auch durch Oral- und Analverkehr übertragen werden konnte. Diese Sexualpraktiken waren damals in den meisten amerikanischen Bundesstaaten strafbar. Auch Ärzte waren in der Regel nicht in der Lage, orale und rektale Formen von Gonorrhoe zu diagnostizieren, da die Patienten aus Furcht vor Strafverfolgung weder über ihre sexuellen Gewohnheiten noch über ihre Beschwerden sprachen. In vielen amerikanischen Städten richteten homosexuelle Organisationen daher eigene Kliniken ein.[34]
Literatur
- Marianne Abele-Horn: Antimikrobielle Therapie. Entscheidungshilfen zur Behandlung und Prophylaxe von Infektionskrankheiten. Unter Mitarbeit von Werner Heinz, Hartwig Klinker, Johann Schurz und August Stich. 2., überarbeitete und erweiterte Auflage. Peter Wiehl, Marburg 2009, ISBN 978-3-927219-14-4, S. 200 f.
- Birgit Adam: Die Strafe der Venus. Eine Kulturgeschichte der Geschlechtskrankheiten. Orbis, München 2001, ISBN 3-572-01268-6, passim.
- Tinsley R. Harrison u. a.: Harrison’s Principles of Internal Medicine. 17. Auflage. Mcgraw-Hill, New York 2008, ISBN 978-0-07-007272-5.
- Enno Christophers, Markward Ständer, Kathleen Wüste: Haut- und Geschlechtskrankheiten. 7. Auflage. Urban & Fischer, München 2003, ISBN 3-437-26710-8.
- Werner E. Gerabek: Gonorrhö (Tripper). In: Werner E. Gerabek, Bernhard D. Haage, Gundolf Keil, Wolfgang Wegner (Hrsg.): Enzyklopädie Medizingeschichte. De Gruyter, Berlin / New York 2005, ISBN 3-11-015714-4, S. 502 f.
- Dominique Puenzieux, Brigitte Ruckstuhl: Sexualität, Medizin und Moral. Die Bekämpfung der Geschlechtskrankheiten Syphilis und Gonorrhö. Zürich 1994.
- Walther Schönfeld: Medizinische Fachausdrücke für den „Tripper der Harnröhre des Mannes“ in geschichtlicher Beleuchtung. In: Sudhoffs Archiv, 34, 1941, S. 169–178.
- Walther Schönfeld: Von der örtlichen Behandlung des Trippers beim Manne mit Einspritzungen bis zur Entdeckung des Gonokokkus und den dabei verwendeten Spritzenformen. In: Sudhoffs Archiv, 35, 1942, S. 43–67.
Weblinks
- Gonorrhoe – Informationen des Robert Koch-Instituts
- Kapitel Gonorrhoe. urologielehrbuch.de
Einzelnachweise
- ↑ Tripper. In: Jacob Grimm, Wilhelm Grimm (Hrsg.): Deutsches Wörterbuch. Band 22: Treib–Tz – (XI, 1. Abteilung, Teil 2). S. Hirzel, Leipzig 1952 (woerterbuchnetz.de). trippen. In: Jacob Grimm, Wilhelm Grimm (Hrsg.): Deutsches Wörterbuch. Band 22: Treib–Tz – (XI, 1. Abteilung, Teil 2). S. Hirzel, Leipzig 1952 (woerterbuchnetz.de).
- ↑ Heinrich Lippert: Die Pathologie und Therapie der venerischen Krankheiten. Nach Philippe Ricord’s neuesten Vorträgen und Bemerkungen bearbeitet. B. S. Berendsohn, Hamburg 1846, S. 147 ff.
- ↑ Die Strafe der Venus. Eine Kulturgeschichte der Geschlechtskrankheiten. Orbis, München 2001, ISBN 3-572-01268-6, S. 14–17.
- ↑ Homepage der Arbeitsgemeinschaft Kinder- und Jugendgynäkologie ( vom 2. August 2007 im Internet Archive) abgerufen am 1. Mai 2007.
- ↑ U. Marcus, O. Hamouda, W. Kiehl: Reported incidence of gonorrhoea and syphilis in East and West Germany 1990–2000 – effects of reunification and behaviour change. In: Eurosurveillance. 10, Nr. 43, 25. Oktober 2001.
- ↑ WHO-Experten warnen vor unheilbarem Tripper. Welt Online, 6. Juni 2012; abgerufen am 10. Juli 2017
- ↑ Epidemiologie der Gonorrhoe. (PDF) In: Bulletin, Robert Koch-Institut; abgerufen am 24. September 2012.
- ↑ STD-Surveillance 2005 on Gonorrhea. ( vom 5. Oktober 2007 im Internet Archive) CDC (englisch); abgerufen am 18. Mai 2007
- ↑ Carl Hans Sasse: Geschichte der Augenheilkunde in kurzer Zusammenfassung mit mehreren Abbildungen und einer Geschichtstabelle (= Bücherei des Augenarztes. Heft 18). Ferdinand Enke, Stuttgart 1947, S. 52.
- ↑ Gonorrhö und Chlamydien bei Männern, die Sex mit Männern haben. In: RKI (Hrsg.): Epid. Bull. Nr. 9, März 2006 (rki.de [PDF]).
- ↑ Alice Reyn: Antibiotic sensitivity of gonococcal strains isolated in the South-East Asia and Western Pacific regions in 1961-68. In: Bulletin of the World Health Organization. Band 40, Nr. 2, 1969, ISSN 0042-9686, S. 257–262, PMID 4979392, PMC 2554611 (freier Volltext).
- ↑ Public Health Agency of Canada ( vom 2. Juni 2008 im Internet Archive) (englisch) abgerufen am 3. Mai 2007
- ↑ Zum Auftreten von Resistenzen bei Neisseria gonorrhoeae im Rhein-Main-Gebiet. In: RKI (Hrsg.): Epid. Bull. Nr. 13, März 2009 (rki.de [PDF]).
- ↑ Marianne Abele-Horn: Antimikrobielle Therapie. Entscheidungshilfen zur Behandlung und Prophylaxe von Infektionskrankheiten. 2., überarbeitete und erweiterte Auflage. Peter Wiehl, Marburg 2009, ISBN 978-3-927219-14-4, S. 200.
- ↑ M. Ohnishi, D. Golparian, K. Shimuta, T. Saika, S. Hoshina u. a.: Is Neisseria gonorrhoeae initiating a future era of untreatable gonorrhea?: detailed characterization of the first strain with high-level resistance to ceftriaxone. In: Antimicrob Agents Chemother, Juli 2011, 55(7), S. 3538–3545. PMID 21576437
- ↑ Neisseria gonorrhoeae Treatment Failure and Susceptibility to Cefixime in Toronto, Canada. In: Journal of the American Medical Association (englisch); abgerufen am 9. Januar 2013
- ↑ WHO-Experten warnen vor unheilbarem Tripper. Welt Online, 6. Juni 2012; abgerufen am 10. Juli 2017
- ↑ Gonorrhö (Tripper). In: RKI-Ratgeber. Robert Koch-Institut, 23. Dezember 2024, abgerufen am 9. Februar 2025.
- ↑ AWMF Leitlinienregister. Abgerufen am 9. Februar 2025.
- ↑ Winston E. Abara, Kyle T. Bernstein, Felicia M. T. Lewis, Julia A. Schillinger, Kristen Feemster, Preeti Pathela, Susan Hariri, Aras Islam, Michael Eberhart, Iris Cheng, Alexandra Ternier, Jennifer Sanderson Slutsker, Sarah Mbaeyi, Robbie Madera, Robert D. Kirkcaldy: Effectiveness of a serogroup B outer membrane vesicle meningococcal vaccine against gonorrhoea: a retrospective observational study. In: The Lancet. Infectious Diseases. Band 22, Nr. 7, Juli 2022, S. 1021–1029, doi:10.1016/S1473-3099(21)00812-4, PMID 35427490.
- ↑ a b c d e Gonorrhoea vaccine to be rolled out in England from August. 21. Mai 2025, abgerufen am 21. Mai 2025 (britisches Englisch).
- ↑ A. Mann (Übersetzer): Die auf uns gekommenen Schriften des Kappadociers Aretaeus. Halle 1858.
- ↑ Julius Rosenbaum: Geschichte der Lustseuche im Altertume nebst ausführlichen Untersuchungen über den Venus- und Phalluskultus, Bordelle, Νοῦσος ϑήλεια der Skythen, Paederastie und andere geschlechtliche Ausschweifungen der Alten als Beiträge zur richtigen Erklärung ihrer Schriften dargestellt. [1839]. 7. Auflage. H. Barsdorf, Berlin 1904, S. 375–387.
- ↑ Werner E. Gerabek: Gonorrhö (Tripper). In: Enzyklopädie Medizingeschichte. 2005, S. 502 f.
- ↑ Birgit Adam: Die Strafe der Venus. Eine Kulturgeschichte der Geschlechtskrankheiten. Orbis, München 2001, ISBN 3-572-01268-6, S. 91.
- ↑ Ricord: Traité pratique des maladies vénériennes. 1838, S. 104–105.
- ↑ Paul Diepgen, Heinz Goerke: Aschoff: Kurze Übersichtstabelle zur Geschichte der Medizin. 7., neubearbeitete Auflage. Springer, Berlin / Göttingen / Heidelberg 1960, S. 32.
- ↑ Hendrik Christian Voß: Die Darstellung der Syphilis in literarischen Werken um 1900. Auswirkung wissenschaftlicher Konzepte und sozialer Ideen. Medizinische Dissertation, Lübeck 2004, S. 9; uni-luebeck.de (PDF; 1,1 MB)
- ↑ Julius Rosenbaum: Geschichte der Lustseuche im Altertume […]. Halle 1839; 7. Auflage, H. Barsdorf, Berlin 1904
- ↑ Paul Diepgen, Heinz Goerke: Aschoff/Diepgen/Goerke: Kurze Übersichtstabelle zur Geschichte der Medizin. 7., neubearbeitete Auflage. Springer, Berlin / Göttingen / Heidelberg 1960, S. 40.
- ↑ Philippe Ricord: Lexikon der Naturwissenschaftler. Spektrum, Heidelberg 2000.
- ↑ Paul Diepgen, Heinz Goerke: Aschoff/Diepgen/Goerke: Kurze Übersichtstabelle zur Geschichte der Medizin. 1960, S. 44.
- ↑ Stefan Winkle: Kulturgeschichte der Seuchen. Komet, Düsseldorf / Zürich 1997, ISBN 3-933366-54-2.
- ↑ Mark Thompson (Hrsg.): Long Road to Freedom. The Advocate History of the Gay and Lesbian Movement. St. Martin’s Press, New York 1994, ISBN 0-312-09536-8, S. 138.