Tetraselmis-Virus 1
| Tetraselmis-Virus 1 | ||||||||||||||||||
|---|---|---|---|---|---|---|---|---|---|---|---|---|---|---|---|---|---|---|
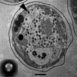
Querschnitt durch eine mit TetV-1 infizierte Tetraselmis-Zelle. Inlet links unten: einzelnes TetV-1-Virion | ||||||||||||||||||
| Systematik | ||||||||||||||||||
| ||||||||||||||||||
| Taxonomische Merkmale | ||||||||||||||||||
| ||||||||||||||||||
| Wissenschaftlicher Name | ||||||||||||||||||
| Oceanusvirus kaneohense | ||||||||||||||||||
| Kurzbezeichnung | ||||||||||||||||||
| TetV-1 | ||||||||||||||||||
| Links | ||||||||||||||||||
|
Tetraselmis-Virus 1, wissenschaftlich Oceanusvirus kaneohense, ist eine vom International Committee on Taxonomy of Viruses (ICTV) im April 2023 zusammen mit der Gattung Oceanusvirus eingerichtete Spezies (Art) von Riesenviren (englisch giant viruses, auch giruses) um den Stamm Tetraselmis virus 1 (TetV-1).[3] O. kaneohense ist die einzige Spezies in der Gattung Oceanusvirus, die zusammen mit der Gattung Heliosvirus die neue Familie Allomimiviridae (Tetraselmisvirus-Gruppe[4]) in der Ordnung Imitervirales bildet.[1][2]
Beschreibung
Tetraselmis-Virus 1 bildet zusammen mit anderen Viren, darunter dem Pyramimonas-orientalis-Virus (Gattung Heliosvirus) eine Gruppe Chlorophyten-infizierender Viren in der Verwandtschaft der Familie Mimiviridae (d. h. in der heutigen Ordnung Imitervirales). Diese Tetraselmisvirus-Gruppe wurde vom ICTV im April 2023 als Familie Allomimiviridae offiziell anerkannt.[5][2][1]
Habitat und Probenentnahme
TetV-1 wurde am 2. September 2010 von Christopher R. Schvarcz et al. aus den Küstengewässern der Kāneʻohe-Bucht östlich von Honolulu, Oʻahu, Hawaiʻi, isoliert (21,4297° N, 157,792° W).[5][3] Sein Wirt wurde zusätzlich auch aus Meerwasser isoliert, das etwa 100 Kilometer nördlich von Oʻahu an der Hawaiʻi Ocean Time-series (HOT) Station ALOHA[6] gesammelt wurde.[5]
Wirtsspektrum
TetV-1 infiziert marine Grünalgen der Gattung Tetraselmis, die weltweit (kosmopolitisch) vorkommen. Schvarcz et al. testeten 2018 acht verschiedene Stämme der Gattung, insbesondere von T. cordiformis aus der Kāneʻohe-Bucht und Symbionten von Radiolarien (cf. Spongodrymus) des offenen Ozeans (ALOHA-Station); alle eigneten sich als Wirt. Das Virus replizierte nicht in Chlorophyten wie Pyramimonas oder Micromonas; auch nicht in photosynthetisch aktiven Flagellaten wie Chlorarachniophyta, Haptophyta (Chrysochromulina sp.), Cryptophyceae oder Dictyochophyceae inkl. Pelagophycidae (Florenciella sp., Rhizochromulina sp. und Pelagomonas sp.).[5]
Morphologie
Die Viruspartikel (Virionen) von TetV-1 haben eine durchschnittliche Größe von 226 bis 257 nm, womit sie zu den größten Viren gehören, die für Algen charakterisiert wurden. Sie sind noch etwas größer als die des verwandten Pyramimonas-orientalis-Virus (PoV, wiss. Heliosvirus raunefjordenense) aus der gleichen Virenfamilie, das eine durchschnittliche Kapsidgröße von 180–220 nm hat.[5]
Genom
Das Doppelstrang-DNA-Genom von TetV-1 hat eine Größe von 668 kBp (kilo-Basenpaaren). Zur Zeit seiner Erstbeschreibung hatte TetV-1 das größte Genom unter den Viren, die einen photosynthetischen Organismus infizieren.[5]
Die Analyse ergab Gene, die zuvor in Viren nicht bekannt waren, wie das Mannitol-Stoffwechsel-Enzym Mannitol-1-Phosphat-Dehydrogenase,[7] das Saccharid-Abbauenzym Alpha-Galactosidase und die Schlüsselgene für die Fermentation, Pyruvat-Formiat-Lyase und Pyruvat-Formiat-Lyase aktivierendes Enzym. TetV-1 ist damit das erste bekannt gewordene Virus mit eigenen Genen zur Fermentation.[5]
Systematik
Systematik nach International Committee on Taxonomy of Viruses (ICTV)[1] und Aylward et al. (2021):[2]
Phylum: Nucleocytoviricota (NCLDV), Klasse: Megaviricetes, Ordnung: Imitervirales
- Familie: Allomimiviridae (Tetraselmisvirus-Gruppe)
- Gattung: Heliosvirus (mit Pyramimonas orientalis virus 01B)
- Gattung: Oceanusvirus
- Spezies: Oceanusvirus kaneohense
- Stamm: Tetraselmis virus 1[3]
- Spezies: Oceanusvirus kaneohense
Etymologie
Die provisorische bzw. informelle Bezeichnung verweist auf die Wirtsgattung, Tetraselmis. Der Gattungsname Oceanusvirus verweist auf den Titanen Okeanos (altgriechisch Ὠκεανός Ōkeanós, lateinisch Oceanus) der griechischen Mythologie, was darauf hindeutet, dass diese Viren und ihre Wirte in marinen Umgebungen – im Ozean – zu finden sind.[2] Das Art-Epitheton kaneohense verweist auf den Fundort Kāneʻohe-Bucht, Honolulu.
Einzelnachweise
- ↑ a b c d ICTV: Master Species Lists § ICTV Master Species List 2022 MSL38 v1 (xlsx), 8. April 2023.
- ↑ a b c d e Frank O. Aylward, Jônatas S. Abrahão, Corina P. D. Brussaard C, Matthias G. Fischer, Mohammad Moniruzzaman, Hiroyuki Ogata, Curtis A. Suttle: Create 3 new families, 3 subfamilies, 13 genera, and 20 new species within the order Imitervirales (phylum Nucleocytoviricota) and rename two existing species (zip:docx). Vorschlag 2022.004F an das ICTV vom Oktober 2021.
- ↑ a b c NCBI Taxonomy Browser: Tetraselmis virus 1 (species), Nucleotide: KY322437, NC_075136.
- ↑ Jonathan Filée: Giant viruses and their mobile genetic elements: the molecular symbiosis hypothesis. In: Current Opinion in Virology, Band 33, Dezember 2018, S. 81–88; doi:10.1016/j.coviro.2018.07.013, PMID 30114664, bioRxiv: 2018/04/11/299784 (Preprint-Volltext).
- ↑ a b c d e f g Christopher R. Schvarcz, Grieg F. Steward: A giant virus infecting green algae encodes key fermentation genes. In: Virology, Band 518, Mai 2018, S. 423–433, doi:10.1016/j.virol.2018.03.010. Anm.: Die Autoren gebrauchen den Begriff Mimiviridae im (weiten) Sinn von Imitervirales.
- ↑ David M. Karl, Roger Lukas: The Hawaii Ocean Time-series (HOT) program: background, rationale and field implementation. In: Deep Sea Res. Part 2 Topical Studies in Oceanography, Band 43, Nr. 2–3, 1996, S. 129–156; doi:10.1016/0967-0645(96)00005-7.
- ↑ ENZYME entry: EC 1.1.1.17 mannitol-1-phosphate 5-dehydrogenase. Auf Expasy.org
